medigraphic.com
SPANISH

Revista del Centro Dermatológico Pascua

ISSN 1405-1710 (Print)
  • Contents
  • View Archive
  • Information
    • General Information        
    • Directory
  • Publish
    • Instructions for authors        
  • medigraphic.com
    • Home
    • Journals index            
    • Register / Login
  • Mi perfil

2022, Number 1-2

<< Back Next >>

Rev Cent Dermatol Pascua 2022; 31 (1-2)

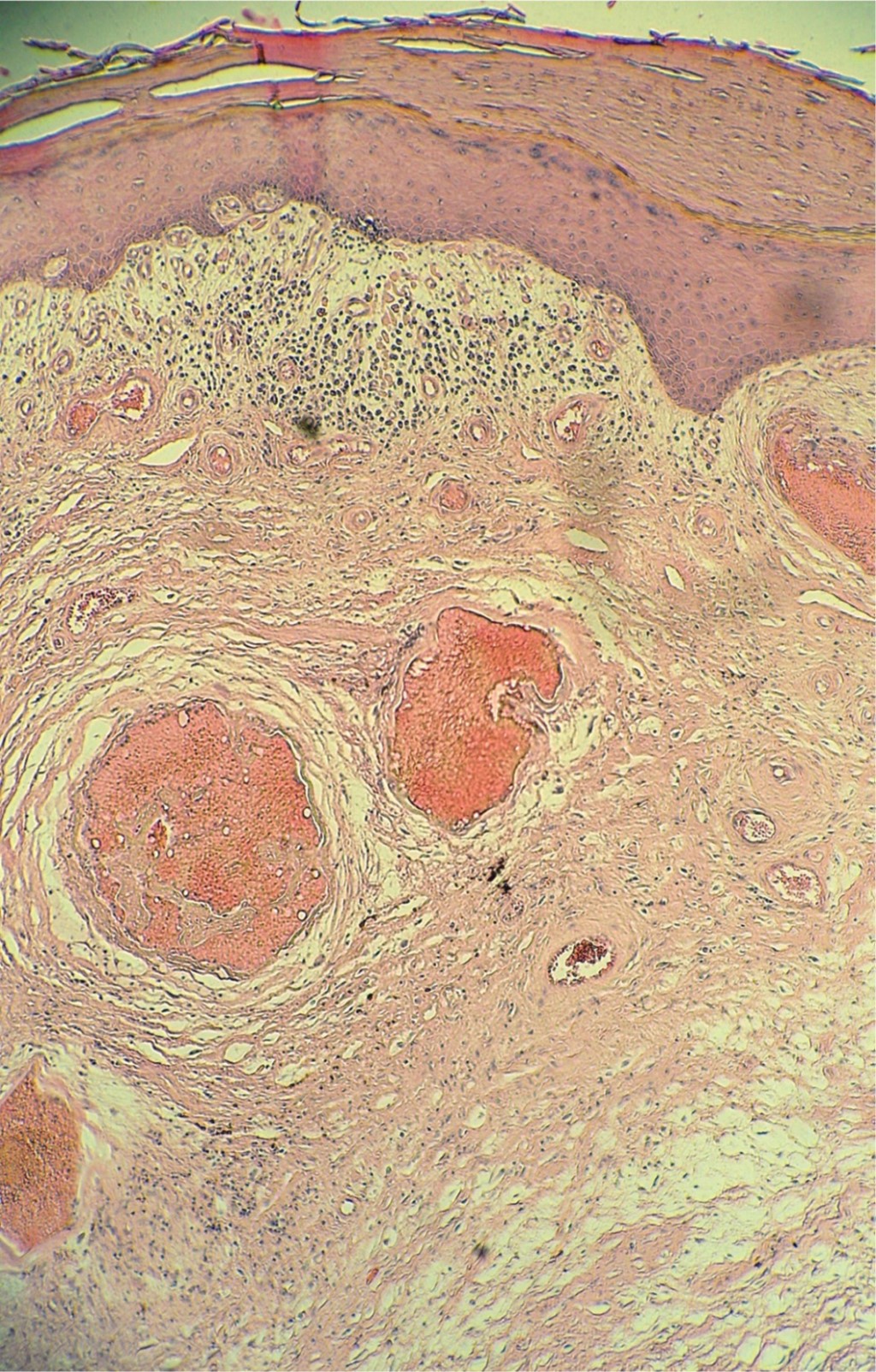
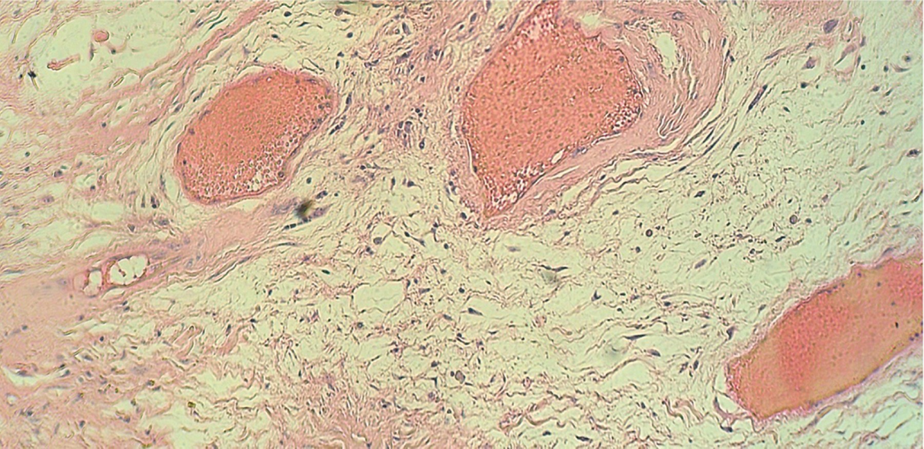
Neoformation on ventral side of first ortectum

Cardona-Hernández MÁ, Ramos-Garibay JA, Andrés-Hernández E
Full text How to cite this article 10.35366/107804

DOI

DOI: 10.35366/107804
URL: https://dx.doi.org/10.35366/107804

Language: Spanish
References: 22
Page: 58-61
PDF size: 296.45 Kb.


Key words:

No keywords




REFERENCES

  1. Rodríguez-Acar MC, García-Salazar V, Domínguez MA, Ramos-Garibay A, Vargas-Alcantara S, Collado-Fermín MK. Fibroqueratoma adquirido. Presentación de dos casos. Rev Cent Dermatol Pascua. 2001; 10: 151-154.

  2. Mora-Ruíz GS, Pérez-Cortés S, Novales-Santa-Coloma J. Fibroqueratoma digital adquirido. Reporte de un caso con morfología no característica. Rev Cent Dermatol Pascua. 2003; 12: 84-86.

  3. McCann MJ, Bonvillian J, Blazek CD. Acquired digital fibrokeratoma: a rare case study. Foot (Edinb). 2020; 44: 101681. doi:10.1016/j.foot.2020.101681.

  4. Tsai YC, Hsiao PF, Wu YH. Anatomical distribution and outcome of surgical excision of fibrokeratoma - a clinical analysis of 124 cases. Int J Dermatol. 2017; 56: 337-340. doi: 10.1111/ijd.13455.

  5. Al-Atif HM. Giant acquired acral fibrokeratoma: a case report. Dermatol Reports. 2019; 11: 8215. doi: 10.4081/dr.2019.8215.

  6. Noriega LF, Chiacchio NGD, Chiacchio ND, Ventura A. Unusual size, topography, and surgical resolution of an acquired fibrokeratoma. An Bras Dermatol. 2018; 93:126-128. doi: 10.1590/abd1806-4841.20186828.

  7. Ali M, Mbah CA, Alwadiya A, Nur MM, Sunderamoorthy D. Giant fibrokeratoma, a rare soft tissue tumor presenting like an accessory digit, a case report and review of literature. Int J Surg Case Rep. 2015; 10: 187-190. doi: 10.1016/j.ijscr.2015.03.041.

  8. Shih S, Khachemoune A. Acquired digital fibrokeratoma: review of its clinical and dermoscopic features and differential diagnosis. Int J Dermatol. 2019; 58: 151-158. doi: 10.1111/ijd.14046.

  9. Lu YY, Lu CC, Wu CH. Giant digital fibrokeratoma of the finger. Int J Dermatol. 2014; 53: e205-e207. doi: 10.1111/ijd.12130.

  10. Kakurai M, Yamada T, Kiyosawa T, Ohtsuki M, Nakagawa H. Giant acquired digital fibrokeratoma. J Am Acad Dermatol. 2003; 48: S67-S68. doi: 10.1067/mjd.2003.153.

  11. Yu D, Morgan RF. Acquired digital fibrokeratoma: a case report. Ann Plast Surg. 2015; 74: 304-305. doi: 10.1097/SAP.0b013e3182996ee6.

  12. Choi JH, Jung SY, Chun JS, Seo JK, Lee D, Hwang SW et al. Giant acquired digital fibrokeratoma occurring on the left great toe. Ann Dermatol. 2011; 23: 64-66. doi: 10.5021/ad.2011.23.1.64.

  13. Zou X, Yang S. Giant acquired ungual fibrokeratoma of the nail matrix. Australas J Dermatol. 2021; 62: 243-244. doi: 10.1111/ajd.13524.

  14. Bron C, Noël B, Panizzon RG. Giant fibrokeratoma of the heel. Dermatology. 2004; 208: 271-272. doi: 10.1159/000077318.

  15. Bulam H, Sencan A, Bozk?rl? BA, Sezgin B, Tuncer S. Giant acquired periungual fibrokeratoma of the thumb: case report and review. Hand (N Y). 2015; 10: 140-142. doi: 10.1007/s11552-013-9576-8.

  16. Zakopoulou N, Bokotas C, Frangoulis M, Karypidis D, Hatziolou E, Papadopoulos O. Giant tumour of the heel: acquired fibrokeratoma. Clin Exp Dermatol. 2009; 34: 605-606. doi: 10.1111/j.1365-2230.2009.03238.x.

  17. Hashiro M, Fujio Y, Tanaka M, Yamatodani Y. Giant acquired fibrokeratoma of the nail bed. Dermatology. 1995; 190: 169-171. doi: 10.1159/000246671.

  18. de Freitas PM, de Sb Xavier MH, Pereira GB, Rochael MC, de Oliveira Cortes JL, Quevedo LP et al. Acquired fibrokeratoma presenting as a giant pedunculated lesion on the heel. Dermatol Online J. 2008; 14: 10.

  19. Hashimoto JM, Brandao BJF. Fibroqueratoma periungueal adquirido. BWS Journal. 2021; 4: 1-7.

  20. Kint A, Baran R, De Keyser H. Acquired (digital) fibrokeratoma. J Am Acad Dermatol. 1985; 12: 816-821. doi: 10.1016/s0190-9622(85)70101-6.

  21. Garg S, Sandhu J, Kaur A, Punia RPS. Acquired digital fibrokeratoma. J Clin Aesthet Dermatol. 2019; 12: 17-18.

  22. Longhurst WD, Khachemoune A. An unknown mass: the differential diagnosis of digit tumors. Int J Dermatol. 2015; 54: 1214-1225. doi: 10.1111/ijd.12980.




Figure 1
Figure 2
Figure 3
Figure 4

2020     |     www.medigraphic.com

Mi perfil

C?MO CITAR (Vancouver)

Rev Cent Dermatol Pascua. 2022;31