medigraphic.com
SPANISH

Investigación en Discapacidad

ISSN 2992-779X (Electronic)
ISSN 2007-6452 (Print)
  • Contents
  • View Archive
  • Information
    • General Information        
    • Directory
  • Publish
    • Instructions for authors        
  • medigraphic.com
    • Home
    • Journals index            
    • Register / Login
  • Mi perfil

2022, Number 3

<< Back Next >>

Investigación en Discapacidad 2022; 8 (3)

Mononeuritis multiplex as an initial manifestation in small-vessel vasculitis: a case report in Mexico

Contreras-Tovar PS, Alvarado-Campos E, Montes OLF, Escudero-Tepale EM
Full text How to cite this article 10.35366/107510

DOI

DOI: 10.35366/107510
URL: https://dx.doi.org/10.35366/107510

Language: Spanish
References: 15
Page: 103-109
PDF size: 310.27 Kb.


Key words:

mononeuritis multiplex, vasculitis, Churg-Strauss syndrome, peripheral neuropathy, eosinophilia.

ABSTRACT

The eosinophilic granulomatosis with polyangiitis (EGP), also called Churg-Strauss syndrome, is a systemic disorder of unknown etiology. It is characterized by necrotizing vasculitis affecting small- and medium-sized vessels, with multiple systemic manifestations. Eosinophilic vasculitis can affect numerous organs and systems, including the integumentary, nervous, pulmonary, cardiovascular, gastrointestinal, and renal systems. EGP is a rare disease with an incidence ranging from 2.4 to 4 cases/million inhabitants/year in the general population. This article presents a clinical case of a 63-year-old man with EGP. Currently, there are very few reports of Mexican patients with this disease. Notably, those reports have described that the initial presentation is usually in the respiratory tract, whereas the damage to the peripheral nervous system is a sequela. To our knowledge, our patient is the first case in Mexico presenting rapidly progressive peripheral neuropathy symptoms as the initial manifestation. Moreover, the patient does not present asthma, which nearly all EGP patients exhibit. In this regard, it is imperative to highlight that, although peripheral neuropathy does not usually affect the survival of patients, the damage is generally permanent and can cause physical disability, significantly impairing their quality of life. Therefore, timely diagnosis and treatment are essential.


REFERENCES

  1. Grayson PC, Ponte C, Suppiah R, Robson JC, Craven A, Judge A et al. 2022 American College of Rheumatology/European Alliance of Associations for Rheumatology Classification Criteria for Eosinophilic Granulomatosis with Polyangiitis. Ann Rheum Dis. 2022; 81 (3): 309-314.

  2. Nishi R, Koike H, Ohyama K, Fukami Y, Ikeda S, Kawagashira Y et al. Differential clinicopathologic features of EGPA-associated neuropathy with and without ANCA. Neurology. 2020; 94 (16): e1726-e1737.

  3. Wolf J, Schmitt V, Palm F, Grau AJ, Bergner R. Peripheral neuropathy as initial manifestation of primary systemic vasculitides. J Neurol. 2013; 260 (4): 1061-1070.

  4. Roh YH, Koh YD, Noh JH, Gong HS, Baek GH. Low median nerve palsy as initial manifestation of Churg-Strauss syndrome. J Hand Surg Am. 2017; 42 (6): 478.e1-478.e4.

  5. Cho HJ, Yune S, Seok JM, Cho EB, Min JH, Seo YL et al. Clinical characteristics and treatment response of peripheral neuropathy in the presence of eosinophilic granulomatosis with polyangiitis (Churg-Strauss syndrome): experience at a single tertiary center. J Clin Neurol. 2017; 13 (1): 77-83.

  6. Zhang Z, Liu S, Guo L, Wang L, Wu Q, Zheng W et al. Clinical characteristics of peripheral neuropathy in eosinophilic granulomatosis with polyangiitis: a retrospective single-center study in China. J Immunol Res. 2020; 2020: 3530768.

  7. Villa A. Peripheral neuropathy as initial manifestation of Churg-Strauss syndrome. Int Arch Intern Med. 2019; 3 (2): 1-4.

  8. Padoan R, Felicetti M, Marconato M, Cinetto F, Agostini C, Punzi L et al. Peripheral neuropathy in eosinophilic granulomatosis with polyangiitis (EGPA). Incat disability score to evaluate damage and to predict long term outcome in 50 patients. Ann Rheum Dis. 2016; 75 (Suppl 2): 574-575.

  9. Kai Y, Yoshikawa M, Matsuda M, Suzuki K, Ohara H, Iguchi N et al. Improvement of peripheral neuropathy in a patient with antineutrophil cytoplasmic antibody-negative eosinophilic granulomatosis with polyangiitis by additional mepolizumab. Allergy Asthma Clin Immunol. 2022; 18 (1): 14.

  10. Tlacuilo-Parra A, Soto-Ortíz JA, Guevara-Gutiérrez E. Churg-Strauss syndrome manifested by urticarial plaques. Int J Dermatol. 2003; 42 (5): 386-388.

  11. Vallejo E, Mendoza-González C, Aranda A. Churg-Strauss syndrome and myocardial perfusion SPECT imaging. J Nucl Cardiol. 2004; 11 (3): 358-360.

  12. Hernández-Bautista VM, Espinosa-Padilla SE, Yamazaki-Nakashimada MA, López-Lara D, González-Serrano E, Staines-Boone T et al. Pediatric Churg-Strauss syndrome in Mexico. Pediatr Pulmonol. 2006; 41 (4): 379-382.

  13. Flores-Franco RA, Castillo-Soltero J, Pacheco-Tena CF. Diaphragmatic paralysis in eosinophilic granulomatosis with polyangiitis. Rheumat Clin. 2017; 14: 61-62.

  14. Cervera-Castillo H, Blanco-Favela F, Silva-López YF, Paredez-Rivera GE, Torres-Caballero V. ANCA-associated vasculitides at Mexico City's metropolitan eastern area. Rev Med Inst Mex Seguro Soc. 2017; 55 (4): 430-440.

  15. Chanussot-Deprez C, Vega-Memije ME, Flores-Suárez L, Ríos-Romero C, Cabiedes-Contreras J, Reyes E et al. Etiology of cutaneous vasculitis: utility of a systemic approach. Gac Med Mex. 2018; 154 (1): 62-67.




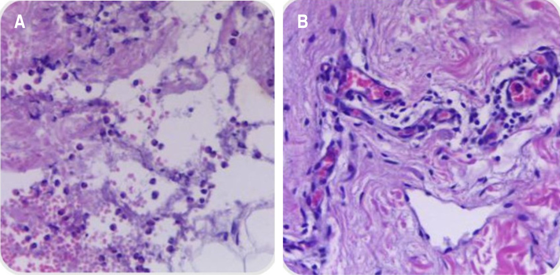
Figure 1
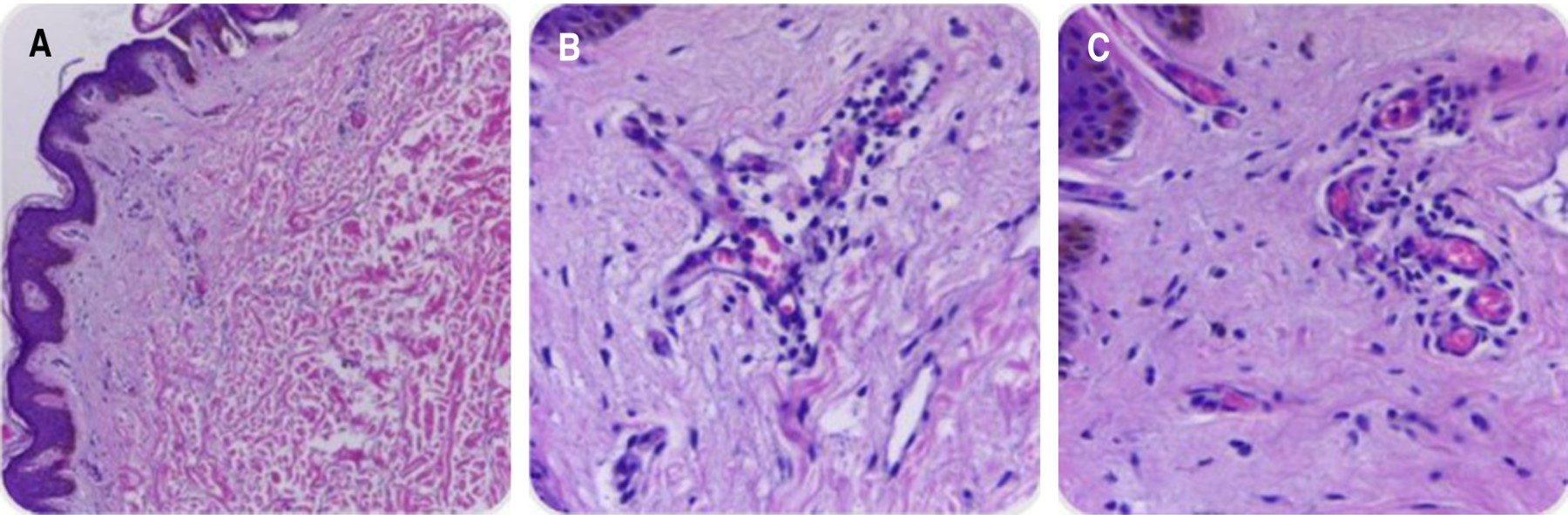
Figure 2
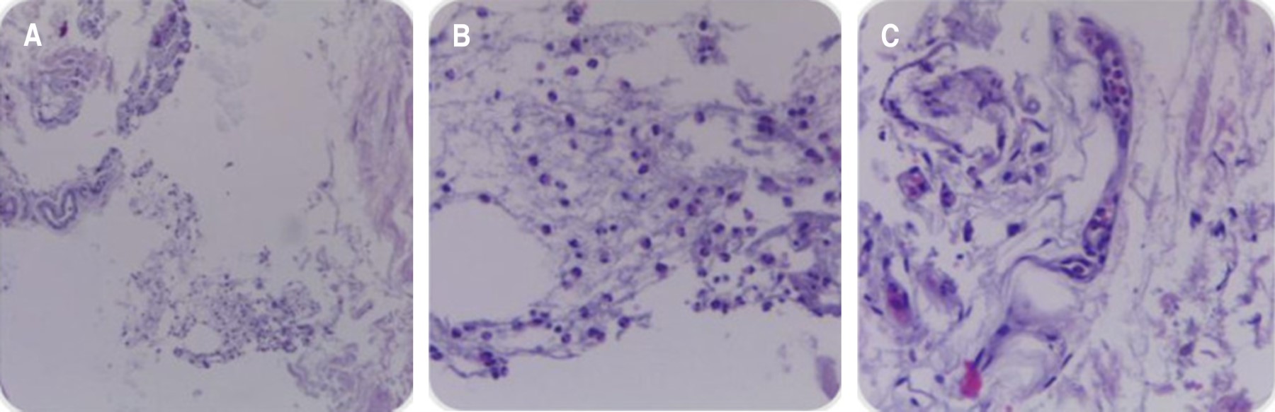
Figure 3
Table 1
Table 2

2020     |     www.medigraphic.com

Mi perfil

C?MO CITAR (Vancouver)

Investigación en Discapacidad. 2022;8