medigraphic.com
SPANISH

Acta Médica Grupo Angeles

Órgano Oficial del Hospital Angeles Health System
  • Contents
  • View Archive
  • Information
    • General Information        
    • Directory
  • Publish
    • Instructions for authors        
    • Manuscript submission
    • Policies
    • Names and affiliations of the Editorial Board
  • About us
    • Data sharing policy
    • Stated aims and scope
  • medigraphic.com
    • Home
    • Journals index            
    • Register / Login
  • Mi perfil

2023, Number 1

<< Back Next >>

Acta Med 2023; 21 (1)

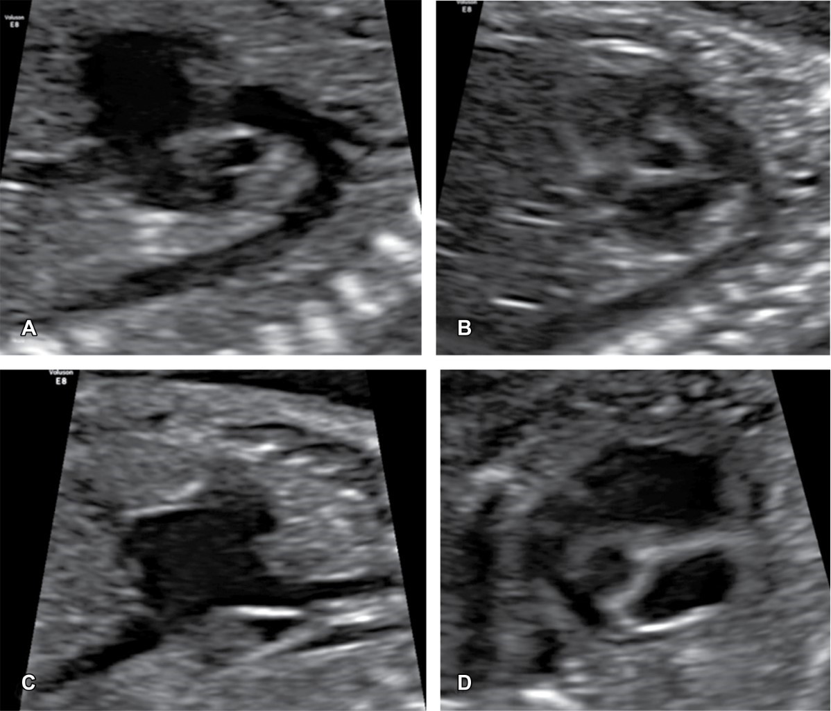
Congenital heart disease: characteristics and benefits of prenatal diagnosis

Reyes HMU
Full text How to cite this article 10.35366/109024

DOI

DOI: 10.35366/109024
URL: https://dx.doi.org/10.35366/109024

Language: Spanish
References: 15
Page: 60-65
PDF size: 254.09 Kb.


Key words:

congenital heart disease, prenatal diagnosis, fetal echocardiography.

ABSTRACT

Prenatal diagnosis of congenital heart disease classically involves structural evaluation of the fetal heart in the second trimester, with limited detection rates. However, with the current understanding of the pathophysiology, the improvement in the evaluation protocols, the identification of high-risk patients, and the optimization of ultrasounds, this detection rate has notably improved, changing the classic evaluation for an individualized process in different stages of pregnancy. This approach establishes an accurate diagnosis and prognosis and the appropriate management and birth plan. In addition, developing new prenatal therapies improves the prognosis in selected patients. A review of the current evidence of this new evaluation approach and the benefits and limitations of prenatal diagnosis is presented.


REFERENCES

  1. Wren C, Richmond S, Donaldson L. Temporal variability in birth prevalence of cardiovascular malformations. Heart. 2000; 83 (4): 414-419.

  2. Reyes HM, Bermúdez RL, Cifuentes FE, Hinojosa CJ. Desenlaces perinatales adversos en fetos con diagnóstico prenatal de cardiopatía congénita. Ginecol Obstet Mex. 2021; 89 (7): 516-523.

  3. Donofrio MT, Moon-Grady AJ, Hornberger LK, Copel JA, Sklansky MS, Abuhamad A et.al. Diagnosis and treatment of fetal cardiac disease: a scientific statement from the American Heart Association. Circulation. 2014; 129 (21): 2183-2242.

  4. Carvalho JS, Allan LD, Chaoui R, Copel JA, DeVore GR, Hecher K et al. ISUOG Practice Guidelines (updated): sonographic screening examination of the fetal heart. Ultrasound Obstet Gynecol. 2013; 41 (3): 348-359.

  5. Hernandez-Andrade E, Patwardhan M, Cruz-Lemini M, Luewan S. Early evaluation of the fetal heart. Fetal Diagn Ther. 2017; 42 (3): 161-173.

  6. Liao Y, Wen H, Ouyang S, Yuan Y, Bi J, Guan Y et al. Routine first-trimester ultrasound screening using a standardized anatomical protocol. Am J Obstet Gynecol. 2021; 224 (4): 396.e1-396.e15.

  7. AIUM Practice Parameter for the Performance of Fetal Echocardiography. J Ultrasound Med. 2020; 39 (1): E5-E16.

  8. Donofrio MT. Predicting the future: delivery room planning of congenital heart disease diagnosed by fetal echocardiography. Am J Perinatol. 2018; 35 (6): 549-552.

  9. Song MS, Hu A, Dyamenahalli U, Chitayat D, Winsor EJ, Ryan G et al. Extracardiac lesions and chromosomal abnormalities associated with major fetal heart defects: comparison of intrauterine, postnatal and postmortem diagnoses. Ultrasound Obstet Gynecol. 2009; 33 (5): 552-559.

  10. Brown KL, Sullivan ID. Prenatal detection for major congenital heart disease: a key process measure for congenital heart networks. Heart. 2014; 100 (5): 359-360.

  11. Holland BJ, Myers JA, Woods CR Jr. Prenatal diagnosis of critical congenital heart disease reduces risk of death from cardiovascular compromise prior to planned neonatal cardiac surgery: a meta-analysis. Ultrasound Obstet Gynecol. 2015; 45 (6): 631-638.

  12. Donofrio MT, Skurow-Todd K, Berger JT, McCarter R, Fulgium A, Krishnan A et al. Risk-stratified postnatal care of newborns with congenital heart disease determined by fetal echocardiography. J Am Soc Echocardiogr. 2015; 28 (11): 1339-1349.

  13. Allan LD, Huggon IC. Counselling following a diagnosis of congenital heart disease. Prenat Diagn. 2004; 24 (13): 1136-1142.

  14. Meller CH, Grinenco S, Aiello H, Córdoba A, Sáenz-Tejeira MM, Marantz P et al. Congenital heart disease, prenatal diagnosis and management. Arch Argent Pediatr. 2020; 118 (2): e149-e161.

  15. Bull C. Current and potential impact of fetal diagnosis on prevalence and spectrum of serious congenital heart disease at term in the UK. British Paediatric Cardiac Association. Lancet. 1999; 354 (9186): 1242-1247.




Figure 1
Figure 2
Figure 3
Figure 4
Table 1

2020     |     www.medigraphic.com

Mi perfil

C?MO CITAR (Vancouver)

Acta Med. 2023;21