medigraphic.com
SPANISH

Medicina Crítica

  • Contents
  • View Archive
  • Information
    • General Information        
    • Directory
  • Publish
    • Instructions for authors        
  • Policies
  • Lineamientos
  • medigraphic.com
    • Home
    • Journals index            
    • Register / Login
  • Mi perfil

2023, Number 1

<< Back Next >>

Med Crit 2023; 37 (1)

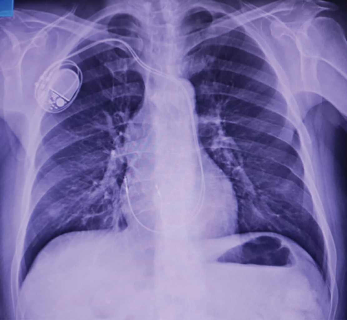
Pacemaker implantation through the persistent left superior vena cava due to the absence of the right superior vena cava. Report of a case

Guzmán CLA, Guzmán CMI, Muzquiz VAM
Full text How to cite this article 10.35366/109964

DOI

DOI: 10.35366/109964
URL: https://dx.doi.org/10.35366/109964

Language: Spanish
References: 8
Page: 52-55
PDF size: 368.14 Kb.


Key words:

persistence of left superior vena cava, pacemaker, third-degree atrioventricular block.

ABSTRACT

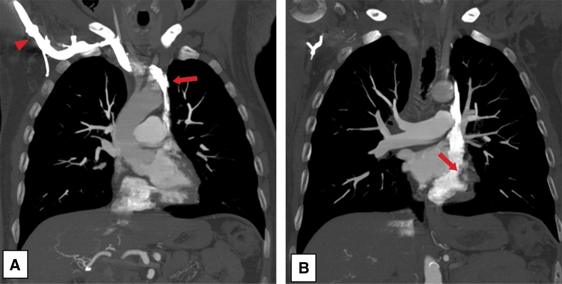
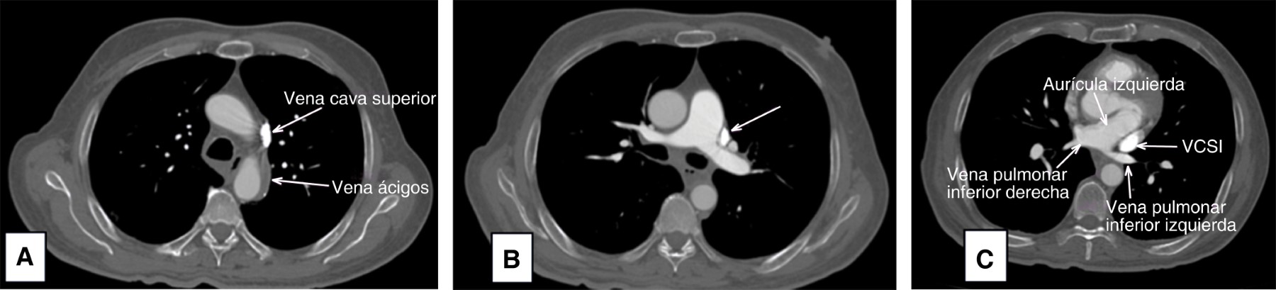
Introduction: the persistence of the left superior vena cava (PLSVC) has a prevalence of 0.21% in the general population. Case presentation: 67-year-old male diagnosed with third-degree AV block, requiring pacemaker placement. However, due to the absence of a right superior vena cava, corroborated by CT angiography, a definitive pacemaker was placed through a persistent left superior vena cava. Conclusion: the persistence of the left superior vena cava (PLSVC) is the most common thoracic venous anomaly. It can cause a number of clinically significant symptoms, even in a heart with normal anatomy. Pacemaker placement makes electrode fixation difficult due to tortuous travel.


REFERENCES

  1. Nagasawa H, Kuwabara N, Goto H, Omoya K, Yamamoto T, Terazawa A, et al. Incidence of persistent left superior vena cava in the normal population and in patients with congenital heart diseases detected using echocardiography. Pediatr Cardiol. 2018;39(3):484-490.

  2. Martínez-Villar M, Gran F, Ferrer Q, Giralt G, Sabaté-Rotés A, Albert DC. Vena cava superior izquierda persistente con agenesia de la vena cava superior derecha. Rev Esp Cardiol. 2016;69(2):220-221.

  3. Azizova A, Onder O, Arslan S, Ardali S, Hazirolan T. Persistent left superior vena cava: clinical importance and differential diagnoses. Insights Imaging. 2020;11(1):110.

  4. Kemal HS, Gunsel A, Cerit L, Kocaoglu M, Duygu H. Isolated persistent left superior vena cava, sick sinus syndrome, and challenging pacemaker implantation. Case Rep Cardiol. 2017;2017:9842524.

  5. Steckiewicz R, Swieton EB, Czerniawska J, Scislo P, Stolarz P. Imaging topography and morphometry of persistent left superior caval vein and its variations, detected on cardiac implantable electronic device implantation. Folia Morphol (Warsz). 2017;76(1):58-65.

  6. Demsa I, Crisu D, Haba CMS, Ursaru AM, Afrasanie VA, Costache II, et al. Persistent left superior vena cava with absent right superior vena cava and discrete subaortic stenosis diagnosed in a patient with sick sinus syndrome: a case report and brief review of the literature. Diagnostics (Basel). 2020;10(10):847.

  7. Larsen A, Nilsen DW. Persistent left superior vena cava. Use of an innominate vein between left and right superior naval veins for the placement of a right ventricular lead during ICD/CRT implantation. Eur Heart J. 2005;26(20):2178.

  8. Chen X, Yu Z, Bai J, Wang W, Qin S, Wang J, et al. Transvenous cardiac implantable electronic device implantation in patients with persistent left superior vena cava in a tertiary center. J Interv Card Electrophysiol. 2018;53(2):255-262.




Figure 1
Figure 2
Figure 3
Figure 4
Figure 5
Figure 6
Figure 7
Figure 8
Figure 9

2020     |     www.medigraphic.com

Mi perfil

C?MO CITAR (Vancouver)

Med Crit. 2023;37