medigraphic.com
SPANISH

Cirujano General

ISSN 2594-1518 (Electronic)
ISSN 1405-0099 (Print)
  • Contents
  • View Archive
  • Information
    • General Information        
    • Directory
  • Publish
    • Instructions for authors        
    • Send manuscript
  • medigraphic.com
    • Home
    • Journals index            
    • Register / Login
  • Mi perfil

2022, Number 2

<< Back Next >>

Cir Gen 2022; 44 (2)

Emphysematous gastritis secondary to gastric mucormycosis in a patient with COVID-19. Case report

Islas Torres, Martín1; Castillo Luna, Ana Laura2; Rodríguez Moreno, José Juan2; Rendón Muñoz, Valeria Priscilla2; Zamora Inzuna, José Gerardo2; Ibarra Trejo, Albert Antonio2
Full text How to cite this article 10.35366/109718

DOI

DOI: 10.35366/109718
URL: https://dx.doi.org/10.35366/109718

Language: English/Spanish [Versi?n en espa?ol]
References: 15
Page: 87-92
PDF size: 293.99 Kb.


Key words:

gastrointestinal mucormycosis, emphysematous gastritis, vertical gastrectomy, COVID, case report.

ABSTRACT

Introduction: mucormycosis is an invasive fungal infection with high mortality, which occurs mostly in immunocompromised patients. This disease is characterized by necrotizing vasculitis and the presence of aseptate hyphae with wide-angle branching. Gastrointestinal mucormycosis is one of the rarest, symptoms are nonspecific and only 25% of cases are diagnosed premortem. The treatment is based on antifungals and urgent surgical debridement. Clinical case: a 69 year-old male with history of type 2 diabetes presents with dyspnea, SARS-CoV-2 rapid antigen test turned out positive. During hospital stay the patient presents sepsis, gastrointestinal bleeding, and pneumoperitoneum on abdominal computed axial tomography (CT). Laparotomy is performed, in which necrosis along the greater curvature of the stomach is found, therefore a vertical gastrectomy is carried out. Histopathology report reveals panmural necrosis associated with arterial thrombosis secondary to Mucor sp., parenteral liposomal amphotericin B is initiated, however, the patient develops health-care associated pulmonary and urinary infections, decease is documented 29 days after admission. Conclusion: mucormycosis is a fungal emerging infection, which requires a high suspicion for diagnosis. Antifungal and surgical debridement by a general surgeon represents an essential measure in the treatment of this entity.



INTRODUCTION

Mucormycosis is an emerging infection caused by fungi belonging to the order Mucorales;1 it occurs mainly in patients with immunosuppression such as hematologic malignancy, hematopoietic stem cell or solid organ transplantation, and diabetes mellitus;2 In this context, patients with COVID-19 may have an altered cell-mediated immune response and increased susceptibility to fungal co-infections.3 The disease is characterized by extensive necrotizing vasculitis, resulting in thrombosis and subsequent tissue infarction. Primary gastrointestinal disease is the rarest form, with the stomach being the most common site of infection. It can be acquired by ingesting contaminated food but can also be associated with contaminated healthcare-associated devices. Diagnosis may be suspected by endoscopic findings showing a fungal mass or necrotic lesions overlying an ulcerated area; radiological findings are nonspecific.3 Early diagnosis helps to accelerate antifungal therapy and improve survival; liposomal amphotericin B is the treatment of choice. Surgical debridement or complete resection of the affected organ is of utmost importance to eliminate necrosis and improve penetration of antifungal agents into the target site; these patients are at high risk of perforation and bleeding, which requires extensive surgical resection.4 We reviewed the literature in databases such as Wiley and PubMed using the keywords mucormycosis, COVID, and infection. We found very few case reports of fungal disease associated with COVID-19 and no reports when searching for the association between the words gastric, mucormycosis, and COVID.



CLINICAL CASE

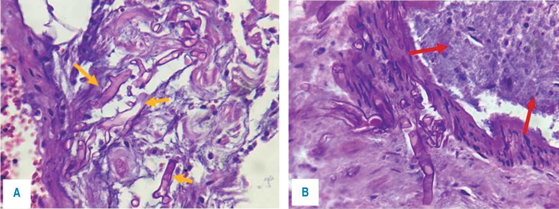
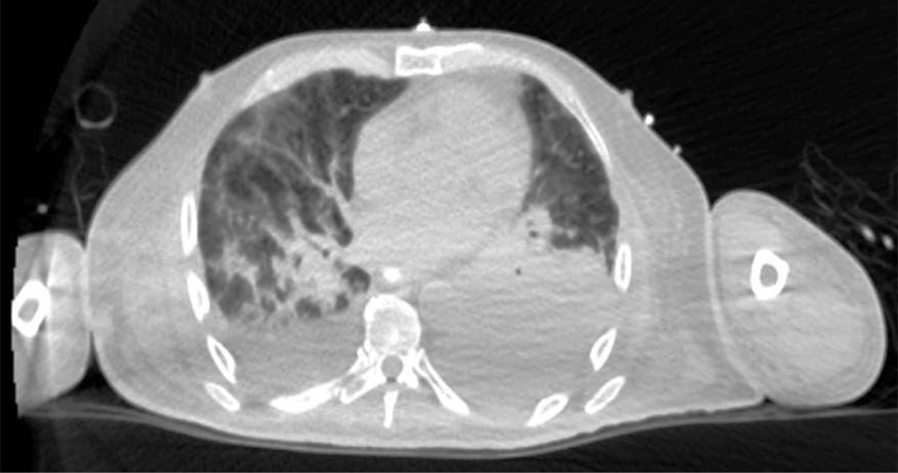
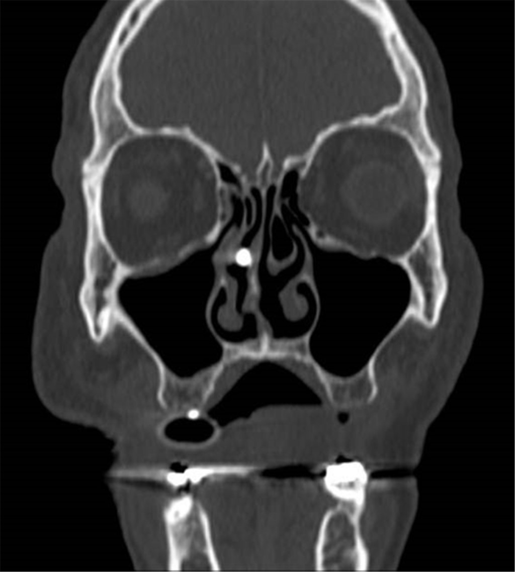
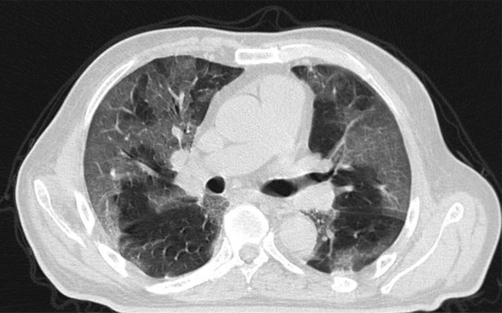
A 69-year-old male patient with a history of type 2 diabetes mellitus was treated with metformin and chlorpropamide. He also had hypertension treated with losartan and amlodipine. He presented to the emergency department with headache, chest pain, cough, myalgias, arthralgias, and dyspnea of one-week evolution. On admission, his heart rate was 114 bpm, respiratory rate 24 rpm, oxygen saturation 80% without supplemental oxygen support; his glucose was 587 mg/dl, white blood cells 25,690 cells/mm3, neutrophils 85%, lymphocytes 1.2%, hemoglobin 16.3 g/dl, procalcitonin 3.78 ng/dl, arterial blood gas with a pH of 7.41, pCO2 21 mmHg, PO2 35 mmHg, HCO3 13 mmol/l, oxygen saturation 62%. A rapid antigen test for SARS-CoV-2 was performed, and the result was positive; a CT scan of the chest showed radiological data suggestive of SARS-CoV-2 infection (Figure 1), and management with supplemental oxygen, insulin infusion pump, carbapenem antibiotics, antihypertensives, dexamethasone, and antithrombotic prophylaxis with enoxaparin was started. 48 hours after admission, the patient continued with septic shock, so vasopressor amines were started; an orotracheal intubation was performed and support with invasive mechanical ventilation was initiated. A nasogastric tube (NGT) was placed. After 24 hours of its placement, he presented hematemesis accompanied by abdominal distension, leukocytosis of 40,000 cells/mm3. A simple abdominopelvic CAT scan was performed, which revealed gastric pneumatosis and pneumoperitoneum (Figure 2). An urgent exploratory laparotomy was performed finding necrosis of the greater curvature of the stomach. A vertical gastrectomy was performed with GIA stapler with purple cartridges of 45 and 60 mm (Figure 3); the stapling line was reinforced with continuous a Prolene suture 00; a feeding jejunostomy tube was placed at 60 cm from the Treitz angle and Saratoga drains were left in place. Twenty-four hours later, the patient had hemodynamic stability, vasopressor amines were suspended, and enteral nutrition with an elemental diet was started. On the fifth postoperative day, the patient showed adequate tolerance to the enteral diet through jejunostomy. The methylene blue test was performed through the nasogastric tube showing no evidence of leaks; the white blood cell count decreased to 24,000 cells/mm3. Histopathology results were obtained revealing pan mural necrosis associated with arterial thrombosis secondary to microorganisms compatible with Mucor sp.; therefore, management with amphotericin B was initiated (Figures 4 and 5). During follow-up he showed good evolution; an abdominopelvic CT scan with contrast by the nasogastric tube was performed, which ruled out leaks and intra-abdominal collections and corroborated the integrity of the gastric wall; drains were removed, and the patient was discharged from general surgery on day 9 post-surgery, continuing to be managed by the internal medicine service. During the following days of hospitalization, the patient presented cardiovascular and pulmonary deterioration; a urine culture was taken, which showed growing of Candida tropicalis, and a CAT scan of the skull, thorax, and abdominopelvic with oral contrast was performed (Figures 6 and 7), The patient continued without evidence of abdominal leaks, rhino-cerebral and pulmonary mucormycosis were ruled out. A probable superimposed bacterial pneumonia and interstitial pneumopathy secondary to COVID-19 were reported. He showed persistent clinical deterioration and refractory shock and 29 days after admission.



DISCUSSION

Mucormycosis is an invasive fungal infection with high mortality; its incidence has increased in recent years due to the increase in the population at risk of infection and the improvement in diagnostic tools. It was first described at the pulmonary level in 1876 by Furbringer.5 It occurs mainly in the context of an immunocompromised patient.1 Mortality varies from 32 to 70%; the localized infection is associated with better survival; 6 It is usually diagnosed antemortem in only 25% of cases. In their review of 31 cases, Dioverti et al. report a predominance of male sex (61%) and a mean age of 47 years; 52% of the cases occurred in patients with a solid organ transplant, and 35% were patients undergoing chemotherapy for hematologic malignancy. All the patients had at least one comorbidity, with neutropenia being the most common finding.2 It has been described in patients with severe malnutrition and the use of corticosteroids, but also in patients without any predisposing factor.7 In our case, the patient had multiple risk factors already described such as decompensated type 2 diabetes mellitus, acute coronavirus infection, and steroid therapy initiated to manage COVID-19. The only factor that improved the prognosis was the focal infection in the stomach. The disease is characterized by extensive necrotizing vasculitis with arterial thrombosis and tissue infarction1 and a pathognomonic presence of non-septate right-angled branching hyphae in tissues.8 The genus Rhizopus is the most frequently isolated.9 Other known risk factors include hyperglycemia and acidosis, as they cause leukocyte dysfunction of neutrophils and macrophages, affecting their chemotaxis.10 Six different clinical syndromes can occur, with rhino-orbit-cerebral and pulmonary infection being the most frequent and gastrointestinal infection the least common. Gastrointestinal infection is acquired through ingestion of contaminated food, or in the case of healthcare, it is associated with contaminated devices.1 The stomach is the most common site of involvement, followed by the colon, small intestine, and esophagus.11 Most symptoms are nonspecific, which delays diagnosis and increases mortality.2 Clinical presentation may be with abdominal pain (68%), gastrointestinal bleeding (48%), fever (19%), or defecation changes (10%).2

On admission, the patient did not report any abdominal symptoms, so gastrointestinal involvement was not suspected. Subsequently, intravenous sedation and orotracheal intubation were performed, making it impossible for the patient to manifest gastric involvement. The only sign the patient presented was hematemesis 24 hours after the nasogastric tube placement, which ruled out the possibility of healthcare-associated mucormycosis since 24 hours are not enough to achieve the introduction, inoculation, and growing of the fungus. This led to the hypothesis that the patient acquired the fungal infection in his community. The diagnosis may be suspected by endoscopic findings, such as a fungal mass or necrotic lesions covering ulcerated areas that may perforate tissues and cause peritonitis.2 Often, the study protocol is initiated in the presence of an intra-abdominal abscess; the diagnosis can be made by biopsy of the suspicious area during surgery or endoscopy.7 Few samples are usually sent for culture,2 and those sent are positive in only 30%, in addition, specialized culture media such as potato dextrose agar are required for fungal growing.12 Confirmatory molecular tests that may detect surface antigens are also required, but they are not yet available.2 CT findings may include focal or diffuse thickening of the gastric wall, pneumatosis with decreased wall enhancement on contrast administration (emphysematous gastritis) secondary to ischemia and necrosis, adjacent collections, wall necrosis with focal disruption or perforation, and rarely, pneumoperitoneum.13 When hematemesis occurs, the next diagnostic step should be an upper endoscopy. However, the abdominal distention presented by the patient suggested a high probability of perforation of the hollow viscera, so initially, a CT scan of the abdomen was performed. A surgical emergency was considered when reporting gastric pneumatosis and pneumoperitoneum, ruling out an endoscopy. Exploratory laparotomy allows direct exploration of the stomach and partial resection of the stomach as a diagnostic and therapeutic measure. Treatment consists of antifungal and urgent surgical debridement since necrotic tissue's presence will affect the antifungal's penetration to the tissues; additionally, aggressive medical support for comorbidities should be provided.14 Intravenous liposomal amphotericin B is the treatment of choice. It is more effective than conventional amphotericin B.15 Delaying the initiation of amphotericin for more than six days, doubles mortality.4 Although most of literature favors aggressive surgical treatment, we opted for a more conservative treatment by preserving a portion of the stomach and performing only a vertical gastrectomy since macroscopic inspection showed a clear demarcation between necrotic and viable tissues. We consider that the surgical treatment we performed was correct since, in the post-surgical follow-up, the patient had a good evolution; the methylene-blue test and the two abdominal CT scans with contrast in the stomach through the nasogastric tube allowed us to verify the integrity of the suture line from the first post-surgical day until the day of his death. The sample sent to pathology allowed to make the diagnosis and thus initiate targeted therapy with amphotericin B, and since no fungal infection by Mucor sp. at any other organic level was found, the cause of death was attributed to nosocomial infectious complications at the pulmonary and urinary level.



CONCLUSION

Mucormycosis is a life-threatening fungal infection. Therefore, the diagnosis requires a high index of suspicion, especially in cases with intestinal involvement, and should be suspected in all patients with risk factors and imaging studies suggestive of unexplained gastrointestinal ischemia and necrosis. The general surgeon's role in the success of the treatment consists of urgent surgical debridement, who, based on the transoperative surgical findings, should opt for aggressive management or preserve the integrity and functionality of the affected organ as far as possible.


REFERENCES

  1. Serris A, Danion F, Lanternier F. Disease entities in mucormycosis. J Fungi (Basel). 2019; 5: 23. doi: 10.3390/jof5010023.

  2. Dioverti MV, Cawcutt KA, Abidi M, Sohail MR, Walker RC, Osmon DR. Gastrointestinal mucormycosis in immunocompromised hosts. Mycoses. 2015; 58: 714-718.

  3. Monte Junior ESD, Santos MELD, Ribeiro IB, Luz GO, Baba ER, Hirsch BS, et al. Rare and fatal gastrointestinal mucormycosis (zygomycosis) in a COVID-19 patient: a case report. Clin Endosc. 2020; 53: 746-749. doi: 10.5946/ce.2020.180.

  4. Chamilos G, Lewis RE, Kontoyiannis DP. Delaying amphotericin B-based frontline therapy significantly increases mortality among patients with hematologic malignancy who have zygomycosis. Clin Infect Dis. 2008; 47: 503-509.

  5. Jung JH, Cjoi HJ, Yoo J, Kang SJ, Lee KY. Emphysematous gastritis associated with invasive gastric mucormycosis: a case report. J Korean Med Sci. 2007; 22: 923-927.

  6. Lanternier F, Dannaoui E, Morizot G, Elie C, Garcia-Hermoso D, Huerre M, et al. A global analysis of mucormycosis in France: the RetroZygo Study (2005-2007). Clin Infect Dis. 2012; 54 Suppl 1: S35-43.

  7. Martinello M, Nelson A, Bignold L, Shaw D. "We are what we eat" invasive intestinal mucrmycosis: a case report and a review of literature. Med Mycol Case Rep. 2012; 1 (1): 52-55.

  8. Alvarado-Lezama J, Espinoza-Gonzalez O, García-Cano E, Sánchez-Córdova G. Gastritis enfisematosa secundaria a mucormicosis gástrica. Cirugía y Cirujanos. 2015; 83: 56-60.

  9. Rammaert B, Lanternier F, Zahar JR, Dannaoui E, Bougnoux ME, Lecuit M, et al. Healthcare-associated mucormycosis. Clin Infect Dis. 2012; 54: S44-54.

  10. Spellberg B, Gastrointestinal mucormycosis. An evolving disease. Gastroenterol Hepat (NY). 2012; 2: 52-55.

  11. Agha FP, Lee HH, Boland CR, Bradley SF. Mucormycoma of the colon: early diagnosis and successful management. AJR Am J Roentgenol. 1985; 145: 739-741.

  12. Quiroz N, Villanueva JP, Lozano EA. Mucormicosis. Rev Asoc Colomb Dermatol. 2017; 25: 284-293.

  13. Ghuman SS, Sindhu P, Buxi TBS, Sheth S, Yadav A, Rawat KS, Sud S. CT appearance of gastrointestinal tract mucormycosis. Abdom Radiol (NY). 2021; 46: 1837-1845. doi: 10.1007/s00261-020-02854-3.

  14. Sun YH, Singh N. Mucormycosis: its contemporary face and management strategies. Lancet Infect Dis. 2011; 11: 301-311.

  15. Cornely OA, Arikan-Akdagli S, Dannaoui E, Groll AH, Lagrou K, Chakrabarti A, et al. ESCMID and ECMM joint clinical guidelines for the diagnosis and management of mucormycosis 2013. Clin Microbiol Infect 2014; 20: 5-26.



AFFILIATIONS

1 Attending Physician, Department of General Surgery. Hospital de Especialidades, Centro Médico Nacional de Occidente, Instituto Mexicano del Seguro Social.

2 Resident Physician, Department of General Surgery. Hospital de Especialidades, Centro Médico Nacional de Occidente, Instituto Mexicano del Seguro Social.



Declaration of ethical conflicts: the authors have no ethical conflicts to declare.

Funding and disclosure: the authors have no conflicts of interest or funding conflicts to declare.



CORRESPONDENCE

José Juan Rodríguez-Moreno. E-mail: rodriguez_medicina@hotmail.com




Received: 07/27/2021. Accepted: 12/23/2022

Figure 1
Figure 2
Figure 3
Figure 4
Figure 5
Figure 6
Figure 7

2020     |     www.medigraphic.com

Mi perfil

C?MO CITAR (Vancouver)

Cir Gen. 2022;44