medigraphic.com
SPANISH

Revista Mexicana de Cirugía Bucal y Maxilofacial

ISSN 2007-3178 (Print)
Asociación Mexicana de Cirugía Bucal y Maxilofacial, Colegio Mexicano de Cirugía Bucal y Maxilofacial, A.C.
  • Contents
  • View Archive
  • Information
    • General Information        
    • Directory
  • Publish
    • Instructions for authors        
    • Send manuscript
  • medigraphic.com
    • Home
    • Journals index            
    • Register / Login
  • Mi perfil

2022, Number 1-3

<< Back Next >>

Rev Mex Cir Bucal Maxilofac 2022; 18 (1-3)

Total alloplastic TMJ replacement with customized prosthesis (TMJ Concepts®) in rheumatoid arthritis and botulinum toxin injection. Report of a case with a 12-year follow-up

Ruiz VCA, López JP, Zapata S
Full text How to cite this article 10.35366/110403

DOI

DOI: 10.35366/110403
URL: https://dx.doi.org/10.35366/110403

Language: Spanish
References: 12
Page: 33-38
PDF size: 331.76 Kb.


Key words:

temporomandibular joint, joint replacement, joint prostheses, botulinum toxin.

ABSTRACT

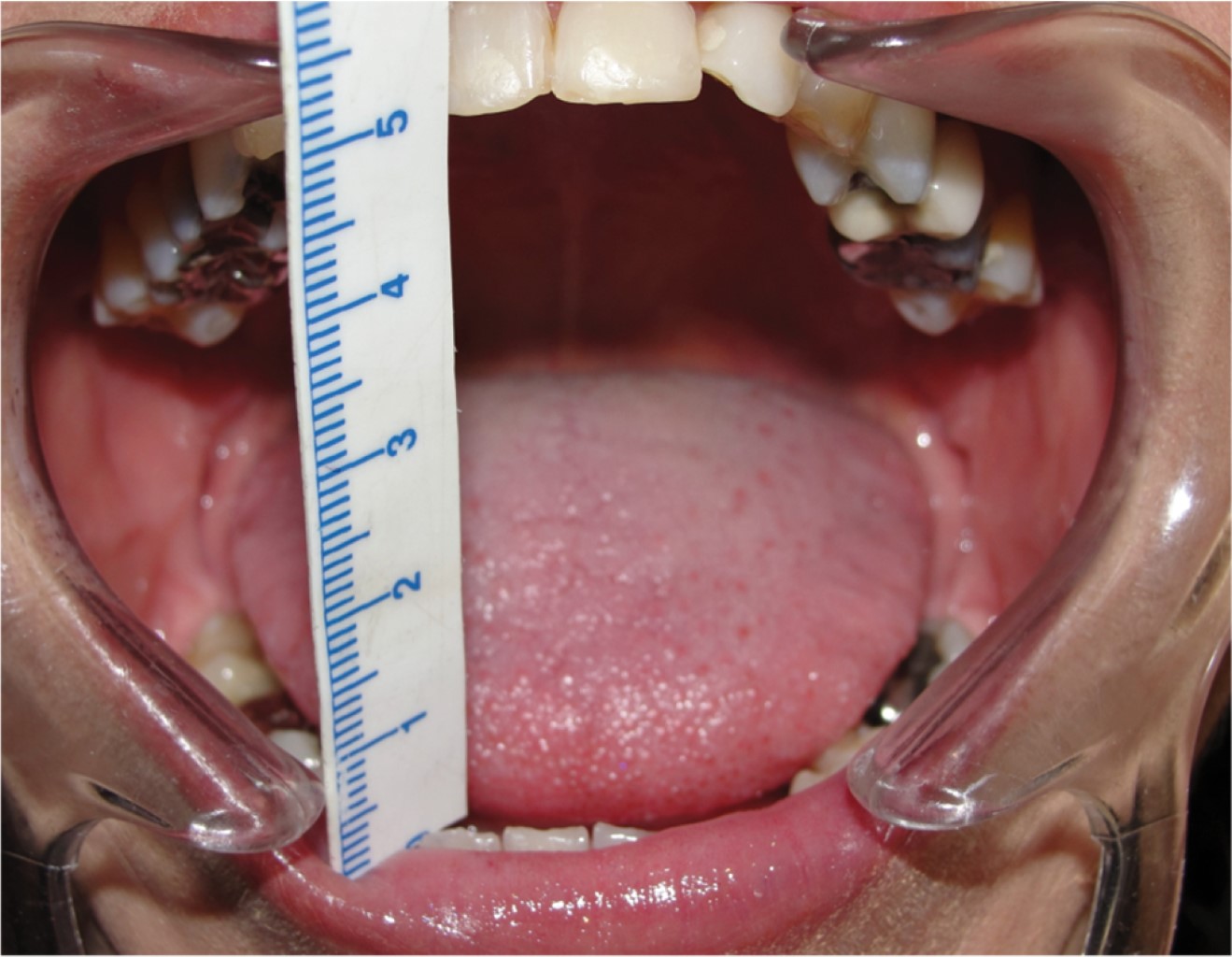
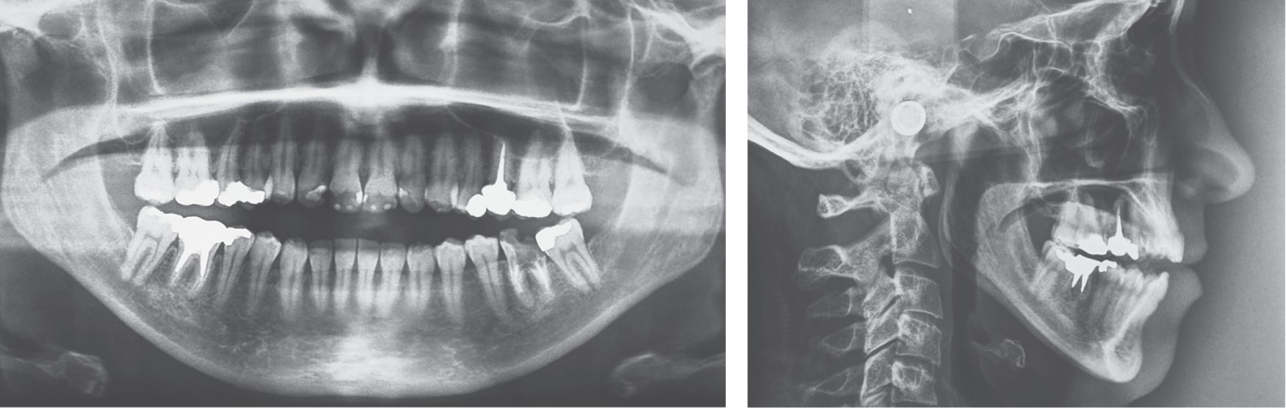
Introduction: the objective is to present a case of total alloplastic replacement of the temporomandibular joint with personalized prostheses (TMJ Concepts®) in rheumatoid arthritis and injection of botulinum toxin type A for protection of prostheses against bruxism. Clinical case: we present the case of a 44-year-old female patient with severe bilateral temporomandibular joint (TMJ) resorption due to advanced stages of rheumatoid arthritis, which was managed by total replacement with a personalized alloplastic prosthesis (TMJ Concepts®, Ventura CA) and infiltration of botulinum toxin type A (Botox, Allergan, Ireland). Results: painful symptomatology was eliminated immediately and pre-surgical oral opening changes from 2 to 50 mm were achieved in the first year after botulinum toxin placement; 12 years later, the prosthesis is stable and functional. Conclusions: botulinum toxin can be a simple, safe, and effective adjuvant treatment in patients reconstructed with personalized alloplastic prostheses.


REFERENCES

  1. Aletaha D, Neogi T, Silman AJ et al. Rheumatoid arthritis classification criteria: an American College of Rheumatology/European League Against Rheumatism collaborative initiative. Arthritis Rheum. 2010; 62 (9): 2569-2581.

  2. Sidebottom AJ. How do I manage restricted mouth opening secondary to problems with the temporomandibular joint? Br J Oral Maxillofac Surg. 2013; 51: 469-472.

  3. Sunil Dutt C, Ramnani P, Thakur D, Pandit M. Botulinum toxin in the treatment of muscle specific Oro-facial pain: a literature review. J Maxillofac Oral Surg. 2015; 14: 171-175.

  4. Ruíz CA, Guerrero JS. A new modified endaural approach for access to the temporomandibular joint. Br J Oral Maxillofac Surg. 2001; 39 (5): 371-373.

  5. Ruiz-Valero CA, Duran-Rodriguez G, Solano-Parra N, Castro-Núñez J. Immediate total temporomandibular joint replacement with TMJ concepts prosthesis as an alternative for ameloblastoma cases. J Oral Maxillofac Surg. 2014; 72: 646.e1-12.

  6. Ruiz-Valero CA, Guerrero JS, Gómez-Delgado A. Replacement of TMJ reconstruction plates with condylar head by TMJ concepts custom-made prosthesis. EC Dental Science. 2019; 18.7: 1448-1452.

  7. Alemán MO, Aput NA, Domínguez RY et al. Manifestaciones maxilofaciales en pacientes con artritis reumatoide. MediSan. 2019; 23 (3): 460-467.

  8. González ME, Hernández CA. Reemplazo temporomandibular. ¿autógeno o aloplástico? Revisión de la literatura. Rev ADM. 2007; 64 (6): 244-249.

  9. Sarlabous M, El-Rabbany M, Caminiti M, Psutka DJ. Alloplastic temporomandibular joint replacement in patients with systemic inflammatory arthritis and connective tissue disorders. J Oral Maxillofac Surg. 2021; 79 (11): 2240-2246.

  10. El-Labban NG, Harris M, Hopper C, Barber P. Degenerative changes in masseter and temporalis muscles in limited mouth opening and TMJ ankylosis. J Oral Pathol Med. 1990; 19 (9): 423-425.

  11. Robiony M. Intramuscular injection of botulinum toxin as an adjunct to total joint replacement in temporomandibular joint ankylosis: preliminary reports. J Oral Maxillofac Surg. 2011; 69: 280-284.

  12. Mehra P, Wolford LM, Baran S, Cassano DS. Single-stage comprehensive surgical treatment of the rheumatoid arthritis temporomandibular joint patient. J Oral Maxillofac Surg. 2009; 67: 1859-1872.




Figure 1
Figure 2
Figure 3
Figure 4
Figure 5
Figure 6

2020     |     www.medigraphic.com

Mi perfil

C?MO CITAR (Vancouver)

Rev Mex Cir Bucal Maxilofac. 2022;18