medigraphic.com
SPANISH

Revista Odontológica Mexicana Órgano Oficial de la Facultad de Odontología UNAM

ISSN 1870-199X (Print)
Órgano oficial de la Facultad de Odontología, UNAM
  • Contents
  • View Archive
  • Information
    • General Information        
    • Directory
  • Publish
    • Instructions for authors        
  • medigraphic.com
    • Home
    • Journals index            
    • Register / Login
  • Mi perfil

2022, Number 1

<< Back Next >>

Rev Odont Mex 2022; 26 (1)

Implant placement in aesthetic zone and guide tissue regeneration using ''vista'' technique

Ramírez Rodríguez, Alejandro Darío1; Gómez Chávez, Jorge Armando2; Rodríguez-Chávez, Jacqueline Adelina3; Magaña Curiel, Karina3; Curiel González, Ricardo3; Bayardo González, Daniel Eduardo3
Full text How to cite this article

Language: English/Spanish [Versi?n en espa?ol]
References: 20
Page: 87-98
PDF size: 402.33 Kb.


Key words:

VISTA, dental implant, tissue regeneration, bone defect, autologous graft, xenograft.

ABSTRACT

Introduction: dental implants are an alternative treatment for prosthetic fixation in situations of partial or total edentulism. The most important requirements for dental implant placement are the quantity and quality of bone and soft tissues at the recipient site. The VISTA technique (vestibular incision subperiosteal tunnel access) allows a volume increase in a horizontal direction from the regeneration of hard and soft tissues. Objective: to present the treatment of an implant-supported restoration in the region of tooth 21, in which bone and connective tissue grafts were performed to increase the horizontal volume of the ridge using the VISTA technique. Case report: 42-year-old male patient; reason for consultation was: "I have lost a tooth"; upon intraoral examination, the absence of tooth 21 was observed. An implant (Straumann, SLActive, ø 3.3, length 12 mm) was placed. Bone (bovine xenograft (NuOss) and connective tissue grafting (resorbable collagen membrane (RCM6) were performed in the vestibular region using the VISTA technique to increase the horizontal volume of the residual ridge. The crown was made using a zirconia-based Variobase abutment with layered vestibular porcelain. An increase of the horizontal ridge (2 mm), stability of the hard and soft supporting tissues around the implant, and an esthetic, biological, and functionally adequate restoration were achieved. Conclusion: the VISTA technique is a promising approach for the treatment of implant sites with insufficient hard and soft tissues for full coverage of the implant surface.



INTRODUCTION

Dental implants are a treatment alternative for prostheses in situations of partial or total edentulism. Several critical factors have been identified that favor the long-term survival of dental implants; one of the most important requirements is the quantity and quality of bone and soft tissues in the receptor site, to allow adequate osseointegration. Initially, implants were placed in areas where there was enough bone to accommodate the entire intraosseous portion of the implant. With the passage of time, they began to be placed in previously planned positions based on the positioning of the final restoration, thus improving esthetic and functional results.1

The anterior region of the maxilla is very thin and tends to be reabsorbed after tooth extraction.2 It is difficult to achieve implant success in the esthetic zone if we do not improve these conditions using tissue regeneration techniques regarding there are multiple esthetic problems for these patients, including loss of papilla, irregular gingival margin line, increased lengths of implant-supported prostheses, more predisposition for peri-implantitis, etcetera.3 Zucchelli et al.4 concluded in their study that periodontal and peri-implant support regeneration with different materials achieves significant long-term clinical improvements in the treatment of bone defects. Furthermore, autologous connective tissue grafts have been shown to provide the most predictability in gaining complete coverage of roots and dental implant sites.2,4 Although all tissue regeneration approaches that have been suggested show clinical attachment level gain, no single technique has demonstrated the ability to resolve all tissue deficiencies. Therefore, it is necessary to choose a regenerative strategy to treat a specific defect.5

Different surgical approaches have been proposed and tested, such as the coronally advanced flap, the lateral sliding flap, the semilunar flap, the tunnel technique, or the vestibular incision subperiosteal tunnel access "VISTA". The VISTA technique permits a horizontal volume increase and coronally repositions the gingival margins of all teeth and implants involved, from hard and soft tissue regeneration thus preserving the interdental papillae due to its minimally invasive access.6-10

A clinical case is hereby presented, where the reconstruction of soft tissues with the VISTA technique was performed during the placement of an implant in the esthetic zone.



CLINICAL CASE REPORT

Male patient, 42 years old, with the reason for consultation "I have lost a tooth". He presents a medical history of arterial hypertension with an evolution of 6 years, under treatment with enalapril 10mg every 12 hours. The extraoral examination showed a mesocephalic facial biotype, a straight facial profile of 178o, a naso-labial angle of 104o and no remarkable facial asymmetries (Figure 1A-C) according to Fradeani.11

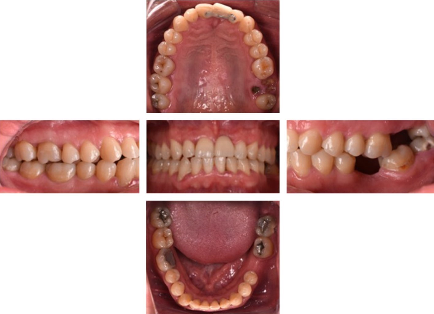
Intraoral examination showed incipient carious lesions in the occlusal surfaces of teeth 14, 15, 24, 25, 26, 34, 35, and 44; brown pigmentation in occlusal surfaces compatible with enamel caries in molars 16, 17, 18, 28, and 47; brown pigmentation with cavitation in the cervical area of the buccal surface of molar 38 compatible with caries in dentin; root fragments in the area of molar 27; dental amalgams in the occlusal faces of molars 37, 38, 46 and 48; plaque and generalized calculus; generalized gingival inflammation; absence of molar 36; a provisional fixed partial prosthesis adhered with orthodontic wire in the region of tooth 21. In this area, we observed a Seibert class III defect and a Benic and Hämmerle class III as mentioned by Benic and Hämmerle, and Seibert1,12 (Figure 2).

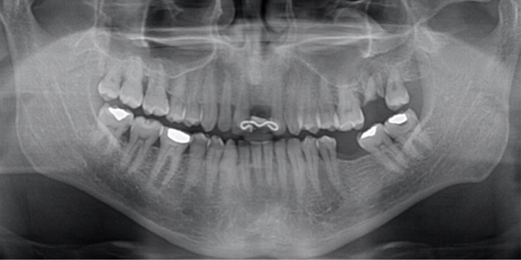
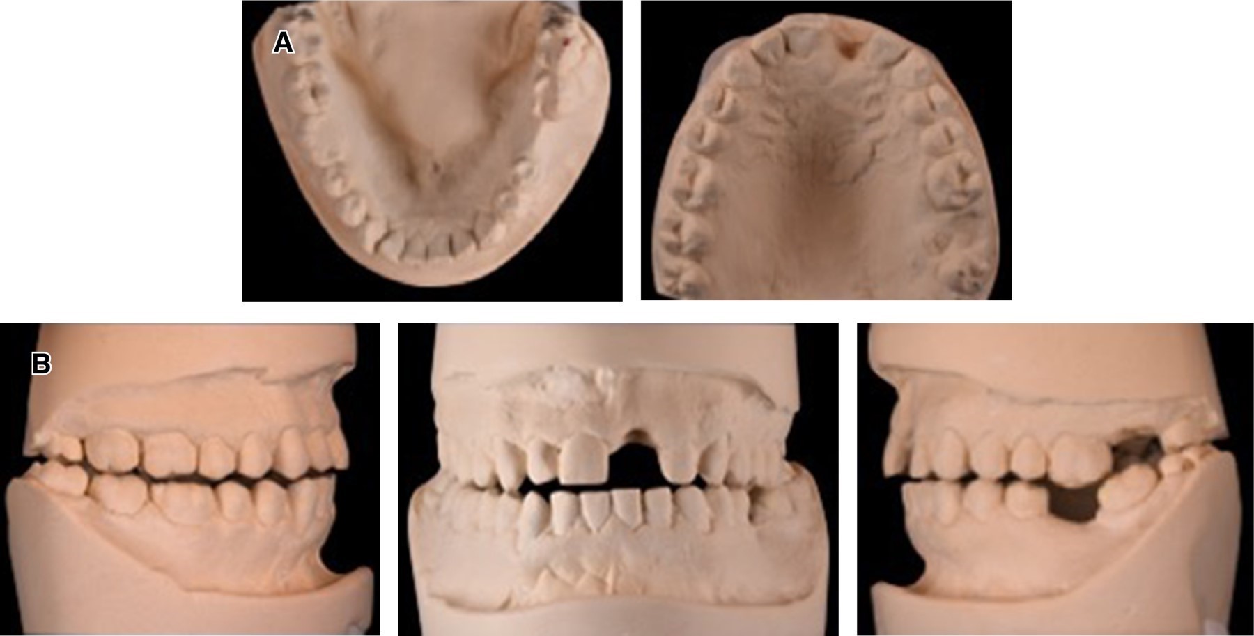
The orthopantomography analysis confirmed the absence of teeth 21 and 36 as well as the presence of root fragments of molar 27 and a defective restoration in 38 (Figure 3). The study models analysis, mounted in a semi-adjustable articulator, revealed a discrepancy between centric relation and maximum intercuspation records (Figure 4A-B).

The treatment objective was to perform an implant-supported restoration in the region of tooth 21 with adequate tissue management to increase the volume of the ridge horizontally and achieve a restoration with acceptable esthetic results and hence, a better long-term prognosis. An implant-supported prosthesis was placed in the area of tooth 21 along with connective tissue and bone graft in the labial region of this same area to obtain an increase in the horizontal volume of the residual ridge.

Periodontal and prosthetic phase I was performed, eliminating risk factors (caries, defective restorations, plaque, and calculus) and giving oral hygiene instructions. A cone beam computed tomography (CBCT) was indicated (Figure 5A) with the implementation of a tomographic guide elaborated from a diagnostic wax-up (Figure 5B) to observe the dimensions of the residual ridge (Figure 5C) and to choose an implant with ideal dimensions. Risk areas that may present a possible fenestration of the implant were identified to treat them adequately. Figure 6A shows the initial situation to be rehabilitated. Subsequently, we proceeded to the implant placement of tooth 21 (Straumann, SLActive, ø 3. 3, length 12 mm) using a restrictive guide (Figure 6B) for correct three-dimensional positioning in relation to the prosthetic dimension and the presence of bone tissue. The drilling sequence of the receptor site was started (Figure 6C-F) and the implant was inserted achieving primary stability of 35 Ncm2 (Figure 6G-I). Finally, the mesiodistal position of the implant was verified by taking a dentoalveolar radiograph (Figure 6J).

After implant placement, connective tissue and bone grafts were used to prepare the receptor site with the VISTA tunneling technique because it is a minimally invasive technique. It avoids flap elevation and preserves the blood supply to prevent bone tissue collapse and loss of the interdental papilla thus providing greater postoperative comfort for the patient. A vertical incision was made adjacent to the labial frenulum (Figure 7A-C); guided bone regeneration was performed through a tunnel, using connective tissue graft (Figure 7D-E). The donor site was the retromolar area of the maxilla, distal to molar 17; xenograft (NuOss) was placed (Figure 6F-G) in addition to resorbable collagen membrane (RCM6) and it was sutured with 5-0 catgut thread (Figure 7H). A provisional prosthesis was attached with orthodontic wire to the adjacent teeth (Figure 7I). Figure 7J depicts the pre-surgical situation; after 3 months of healing, an increase in height of the gingival margin that outlines tooth 21 was obtained, around 0.5 mm (Figure 7K).

After 5 months, the implant was loaded with a screw-retained acrylic resin temporary, by which the critical and subcritical profiles were formed for 3 months. After the soft tissue management, an impression with polyvinylsiloxane was taken copying the emergence profile of the temporary to fabricate a final cement- and screw-retained restoration on a Variobase Standard abutment (Straumann) with the same emergence profile. The final restoration was made with a zirconia base and vestibular coverage of feldspathic porcelain. Additionally, molar 18 was extracted; teeth 17, 16, 13, 11, 23, 33, 43, and 47 were restored with composite resins; in molar 47 an indirect restoration of lithium disilicate was placed and the edentulous area of molar 36 was rehabilitated with an implant and a screw-retained metal-ceramic crown (Figure 8).

An esthetic, biological and functional restoration was achieved, in addition to an increase in the horizontal ridge (2 mm) (Figure 7J) which offers better stability in the implant support tissues, and mimicry of the implant-supported restoration with the rest of the mouth (Figure 8).



DISCUSSION

In this clinical case, we described the surgical approach to the treatment of the residual ridge of the upper central incisor region with a Seibert class III defect, following the late placement (4 months) of a dental implant without flap elevation from a restrictive surgical guide. In a systematic review by Gargallo et al.13 the use of a restrictive guide and surgery without flap elevation showed greater precision in comparison with the freehand technique. However, it is essential that the residual ridge has the ideal dimensions to receive the implant or, in the absence of this condition, the placement of an additional bone tissue graft should be contemplated. The residual ridge should also have a sufficient band of keratinized gingiva so that it is not lost entirely during the punch incision for the surgical site preparation as mentioned by Yadav et al.14

Grunder15 performed an in vivo study in 24 patients, in which he demonstrated that the connective tissue graft, during immediate placement of the implant in the anterior sector of the maxilla, may increase the horizontal dimension of the soft tissue by 1mm, in comparison with a control group to which no graft was performed. In the present clinical case, we agree that the connective tissue graft achieves an increase of 2 mm of volume horizontally in the implant area. However, the procedure was not performed in the same way as the Grunder team, since in their study they placed the implant immediately after the teeth extraction. We used autologous connective tissue extracted from the region of the maxillary tuberosity because this treatment is established for the general coverage of the dental roots and implant surfaces. It also offers long-term stability and has been previously reviewed by several authors.3,4,15,16 The disadvantages of performing an autologous connective tissue graft generally involve patient discomfort and tissue morbidity, due to the removal of tissue from a second surgical site. Nevertheless, we made this decision because previous studies showed that the acellular dermal matrix used for the same purpose as connective tissue may shrink significantly over time.17 Immediately after surgery, we detected a 1-mm increase in the horizontal dimension of the soft tissue. During the healing phase, we obtained an increase in the height of the gingival margin outlining tooth 21 (about 0.5 mm). Zucchelli et al.18 evaluated recession coverage around implant-supported esthetic zone single-tooth restorations at 5-year follow-up after a conventional advanced coronary flap in combination with a connective tissue graft.

Regarding the approach for tissue grafting, we selected the VISTA technique, which was originally used for root recession treatment, immediately after implant placement because this technique offers advantages over a complete mucoperiosteal flap elevation approach: it avoids the exposure of bone tissue and prevents the loss of blood supply provided by the periosteum.6,19,20 Lee et al.10 used the VISTA technique for horizontal tissue regeneration on an implant that they had placed six months after bone graft and observed an increase in peri-implant tissue thickness (> 3 mm). They concluded that the VISTA technique appears to be a promising method for improving soft tissue dimensions around implant-supported restorations in the anterior maxilla.



CONCLUSIONS

The VISTA technique is a promising approach for the treatment of implant sites with insufficient hard and soft tissues. In Benic and Hämmerle class III defects for total coverage of the implant surface, in which a flap elevation-free approach is performed, it results in less bone resorption and better preservation of the dental papilla.

Further long-term prospective studies evaluating the scope and limitations of the application of this technique in sites with dental implants are needed.

It is necessary to evaluate CBCT before surgery because it is of utmost importance to know the dimensions of the surgical site. A second CBCT scan after surgery is recommended to evaluate the complete coverage of the implant surface.


REFERENCES

  1. Benic GI, Hammerle CH. Horizontal bone augmentation by means of guided bone regeneration. Periodontol 2000. 2014; 66 (1): 13-40. doi: 10.1111/prd.12039.

  2. Al-Sabbagh M. Implants in the esthetic zone. Dent Clin North Am. 2006; 50 (3): 391-407. doi: 10.1016/j.cden.2006.03.007.

  3. Suzuki S, Morimoto T, Sato A, Igarashi H. Indications for augmentation prior to/at implant placement. In: Schoenbaum TR. Implants in the Aesthetic Zone. Switzerland: Springer; 2019. pp.49-80. doi: 10.1007/978-3-319-72601-4.

  4. Zucchelli G, Tavelli L, McGuire MK, Rasperini G, Feinberg SE, Wang HL et al. Autogenous soft tissue grafting for periodontal and peri-implant plastic surgical reconstruction. J Periodontol. 2020; 91 (1): 9-16. doi: 10.1002/JPER.19-0350.

  5. Cortellini P, Tonetti MS. Clinical concepts for regenerative therapy in intrabony defects. Periodontol 2000. 2015; 68 (1): 282-307. doi: 10.1111/prd.12048.

  6. Zadeh HH. Minimally invasive treatment of maxillary anterior gingival recession defects by vestibular incision subperiosteal tunnel access and platelet-derived growth factor BB. Int J Periodontics Restorative Dent. 2011; 31 (6): 653-660.

  7. Rodrigues S, Mitra D, Doctor A, Shah R, Shetty G, Vijaykar H. Periodontology: comparative evaluation of root coverage (vista technique) with PRF v/s collagen membrane. Clin Dent. 2018; 12 (1): 27-32.

  8. Gil A, Bakhshalian N, Min S, Nart J, Zadeh H. Three-dimensional volumetric analysis of multiple gingival recession defects treated by the vestibular incision subperiosteal tunnel access (VISTA) procedure. Int J Periodontics Restorative Dent. 2019; 39 (5): 687-995. doi: 10.11607/prd.4313.

  9. S RR, Kumar TA, Gowda TM, Mehta DS, Kumar A. Management of multiple gingival recessions with the vista technique: an 18-month clinical case series. Int J Periodontics Restorative Dent. 2018; 38 (2): 245-251. doi: 10.11607/prd.2990.

  10. Lee CT, Hamalian T, Schulze-Spate U. Minimally invasive treatment of soft tissue deficiency around an implant-supported restoration in the esthetic zone: Modified VISTA technique case report. J Oral Implantol. 2015; 41 (1): 71-76. doi: 10.1563/AAID-JOI-D-13-00043.

  11. Fradeani M. Análisis estético: un acercamiento sistémico al tratamiento protésico. 2nd ed. Barcelona: Quintessence; 2006.

  12. Seibert J. Reconstruction of deformed, partially edentulous ridges, using full thickness onlay grafts. Part I. Technique and wound healing. Compend Contin Educ Dent (Lawrenceville). 1983; 4 (5): 437-453.

  13. Gargallo-Albiol J, Barootchi S, Salomó-Coll O, Wang HL. Advantages and disadvantages of implant navigation surgery. A systematic review. Ann Anat. 2019; 225: 1-10. doi: 10.1016/j.aanat.2019.04.005.

  14. Yadav MK, Verma UP, Parikh H, Dixit M. Minimally invasive transgingival implant therapy: A literature review. Natl J Maxillofac Surg. 2018; 9 (2): 117-122. doi: 10.4103/njms.NJMS_52_17.

  15. Grunder U. Crestal ridge width changes when placing implants at the time of tooth extraction with and without soft tissue augmentation after a healing period of 6 months: report of 24 consecutive cases. Int J Periodontics Restorative Dent. 2011; 31 (1): 9-17.

  16. Atieh MA, Alsabeeha NHM. Soft tissue changes after connective tissue grafts around immediately placed and restored dental implants in the esthetic zone: a systematic review and meta-analysis. J Esthet Restor Dent. 2020; 32 (3): 280-290. doi: 10.1111/jerd.12538.

  17. Kroiss S, Rathe F, Sader R, Weigl P, Schlee M. Acellular dermal matrix allograft versus autogenous connective tissue grafts for thickening soft tissue and covering multiple gingival recessions: A 5-year preference clinical study. Quintessence Int. 2019; 50 (4): 278-285. doi: 10.3290/j.qi.a42160.

  18. Zucchelli G, Felice P, Mazzotti C, Marzadori M, Mounssif I, Monaco C et al. 5-year outcomes after coverage of soft tissue dehiscence around single implants: a prospective cohort study. Eur J Oral Implantol. 2018; 11 (2): 215-224.

  19. Boucher CO. Prostodoncia total de Boucher. 10a ed. México: Inter Americana-McGraw Hill; 1994.

  20. Pawar B, Bhuse K, Shetty A. A fantastic aprroach for multiple recession coverage: vestibular incision subperiosteal tunnel access technique (Vista) -a case report. IOSR J Dent Med Sci. 2016; 15 (2): 52-56. doi: 10.9790/0853-15215256.



AFFILIATIONS

1 Egresado. Especialidad de Prostodoncia. Departamento de Clínicas Odontológicas Integrales. Centro Universitario de Ciencias de la Salud. Universidad de Guadalajara.

2 Alumno. Especialidad de Prostodoncia. Departamento de Clínicas Odontológicas Integrales. Centro Universitario de Ciencias de la Salud. Universidad de Guadalajara.

3 Profesor. Especialidad de Prostodoncia. Departamento de Clínicas Odontológicas Integrales. Centro Universitario de Ciencias de la Salud. Universidad de Guadalajara.



CORRESPONDENCE

Daniel Eduardo Bayardo González. E-mail: daniel.bayardo@academicos.udg.mx




Received: Noviembre 2020. Accepted: Junio 2021.

Figure 1
Figure 2
Figure 3
Figure 4
Figure 5
Figure 6
Figure 7
Figure 8

2020     |     www.medigraphic.com

Mi perfil

C?MO CITAR (Vancouver)

Rev Odont Mex. 2022;26