medigraphic.com
SPANISH

Revista del Centro Dermatológico Pascua

ISSN 1405-1710 (Print)
  • Contents
  • View Archive
  • Information
    • General Information        
    • Directory
  • Publish
    • Instructions for authors        
  • medigraphic.com
    • Home
    • Journals index            
    • Register / Login
  • Mi perfil

2022, Number 3

<< Back Next >>

Rev Cent Dermatol Pascua 2022; 31 (3)

Necrobiosis lipoidica perforans

Jiménez-Hernández F, González-González M, Meza-Gaxiola N
Full text How to cite this article 10.35366/110008

DOI

DOI: 10.35366/110008
URL: https://dx.doi.org/10.35366/110008

Language: Spanish
References: 26
Page: 89-93
PDF size: 329.12 Kb.


Key words:

perforating dermatoses, necrobiosis lipoidica, transepidermal elimination diseases, perforating necrobiosis lipoidica.

ABSTRACT

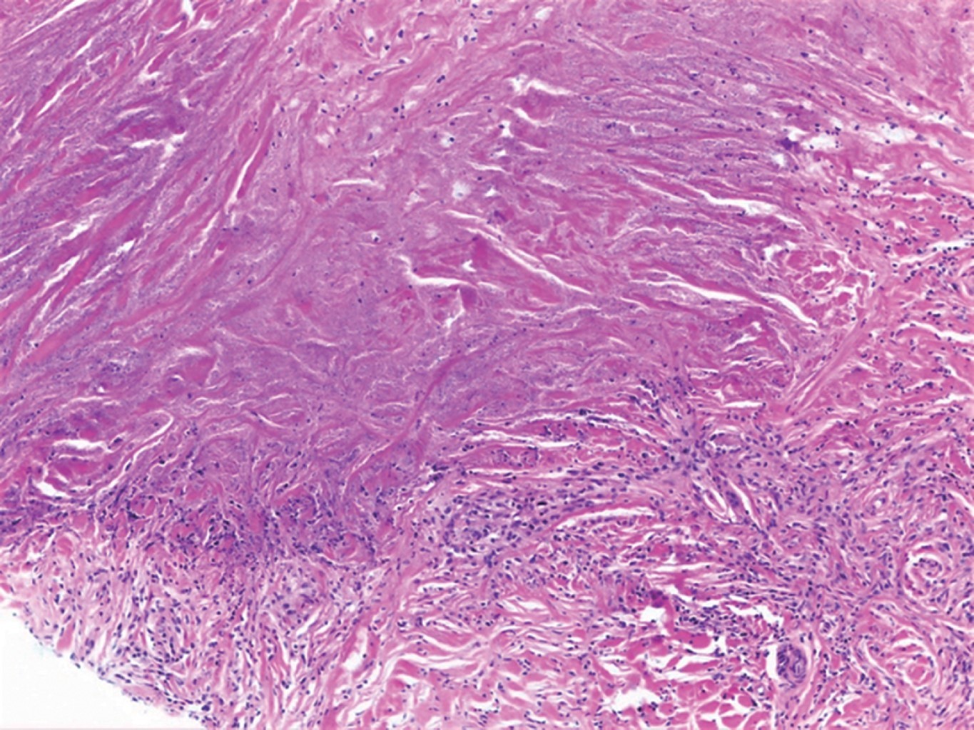
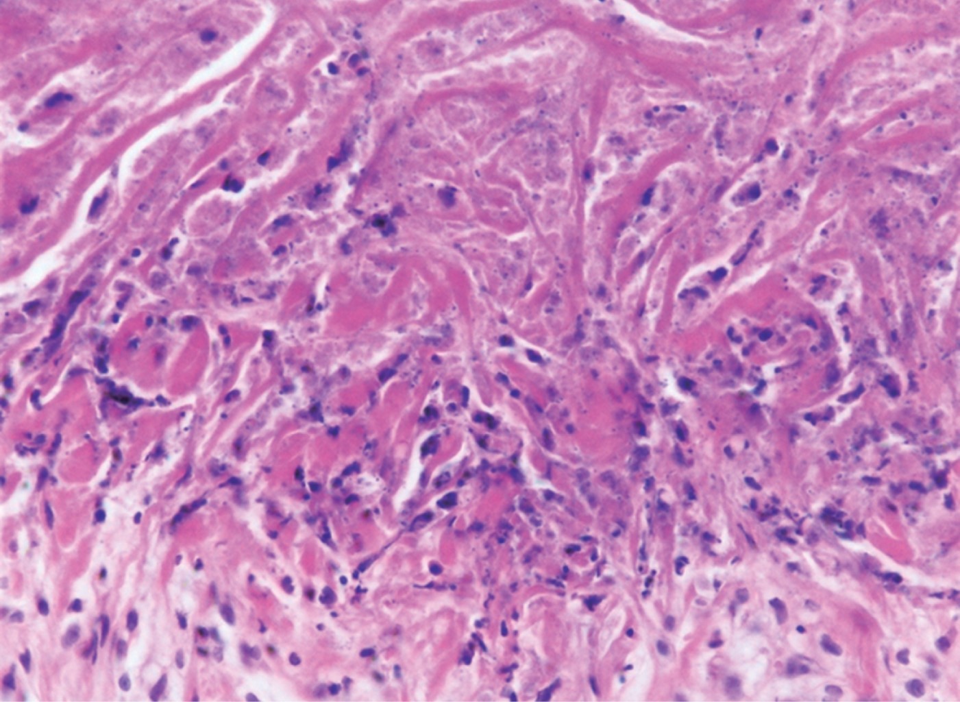
Perforating dermatoses are a group of diseases clinically characterized by the transepidermal removal of various skin materials. In secondary perforating dermatoses perforation and removal of connective tissue fibers is an occasional phenomenon, occurring in conjunction with other chronic dermatoses, such as necrobiosis lipoidica (NL). The perforating variety (PNL) is even less frequent, with few cases reported in the literature. Diabetes mellitus 2 (DM2) is associated in 90-100%. Definitive diagnosis can only be made by clinical-histopathological correlation. Histopathology shows elimination of necrobiotic material through the follicular canal, in addition to "palisade" granulomas with collagen necrobiosis. The disease has a chronic course with a tendency to scarring, ulceration and in some cases progression to carcinomas. The treatment of NL and PNL is difficult, due to the rarity of the disease and lack of clinical trials. In this article we present the case of a 63-year-old male patient with perforating necrobiosis lipoidica with recently diagnosed DM2.


REFERENCES

  1. Kawakami T, Akiyama M, Ishida-Yamamoto A, et al. Clinical practice guide for the treatment of perforating dermatosis. J Dermatol. 2020; 47: 1374-1382.

  2. Wagner G, Sachse MM. Acquired reactive perforating dermatosis. J Dtsch Dermatol Ges. 2013; 11: 723-730.

  3. Parra CA. Transepithelial elimination in necrobiosis lipoidica. Br J Dermatol. 1977; 96: 83-86. doi: 10.1111/j.1365-2133.1977.tb05191.x.

  4. Nunes de Mattos AB, Brummer CF, Funchal GDG, Nunes DH. Perforating necrobiosis lipoidica: good response to adalimumab. An Bras Dermatol. 2019; 94: 769-771. doi: 10.1016/j.abd.2019.04.003.

  5. Kluger N, Segretin C, Jegou MH. Nécrobiose lipoïdique perforante [Perforating necrobiosis lipoidica]. Ann Dermatol Venereol. 2017; 144: 158-160. doi: 10.1016/j.annder.2016.07.015.

  6. Hammami H, Youssef S, Jaber K, Dhaoui MR, Doss N. Perforating necrobiosis lipoidica in a girl with type 1 diabetes mellitus: a new case reported. Dermatol Online J. 2008; 14: 11.

  7. Carter VH, Constantine VS. Kyrle's disease. I. Clinical findings in five cases and review of literature. Arch Dermatol. 1968; 97: 624-632. doi:10.1001/archderm.97.6.624.

  8. Lozanova P, Dourmishev L, Vassileva S, Miteva L, Balabanova M. Perforating disseminated necrobiosis lipoidica diabeticorum. Case Rep Dermatol Med. 2013; 2013: 370361. doi: 10.1155/2013/370361.

  9. Nair PA, Jivani NB, Diwan NG. Kyrle's disease in a patient of diabetes mellitus and chronic renal failure on dialysis. J Family Med Prim Care. 2015; 4: 284-286. doi: 10.4103/2249-4863.154678.

  10. Pestoni C, Ferreirós MM, de la Torre C, Toribio J. Two girls with necrobiosis lipoidica and type I diabetes mellitus with transfollicular elimination in one girl. Pediatr Dermatol. 2003; 20: 211-214. doi: 10.1046/j.1525-1470.2003.20305.x.

  11. Gori N, Di Stefani A, De Luca EV, Peris K. A case of disseminated perforating necrobiosis lipoidica. Clin Case Rep. 2020; 8: 808-810. doi:10.1002/ccr3.2766.

  12. Zalaudek I, Argenziano G, Di Stefani A, et al. Dermatoscopia en dermatología general. Dermatología. 2006; 212: 7-18.

  13. Errichetti E, Lallas A, Apalla Z, Di Stefani A, Stinco G. Dermatoscopia del granuloma anular: un estudio de correlación clínica e histológica. Dermatología. 2017; 233: 74-79.

  14. Calonje JE, Brenn T, Lazar AJ, Billings S. McKee's Pathology of the skin. 5th ed. Elsevier y [Edinburgh, Scotland] 2020; p. 231.

  15. Sibbald C, Reid S, Alavi A. Necrobiosis lipoidica. Dermatol Clin. 2015; 33: 343-360. doi: 10.1016/j.det.2015.03.003.

  16. Vanhooteghem O, André J, de la Brassinne M. Epidermoid carcinoma and perforating necrobiosis lipoidica: a rare association. J Eur Acad Dermatol Venereol. 2005; 19: 756-758. doi: 10.1111/j.1468-3083.2005.01316.x.

  17. Porneuf M, Monpoint S, Barneon G, et al. Carcinome cuniculatum sur nécrobiose lipoïdique. Ann Dermatol Venereol. 1991; 118: 461-464.

  18. Perrot JL, Poulard G, Soulhiard F, et al. Léiomyosarcome développé au sein d'une plaque de nécrobiose lipoidique. Ann Dermatol Venereol. 1994; 121: S40-S41.

  19. Gudi VS, Campbell S, Gould DJ, Marchall R. Squamous cell carcinoma in an area of necrobiosis lipoidica. Clin Exp Dermatol. 2000; 25: 597-599.

  20. Clement M, Guy R, Penbroke AC. Squamous cell carcinoma arising in long-standing necrobiosis lipoidica. Arch Dermatol. 1985; 121: 24-25.

  21. Kossard S, Collin E, Wargon O, Downie D. Squamous cell carcinoma developing in bilateral lesions of necrobiosis lipoidica. Aust J Dermatol. 1987; 28: 14-17.

  22. Santos-Juanes J, Galache C, Curto JR, et al. Squamous cell carcinoma arising in long-standing necrobiosis lipoidica. J Eur Acad Dermatol Venereol. 2004; 18: 199-200.

  23. Beljaards RC, Groen J, Starink TM. Bilateral squamous cell carcinomas arising in long-standing necrobiosis lipoidica. Dermatologica. 1990; 180: 96-98.

  24. Martin F, Dalac S, Lambert D. Verrucous carcinoma. Nosologic aspects, apropos of 4 cases. Ann Dermatol Venereol. 1995; 122: 399-403.

  25. Schwartz AR. Verrucous carcinoma of the skin an d mucosa. J Am Acad Dermatol. 1995; 32: 1-21.

  26. Lowit MH, Dover JS. Necrobiosis lipoidica. J Am Acad Dermatol. 1991; 25: 735-748.




Figure 1
Figure 2
Figure 3
Figure 4
Figure 5

2020     |     www.medigraphic.com

Mi perfil

C?MO CITAR (Vancouver)

Rev Cent Dermatol Pascua. 2022;31