medigraphic.com
SPANISH

Cirujano General

ISSN 2594-1518 (Electronic)
ISSN 1405-0099 (Print)
  • Contents
  • View Archive
  • Information
    • General Information        
    • Directory
  • Publish
    • Instructions for authors        
    • Send manuscript
  • medigraphic.com
    • Home
    • Journals index            
    • Register / Login
  • Mi perfil

2021, Number 4

<< Back Next >>

Cir Gen 2021; 43 (4)

Solid pseudopapillary tumor of the pancreas or Frantz tumor. Report of two clinical case

Perea Cosío, René Alberto1; Norberto Rodríguez, Adolfo2; Menchaca Alanís, Luis M3; Sarmiento Huizar, Víctor4; Mendoza García, Miguel Ángel4; Chapa, Pedro4; Morales Sánchez, Nicolás Enrique4
Full text How to cite this article 10.35366/109131

DOI

DOI: 10.35366/109131
URL: https://dx.doi.org/10.35366/109131

Language: English/Spanish [Versi?n en espa?ol]
References: 12
Page: 265-270
PDF size: 317.07 Kb.


Key words:

Frantz tumor, pseudopapillary tumor of the pancreas, metastasis, spleen, splenectomy, pancreatectomy, partial.

ABSTRACT

Introduction: the solid pseudopapillary tumor of the pancreas or "Frantz tumor" was described for the first time in 1959, it is one of the less frequent neoplasms representing 1-2% of pancreatic tumors. It predominates in young female patients. Most of the diagnoses with incidental imaging tests, these tumors cause few symptoms, however, epigastric abdominal pain, nausea, vomiting, early satiety, abdominal distension, weight loss and jaundice predominate. Computed tomography is the study of choice. The histological study confirms the diagnosis. Its main metastatic sites occur in the liver and spleen. Treatment in all cases is surgical. When the resection is complete the prognosis is excellent with a survival of 95% at five years. Two clinical cases are presented in female patients aged 16 and 25, respectively, evaluated in consultation for a clinical picture characterized by nonspecific abdominal pain, gastric fullness, and vomiting. The complementary studies of both cases by means of simple and contrasted Computed Tomography of the total abdomen and pelvis concluded the first case: a dependent tumor of the body and tail of the pancreas and; In the second mass dependent on splenic hilum, surgical management is performed in both cases, performing in bloc pancreatectomy and splenectomy, respectively. The pathology study confirmed the diagnosis of both.



INTRODUCTION

Frantz tumor was first mentioned in 1959 by Virginia Kneeland Frantz.1-3 Solid pseudopapillary tumor of the pancreas (SPT) is one of the least frequent neoplasms, accounting for 0.2 to 2% of all pancreatic tumors and 1-2% of exocrine tumors. The tumor was given several names for its macroscopic and microscopic features until it was defined as a "solid pseudopapillary tumor of the pancreas" by the World Health Organization (WHO) as a single tumor in 1996.1,2,4,5

Most patients with solid pseudopapillary tumors of the pancreas are female (female: male ratio of 10:1), in the second or third decade of life with an average age of 22 years; about 20-25% are seen in pediatric ages, and only 6% of cases occur in patients older than 50 years.1-4,6



CLINICAL CASE 1

The first case corresponds to a female patient, 16 years old, with no familial or personal pathological history of relevance to the current condition. She presented with clinical symptoms of two months of evolution, characterized by intermittent episodes of abdominal pain in the epigastrium of variable intensity, with irradiation to the flank and lumbosacral fossa on the left side, without other added symptomatology. Physical examination showed abdominal distention, mild pain in the epigastrium, and no palpable masses.

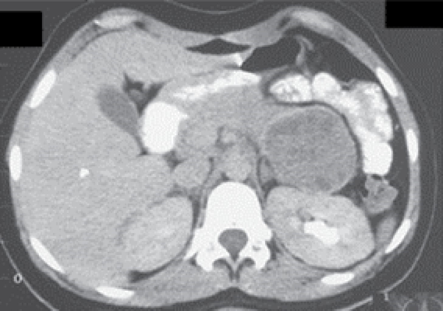
Computed axial tomography (CT) of the upper abdomen was performed with single and double contrast in axial sections, showing a pancreas with a severe increase in size in body and tail secondary to a large lesion of regular edges, with significant mass effect on retroperitoneal structures, isodense to the parenchyma, with hypodense areas not reinforced by intravenous contrast, without calcifications or cystic areas, measuring 102 × 107 × 115 mm (Figure 1), head and uncinate process without alterations, the rest of the study without alterations.

Laboratory studies (blood biometry, liver function tests, amylase, lipase, prothrombin time (PT), partial thromboplastin time (PTT), international normalized ratio (INR), serum electrolytes, general urine test) were within normal parameters. An approach protocol was initiated with suspicion of neuroblastoma as the first diagnostic possibility; total and fractionated catecholamines were requested in 24-hour urine, which was within normal parameters.

A laparotomy is scheduled, and the following findings are reported: Chevron incision approach, the peritoneal cavity is opened, protocol exploration is performed, Balfour type automatic retractor is placed, and the gastrocolic space is opened in order to enter the omentum transcavity. A tumor dependent on the tail of the pancreas is identified, and resection of the same is performed to complete the removal of the tumor and ligate the neoformation vessels with a harmonic scalpel. We apply a 2-0 poliglecaprone 25 running suture in the distal segment of the pancreas, with total bleeding of approximately 200 cm3, with a surgical time of 100 minutes.

He tolerated the oral route for a three-day hospital stay with favorable evolution, with complete laboratory studies where only grade 2 normocytic normochromic anemia stands out. She was discharged four days later thanks to antibiotic treatment with ceftriaxone 1 g IV every 12 hours for seven days, and analgesic management with parecoxib 40 mg IV, paracetamol 1 g IV every eight hours and tramadol 50 mg IV for five days, with an external appointment with the result of pathology study.

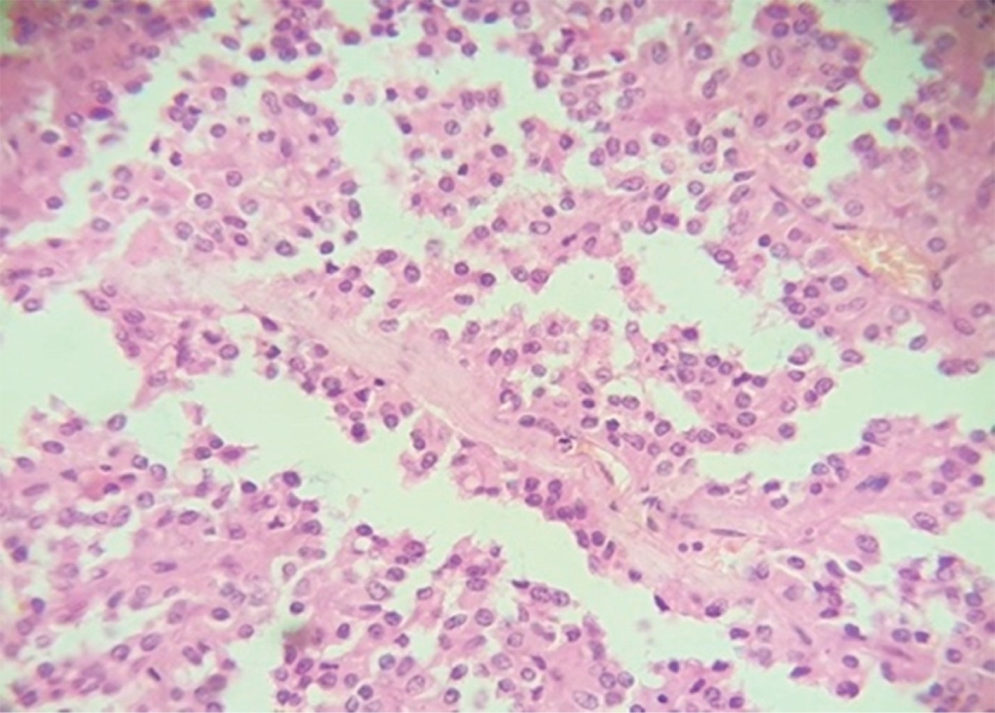
Pathology study reports, at the macroscopic examination, a solid 13 × 11.5 × 8 cm tumor (Figure 2); and, at the microscopic examination, the presence of pseudo papillae covered by several layers of epithelial cells (Figure 3). Intact capsule, not involved by neoplasia. Monthly follow-up with laboratory and imaging controls, without alterations.



CLINICAL CASE 2

The second case was that of a 25-year-old female patient with no significant familial or personal pathological history, consulted for a three-month history of postprandial fullness, vomiting of gastric contents without significant weight loss, referred abdominal pain in the epigastrium and left hypochondrium, mild to moderate urgency, intensity without irradiation, exacerbated by any food intake.

Physical examination revealed mild abdominal distension, preserved peristalsis with pain on mid and deep palpation in the epigastrium and left hypochondrium with a palpable mass in the same area, without adenomegaly or peritoneal irritation.

Laboratory and imaging paraclinical studies were performed, and blood laboratories (blood cytology, blood chemistry, liver function tests, PT, PTT, serum electrolytes, amylase, lipase) were found without alterations, as well as the chest X-ray; However, CT of the upper, lower abdomen and pelvic simple and with biphasic contrast not contrasted with diagnostic approach was requested, and as the only finding it was reported "spleen of normal size; however, there is a mass with 40 Hounsfield units with calcifications in the wall, well delimited, located in the splenic hilum measuring approximately 8.2 cm by 6.6 cm" (Figure 4). It was decided to perform surgery.

With the Chevron approach, the abdominal cavity is opened, which begins with exploratory laparotomy protocol focused on the gastrocolic space and enters the transcavity of the omentum, where a tumor of the tail of the pancreas is found extending to the splenic hilum and respecting the retroperitoneum, which could be resected with the tail of the pancreas together with the spleen, by traction of the stomach to expose the gastrosplenic ligament in order to find the omentum transcavity directly. Vessels were cut and ligated in the gastrosplenic ligament to give us good visualization of the splenic artery. Peritoneum was cut over the spleen to facilitate ligation of the splenic artery and vein with polyglactin 910 2-0 thread without leaving any drainage. The bleeding was of 300 cm3 approximately, and there was no need for blood transfusions; the surgical time was 120 min.

In the postoperative evolution, the patient tended to improve. After four days of fasting, due to amylase elevation secondary to manipulation and suture of the pancreas, he presented tolerance to the oral route. She was discharged with normal amylase levels, and an appointment was scheduled after one month to continue clinical surveillance and to know his histopathological results.

The diagnostic histopathologic report was conclusive and reported a 9.1 × 7.6 × 7.2 cm, smooth external surface, gray with a visible vascular network and increased consistency with cystic appearance (Figure 5); histological image of solid pseudopapillary tumor of the pancreas (papillary cystic tumor-Frantz tumor) (Figure 6), located in the tail of the pancreas without observing tumor activity in the outer face of the capsule of the neoplastic lesion, spleen with sinusoidal congestion.



DISCUSSION

Frantz tumor is an enigmatic tumor regarding its cellular origin and genotype. Its predominance in young female patients indicates the possibility of a hormonal influence in its development, only progesterone receptors have been demonstrated in these tumors, and some reports suggest the presence of beta forms of estrogen receptors. Patients infected with the hepatitis B virus have been reported, which can induce overexpression of β-catenin in tumor cells, suggesting this virus's participation in the pathogenesis of this tumor.4,7,8

Solid pseudopapillary tumor of the pancreas is genetically characterized by the activation of β-catenin and its white cells. Alterations of the colon adenomatous polyposis colon polyposis (APC) β-catenin and cyclin-D1 gene pathways, with activating mutations in exon 3 of the β-catenin gene, leading to nuclear accumulation and positive staining for β-catenin, are shown in 95% of cases in most of these tumors. Unlike ductal adenocarcinoma of the pancreas, the Frantz tumor is not associated with alterations in the K-ras, p53, or DPC4 genes.4

Most Frantz tumor diagnoses are made incidentally as a finding within imaging studies performed for other reasons. These tumors cause slight symptomatology until they reach significant dimensions; they sometimes present with abdominal pain, bloating, early satiety, anorexia, nausea, weight loss, pancreatitis, and jaundice. Rare cases of intra-abdominal hemorrhage due to tumor rupture have been reported. The main site of metastasis occurs in the liver and spleen.3,4,9 Extra pancreatic tumors are rare, and sometimes no ectopic pancreatic tissue is demonstrated.4

Computed tomography is the study of choice for the detection of pancreatic tumors; in Frantz's tumor, its most relevant tomographic features are an isolated location frequently in the head of the pancreas, a mixed location more frequently in the body and tail of the pancreas, predominantly solid content, mostly without calcifications, predominant size of 5-10 cm and mainly rounded shape with defined borders.10,11

Histologically they are encapsulated lesions with solid and cystic areas. The pseudopapillary appearance is found around a fibrovascular stalk. Polygonal tumor cells form solid areas or cluster in pseudo rosettes. The stroma may be myxoid or hyaline but is often inconspicuous. The foamy macrophages are periodic acid Schiff (PAS) positive.7,10,11 These tumors are of low-grade malignancy. Tumor resection is recommended in all patients.1,2,4,7,9,12 Oncologic resection with negative surgical margins should be performed to achieve local disease control, prevent recurrence and metastases, relieve symptoms, and ensure an excellent long-term prognosis.4

Eighty-five percent of patients present local disease at diagnosis, and 15% present disseminated disease. The long-term prognosis is excellent when resection is complete, with a five-year survival of 95%. Follow-up with postoperative imaging is recommended every six months for two years and then annually for life.4,10

Similar results are maintained in relation to what has been reviewed and in the experience of the reported cases, finding only gastrointestinal symptoms related to the clinic. As the main diagnostic aid, the tendency of CT as a diagnostic method continues; however, the incidental transoperative finding is a variable that, in our experience, should be considered.

Surgical treatment is the treatment of choice for a complete resolution of the pathology.



CONCLUSION

Frantz tumor is an infrequent neoplasm, usually incidentally diagnosed and with a low degree of malignancy. It was found to have a higher incidence in females between 15 and 30 with no identified history. With clinical and laboratory data, it is complicated to diagnose, leaving a CT scan as the primary imaging method of choice for identifying these pancreatic tumors.

The definitive treatment is complete surgical resection of the pancreatic tumor, which provides an excellent long-term prognosis, even without reporting treatment-related complications.


REFERENCES

  1. Torres-Criollo LM, González-León FM, Romero-Sacoto LA, Romero Galabay IM, Ramírez-Coronel A, Mancheno-Benalcazar LJ. Tumor de Franz. A propósito de un caso. Archivos Venezolanos de Farmacología y Terapéutica. 2020; 39: 701-708.

  2. Álvarez-Cuenllas B, Vaquero LM, Pisabarros C, Rodríguez L, Aparicio M, Rueda R, et al. Tumor de Frantz o neoplasia sólida seudopapilar de páncreas. Gastroenterol Hepatol. 2015; 38: 468-470.

  3. Vollmer CM Jr, Dixon E, Grant DR. Management of a solid pseudopapillary tumor of the pancreas with liver metastases. HPB (Oxford). 2003; 5: 264-267.

  4. Blanco FE, Zamora SO. La neoplasia sólida-pseudopapilar del páncreas como entidad enigmática. Rev Cubana Cir. 2015; 54. Disponible en: http://scielo.sld.cu/scielo.php?script=sci_arttext&pid=S0034-74932015000300011&lng=es

  5. Méndez-Vivas WR, Vázquez-Pelcastre R, Escalante-San Román A, Pereyra-Balmes MC. Tumor de Frantz-Gruber. Reporte de un caso y revisión de la literatura. Evid Med Invest Salud. 2014; 7: 143-146.

  6. Cerdán PR, Barranco DJ, Cantín BS, Bernal JJ, Serrablo RA, Esarte MJM. Tumor de Frantz: presentación de un caso. Rev Chil Cir. 2007; 59: 145-149.

  7. Lanke G, Ali FS, Lee JH. Clinical update on the management of pseudopapillary tumor of pancreas. World J Gastrointest Endosc. 2018; 10: 145-155.

  8. Zalatnai A, Kis-Orha V. Solid-pseudopapillary neoplasms of the pancreas is still an enigma: a clinicopathological review. Pathol Oncol Res. 2020; 26: 641-649.

  9. Hajjar R, Plasse M, Vandenbroucke-Menu F, Schwenter F, Sebajang H. Giant splenic cyst and solid pseudopapillary tumour of the pancreas managed with distal pancreatectomy and splenectomy. Ann R Coll Surg Engl. 2020; 102: e1-e3.

  10. Haro Erazo CX, Salinas Mancheno FA. Tumor de Frantz, presentación de un caso clínico. Ciencia Digital. 2019; 3: 488-496.

  11. Cerron-Vela CR, Moreno Navarro P, Araujo-Banchon WJ. Características tomográficas del tumor sólido pseudopapilar de páncreas (tumor de Frantz). Rev Fac Cien Med Univ Nac Cordoba. 2020; 77: 33-38.

  12. Choi SH, Kim SM, Oh JT, Park JY, Seo JM, Lee SK. Solid pseudopapillary tumor of the pancreas: a multicenter study of 23 pediatric cases. J Pediatr Surg. 2006; 41: 1992-1995.



AFFILIATIONS

1 General Surgery and Gastro Surgery Service of the General Hospital of Matamoros and International Medical Center Hospital. Mexico.

2 Oncosurgery Service of the International Medical Center Hospital. Mexico.

3 Pathology Service of the International Medical Center Hospital. Mexico.

4 Resident of the Surgery Service of the General Hospital of Matamoros "Dr. Alfredo Pumarejo Lafaurie". México.



Ethical considerations and responsibility: the authors declare that they followed the protocols of their work center on the publication of patient data, safeguarding their right to privacy through the confidentiality of their data.

Funding: no financial support was received for this work.

Disclosure: the authors declare that there is no conflict of interest in carrying out the work.



CORRESPONDENCE

René Alberto Perea-Cosío, MD. E-mail: dr.perea@unidad-gastrocirugia.com.mx




Received: 11/23/2021. Accepted: 01/18/2022

Figure 1
Figure 2
Figure 3
Figure 4
Figure 5
Figure 6

2020     |     www.medigraphic.com

Mi perfil

C?MO CITAR (Vancouver)

Cir Gen. 2021;43