medigraphic.com
SPANISH

Cirujano General

ISSN 2594-1518 (Electronic)
ISSN 1405-0099 (Print)
  • Contents
  • View Archive
  • Information
    • General Information        
    • Directory
  • Publish
    • Instructions for authors        
    • Send manuscript
  • medigraphic.com
    • Home
    • Journals index            
    • Register / Login
  • Mi perfil

2021, Number 4

<< Back Next >>

Cir Gen 2021; 43 (4)

A rare coexistence of cholecystobiliary and cholecistoenteric fistula with pyogenic abscesses. Report of a case

Benítez Beltrán, Javier1; Hernández Marcelo, Gustavo2; Guzmán Arguello, Gloria María3
Full text How to cite this article 10.35366/109129

DOI

DOI: 10.35366/109129
URL: https://dx.doi.org/10.35366/109129

Language: English/Spanish [Versi?n en espa?ol]
References: 18
Page: 251-258
PDF size: 401.41 Kb.


Key words:

Mirizzi syndrome, pyogenic liver abscess, cholecystobiliary fistulas, cholecystoenteric fistulas.

ABSTRACT

In October of 2019 we treated a rare combination of pyogenic liver abscess and Mirizzi syndrome (MS) type V in a 49 years-old female patient with abdominal pain and jaundice. We detected through laboratory, endoscopic and radiologic studies, a biliary obstruction due to a 2 cm biliary gallstone located in the common hepatic duct, pneumobilia, fever, leukocytosis and a severe inflammatory response, hence, surgery was required. During the intervention we found a scleroatrophic gallbladder, double fistulae to common hepatic duct and the duodenum. The case was solved with a cholecystectomy, closure of cholecistoduodenal fistulae, and a biliodigestive derivation with a yeyunal-hepatic anastomoses with Hepp technique. The right lobe liver abscesses were documented and drained by interventional radiology under ultrasound and CT guidance. Our patient required intensive care, antibiotics and total parenteral nutrition. She remained for 50 days in two hospitals and was discharged to outpatient care to continue observation of the liver abscesses with ultrasound and continued with antibiotics according to the results of the bacterial culture. Negative malignancy was reported for the scleroatrophic gallbladder. Conclusion: the Mirizzi syndrome, is classified in five types according to Csendes and Beltrán, type V is the less common and it is divided in Va and Vb, depending on the presence of any type of colecyto-enteric fistulae with or without gallstone ileus, respectively. We propose the addition of a Vc classification when additionally to the case described before, evidence of liver abscess or another associated liver pathology is found, since the obstruction and cholangitis are consequence of this specific case.



INTRODUCTION

In 1948, Pablo Luis Mirizzi described a syndrome that bears his name, Mirizzi's syndrome (MS), consisting of obstructive jaundice due to mild extrinsic compression of the common hepatic duct, which he named: hepatic duct syndrome.1 This MS results from acute and chronic inflammation caused by an impacted stone in the Hartmann's pouch or the cystic duct, with partial or complete obstruction of the main bile duct (PBC), which presents a problematic preoperative diagnosis and controversial therapeutic management. As the inflammatory process progresses, necrosis and even internal biliary fistula with the PBC or digestive tract may occur; the prevalence of this pathology varies from 0.05 to 5%; however, in Latin countries, the prevalence is estimated at 4.7 to 5.7%. There is a strong association between gallbladder cancer and this syndrome, with an estimated prevalence of 5-28%. Likewise, it is found in an age range of 60 ± 12.4 years. The different classifications have been based on the presence or absence of fistulous erosion between the gallbladder and the PBC and the extent of destruction of the latter. Mc Sherry and coworkers in 1982 classified SM into two types; in turn, reclassified in 1989 by Csendes into four types, and finally into five types by Beltrán MA and Csendes A.2-6

Mirizzi syndrome is currently classified as follows (Figure 1):2

Type I (11%): extrinsic compression of the common hepatic by impacted lithium in the neck/infundibulum or cystic duct of the gallbladder.

Type II (41%): the fistula involves less than one-third of the circumference of the common hepatic.

Type III (44%): involves 1/3 to 2/3 of the circumference of the common bile duct.

Type IV (4%): the destruction of the common bile duct wall.

Type V (0.9%): any cholecystoenteric fistula.

Type Va: with biliary ileus.

Type Vb: without biliary ileus.

Fistula to the hepatic duct without fistula to the gastrointestinal tract but with atrophy of the left hepatic lobe has been reported.7

A high association of gallbladder cancer (27%) is also known in Mirizzi syndrome. Elevated CA 19-9 levels indicate a coincident malignant gallbladder tumor in these cases. Because of this high coincidence of Mirizzi syndrome and gallbladder cancer, a trans-operative gallbladder biopsy is recommended in all patients.8

Ultrasonography, magnetic resonance cholangiopancreatography (MRCP), and endoscopic retrograde cholangiopancreatography (ERCP) could have a diagnostic suspicion rate in 77.8, and 82.3% of cases, and the combination with choledochoscopy procedure could improve the diagnostic sensitivity of MS. Intraoperative choledochoscopy is effective in confirming SM during operation. Open surgery is the current standard for the management of patients with SM. Laparoscopic surgery should be limited to type I MS, and patients should be selected very strictly.9

Hepatic abscesses are the most common type of visceral abscesses; however, they continue to be potentially fatal, with a mortality of between 2 and 12%. It presents an incidence of 2.3 cases per 100,000 and is more frequent in women with a ratio of 3.3:1; on the other hand, the incidence changes in Asia, increasing to 11 to 18 cases per 100,000 inhabitants. Risk factors include diabetes, hepatobiliary or pancreatic pathology, liver transplant, history of pulque intake, acute appendicitis, sepsis, diverticulitis, and colorectal neoplasia. Among the most associated pathogens, we find E. coli, K. pneumoniae, anaerobes, S. milleri, S. aureus, and Candida spp. and Pseudomonas aeruginosa, being these agents infrequent causes and can be found only in specific contexts. Pathogens may vary depending on the geographical region.10,11

The pyogenic liver abscess should be considered as a sequel of repeated episodes of cholangitis caused by biliary lithiasis (up to 40% of the cases), connections between the intestine and the biliary tract, papillotomies, and biliary stents. Its diagnosis and treatment continue to be problematic issues. Ultrasound (USG) and tomography (CT) are currently used to identify this pathology adequately. For diagnosis, patients must meet at least one of the following criteria image-guided drainage of abscesses in one or more intrahepatic cavities,12 one or more abscesses found during the surgical event,13 and one or more inflammatory lesions or abscesses demonstrated by imaging, together with symptoms and signs of infection, as well as blood cultures or liver biopsies compatible with inflammatory foci and resolution of the lesions after administration of antibiotic therapy.14

Within the clinical picture, the main symptoms are fever and abdominal pain in 90% of the cases. Abdominal pain is localized in the right hypochondrium, accompanied by rebound and tenderness, followed by nausea, vomiting, anorexia, general malaise, and weight loss in up to 50-75% of cases. Laboratorially, patients present elevated bilirubin, liver enzymes, and alkaline phosphatase in 67-90%; we also find leukocytosis, hypoalbuminemia, and anemia in a third of the cases.15

Treatment is based on percutaneous drainage guided by ultrasound or CT, laparoscopically or ERCP, accompanied by antimicrobial treatment, the carbapenems being the carbapenems group of choice. Percutaneous drainage guided by interventional radiology has a success rate of 80 to 87% and is currently considered the gold standard; however, in those abscesses with thickened and septated walls that cannot be adequately evacuated, the laparoscopic approach is preferred.12,16-18



PRESENTATION OF THE CASE

49-year-old woman sent from a second-level hospital with a history of right tibia fracture in 1999, left pelvic limb thrombosis (LPM) requiring arterial bypass in 2013; smoking for three years, currently suspended—repetitive episodes of vesicular colic of 10 years of evolution only with medical management.

She started her current condition on October 2, 2019, with abdominal pain in the epigastrium, general condition attack, diaphoresis, unquantified fever, dizziness, nausea, and vomiting on several occasions, adding jaundice and choluria after seven days–a weight loss of 15 kg in the last six years.

On physical examination on admission, cardiopulmonary without compromise. Non-painful soft depressible abdomen, left lower extremity slightly hypotrophic. Laboratory on admission 2-X-2019 with glucose 242 mg/dl, urea 20 mg/dl, Cr 40 mg/dl, GGT 167 U/l, BD 0.53 mg/dl, BI 0.35 mg/dl, BT 0.88 mg/dl, FA 446 U/l, AST 48 U/l, ALT 55 U/l, DHL 138 U/l, Na 138 mmol/l, K 3.5 mmol/l, Cl 104 mmol/l, leukocytes 14.8 × 103/μl, neutrophils 80.6%, Hb 9.1 g/dl, Ht 26.3%, platelets 72,000 × 103 /μl, EGO: blood 1,000 erythrocytes/field, Prot 10 mg/dl, white blood cells (WBC) 0-3/field, scanty bacteria, TP 14.8 sec, PTT 39.4 sec, INR 1.08, tumor markers: CEA 4.4 ng/ml, CA 19.9 < 0.8 U/ml, CA 125 26.8 U/ml, AFP 1.5 ng/ml and Ca 19.9 0.8 U/ml.

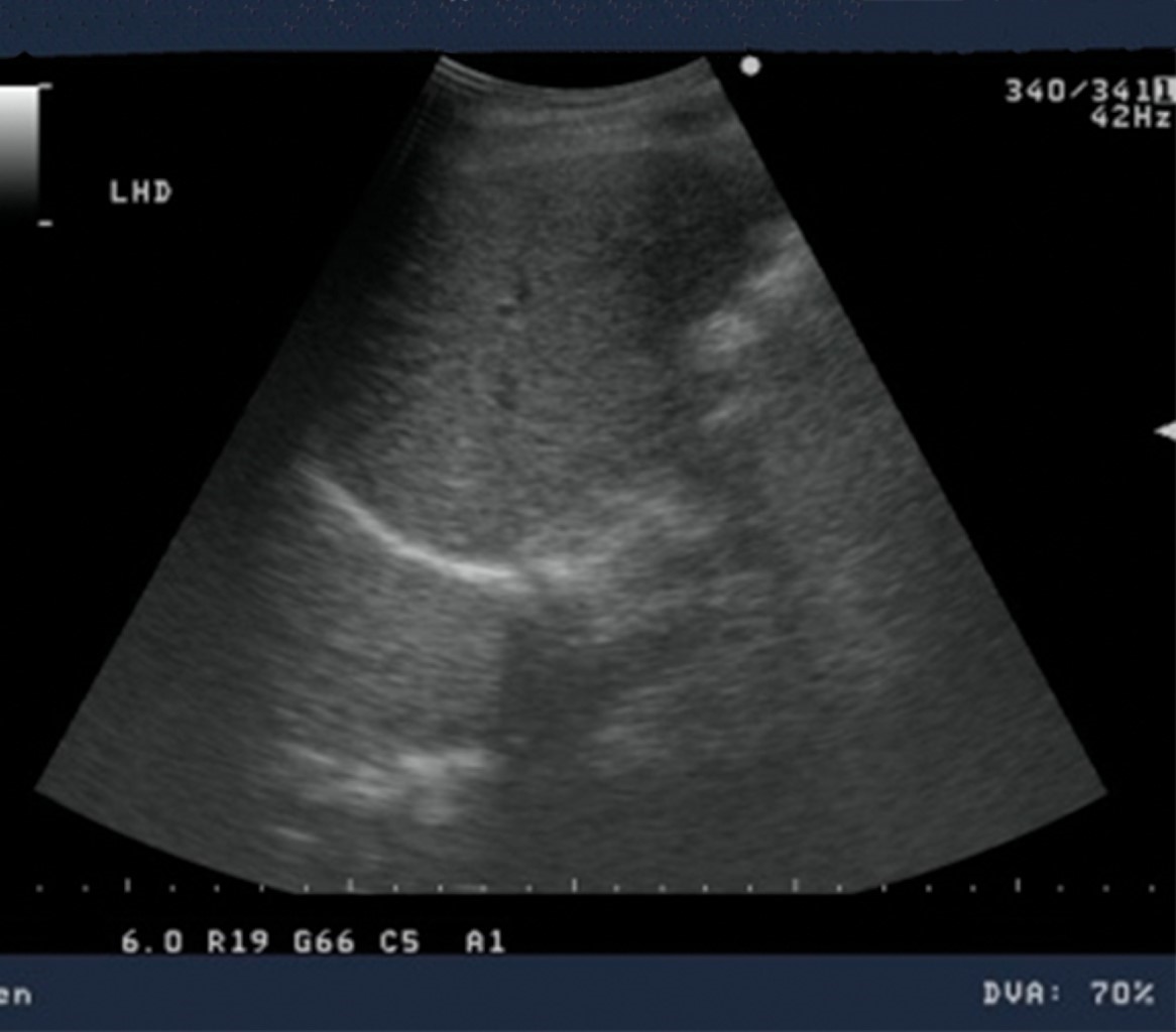
USG of the liver and biliary tract was performed on admission, reporting a heterogeneous parenchymal liver gland with hypoechoic image, poorly defined borders, diameters of 6.37 × 5.23 cm located in segment VI, heterogeneous, with poor vascularity suggestive of hepatic abscess vs. hepatocarcinoma, preserved portal vessels, intrahepatic ducts with air inside suggestive of pneumobilia, common bile duct and portal vein of normal caliber. Laboratory one day after admission with glucose 86 mg/dl, urea 17 mg/dl, BUN 7.9 mg/dl, Ca 6.9 mg/dl, GGT 349 U/l, BD 3.34 mg/dl, BI 1.29 mg/dl, BT 4.63 mg/dl, FA 410 U/l, AST 37 U/l, ALT 28 U/l, DHL 131 U/l, Na 134 mmol/l, K 3.7 mmol/l, CL 108 mmol/l, leukocytes 13.3 × 103/μl, neutrophils 85.1%, HB 10.4 g/dl, OHT 30.2%, PLT 220 × 103/μl, PT 15.6 sec, PTT 34.7 sec, INR 1.16.

An abdominal CT scan was performed on 10/02/19, which reported findings of a hypodense image of 80 × 53 mm with 23 HU in segments VI and VII concerning liver abscess on the right side, hepatomegaly at the expense of the same lobe, presence of pneumobilia, which is observed in communication with the anterior wall of the gallbladder, little free fluid in the pelvic cavity, bilateral pleural effusion and passive atelectasis. Similarly, ERCP was requested on 10-09-19, which reported a common bile duct of 10 mm, a circular filling defect of approximately 20 mm, which delays emptying the contrast medium from the biliary tract, reporting probable Mirizzi syndrome type IV, and bilioenteric fistula of a site to be determined. Sphincterotomy is performed, sweeping with a lithotripsy cannula and placing a 10 × 10 cm Amsterdam-type stent (Figure 2).

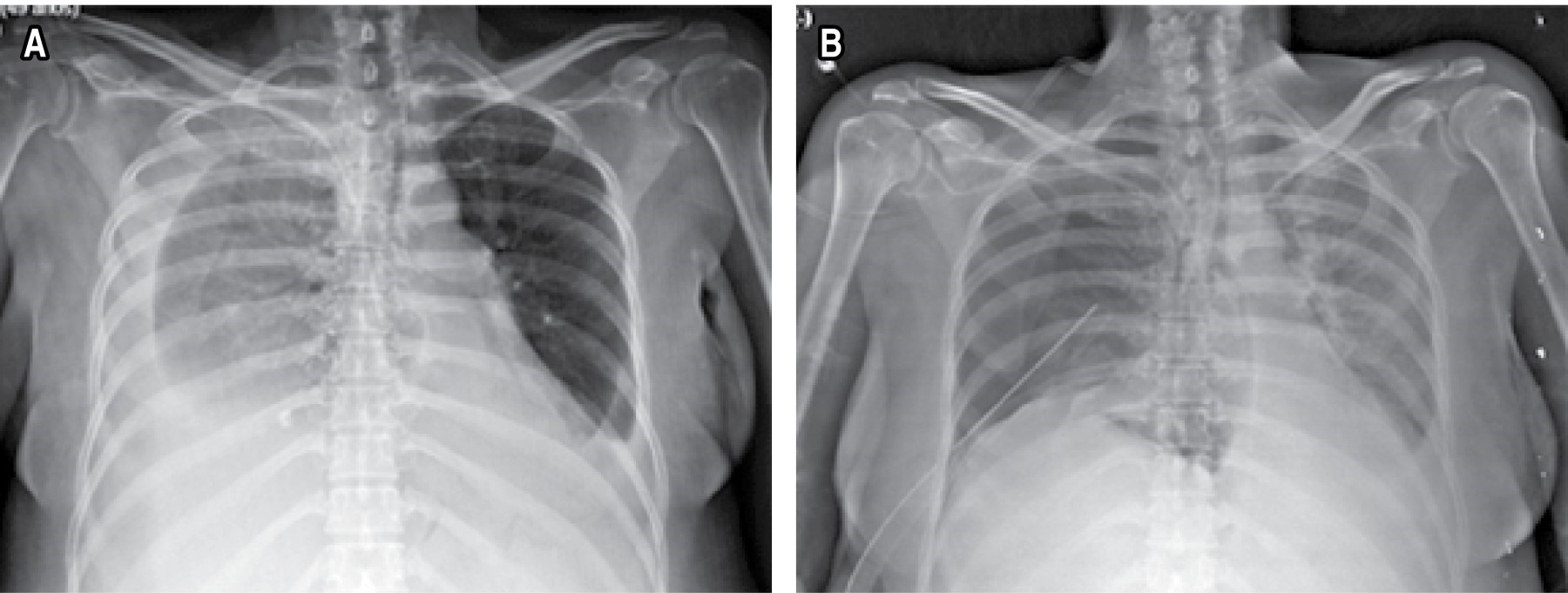
She was sent to our service on 10-27-19, receiving 85% oximetry and anasarca; a chest teleradiography was performed on admission, showing evidence of right pleural effusion of approximately 40%, placing a water seal in the sixth intercostal space with right axillary midline and verifying its placement with a control chest X-ray that ensures the placement of the probe, proposing an exploratory laparotomy on 10-29-19 (Figure 3).

A right subcostal incision was made with findings of cholecystobiliary fistulas to the common hepatic and cholecystoduodenal to the first portion (Figure 4).

When dissecting the plastron, the scleroatrophic gallbladder is opened over the palpated litho; the Amsterdam prosthesis is extracted from the interior of the main biliary tract, together with a 2 cm litho embedded in the common hepatic, resulting in a 2 cm defect involving the common hepatic and partially the left hepatic duct, A 3 mm fistulous orifice from the vesicular remnant to the duodenal knee, it was decided to close the cholecystoduodenal fistula with a 2-0 polypropylene loop and three separate polypropylene stitches on top of the loop, curative biliodigestive bypass from the jejunum to the common hepatic in a single mouth with the left hepatic (Hepp's technique) in "golf club" with separate stitches and 10 ml of fibrin sealant around the anastomosis, ending the jejunum-jejunal Roux-en-Y at 40 cm from the biliodigestive bypass in a transmesocolic way, fixing the jejunal loop to the mesocolon with separate 3-0 polypropylene stitches (Figure 5).

Subsequently, the liver was punctured for drainage of the unsuccessful liver abscess leaving a 1/2 inch Penrose type drainage to the site near the anastomoses, closing the abdominal aponeurosis by planes with polypropylene 1 with continuous suture and five separate stitches reinforcing the suture, skin with Sarnoff 2-0 separate stitches and a new puncture was programmed utilizing interventional radiology guided by USG in his intensive care bed.

She was evaluated by the angiology service on 30-10-2019 for her history of vascular bypass of the left pelvis extremity (LPE) due to the presence of an increased volume of both limbs, being more significant on the left side, reported with edema +++, femoral pulse grade I, popliteal and distal not palpable and delayed capillary filling. Doppler USG of both pelvic limbs was performed with adequate venous flow in the superficial and deep system, without observing the obstructive process by this means, an arterial tree without occlusion and triphasic flows to distal vessels in both extremities. Antithrombotic prophylaxis with fraxiparine 1 mg/kg/day is continued.

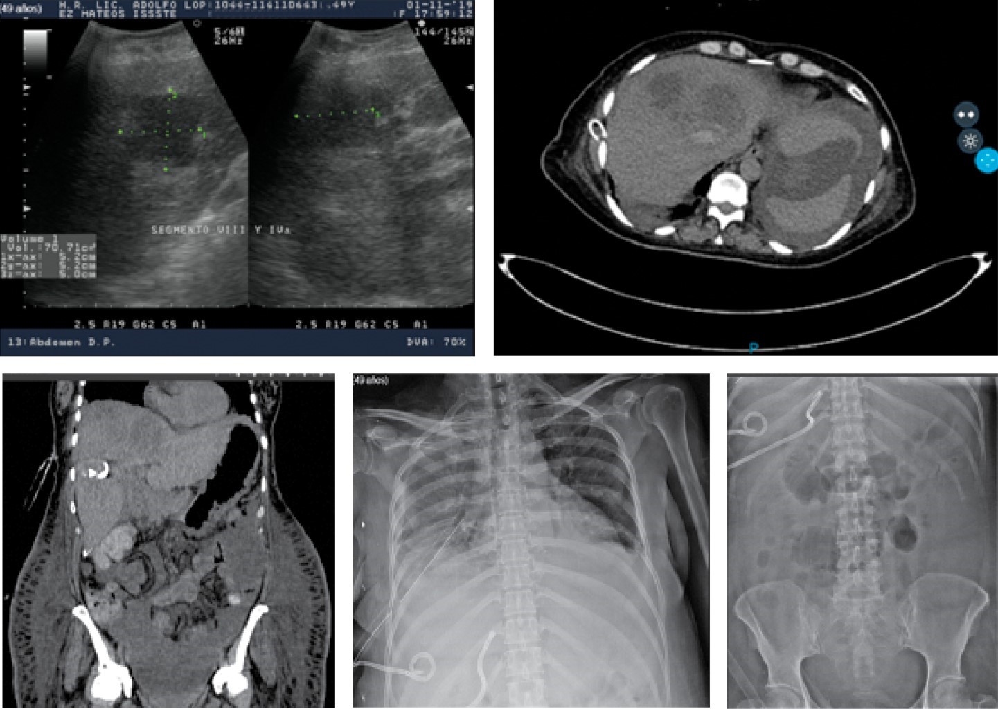
In intensive care, a new abdominal USG was performed (1-XI-19) and then mobilized to the Radiology Department to perform a simple and contrasted CT of the abdomen, performing a first puncture that same day and due to the lack of drainage and no decrease in the collection, a second puncture was performed on November 7, 2019, leaving two pigtails with 8 Fr catheters in two of the major collections (Figure 6).

The oral route was restarted with a liquid diet and porridges, gradually withdrawing total parenteral nutrition and having ceded fever, improved her body fluid redistribution, and hepatic drains expenses decreased to less than 40 cm3 in 24 hours; the patient was discharged home on 20-11-2019 with cephalexin 500 mg c/6 hours, orally for 15 more days and monitoring of the remaining small hepatic collections with monthly USG for three months in the outpatient clinic (Figure 7).



DISCUSSION

Drainage disorders of the biliary tree, grouped under the denomination of Mirizzi syndrome (MS), resulting from alterations of the cystic-cholecystic junction due to inflammatory processes secondary to gallstones. Anatomical changes may facilitate bile duct injuries during cholecystectomy or involve neighboring organs such as the stomach, duodenum, and colon, including the liver, as in the present case. MS is a rare complication (-1%) of chronic cholecystitis and cholelithiasis. Kehr's first descriptions of this syndrome were made in 1905, and Ruge's in 1908. It was characterized by stone impaction in the cystic duct or the neck of the gallbladder, resulting in mechanical compression or erosion of the common bile duct.1

MS continues to be a fascinating topic of study because of its challenging and unexpected presentation, which complicates a supposedly simple surgery. The approach to patients with suspected MS should be prudent and sound. Every effort should be made to establish a correct preoperative diagnosis. If found during surgery, every effort should be made to perform an accurate and cautious surgery, identifying the type of Mirizzi and performing the most appropriate treatment for each case.7

Clinical or laboratory findings specific to MS include jaundice, abdominal pain, and alterations during serum liver function tests. These symptoms of MS are seen in approximately 80% of cases.2 The patient we report here had a significant clinical picture, even with the availability of modern imaging techniques, although in most cases, they still need to be identified preoperatively.

The presence of pyogenic hepatic abscesses secondary to the cholangitis that the patient developed due to the obstruction of the biliary tree due to the migrated liths from a scleroatrophic vesicle and duodenal fistula is noteworthy. Punctual treatment required combined medical, radiological, endoscopic, and surgical procedures for the solution of SM type V and hepatic abscesses, involving a Hepp-type biliodigestive shunt and USG and CT guided punctures for the drainage of the abscesses in addition to antibiotic therapy according to culture reports, to achieve the therapeutic goal.

The different classifications of MS have been based on the findings reported, either by the presence or absence of fistulous erosion between the gallbladder, the main biliary tract, and the digestive tract. Thus Mc Sherry and collaborators4 in 1982 classified MS into two types; which, in turn, due to the more profound knowledge of this disease, were reclassified in 1989 by Csendes5 into four types, and later in 2008, Beltrán and Csendes added a type V that they subdivided into Va and Vb.6

Considering the above and derived from the fact that this disease during its natural history can, according to reports, also affect the liver with atrophy of some lobe,7 as well as cause liver abscesses as in our case, we propose the addition of a Vc classification for Mirizzi syndromes associated with liver involvement since no current classification considers the potential risk that this disease causes at intrahepatic level, which makes the treatment and evolution of these patients even more complex.


REFERENCES

  1. Mirizzi P. Síndrome del conducto hepático. J Int Chir. 1948; 8: 731-737.

  2. Galiano GJM. Síndrome de Mirizzi, un desafío para el cirujano. Rev Cubana Cir. 2016; 55: 151-163.

  3. Mc Sherry C, Ferstenberg H, Virhup M. The Mirizzi syndrome: suggested classification and surgical therapy. Surg Gastroenterol. 1982; 1: 19-25.

  4. McSherry CK, Ferstenberg H, Calhoun WF, Lahman E, Virshup M. La historia natural de la enfermedad de cálculos biliares diagnosticada en pacientes sintomáticos y asintomáticos. Ann Surg. 1985; 202: 59-63.

  5. Lai EC, Lau WY. Mirizzi syndrome: history, present and future development. ANZ J Surg. 2006; 76: 251-257.

  6. Beltran MA, Csendes A, Cruces KS. The relationship of Mirizzi syndrome and cholecystoenteric fistula: validation of a modified classification. World J Surg. 2008; 32: 2237-2243.

  7. Zhou J, Xiao R, Yang JR, Wang L, Wang JX, Zhang Q, et al. Mirizzi syndrome complicated by common hepatic duct fistula and left hepatic atrophy: a case report. J Int Med Res. 2018; 46: 4806-4812.

  8. Redaelli CA, Büchler MW, Schilling MK, Krahenbühl L, Ruchti C, Blumgart LH, et al. High coincidence of Mirizzi syndrome and gallbladder carcinoma. Surgery. 1997; 121: 58-63. doi: 10.1016/s0039-6060(97)90183-5.

  9. Cui Y, Liu Y, Li Z, Zhao E, Zhang H, Cui N. Appraisal of diagnosis and surgical approach for Mirizzi syndrome. ANZ J Surg. 2012; 82: 708-713. doi: 10.1111/j.1445-2197.2012.06149.x.

  10. Mischnik A, Kern WV, Thimme R. Pyogenic liver abscess: changes of organisms and consequences for diagnosis and therapy. Dtsch Med Wochenschr. 2017; 142: 1067-1074.

  11. Shi SH, Zhai ZL, Zheng SS. Pyogenic liver abscess of biliary origin: the existing problems and their strategies. Semin Liver Dis. 2018; 38: 270-283.

  12. Shi SH, Feng XN, Lai MC, Kong HS, Zheng SS. Biliary diseases as main causes of pyogenic liver abscess caused by extended-spectrum beta-lactamase-producing Enterobacteriaceae. Liver Int. 2017; 37: 727-734. doi: 10.1111/liv.13267.

  13. Huang CJ, Pitt HA, Lipsett PA, Osterman FA Jr, Lillemoe KD, Cameron JL, et al. Pyogenic hepatic abscess. Changing trends over 42 years. Ann Surg. 1996; 223: 600-607; discussion 607-609.

  14. Shi SH, Feng XN, Wang ZY, Sun K, Xu JF, Kong HS, et al. Pyogenic liver abscess related to intrahepatic bile duct stones: Difficulties in infectious control and diagnosis of concomitant cholangiocarcinoma. J Gastroenterol Hepatol. 2018; 33: 1092-1099. doi: 10.1111/jgh.14010.

  15. Rahimian J, Wilson T, Oram V, Holzman RS. Pyogenic liver abscess: recent trends in etiology and mortality. Clin Infect Dis. 2004; 39: 1654-1659.

  16. Rajak CL, Gupta S, Jain S, Chawla Y, Gulati M, Suri S. Percutaneous treatment of liver abscesses: needle aspiration versus catheter drainage. AJR Am J Roentgenol. 1998; 170: 1035-1039.

  17. Ahmed S, Chia CL, Junnarkar SP, Woon W, Shelat VG. Percutaneous drainage for giant pyogenic liver abscess--is it safe and sufficient? Am J Surg. 2016; 211: 95-101.

  18. Tu JF, Huang XF, Hu RY, You HY, Zheng XF, Jiang FZ. Comparison of laparoscopic and open surgery for pyogenic liver abscess with biliary pathology. World J Gastroenterol. 2011; 17: 4339-4343. doi: 10.3748/wjg.v17.i38.4339.



AFFILIATIONS

1 Chief physician of the service. General Surgery Service of the Regional Hospital "Lic. Adolfo López Mateos", ISSSTE. Mexico City, Mexico.

2 Attending physician. General Surgery Service of the Regional Hospital "Lic. Adolfo López Mateos", ISSSTE. Mexico City, Mexico.

3 Second-year resident of General Surgery. General Surgery Service of the Regional Hospital "Lic. Adolfo López Mateos", ISSSTE. Mexico City, Mexico.



Ethical considerations and responsibility: the authors declare that they followed the protocols of their work center on the publication of patient data, safeguarding their right to privacy through the confidentiality of their data.

Funding: no financial support was received for this work.

Disclosure: the authors declare no conflict of interest in carrying out the work.



CORRESPONDENCE

Javier Benítez Beltrán, MD. E-mail: benitezbj@gmail.com




Received: 07/18/2020. Accepted: 07/27/2021

Figure 1
Figure 2
Figure 3
Figure 4
Figure 5
Figure 6
Figure 7

2020     |     www.medigraphic.com

Mi perfil

C?MO CITAR (Vancouver)

Cir Gen. 2021;43