medigraphic.com
ENGLISH

Cirujano General

ISSN 2594-1518 (Digital)
ISSN 1405-0099 (Impreso)
  • Mostrar índice
  • Números disponibles
  • Información
    • Información general        
    • Directorio
  • Publicar
    • Instrucciones para autores        
    • Envío de artículos
  • medigraphic.com
    • Inicio
    • Índice de revistas            
    • Registro / Acceso
  • Mi perfil

2021, Número 3

<< Anterior Siguiente >>

Cir Gen 2021; 43 (3)


Nesidioblastosis del adulto, una entidad poco frecuente para el cirujano general

Myers Esmenjaud, Jorge Andrés1; Urbina de la Vega, José Felipe1; Mejía Nogales, Ramiro Esteban1; López Ortiz, Armando2; Gallegos Garza, Adriana Cecilia3; González Chavira, Javier4; Martínez de la Garma, Constanza4
Texto completo Cómo citar este artículo 10.35366/108573

DOI

DOI: 10.35366/108573
URL: https://dx.doi.org/10.35366/108573
Artículos similares

Idioma: Español/Inglés [English version]
Referencias bibliográficas: 10
Paginas: 193-197
Archivo PDF: 302.53 Kb.


PALABRAS CLAVE

Nesidioblastosis, hipoglucemia, pancreatectomía distal, laparoscopia, hiperinsulinismo, insulinoma.

RESUMEN

La nesidioblastosis es una patología del páncreas endocrino poco frecuente que origina cuadros de hipoglucemia por hiperinsulinismo endógeno. Se trata de una hiperplasia de los islotes de Langerhans con una hipertrofia de las células β. Las opciones de tratamiento en la mayoría de los casos es la pancreatectomía distal. Hombre de 64 años que presenta múltiples eventos de hipoglucemia de larga evolución. Se realizó protocolo diagnóstico evidenciándose la presencia sugestiva relacionada con insulinoma. Se decide realizar pancreatectomía distal por laparoscopia. Se informó de un fragmento pancreático con hiperplasia de islotes pancreáticos y células endócrinas aisladas. En la inmunohistoquímica con positividad para sinaptofisina y cromogranina que confirma el diagnóstico de nesidioblastosis difusa. El paciente fue egresado sin complicaciones y con adecuado control metabólico y sin episodios de hipoglucemia. Es así como la nesidioblastosis representa un reto diagnóstico en el paciente con hipoglucemia hiperinsulinémica refractaria a manejo médico.



INTRODUCCIóN

La hipoglucemia hiperinsulinémica en el adulto es causada generalmente por un insulinoma; sin embargo, en ausencia de éste hay una rara afección que representa entre 0.5-5% de estos casos; la nesidioblastosis o el síndrome hipoglucémico pancreático no insulinoma.1,2

La nesidioblastosis es descrita como una hiperplasia de los islotes de Langerhans en niños, y la forma del adulto se caracteriza por hiperfunción difusa de las células β del páncreas.2,3

Esta patología se presenta con episodios de hipoglucemia en ayunas, temblor, mareos, palpitaciones, sudoración, alteración neurológica, entre otros síntomas. Se logra obtener manifestación clínica de neuroglucopenia postprandial con una prueba de ayuno que puede resultar tanto positiva como negativa de 72 horas. Sin embargo, el diagnóstico definitivo es histopatológico utilizando marcadores neuroendocrinos (cromogranina, enolasa y sinaptofisina).2



PRESENTACIóN DEL CASO

Hombre de 64 años con antecedente de hipertensión arterial y psoriasis que refiere presentar múltiples eventos de diaforesis, palpitaciones, náusea, mareo, vómito y somnolencia con eventos repetidos de pérdida del estado de alerta, sin predominio de horario, aunque lo presenta después de la ingesta de alimentos. Para evitar estos eventos, aumentó la ingesta de alimentos cada hora, condicionando un aumento de 7 kg de peso.

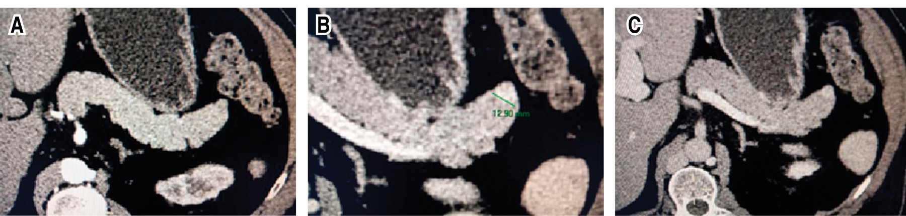
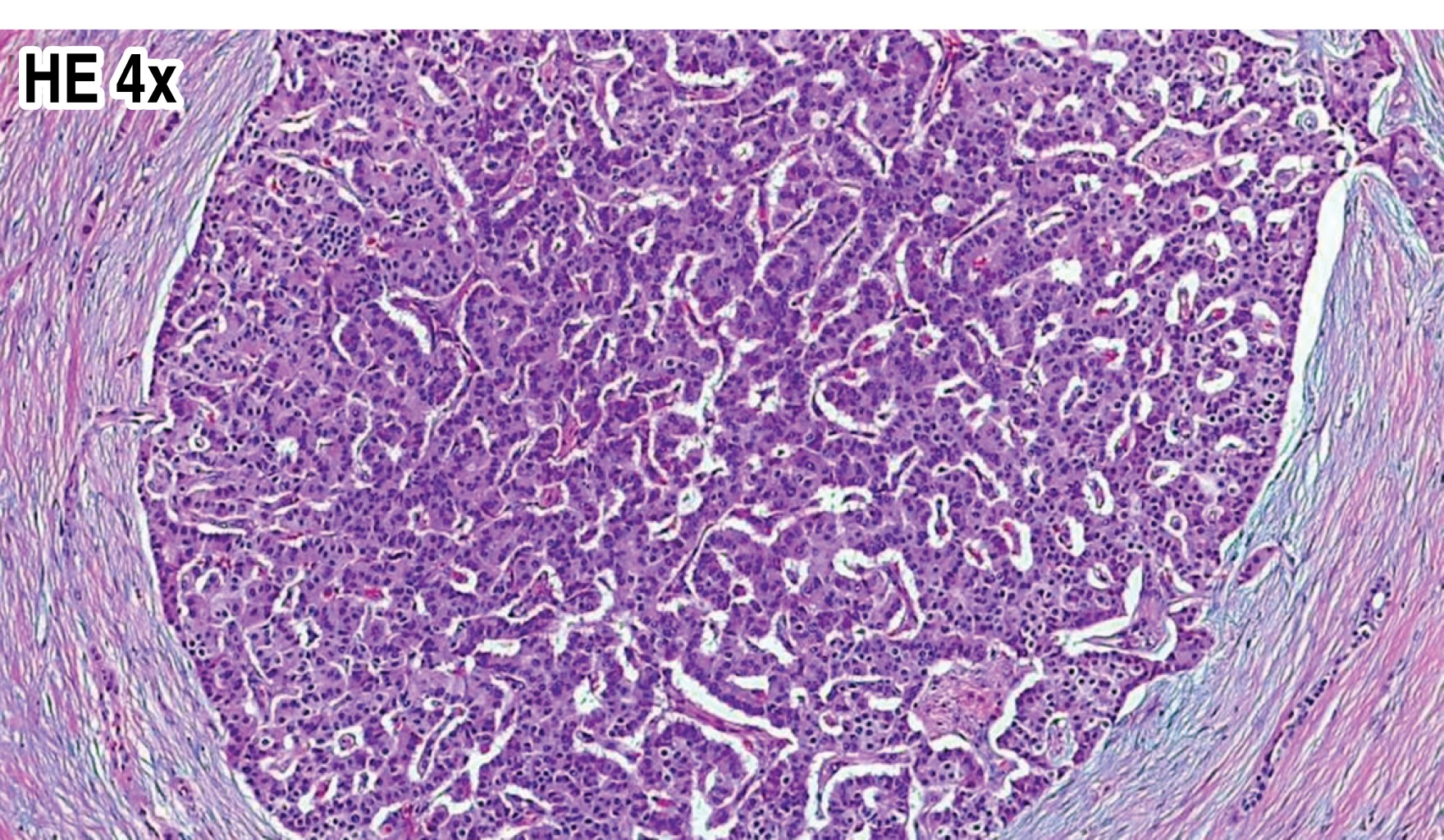
En múltiples ocasiones requirió atención en el servicio de urgencias dónde se evidenció la presencia de hipoglucemia tratada con solución glucosada que mejoraba el cuadro clínico. En general la exploración física dentro de parámetros normales, peso de 90 kg, talla 170 cm, índice de masa corporal (IMC) 31.1. Como parte del abordaje diagnóstico se realizó una prueba de ayuno que se tuvo que suspender después de 18 horas por síntomas neuroglucopénicos. Se identificó hiperinsulinismo sérico con glucosa de 56 mg/dL, insulina de 79 Uu/mL, péptido C de 10.2 ng/mL y relación insulina/glucosa de 13.1. Se solicitó una tomografía computada helicoidal trifásica, la cual demostró un nódulo redondo, de contornos bien delimitados, sólido, de localización superficial en la porción distal de la cola del páncreas que mide 12.9 mm de diámetro, hipodensa en la fase arterial e hiperdensa en las fases porta y principalmente en la fase venosa, la opinión radiológica fue de sospecha para insulinoma (Figura 1). Por las conclusiones de los estudios de imagen, la paciente se programó para pancreatectomía distal por laparoscopia que se realizó sin complicaciones. El estudio histopatológico reportó un fragmento de páncreas de 3.5 × 3 × 2.5 cm, amarillo rosado, se identificó lesión esférica, única de superficie gris violácea de 1.5 × 0.9 × 0.9 cm. Se identificó hiperplasia de los islotes pancreáticos y células endócrinas aisladas, así como bazo accesorio en la cola del páncreas. La inmunohistoquímica reveló positividad a sinaptofisina y cromogranina en los islotes pancreáticos de Langerhans con un índice de proliferación ki67 de 1%. Con todos estos datos se realizó el diagnóstico de nesidioblastosis difusa (Figuras 2 y 3). En este momento el paciente se encuentra con adecuado control glucémico y remisión de los eventos neuroglucopénicos.



DISCUSIóN

La insulina es una hormona sintetizada por las células β del páncreas que se encarga de la regulación de glucosa en sangre, si existen irregularidades en estos mecanismos compensatorios se pueden originar cuadros como la hiper o hipoglucemia, esta última en pacientes no diabéticos es un cuadro infrecuente que requiere estudiarse a fondo para tener un diagnóstico y tratamiento adecuado.2 La tríada de Whipple (baja concentración de glucosa en sangre, signos o síntomas clínicos compatibles con hipoglucemia y resolución de estos al aumento de la concentración de glucosa en plasma) debe documentarse antes de iniciar con la evaluación. De una manera general, en estos casos se debe iniciar el abordaje con determinaciones de glucemia, niveles de insulina en suero y péptido C al momento de la supuesta crisis hipoglucémica para poder orientarnos a la probable etiología.4

En el caso de este paciente, con las características clínicas que presentó existen diversas patologías sugestivas que podrían causar manifestaciones clínicas de una hipoglucemia hiperinsulinémica, se inició un estricto análisis, con estudios de laboratorios y de imagenología, para descartar los principales diagnósticos diferenciales; insulinoma, hipoglucemia inducida por fármacos (como sulfonilureas e insulina exógena) o hipoglucemia mediada por anticuerpos antiinsulina (AAI). Por interrogatorio se descartó la hipoglucemia inducida por fármacos, ya que el paciente no cuenta con antecedente de ingesta de alguno de éstos. Por lo tanto, la primera causa a descartar fue el insulinoma, solicitando estudios de imagenología evidenciando la lesión previamente descrita; sin embargo, una vez obtenido el reporte histopatológico final se reportó nesidioblastosis.

La nesidioblastosis es un término que se usa para referirse a una hiperplasia anormal de los islotes de Langerhans y una excesiva función de las células beta del páncreas que causa hipoglucemia hiperinsulinémica persistente, la cual puede ser adquirida o congénita. Se han descrito dos tipos de nesidioblastosis; la focal en donde los islotes forman nódulos, o la difusa que se forma por todo el páncreas.4 Las estadísticas epidemiológicas son escasas, se reporta mundialmente la incidencia de nesidioblastosis congénita en uno de cada 50,000 nacidos vivos y en la edad adulta representa 0.5-5% de casos de hipoglucemia hiperinsulinémica.5

Se han identificado diversas alteraciones moleculares en la nesidioblastosis congénita asociándose a mutaciones en los genes ABCC8, KCNJ11, HNF4A, HNF1A, GLUD1, GCK, HADH1, UCP2, MCT1, HK1 y PGM1, así como en diferentes síndromes congénitos; sin embargo, puede que no estén asociadas a la nesidioblastosis en el adulto. Se ha encontrado una alta expresión de péptidos hipoglucemiantes como el factor de crecimiento insulínico tipo 2 (IGF2), factor de crecimiento insulínico tipo 1 (IGF1) y factor de crecimiento transformador beta-3 en adultos con nesidioblastosis, las cuales nos dan una idea del mecanismo fisiopatológico que no está bien definido hasta el momento.6 Un caso en particular es el de los pacientes postoperados de bypass gástrico con la técnica Y de Roux con los cuales se han descrito casos de nesidioblastosis por el aumento del péptido similar al glucagón tipo 1 (GLP-1) que contribuye a la hipertrofia de las células β pancreáticas causando la hiperfunción de éstas, que en consecuencia inducen hipoglucemia.7 Clínicamente esta entidad se presenta con síntomas y signos propios de la hipoglucemia como temblor, mareos, palpitaciones, sudoración, y alteraciones neurológicas que mejoran a la ingesta de alimentos y además se caracteriza porque estos episodios se presentan postprandial.

Para realizar el diagnóstico primero se debe realizar una adecuada historia clínica, indagando comorbilidades, ingesta de alcohol, e ingesta de fármacos hipoglucemiantes, una vez realizado un adecuado interrogatorio, inicia la sospecha de probables patologías, guiándonos por la clínica y la historia natural de la enfermedad, al ser un paciente con hipoglucemia postprandial se debe descartar la presencia de hiperinsulinismo endógeno realizando una prueba de ayuno de 72 horas, el cual es positivo cuando tras esas horas los niveles de glucosa en sangre son < 45 mg/dl y los niveles de insulina se elevan > 6 m U/l y de péptido C > 0.6 ng/ml.8 Los estudios de imagen que se pueden utilizar para complementar el diagnóstico son la ecografía transabdominal, la tomografía axial computarizada (TAC), endoscopia, cateterismo selectivo con inyección intraarterial de calcio o incluso PET, en donde se ha observado que en pacientes con nesidioblastosis hay un aumento leve a moderado de la captación de 68GA-NOTA-Exedina-4 en ciertos segmentos del páncreas al realizar el estudio PET de imagenología. En casos congénitos de hiperinsulinismo de la infancia, el PET con 18F-Fluoro-L-dihidroxifenilalanina (18F-DOPA) se ha descrito como una técnica precisa para distinguir entre los tipos focales y difusos de nesidioblastosis y, por tanto, para guiar la resección quirúrgica.8

El diagnóstico definitivo es histopatológico, utilizando marcadores neuroendocrinos, y observando si se cumplen los criterios histológicos (mayores y menores) para el diagnóstico de nesidioblastosis.9 Se puede iniciar tratamiento con medicamentos como glucocorticoides, análogos de la somatostatina o diazóxido para el control de la secreción de insulina; sin embargo, si hay persistencia de los síntomas, el tratamiento de elección es la resección quirúrgica; en la mayoría de los casos se realiza la pancreatectomía distal, si el cuadro no remite después de la intervención se pueden usar los medicamentos previamente mencionados como tratamiento complementario.10



CONCLUSIONES

La nesidioblastosis representa una patología poco frecuente que se debe tener en cuenta cuando se han descartado causas más frecuentes de hiperinsulinismo endógeno, ésta debe ser estudiada por un equipo multidisciplinario que identifique y proponga el tratamiento más adecuado para tener un pronóstico aceptable en la calidad de vida.


REFERENCIAS (EN ESTE ARTÍCULO)

  1. Ramírez-González LR, Sotelo-Álvarez JA, Rojas-Rubio P, Macías-Amezcua MD, Orozco-Rubio R, et al. Nesidioblastosis en el adulto: reporte de un caso. Cirugía y Cirujanos. 2015; 83: 324-328.

  2. De Santibañes M, Cristiano A, Mazza O, Grossenbacher L, de Santibañes E, Sánchez-Clariá R, et al. Síndrome de hipoglucemia por hiperinsulinismo endógeno: tratamiento quirúrgico. Cir Esp. 2014; 92: 547-552.

  3. Mengual-Ballester M, Flores-Pastor B, Pascual H, Tudela-Pallares J, Aguayo-Albasini JL. Nesidioblastosis como causa de hiperinsulinismo en el adulto. Cir Esp. 2010; 88: 423-425.

  4. Orujov M, Lai KK, Forse CL. Concurrent adult-onset diffuse β-cell nesidioblastosis and pancreatic neuroendocrine tumor: a case report and review of the literature. Int J Surg Pathol. 2019; 27: 912-918.

  5. Kowalewski AM, Szylberg ?, Kasperska A, Marsza?ek A. The diagnosis and management of congenital and adult-onset hyperinsulinism (nesidioblastosis) - literature review. Pol J Pathol. 2017; 2: 97-101.

  6. Lopes AA, Miranda AC, Maior MS, de Mello RV, Bandeira FA. Nesidioblastosis associated with pancreatic heterotopia as a differential diagnosis of hypoglycemia: a literature review and case report. Am J Case Rep. 2020; 21: e922778.

  7. Anlauf M, Wieben D, Perren A, Sipos B, Komminoth P, Raffel A, et al. Persistent hyperinsulinemic hypoglycemia in 15 adults with diffuse nesidioblastosis. Am J Surg Pathol. 2005; 29: 524-533.

  8. Foster-Schubert KE. Hypoglycemia complicating bariatric surgery: incidence and mechanisms. Curr Opin Endocrinol Diabetes Obes. 2011; 18: 129-133.

  9. Revheim MER, Alavi A. Pet-based novel imaging techniques with recently introduced radiotracers, an issue of pet clinics. Elsevier; 2021.

  10. Van Meijeren J, Timmer I, Brandts H, Janssen I, Boer H de. Evaluation of carbohydrate restriction as primary treatment for post-gastric bypass hypoglycemia. Surg Obes Relat Dis. 2017; 13: 404-410.



AFILIACIONES

1 Servicio de Cirugía General. Hospital Ángeles Pedregal, Ciudad de México.

2 Servicio de Radiología e Imagen. Hospital Ángeles Pedregal, Ciudad de México.

3 Servicio de Anatomía Patológica. Hospital Ángeles Pedregal, Ciudad de México.

4 Médico Interno de Pregrado. Hospital Ángeles Pedregal, Ciudad de México.



Consideraciones y responsabilidad ética: los autores declaran que los procedimientos seguidos se conformaron a las normas de ética. En este artículo no aparecen datos de pacientes.

Financiamiento: los autores declaran que no existe financiamiento.

Conflicto de intereses: los autores declaran que no existe ningún conflicto de intereses en la realización del trabajo.



CORRESPONDENCIA

Jorge Andrés Myers Esmenjaud. E-mail: amyers_med@hotmail.com




Recibido: 14/02/2022. Aceptado: 12/10/2022

Figura 1
Figura 2
Figura 3

2020     |     www.medigraphic.com

Mi perfil

C?MO CITAR (Vancouver)

Cir Gen. 2021;43

ARTíCULOS SIMILARES

CARGANDO ...