medigraphic.com
SPANISH

Cirujano General

ISSN 2594-1518 (Electronic)
ISSN 1405-0099 (Print)
  • Contents
  • View Archive
  • Information
    • General Information        
    • Directory
  • Publish
    • Instructions for authors        
    • Send manuscript
  • medigraphic.com
    • Home
    • Journals index            
    • Register / Login
  • Mi perfil

2022, Number 1

<< Back Next >>

Cir Gen 2022; 44 (1)

Cholangiocarcinoma. Diagnostic approach and a clinical case

Maldonado-Calderón, José Luis1; Urbina-Zeglen, Antonio1; Maldonado-García, Edwin Leopoldo1
Full text How to cite this article 10.35366/109317

DOI

DOI: 10.35366/109317
URL: https://dx.doi.org/10.35366/109317

Language: English/Spanish [Versi?n en espa?ol]
References: 17
Page: 34-39
PDF size: 380.98 Kb.


Key words:

cholangiocarcinoma, perihilar, Klatskin, cholestasis, CA 19-9.

ABSTRACT

Cholangiocarcinomas are tumors derived from both intrahepatic and extrahepatic biliary epithelium. They are the second most common primary liver tumor. They are characterized by their presentation in advanced stages. There are different important risk factors for the development of this pathology, however up to 50% of cases are reported without an associated risk factor. For its diagnosis, all the clinic, imaging studies, biopsy or brushing as well as tumor markers are required. The only treatment with curative intent is surgical resection.



INTRODUCTION

Cholangiocarcinomas (CCa) are tumors derived from the biliary epithelium, both intrahepatic and extrahepatic.1 They are the second most frequent primary tumor of the liver.2,3 They are characterized by their presentation in the advanced stages of the disease. There are different important risk factors associated with the development of this pathology; however, up to 50% of cases are reported without an identifiable risk factor.3-7 Diagnosis requires a combination of clinical findings, imaging studies, biopsy or brushing, and tumor markers. The only treatment with curative intent is surgical resection of the tumor. We present the case of a 77-year-old man with typical manifestations suggestive of cholangiocarcinoma.



PRESENTATION OF THE CASE

We present the case of a 77-year-old male patient who reports the removal of nasal polyps 40 years ago as the only relevant history.

His condition began approximately two months earlier with abdominal discomfort, which progressively increased until he presented abdominal pain in the right hypochondrium radiating to the back as a hemi belt and weight loss in recent months. An abdominal ultrasound was performed, and the patient was started on analgesics without achieving total remission of the symptoms. The patient reported choluria, acholia of one month of evolution, and generalized pruritus. One week before, he started with jaundice reflected in his skin and sclerae. He came to the Emergency Department of our institution due to worsening of the symptoms described above, accompanied by anorexia and nausea without vomiting.

Physical examination revealed icteric staining of the skin, oral mucosa, and sclerae. Flat abdomen with traces of scratching, soft and depressible, painful on deep palpation in the right hypochondrium, positive Murphy's sign, with a palpable gallbladder under tension, slightly painful on palpation, with no evidence of peritoneal irritation.

Laboratory studies: hemoglobin 13.9 g/dl, hematocrit 46.2%, platelets 234 K/µl, leukocytes 8.7 K/µl, glucose 151 mg/dl, creatinine 0.8 mg/dl, sodium 147 mmol/l, potassium 4.1 mmol/l, calcium 9.5 mg/dl, phosphorus 4.2 mg/dl, magnesium 2.4 mg/dl, alkaline phosphatase (ALP) 370 U/l, gamma-glutamyl-transpeptidase (GGT) 369 U/l, total bilirubin (BT) 13.7 mg/dl, direct bilirubin (BD) 11.8 mg/dl, indirect bilirubin (BI) 1.9 mg/dl, TGO 68 U/l, TGP 160 U/l, DHL 205 U/l, albumin 4.1 g/dl, prothrombin time 10.8 seconds, INR 0.87, partial thromboplastin time 29.8 seconds, amylase 204 U/l, lipase 207 U/l.

Previously performed abdominal ultrasound reported (Figure 1): "dilatation of the hepatic and biliary ducts. Gallbladder with multiple lithos, as well as biliary mud. Common bile duct: 12 mm in diameter (normal up to 4 mm). No obstructive process (litho) can be identified. Conclusion: data compatible with cholelithiasis with associated choledocholithiasis and cholangitis".

Due to the obstructive pattern in the liver function tests (LFTs), together with the weight loss, it was necessary to rule out tumor pathology, so a computed tomography (CT) scan was requested, and prophylactic antibiotic treatment with a fluoroquinolone (ciprofloxacin 400 mg every 12 hours for seven days) was started. Hospital admission was also decided.

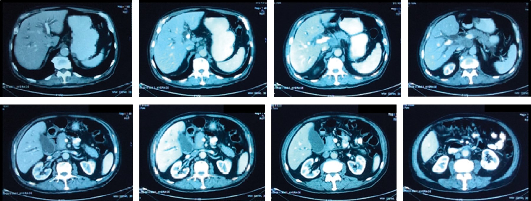
A CT scan was performed and reported (Figure 2): "...marked dilatation of the intrahepatic biliary tract, left hepatic of 13 mm, right hepatic of 14 mm, common hepatic duct of 16 mm and cystic duct of 9 mm. There is apparent stenosis of the common hepatic and cystic ducts. No common bile duct is observed; in topography, there is an irregular image of solid appearance, with partially defined contours, with heterogeneous intensification after the administration of contrast medium, which measures 61 × 30 mm and is accompanied by lymphadenopathy at the level of the hepatic hilum. Diagnostic impression: tomographic data suggestive of neoplastic process at the level of the hepatic hilum, which conditions intrahepatic cholestasis, and may correspond to Klatskin's tumor without being able to rule out an inflammatory process".

Due to the CT scan findings, it was decided to perform an endoscopic retrograde cholangiopancreatography (ERCP), which reported the following (Figure 3): "small ampulla of Vater, with ectropion of the ampulla, null biliary drainage. Intrahepatic biliary tract with severe dilatation. Extrahepatic bile ducts with dilatation of the common hepatic duct between 15-16 mm, pencil point narrowing zone at the level of the supraduodenal portion of approximately 2 cm in length, null biliary drainage. Selective sphincterotomy of the biliary tract was performed, obtaining abundant purulent material and cellular detritus. An endoprosthesis is placed. Conclusion: intrahepatic bile duct dilatation, Klatskin tumor type IV, cholangitis".

Three smears were sent to pathology.

The day after the ERCP was performed, hospital discharge and outpatient management were decided, having remained in the hospital for three days and pending the results of cytology and cytochemistry. Eight days later, he was evaluated in the outpatient clinic with the pathology report: "inconclusive suspicion of malignancy". CA 19-9 marker and liver function tests (LFTs) were requested. Two weeks later, the patient was seen at the outpatient clinic, and the results were reviewed: FA 368 U/l, BT 7.5 mg/dl, BD 5.1 mg/dl, BI 2.4 mg/dl, TGO 62 U/l, TGP 64 U/l, albumin 4 g/dl, and CA 19-9: 1,611 U/ml (normal ranges 0-34).

Since this hospital does not have medical or surgical oncology, the patient moved to another medical facility to receive an oncological evaluation.



DISCUSSION

Cholangiocarcinomas are tumors derived from the epithelium of the bile ducts, which can appear anywhere in the biliary tree.1 They are classified, anatomically, into intrahepatic (defined as those located proximal to the second-degree bile ducts), perihilar (located in the area between the second-degree bile ducts and the insertion of the cystic duct into the common hepatic, also known as Klatskin's tumors) and distal (those located in the area between the confluence of the cystic to the common hepatic and the ampulla of Vater) (Figure 4).2

They represent 3% of all gastrointestinal tumors and are the second most common primary hepatic tumor after hepatocellular carcinoma. Intrahepatic cholangiocarcinomas account for 5-10% of all cholangiocarcinomas, hilar cholangiocarcinomas 60-70% and distal cholangiocarcinomas 20-30%.3

Several risk factors have been established, such as bile duct cysts, Caroli's disease, cholangitis, primary sclerosing cholangitis, hepatolithiasis, cholelithiasis and choledocholithiasis, parasitic infections (by Opisthorchis viverrini and Clonorchis sinensis), among others.3-7

However, most cholangiocarcinomas occur sporadically, and about 50% of cases are still diagnosed without any identifiable risk factor.3,7

In this article, we present the case of a 77-year-old male patient who presented to the Emergency Department of our hospital with vague symptoms that, nevertheless, were indicative of cholangiocarcinoma, namely: weight loss, abdominal pain, fatigue, nausea, pruritus, and a cholestatic pattern in the LFTs.8 Because early in the disease, the signs and symptoms are unclear and nonspecific, typically patients with cholangiocarcinoma present with cachexia, fatigue, and jaundice, reflecting locally advanced disease or metastasis.9 Non-painful jaundice is the most common presenting symptom in 90% of patients with hilar cholangiocarcinoma.10

Regarding diagnosis, abdominal ultrasound is the initial study of choice since it accurately detects obstruction, extension, and location within the biliary tree. It is also helpful to rule out the presence of etiologies such as choledocholithiasis or Mirizzi's syndrome.11 The typical findings are dilatation of the intrahepatic biliary tract without dilatation of the gallbladder or common bile duct.9 However, it continues to be an operator-dependent technique in which several factors influence an excellent result, such as the operator's experience, the equipment's quality, and the tumor's characteristics.12

Regarding tomography, its usefulness lies in categorizing and staging the lesions since its diagnostic certainty in the evaluation of the biliary extension of the tumor is 85%. Additionally, tomography has reasonable certainty in evaluating the severity of portal vein and hepatic artery invasion; however, it is unsatisfactory in evaluating lymph node involvement.13-15

Cholangioresonance imaging is considered by many to be the study of choice since it can evaluate the extension of the biliary tract, vascular invasion, local lymphadenopathy, intrahepatic dissemination, and distal metastases. Its positive and negative predictive values for detecting the location and degree of bile duct involvement are comparable to ERCP's.13

In this case, it was decided not to perform cholangioresonance imaging since an imaging study already demonstrated and suggested the presence of a tumor, as did the CT scan. It was decided to perform an ERCP instead since the latter being therapeutic and allowing drainage of the biliary tract, benefitted the patient better.

Regarding ERCP, it has a sensitivity and certainty of 91 and 69%, respectively.14 But in addition, its role in evaluating and managing cholangiocarcinoma is essential since it allows obtaining biliary brushings for cytological evaluation and serves as a therapeutic tool since it can dilate and drain the biliary tract by placing stents.14,15

Of the tumor markers, CA 19-9 and carcinoembryonic antigen (CEA) are the most commonly used markers in diagnosing cholangiocarcinomas. However, CA 19-9 levels show a wide variation in sensitivity (38-90%) and specificity (50-98%).12 This marker can also be elevated in patients with cholestasis, liver injury, benign biliary obstruction, and gastric, pancreatic, colorectal, and gynecologic cancers.16 Obtaining baseline levels of tumor markers helps monitor response to treatment, disease recurrence, and progression.9

Brush cytology during ERCP is the most common technique for tissue sampling in patients with suspected malignant biliary strictures. The sensitivity of this technique for diagnosing cholangiocarcinomas is estimated at only 30-60%, in addition to presenting a high proportion of false negatives, which is consistent with what happened in the evaluation of the patient presented in this case. Because of this, a negative brushing should not rule out the diagnosis of perihilar cholangiocarcinoma or delay its treatment.11,16 However, fluorescence in situ hybridization analysis for chromosomal aberrations associated with perihilar cholangiocarcinoma can significantly increase the sensitivity of brushing up to 90%.9

The diagnosis of hilar cholangiocarcinoma requires the presence of a malignant-appearing stenosis in the hepatic hilum and at least one of the following features:11

  • 1. Biopsy or cytology positive for cancer cells.
  • 2. Fluorescence polysomy due to in situ hybridization (FISH).
  • 3. Mass-forming lesion in the stenosis seen by tomography or cholangioresonance.
  • 4. CA 19-9 elevation above 100 U/ml

The diagnosis, in most cases, must be inferred by the sum and integration of clinical and imaging studies. Differential diagnoses include choledocholithiasis, benign focal stenosis of the hepatic ducts, Mirizzi syndrome, gallbladder cancer, primary sclerosing cholangitis, autoimmune cholangitis, metastatic disease to the bile ducts or hepatoduodenal lymph nodes (e.g., colorectal cancer).11

Surgical resection is the best available treatment for perihilar cholangiocarcinoma. The type of resection depends on the tumor's location and the anatomy of the bile duct at the confluence of the hepatic ducts;17 However, this information is beyond the scope of this article.

An accurate diagnostic approach was performed in time and form in this case. Although a satisfactory sample was not obtained by brushing for cytology, this agrees with the literature reviewed. Despite this, the diagnosis of cholangiocarcinoma could be established when the patient presented a malignant-appearing stenosis in the hepatic hilum and CA 19-9 levels above 100 U/ml.

The "urgency" was resolved by draining the biliary tract by placing a stent through ERCP to reduce the risk of cholangitis associated with the stasis produced by the tumor occlusion.


REFERENCES

  1. Khan AS, Dageforde LA. Cholangiocarcinoma. Surg Clin North Am. 2019; 99: 315-335.

  2. Razumilava N, Gores GJ. Cholangiocarcinoma. Lancet. 2014; 383: 2168-2179.

  3. Bergquist A, von Seth E. Epidemiology of cholangiocarcinoma. Best Pract Res Clin Gastroenterol. 2015; 29: 221-232.

  4. Kim TS, Pak JH, Kim JB, Bahk YY. Clonorchis sinensis, an oriental liver fluke, as a human biological agent of cholangiocarcinoma: a brief review. BMB Rep. 2016; 49: 590-597.

  5. Zheng S, Zhu Y, Zhao Z, Wu Z, Okanurak K, Lv Z. Liver fluke infection and cholangiocarcinoma: a review. Parasitol Res. 2017; 116: 11-19.

  6. Soreide K, Soreide JA. Bile duct cyst as precursor to biliary tract cancer. Ann Surg Oncol. 2007; 14: 1200-1211.

  7. Khan SA, Tavolari S, Brandi G. Cholangiocarcinoma: epidemiology and risk factors. Liver Int. 2019; 39 Suppl 1: 19-31.

  8. Plentz RR, Malek NP. Clinical presentation, risk factors and staging systems of cholangiocarcinoma. Best Pract Res Clin Gastroenterol. 2015; 29: 245-252.

  9. Krampitz GW, Aloia TA. Staging of biliary and primary liver tumors: current recommendations and workup. Surg Oncol Clin N Am. 2019; 28: 663-683.

  10. Blechacz B. Cholangiocarcinoma: current knowledge and new developments. Gut Liver. 2017; 11: 13-26.

  11. Cillo U, Fondevila C, Donadon M, Gringeri E, Mocchegiani F, Schlitt HJ, et al. Surgery for cholangiocarcinoma. Liver Int. 2019; 39 Suppl 1: 143-155.

  12. Loosen SH, Vucur M, Trautwein C, Roderburg C, Luedde T. Circulating Biomarkers for Cholangiocarcinoma. Dig Dis. 2018; 36: 281-288.

  13. Ho J, Curley SA. Diagnosis and Management of Intrahepatic and Extrahepatic Cholangiocarcinoma. Cancer Treat Res. 2016; 168: 121-163.

  14. Rizvi S, Gores GJ. Current diagnostic and management options in perihilar cholangiocarcinoma. Digestion. 2014; 89: 216-224.

  15. Oliveira IS, Kilcoyne A, Everett JM, Mino-Kenudson M, Harisinghani MG, Ganesan K. Cholangiocarcinoma: classification, diagnosis, staging, imaging features, and management. Abdom Radiol (NY). 2017; 42: 1637-1649.

  16. Esnaola NF, Meyer JE, Karachristos A, Maranki JL, Camp ER, Denlinger CS. Evaluation and management of intrahepatic and extrahepatic cholangiocarcinoma. Cancer. 2016; 122: 1349-1369.

  17. Feng JW, Yang XH, Wu BQ, Jiang Y, Qu Z. Progress in diagnosis and surgical treatment of perihilar cholangiocarcinoma. Gastroenterol Hepatol. 2019; 42: 271-279.



AFFILIATIONS

1 General Surgery Service of the University Hospital of Torreón. Torreon, Coahuila, Mexico.



Ethical considerations and responsibility: the authors declare that they followed the protocols of their work center on the publication of patient data, safeguarding their right to privacy through the confidentiality of their data.

Funding: no financial support was received for this work.

Disclosure: the authors declare no conflict of interest in carrying out the work.



CORRESPONDENCE

José Luis Maldonado-Calderón. E-mail: jose.jlmc92@gmail.com




Received: 16/04/2021. Accepted: 15/07/2022

Figure 1
Figure 2
Figure 3
Figure 4

2020     |     www.medigraphic.com

Mi perfil

C?MO CITAR (Vancouver)

Cir Gen. 2022;44