medigraphic.com
SPANISH

Revista Mexicana de Pediatría

ISSN 0035-0052 (Print)
  • Contents
  • View Archive
  • Information
    • General Information        
    • Directory
  • Publish
    • Instructions for authors        
    • Send manuscript
  • medigraphic.com
    • Home
    • Journals index            
    • Register / Login
  • Mi perfil

2022, Number 2

<< Back

Rev Mex Pediatr 2022; 89 (2)

Joubert syndrome associated with pathogenic variants in the TMEM67 gene

Martínez-García JJ, Corvera-Villaseñor S, Dueñas-Arias JE, Vega-Castro RJ, Beltrán-Rivas R
Full text How to cite this article 10.35366/107503

DOI

DOI: 10.35366/107503
URL: https://dx.doi.org/10.35366/107503

Language: Spanish
References: 16
Page: 81-85
PDF size: 263.33 Kb.


Key words:

Joubert syndrome, molar tooth image, nystagmus, strabismus, TMEM67 gene.

ABSTRACT

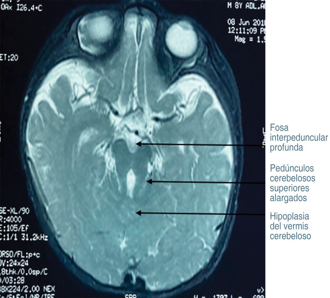
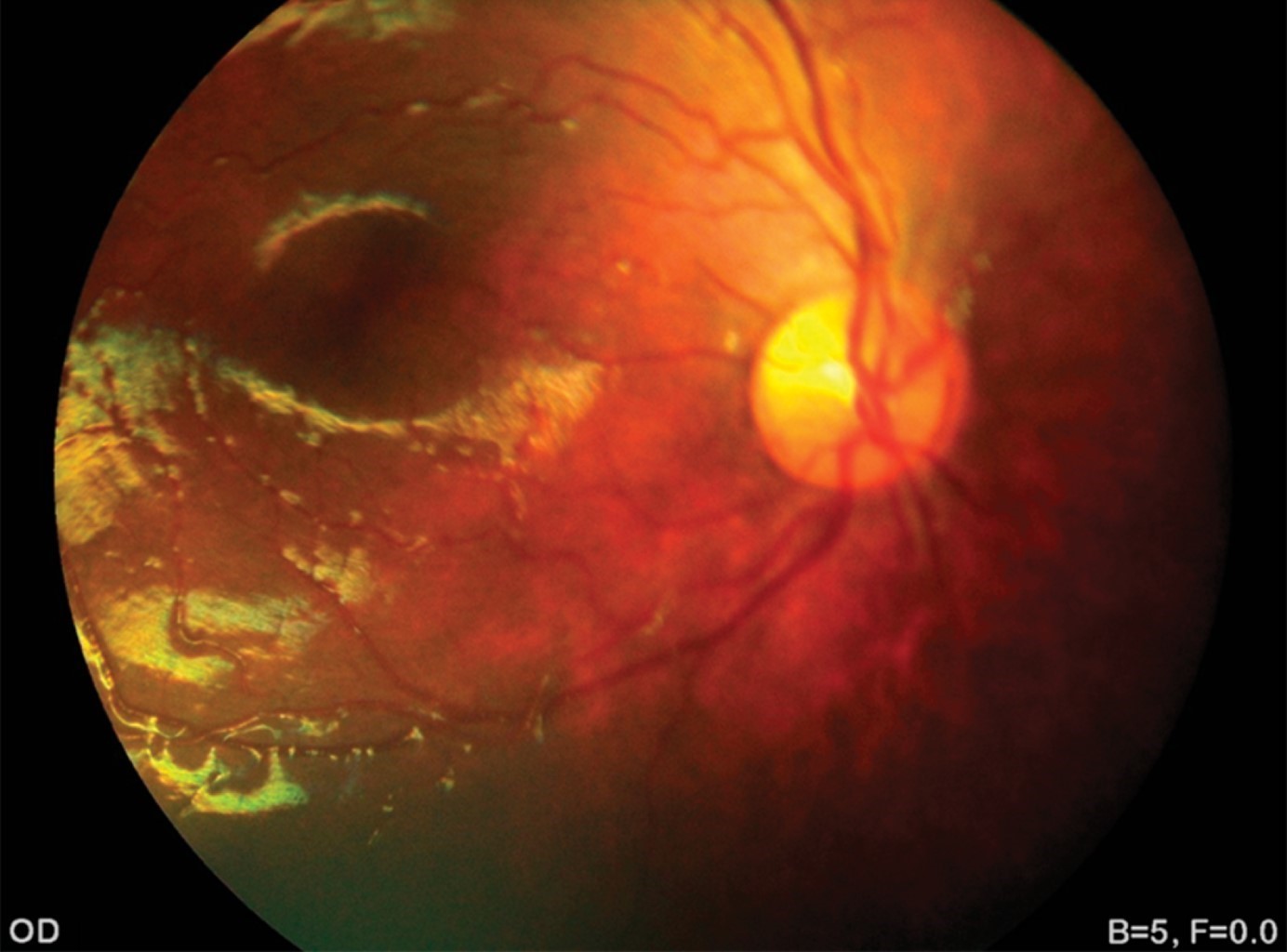
Introduction: Joubert syndrome (JS) is an autosomal recessive congenital ciliopathy, which has been associated with a mutation in the TMEM67 gene. JS is characterized by delayed psychomotor development, ocular alterations, as well as renal, skeletal, and hepatic manifestations. Magnetic resonance imaging (MRI) identifies the pathognomonic alteration, which is a malformation in the cerebellum and brainstem, with a characteristic image of the "molar tooth sign" (MTS). Objective: to describe the clinical picture of a pediatric SJ patient in whom variants in the TMEM67 gene were detected. Case report: three-year-old male with delayed psychomotor development, hypotonia, isometropic amblyopia, strabismic amblyopia, and downward vertical nystagmus. In the MRI, the MTS was observed since the superior cerebellar peduncles were found to be elongated. By genetics, through whole exome sequencing, two variants in the heterozygous state of the TMEM67 gene were found. Conclusions: children with delayed psychomotor development and nystagmus should undergo a comprehensive ocular, neuroimaging, and genetic examination to identify the diagnosis of JS.


REFERENCES

  1. Joubert M, Eisenring JJ, Robb JP et al. Familial agenesis of the cerebellar vermis. A syndrome of episodic hyperpnea, abnormal eye movements, ataxia, and retardation. Neurology. 1969; 19: 813-825.

  2. Romani M, Micalizzi A, Valente EM. Joubert syndrome: congenital cerebellar ataxia with the molar tooth. Lancet Neurol. 2013; 12: 894-905.

  3. Edvardson S, Shaag A, Zenvirt S et al. Joubert syndrome 2 (JBTS2) in Ashkenazi Jews is associated with a TMEM216 mutation. Am J Hum Genet. 2010; 86: 93-97.

  4. Parisi MA, Doherty D, Chance PF et al. Joubert syndrome (and related disorders) (OMIM 213300). Eur J Hum Genet. 2007; 15: 511-521.

  5. Kumar P, Dey A, Mittal K et al. Joubert syndrome: a classic case. J Family Med Prim Care. 2019; 8: 311-312.

  6. Devi ARR, Naushad SM, Lingappa L. Clinical and molecular diagnosis of Joubert syndrome and related disorders. Pediatr Neurol. 2020; 106: 43-49.

  7. Parisi MA. The molecular genetics of Joubert syndrome and related ciliopathies: the challenges of genetic and phenotypic heterogeneity. Transl Sci Rare Dis. 2019; 4: 25-49.

  8. Bachmann-Gagescu R, Dempsey JC, Phelps IG et al. Joubert syndrome: a model for untangling recessive disorders with extreme genetic heterogeneity. J Med Genet. 2015; 52: 514-522.

  9. Brancati F, Iannicelli M, Travaglini L et al. MKS3/TMEM67 mutations are a major cause of COACH syndrome, a Joubert syndrome related disorder with liver involvement. Hum Mutat. 2009; 30: 432-442.

  10. Lannicelli M, Brancati F, Mougou-Zerelli S et al. Novel TMEM67 mutations and genotype-phenotype correlates in meckelin-related ciliopathies. Hum Mutat. 2010; 31: E1319-E1331.

  11. Brooks BP, Zein WM, Thomson AH et al. Joubert syndrome: ophthalmological findings in correlation with genotype and hepatorenal disease in 99 patients prospectively evaluated at a single center. Ophthalmology. 2018; 125: 1937-1952.

  12. Dawe HR, Smith UM, Cullinane AR et al. The Meckel-Gruber syndrome proteins MKS1 and meckelin interact and are required for primary cilium formation. Hum Mol Genet. 2007; 16(2): 173-186.

  13. Smith UM, Consugar M, Tee LJ et al. The transmembrane protein meckelin (MKS3) is mutated in Meckel-Gruber syndrome and the wpk rat. Nat Genet. 2006; 38(2): 191-196.

  14. Komiya Y, Habas R. Wnt signal transduction pathways. Organogenesis. 2008; 4(2): 68-75. doi: 10.4161/org.4.2.5851.

  15. Adams M, Simms RJ, Abdelhamed Z et al. A meckelin-filamin A interaction mediates ciliogenesis. Hum Mol Genet. 2012; 21(6): 1272-1286.

  16. Akhtar A, Hassan SA, Falah NU et al. Joubert syndrome: a rare radiological case. Cureus. 2019; 11: e6410.




Figure 1
Figure 2
Figure 3
Figure 4
Figure 5
Table 1

2020     |     www.medigraphic.com

Mi perfil

C?MO CITAR (Vancouver)

Rev Mex Pediatr. 2022;89