medigraphic.com
SPANISH

Latin American Journal of Oral and Maxillofacial Surgery

ISSN 2992-7757 (Electronic)
Órgano de difusión de la Asociación Latinoamericana de Cirugía y Traumatología Bucomaxilofacial (ALACIBU)
  • Contents
  • View Archive
  • Information
    • General Information        
    • Directory
  • Publish
    • Instructions for authors        
  • medigraphic.com
    • Home
    • Journals index            
    • Register / Login
  • Mi perfil

2022, Number 3

<< Back Next >>

Lat Am J Oral Maxillofac Surg 2022; 2 (3)

Juvenile trabecular ossifying fibroma maxillary with sarcomatization: 18-years follow-up

Mendoza CNJ, Astigueta JM, Attaguile AH, Giannunzio GA
Full text How to cite this article 10.35366/108189

DOI

DOI: 10.35366/108189
URL: https://dx.doi.org/10.35366/108189

Language: Spanish
References: 12
Page: 119-127
PDF size: 645.22 Kb.


Key words:

Juvenile ossifying fibroma, ossifying, fibroma, trabecular.

ABSTRACT

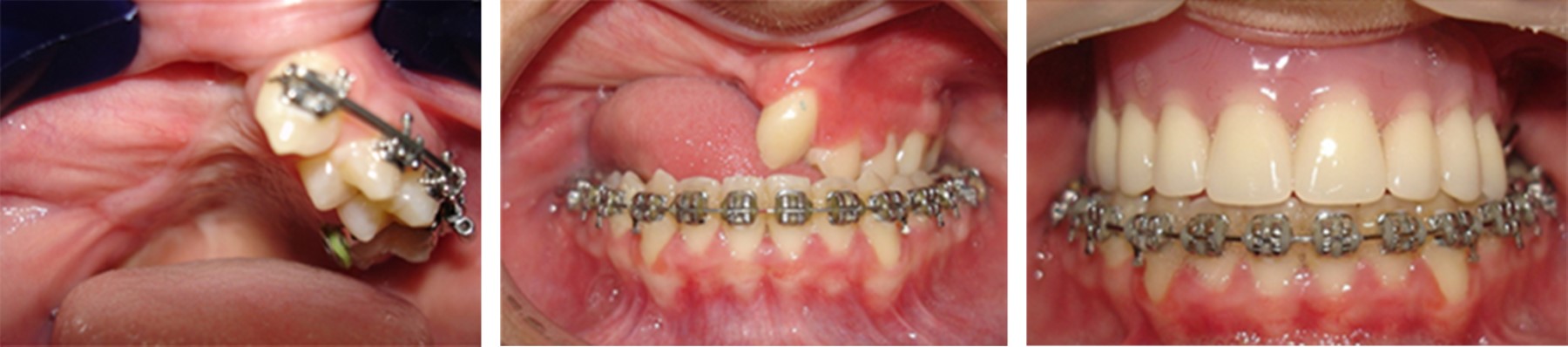
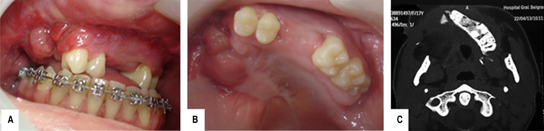
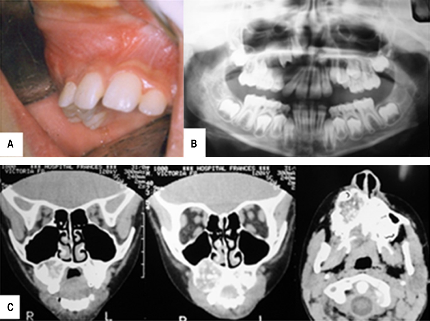
Ossifying fibroma a benign neoplasm of fibro-osseous tissue, with well-defined limits histologically characterized a large amount of fibrocellular and mineralized tissue. This pathology is classified two categories, including juvenile trabecular ossifying fibroma (TrOF) and psammomatoid (PsOF). Although the characteristics of these lesions are presented in a similar way, the great difference between them is the average age of presentation: 6-11.5 years the trabecular and from 12-18.9 years older the psammomatoid. Between these two groups there are histological variants and among them is the possible and unusual presentation of malignancy within the histology. The aim of this report is to describe the treatment of an eight-year-old female patient with a diagnosis of highly aggressive juvenile ossifying fibroma with points of possible sarcomatous transformation in maxillary without recurrences clinical, radiographic and tomographic follow-up for 18 years.


REFERENCES

  1. El-Mofty S. Psammomatoid and trabecular juvenile ossifying fibroma of the craniofacial skeleton: two distinct clinicopathologic entities. Oral Surg Oral Med Oral Pathol Oral Radiol Endod. 2002; 93 (3): 296-304.

  2. Reed RJ, Hagy DM. Benign nonodontogenic fibro-osseous lesions of the skull. Report of two cases. Oral Surg Oral Med Oral Pathol. 1965; 19: 214-227.

  3. Chrcanovic BR, Gomez RS. Juvenile ossifying fibroma of the jaws and paranasal sinuses: a systematic review of the cases reported in the literature. Int J Oral Maxillofac Surg. 2020; 49 (1): 28-37.

  4. Hamner JE 3rd, Lightbody PM, Ketcham AS, Swerdlow H. Cemento-ossifying fibroma of the maxilla. Oral Surg Oral Med Oral Pathol. 1968; 26 (4): 579-587.

  5. Dehner LP. Tumors of the mandible and maxilla in children. I. Clinicopathologic study of 46 histologically benign lesions. Cancer. 1973; 31 (2): 364-384.

  6. Brown JS, Shaw RJ. Reconstruction of the maxilla and midface: introducing a new classification. Lancet Oncol. 2010; 11 (10): 1001-1008.

  7. Marvel JB, Marsh MA, Catlin FI. Ossifying fibroma of the mid-face and paranasal sinuses: diagnostic and therapeutic considerations. Otolaryngol Head Neck Surg. 1991; 104 (6): 803-808.

  8. Lee YB, Kim NK, Kim JY, Kim HJ. Low-grade osteosarcoma arising from cemento-ossifying fibroma: a case report. J Korean Assoc Oral Maxillofac Surg. 2015; 41 (1): 48-51.

  9. Thariat J, Julieron M, Brouchet A, Italiano A, Schouman T, Marcy PY, et al. Osteosarcomas of the mandible: are they different from other tumor sites? Crit Rev Oncol Hematol. 2012; 82 (3): 280-295.

  10. Adekeye EO, Chau KK, Edwards MB, Williams HK. Osteosarcoma of the jaws--a series from Kaduna, Nigeria. Int J Oral Maxillofac Surg. 1987; 16 (2): 205-213.

  11. Diniz AF, Filho JA, Alencar RC, Garcia RR, Silva MR, Ribeiro-Rotta RF, et al. Low-grade central osteosarcoma of the mandible: a case study report. Oral Surg Oral Med Oral Pathol Oral Radiol Endod. 2007; 103 (2): 246-252.

  12. Owosho AA, Hughes MA, Prasad JL, Potluri A, Branstetter B. Psammomatoid and trabecular juvenile ossifying fibroma: two distinct radiologic entities. Oral Surg Oral Med Oral Pathol Oral Radiol. 2014; 118 (6): 732-738.




Figure 1
Figure 2
Figure 3
Figure 4
Figure 5
Figure 6
Figure 7
Figure 8
Figure 9
Figure 10
Figure 11
Figure 12
Table 1

2020     |     www.medigraphic.com

Mi perfil

C?MO CITAR (Vancouver)

Lat Am J Oral Maxillofac Surg. 2022;2