medigraphic.com
SPANISH

Cirujano General

ISSN 2594-1518 (Electronic)
ISSN 1405-0099 (Print)
  • Contents
  • View Archive
  • Information
    • General Information        
    • Directory
  • Publish
    • Instructions for authors        
    • Send manuscript
  • medigraphic.com
    • Home
    • Journals index            
    • Register / Login
  • Mi perfil

2021, Number 3

<< Back Next >>

Cir Gen 2021; 43 (3)

Circumferential perforation of duodenal ulcer. Management of the duodenal stump and literature review

Garay-Lechuga, Daniel1,2; León-González, Mónica1,3; Afya, Avi1,4; Olvera-Luna, Alba Grisel5
Full text How to cite this article 10.35366/108574

DOI

DOI: 10.35366/108574
URL: https://dx.doi.org/10.35366/108574

Language: English/Spanish [Versi?n en espa?ol]
References: 9
Page: 198-201
PDF size: 189.46 Kb.


Key words:

duodenal ulcer, perforated ulcer, duodenal stump, surgery.

ABSTRACT

Peptic duodenal ulcer perforation is becoming a less frequent entity since the appearance of antihistaminics H2 and proton-pump inhibitors. Treatment depends on the extension of the lesion; from conservative management to emergency laparotomy. There is a report of an infrequent condition with an unusual presentation and literature review related to duodenal stump management.



INTRODUCTION

The incidence of peptic ulcers, both duodenal and gastric, has decreased as a result of two events: the discovery of H. pylori and the advent of antisecretory drugs, such as histamine receptor antagonists and proton pump inhibitors (PPIs).1 From 2 to 10% of peptic ulcers are complicated by perforation, most frequently in duodenal ulcers (60%).2 Early recognition and diagnosis of perforation are essential for adequate management and reduction of morbidity and mortality.

There is currently no consensus on the management of choice for peptic ulcer perforation; however, much will depend on the patient's preoperative status and the surgeon's judgment.



CLINICAL CASE

This patient was a 58-year-old male with a history of granulomatous vasculitis treated with azathioprine, methotrexate, and prednisone. Five months prior to his admission to our hospital, the patient was treated for sepsis as a result of Pneumocystis jirovecii pneumonia, for which reason azathioprine and methotrexate were withdrawn, and treatment was continued only with prednisone at a dose of 10 mg per day.

Five days before admission, the patient underwent elective sigmoidectomy, colorectal anastomosis, and protective ileostomy without complications due to diverticular disease, with good evolution in the immediate postoperative period. However, on the fourth postoperative day, he started with sudden pain in the epigastrium that was constant and with an intensity of 9/10 on the visual analog pain scale (VAS), without irradiation, accompanied by nausea and, on one occasion, gastro biliary vomiting, as well as abdominal distension and decreased urinary volumes. Physical examination revealed tachycardia, cardiopulmonary function without alterations, distended abdomen with generalized pain on palpation, absence of peristaltic sounds, and signs of peritoneal irritation. The ileostomy had adequate coloration and intestinal output.

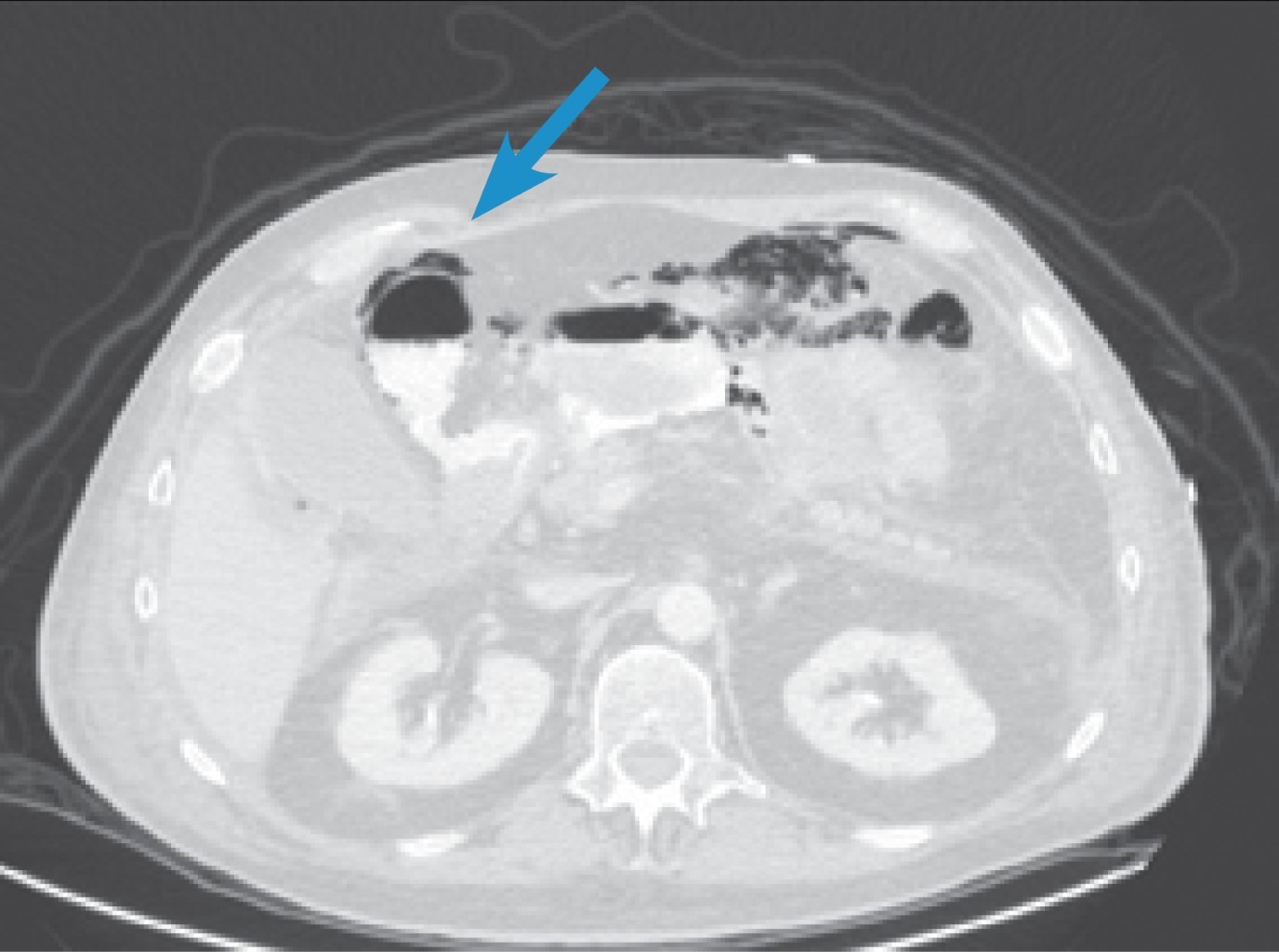
During the approach, laboratory tests were performed (Table 1), and a double contrast abdominal tomography (Figure 1), in which the outflow of contrast material into the abdominal cavity at the level of the first portion of the duodenum and much free air, was evident.

An emergency exploratory laparotomy was performed, which revealed the presence of a circumferential duodenal ulcer with a complete section of the first portion of the duodenum (Figure 2), abundant free bile fluid, and coffee wells; duodenal stump closure was performed with duodenostomy, antrectomy and manual Braun's omega gastrojejunal bypass with the placement of closed drains adjacent to the anastomosis, with a procedure duration of four hours.

In the immediate postoperative period, the patient required management in the Intensive Care Unit due to hemodynamic instability with gradual improvement in the following days; invasive mechanical ventilation and aminergic support were removed on the third postoperative day. An esophagogastroduodenal series was performed on the fourth postoperative day, which was reported with the adequate passage of contrast medium into the jejunum without evidence of leakage (Figure 3). He started an oral diet without complications; the patient had a minimal serous output removed on the fifth postoperative day and a progressive decrease of duodenostomy output until discharge on postoperative day seven. He was discharged after his improvement. In ambulatory follow-up, duodenostomy was withdrawn on postoperative day 23.



DISCUSSION

Beyond the functions of regulation, absorption, and alkalinization of the chyme, the duodenum is located in a highly complex anatomical region, which represents a challenge for the surgeon in the context of surgical injuries. Such injuries are infrequent; however, in the absence of trauma, the list of causes is headed by peptic ulcer disease and, secondly, by iatrogenesis. However, in the specific case of the patient presented, the cause of perforation was attributed to exposure to high-dose steroids, which contributes to decreased mucus secretion and HCO3, as well as impaired epithelial repair.3,4

International guidelines,5 currently standardize the management of tiny perforations. However, in the case of giant perforated ulcers (perforations more significant than 3 cm), the conduct to be followed concerning the management of the duodenal stump remains to be defined.

Given the degree of complexity in their management, these lesions are essential since they frequently involve tissue loss and abundant inflammation (difficult duodenum). Likewise, once the duodenal stump has been closed, there is a high tendency to duodenal leakage or bursting due to high intraluminal pressure, poor stump closure (extrusion of mucosa through the closure), or enzymatic autodigestion.6

It is understood that performing a Billroth I reconstruction eliminates the possibility of a problematic duodenum; however, given the cases in which it is not possible (emergency surgery, unstable patient, etcetera), some techniques have been described to reduce the number of complications associated with duodenal stump closure.

In the setting of a released duodenum, with wall integrity, no pancreatic head involvement, and non-edematous, in a retrospective comparative study of 2,034 cases in 2011, linear stapler, hand suture, and tobacco pouch closure were included, no statistical difference was found in terms of leakage or bleeding.7

In 1933 the Bsteh-Nissen technique was published for the first time, initially described for managing ulcers with penetration to the pancreas. It consists of resectioning the affected edges of the duodenum and adequate mobilization of the duodenum to subsequently perform an anastomosis of the healthy duodenum to the ulcerous edge in the head of the pancreas.8

Bennett and colleagues modified the Bancroft technique described in 1932, resulting in the technique currently used, which consists of preserving the right gastric and right gastroepiploic artery to ensure irrigation, given that antrectomy is performed 4-5 cm from the pylorus. The mucosa is dissected from the seromuscular layer of the duodenum. It is pushed towards the lumen of the duodenum to obtain a seromuscular flap with which a flap-wall closure is performed.9

In 1950 Welch and collaborators used for the first time duodenostomy for the management of difficult duodenum; this technique consists of the placement of a tube that communicates the duodenal lumen with the exterior; there are several modalities (terminal, lateral, Stamm, etcetera); however, they are beyond the limits of this review.8,9

In our case, we opted for management with duodenostomy, which was to relieve intraluminal pressure given the loss of tissue integrity at the mouth of the ulcer, as recommended by recent literature.3



CONCLUSIONS

Managing the problematic duodenal stump is challenging for the surgeon due to the need for international guidelines for optimal treatment in the unstable patient scenario. For this reason, treatment should be personalized depending on the hemodynamic conditions of the patient, characteristics of the lesion, hospital conditions, and available material to seek the best results with a reduction in complications.


REFERENCES

  1. Prabhu V, Shivani A. An overview of history, pathogenesis and treatment of perforated peptic ulcer disease with evaluation of prognostic scoring in adults. Ann Med Health Sci Res. 2014; 4: 22-29.

  2. Bertleff MJOE, Lange JF. Perforated peptic ulcer disease: a review of history and treatment. Dig Surg. 2010; 27: 161-169.

  3. Kutlu OC, Garcia S, Dissanaike S. The successful use of simple tube duodenostomy in large duodenal perforations from varied etiologies. Int J Surg Case Rep. 2013; 4: 279-282.

  4. Guslandi M. Steroid ulcers: any news? World J Gastrointest Pharmacol Ther. 2013; 4: 39-40.

  5. Di Saverio S, Bassi M, Smerieri N, Masetti M, Ferrara F, Fabbri C, et al. Diagnosis and treatment of perforated or bleeding peptic ulcers: 2013 WSES position paper. World J Emerg Surg. 2014; 9: 45.

  6. Islam S, Seetahal-Maraj P, Naraynsingh V. The current management of the difficult duodenum. Sylwan. 2016; 160: 464-489.

  7. Shao QS, Wang YX, Ye ZY, Zhao ZK, Xu J. Application of purse-string suture for management of duodenal stump in radical gastrectomy. Chin Med J (Engl). 2011; 124: 1018-1021.

  8. Galindo F. Técnicas quirúrgicas en patología gastroduodenal. Argentina, Buenos Aires: Ed. Panamericana; 2009.

  9. Bennett JM. Modified Bancroft procedure for the difficult duodenal stump. Arch Surg. 1972; 104: 219-222.



AFFILIATIONS

1 General surgery. American British Cowdray Medical Center, IAP. Mexico City, Mexico.

2 ORCID: https://orcid.org/0000-0003-1759-5787.

3 ORCID: https://orcid.org/0000-0001-8652-0725.

4 ORCID: https://orcid.org/0000-0003-4098-9039.

5 Undergraduate Medical Intern. Huichapan General Hospital. Huichapan, Hidalgo, Mexico. ORCID: https://orcid.org/0000-0003-4079-9446.



Ethical considerations and responsibility: data privacy. Following the protocols established in our work center, we declare that we have followed the protocols on patient data privacy and preserved their anonymity.

Funding: no financial support was received for the preparation of this work.

Disclosure: none of the authors have a conflict of interest in the conduct of this study.



CORRESPONDENCE

Dr. Daniel Garay-Lechuga. E-mail: dgaray268@gmail.com




Received: 02/20/2020. Accepted: 09/15/2021

Figure 1
Figure 2
Figure 3
Table 1

2020     |     www.medigraphic.com

Mi perfil

C?MO CITAR (Vancouver)

Cir Gen. 2021;43