medigraphic.com
SPANISH

Cirujano General

ISSN 2594-1518 (Electronic)
ISSN 1405-0099 (Print)
  • Contents
  • View Archive
  • Information
    • General Information        
    • Directory
  • Publish
    • Instructions for authors        
    • Send manuscript
  • medigraphic.com
    • Home
    • Journals index            
    • Register / Login
  • Mi perfil

2023, Number 2

<< Back Next >>

Cir Gen 2023; 45 (2)

Upper intestinal occlusion due to gallstone ileus in a young adult

Novelo Vallado, Edwin Raul1; Pech Sosa, Erika Beatriz2
Full text How to cite this article 10.35366/111511

DOI

DOI: 10.35366/111511
URL: https://dx.doi.org/10.35366/111511

Language: English/Spanish [Versi?n en espa?ol]
References: 10
Page: 99-105
PDF size: 252.88 Kb.


Key words:

bowel obstruction, gallstone ileus, longitudinal enterotomy, pneumobilia, cholecystoenteric fistula.

ABSTRACT

Introduction: gallstone ileus is a rare entity, defined as the presence of a mechanical biliary obstruction by impaction of one or more large gallstone within the gastrointestinal tract. It is the cause of 1 to 4% of all cases of bowel obstruction. Case report: 36 year old male with epigastric abdominal pain, later generalized, gastroalimentary emesis and gastro biliary, no bowel evacuation. Denies surgical interventions, he had vesicular lithiasis for one year. Physical examination pale skin, distended abdomen with no peristalsis, muscular resistance and positive rebound, tympanic and high-pitched bowl sound were audible. Blood test finding's revealed an elevated leukocyte (14.1 × 10 cells/L), Na 122 mmol/L, TP 13.4, TpT 29, albumin 4.5, BT 1.5, BD 0.5 and BI 1.0. Computed tomography (CT) scan demonstrated distention of the jejunal loops with retention of fluid content, ectopic gallstone and pneumobilia. Exploratory laparotomy was performed for longitudinal enterotomy which ended up in gallstone extraction. Conclusions: CT scan should be used for diagnosis of biliary ileus and the most advantageous and safe surgical option should be chosen.



INTRODUCTION

Biliary ileus is a mechanical type of intestinal occlusion due to obstruction of the intestinal lumen by a gallstone.1 It is the cause of 1 to 4% of all obstructions of mechanical type and up to 25% of the causes of intestinal obstruction after 65 years of age; the average age of presentation is 74 years.2 Generally, it is a gallstone whose size is greater or equal to 2.5 cm; this means that it is complicated for gallstones with smaller sizes than those mentioned to cause an obstructive condition.3,4

The passage of the litho into the digestive tract occurs through a fistula between the gallbladder and the digestive tract, so a cholecystoduodenal fistula is the most common in 85% of cases; the other 15% are hepatoduodenal, choledochoduodenal, cholecystogastric, cholecystojejunal, and cholecystocolonic fistulas; these appear when there are recurrent episodes of acute cholecystitis with severe inflammation and adhesions to the digestive tract.4 Other mechanisms are migration through the ampulla of Vater, followed by their growth in situ or manipulation during cholecystectomy.4

The clinical presentation can be acute with abdominal distension, vomiting, and constipation; subacute with no bowel movements but gas channeling (low-grade intestinal obstruction); chronic or Karewsky's syndrome consisting with recurrent episodes of abdominal pain caused by the passage of gallstones through the intestine, alternating with an asymptomatic period until the complete obstruction is reached. Other symptoms are the absence of peristalsis, hydro electrolyte imbalance, jaundice, and the so-called Mordor triad (history of cholelithiasis, acute cholecystitis, and sudden onset of intestinal occlusion).4

Within the diagnostic approach, imaging studies such as standing and decubitus simple abdominal radiographs are used with a sensitivity between 40 and 70%.4 The gold standard for diagnosis is an abdominal CT scan, simple and contrasted, with the following diagnostic criteria: signs of small bowel obstruction, ectopic gallstone, abnormal gallbladder, presence of hydro-aerial levels, or the presence of edema and irregular gallbladder wall.4 Although MRI can visualize in almost 100% of cases the signs of Rigel's triad, which will be discussed later, this study does not play an essential role in the diagnosis of this pathology; as well as abdominal ultrasound which, although it is the method of choice in the detection of gallbladder lithiasis, it is rarely used for diagnostic purposes in unstable patients with acute abdomen.4

Regarding treatment, two options have often been the subject of debate: on the one hand, enterolithotomy and delayed cholecystectomy, and on the other hand, enterolithotomy, delayed cholecystectomy, and fistula closure in a single operation.3



PRESENTATION OF THE CASE

We present the case of a 36-year-old male with the following important history.

Personal pathological history: he had a known diagnosis of gallbladder lithiasis one year before.

Current condition: he started with burning epigastric abdominal pain of intensity 8/10 on the visual analog pain scale, as well as dyspepsia and early satiety sensation within 30 days of evolution. This symptomatology intensified seven days prior to his hospital admission with aggravation of epigastric pain that later became generalized in the four quadrants of the abdomen, with an intensity 9/10 on the visual analog pain scale, accompanied by emesis of gastro alimentary and gastro biliary contents, as well as the absence of gas channeling, bowel movements and increase in abdominal perimeter; probably related to the previous intake of cholecystokinetic foods. The patient denied fever, choluria, acholia, transfictive abdominal pain in the right hypochondrium, and hyporexia; at the time of hospital admission, he also reported having been medicated for 72 hours with antibiotics, antiemetics, and unspecified analgesics without any improvement, which is why he came to the emergency department of our hospital.

Physical examination: he was conscious and oriented, with pallor of the integuments and inadequate hydration. He had a heart rate of 128 beats per minute, respiratory rate of 24 breaths per minute, temperature of 36.5 °C, oxygen saturation of 98% without supplemental oxygen, and blood pressure of 100/60 mmHg. Cardiac and respiratory examination showed no apparent alterations. A nasogastric tube was inserted and drained 400 ml of a liquid of fecaloid characteristics. His abdomen was distended. He had no scars and was painful to palpation with voluntary muscle resistance, and a positive rebound sign. Peristaltic movements were auscultated, and some generalized metallic noises were heard, with generalized tympanic sounds to percussion. Rectal examination showed an empty rectal ampulla.

Labs on May 29, 2020 reported white blood cells of 14,100/mm3 (67% neutrophilia), hemoglobin (Hb) of 18.2 g/dl, platelets of 341,000/mm3, prothrombin time (PT) 13.4, thromboplastin time (TT) 29.0, INR 1.11, alkaline phosphatase 113 mg/dl, total bilirubin 1.5 mg/dl, direct bilirubin 0.5 mg/dl, indirect bilirubin 1.0 mg/dl, albumin 4.5 g/l, creatinine 2.1 mg/l, glucose 186 mg/dl, amylase 121.1 mg/dl, lipase 225 mg/dl, sodium 126 mmol/l, chloride 71.4 mmol/l, potassium 4.1 mmol/l.

On standing and decubitus abdominal simple radiographs (Figure 1) a coin stack image was evidenced, as well as distension of the small bowel loops, with the absence of gas in the distal intestine.

An abdominal ultrasound showed normal intrahepatic biliary tract, a 6 × 3 cm gallbladder with 5 mm wall, and several dense lithos of 9 to 10 mm in its interior with posterior acoustic shadow. The common bile duct measured 4 mm and portal vein 8 mm, and the pancreas was seen with a heterogeneous surface on the ultrasound scan. The whole abdomen shoed images of a nonspecific ileus; therefore, it was concluded with the ultrasound data that the patient had a chronic calculous cholecystitis, ruling out pancreatitis, a sub-occlusive ileus, and modified appendicitis was not ruled out.

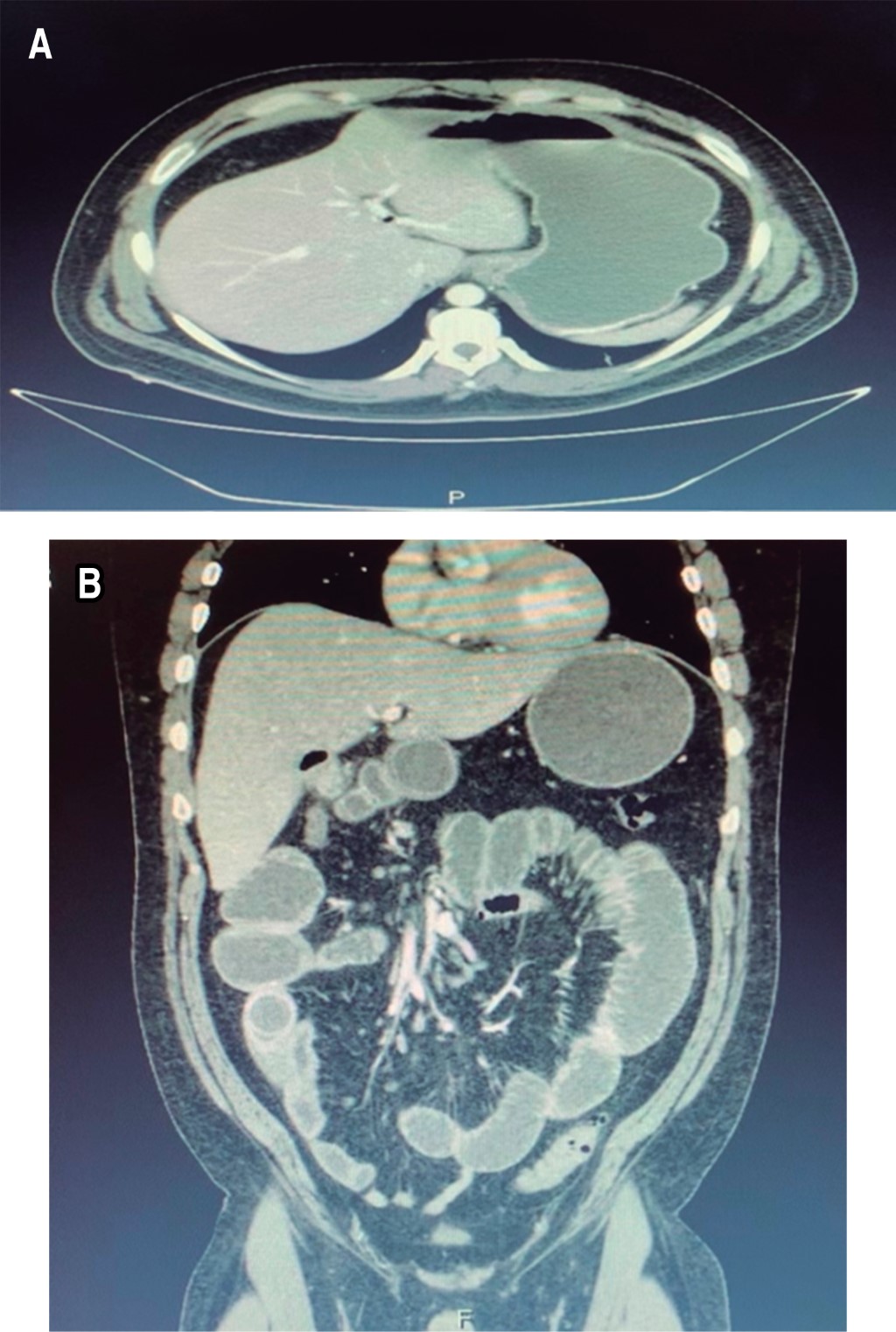
Simple and contrasted tomography of the abdomen (Figure 2) showed a normal intrahepatic and extrahepatic biliary tract, non-visible gallbladder, common bile duct, and portal duct of normal caliber, and pancreas and spleen with an average density, morphology, and size. Distension of jejunal loops were seen with retention of liquid content and minimal air bubbles scattered through its wall, apparently secondary to a round, thick-walled image, and with liquid content of 31 mm in diameter in the proximal ileum. A cecal appendix medial to the cecum was seen without inflammatory changes measuring 44 mm long and 6 mm thick.

Based on the above, an analysis of the interrogation and clinical picture was performed, the conclusion of which was that it was a case of high intestinal occlusion of etiology to be determined since the patient had no surgical history to consider postoperative adhesions, which are the primary etiology in these cases, therefore, taking into account the patient's history of vesicular lithiasis, the patient was intentionally reinterrogated until an apparent relationship was found with the intake of cholecystokinetic foods a week prior to the intensification of symptoms, at the same time that medical treatment was started for intestinal occlusion with analgesia, hydro electrolyte replacement, and the placement of a nasogastric tube, with which 400 ml of a fecaloid liquid were obtained. Due to the lack of improvement with these measures, as well as clinical and paraclinical data of systemic inflammatory response and tomographic findings, absence of gallbladder visualization, the air in gallbladder fossa, presence of pneumobilia (not reported), distension of small bowel loops, probable ectopic gallstone proximal to the ileocecal valve and scarce intra-abdominal free fluid, it was decided to undergo an exploratory laparotomy with the following pre-surgical diagnoses: intestinal occlusion, biliary ileus vs. intestinal perforation.

The transoperative findings were generalized distension of ileum and jejunum loops, and a 3 cm gallbladder litho impacted 90 cm from the ileocecal valve, which caused high intestinal occlusion. A healthy cecal appendix, a non-palpable gallbladder, and a scarce reaction fluid was found.

It was decided to perform enterolithotomy with the extraction of the litho and primary closure in two planes with the Connell-Mayo technique with polyglactin 910 3-0 atraumatic needle and an interrupted Lembert suture with silk and 3-0 atraumatic needle. The cholecystectomy as deferred (Figure 3). A half-inch Penrose-type drain was placed into the pelvic recess and closed in planes with a 0 polyglactin 910 sutures for the wall and skin closure by simple stitches with Nylon Preto 3-0 monofilament.

Then he was admitted to postoperative care, where he presented gas channeling 12 hours after the procedure and started liquid diet 48 hours after the surgical event with progression of the same due to adequate tolerance, with absence of fever; because of this, analgesia was left with paracetamol, one gram intravenous every eight hours for five days, ketorolac 30 mg intravenous for three days, antibiotic ceftriaxone one gram every 12 hours for five days, and metronidazole 500 mg every eight hours for five days. There were regular bowel movements, and laboratory tests reported white blood cells 10,200/mm3, platelets 340,000, Hb 12.5 g/dl, and serum creatinine 0.7 mg/dl; so it was decided to discharge the patient from the service due to improvement, with a follow-up appointment for removal of stitches ten days after the surgical event.



DISCUSSION

Biliary ileus is currently considered a rare entity, causing 1-4% of cases of mechanical intestinal obstruction, which increases up to 25% in patients over 65 years of age, represents 0.3 to 0.5% of the complications of biliary disease, and is more prevalent in women with a female to male ratio of 3.5-3.6:11,4-6 which contrasts with our patient who was male, in an age range outside those mentioned and without risk factors for biliary pathology; therefore we consider it essential to make this case report, as well as a review of the therapeutic options that have been the subject of current debate.

It corresponds to a complication of vesicular lithiasis, in which repeated episodes of acute cholecystitis originating a bilio-enteric fistula, favoring the passage of the litho towards the intestinal lumen. The cholecystoduodenal fistula is the most frequent with a frequency of 85%. Others fistulas involve the stomach and the colon ant they are only diagnosed preoperatively in 10% of the cases so it is the less frequent variant; the size of the litho is relevant, since from 2 to 2.5 cm it is capable of producing obstruction that most of the times have its impaction in the distal ileum 5 cm is capable of producing obstruction that most of the times impacts in the distal ileum.1-6 In our case report we found a 3.0 cm litho impacted 90 cm from the ileocecal valve in the terminal ileum, according to reported in the literature.

This is known as Barnard's syndrome, the most frequent type of biliary ileus, where the reported symptomatology is diffuse colicky abdominal pain, which is then located in the right iliac fossa, associated with nausea and vomiting of gastro biliary content, abdominal distension, absence of peristalsis, constipation, fluid imbalance, and signs of peritoneal irritation;1-5,7 with this clinical picture we evidenced that our patient presented this symptomatology for approximately 30 days.

The physical examination is nonspecific, so biliary ileus is suspected in an elderly patient with Mordor's triad (history of gallstone, signs of acute cholecystitis, and sudden onset of intestinal obstruction),1 however, in our patient, there were no signs of acute cholecystitis at the time of the initial examination; it is essential to note that he arrived within seven days of evolution and with clear signs of intestinal occlusion and even risk of perforation; the same symptomatology originated after the ingestion of cholecystokinetic food which, together with the history of vesicular lithiasis, made us consider the diagnosis of biliary ileus despite the absence of pain in the right hypochondrium, for which simple and contrasted abdominal tomography was requested. It is also worth mentioning that during those seven days, he was under antibiotics, analgesic drugs, and antiemetic medication, which could have masked the signs of acute cholecystitis.

Sanchez-Perez et al. reported in 2016 that the most frequent biochemical alterations are hypokalemia (60%), hyponatremia (40), and metabolic alkalosis;6 other abnormalities are leukocytosis and altered liver functional tests.1 This is according with what was reported in our case regarding hyponatremia, leukocytosis, alterations in liver functional tests, and alkalosis, so part of the initial treatment is hydro electrolyte and acid-base replacement.

The imaging studies began with abdominal radiographs in which Rigler's triad was expected to be evidenced: ectopic gallstone, pneumobilia, and distension of intestinal loops; the diagnosis is considered when two of these are present, and we speak of Rigler's tetrad when the change of position of the stone concerning the previous radiograph is documented.1,2 In our patient, it was impossible to find these findings since the simple abdominal X-rays only showed a hydro-aerial level in the right hemiabdomen, distension of intestinal loops, and absence of air in the distal intestine.

Chang and colleagues, in 2018, reported that Rigler's triad on radiographs is present in 14 to 53% of cases, whose sensitivity is 40 to 70%, as well as the visualization of gallstones in 10 to 20% of cases in those containing calcium to be radio opaque.2,6 This was also according to what was found in our patient. For that reason, a cholesterol stone was thought to be present, and since there was no apparent cause of the obstruction, a contrasted abdominal tomography scan was requested, which is currently considered the study of choice for diagnosis since it is possible to visualize Rigler's triad in up to 80% of cases with an approximately 90% sensitivity.1,6

The diagnostic criteria for biliary ileus by tomography are signs of small bowel obstruction, ectopic calculus, abnormal gallbladder, air collection, hydro-aerial levels, or peri vesicular edema with an irregular wall.2 In our case, Rigler's triad was present when performing the CT scan in a manner that coincided with that reported in the literature.2 Ultrasound can demonstrate the Rigler's triad in some series;6 however, in our case, it reported a possible complicated acute appendicitis and was able to determine acute cholecystitis.

The treatment of this pathology is surgical; however, it starts with rehydration measures and correction of acid-base and electrolyte imbalances. There are two therapeutic options: on the one hand, enterolithotomy with stone extraction and deferred cholecystectomy, and on the other hand, enterolithotomy with cholecystectomy and fistula closure in a single surgical procedure.2,3,8 The first option represents less surgical risk and is often preferred since they are elderly patients with multiple comorbidities, and it is performed more frequently.1,3 Despite not being a patient with comorbidities and being stable at the time of the surgical event, we decided to perform a longitudinal enterolithotomy in the antimesenteric border of the ileum with transverse enterorrhaphy in two planes and cholecystectomy in a second surgical time, since we consider that this one has better results based on what has been reported in the literature.

In 2019, Hurtado and his team reported the case of a male patient outside the typical age range for presenting the picture and in whom they opted for enterolithotomy, cholecystectomy, and fistula closure, who underwent exploratory laparotomy on four occasions. This approach resulted in a total in-hospital stay of 31 days, including admission to the intensive care unit and discharge with an abdominal wall defect (post-incisional hernia).1

Soliva D and colleagues, in 2018, opted to perform enterolithotomy and deferred cholecystectomy, the result of which was an adequate postoperative evolution;3 which contrasts with our patient since no postoperative complications were reported, nor another surgical event and he was discharged six days later without the need for intensive care stay.

Sanchez-Perez et.al.,6 in 2016, reported that one-stage surgery is possible when cholecystectomy is evaluated and defined as technically simple and always using transoperative cholangiography, as well as when performing intestinal closure in two planes. In 50% of the cases, the fistula closes spontaneously.7 This was another reason we preferred to perform enterolithotomy and deferred cholecystectomy due to the lack of transoperative cholangiography during the night shift in our center.

In 2018, Mirza M and his team reported that laparoscopic enterolithotomy is preferable if performed by an expert surgeon in an adequately equipped center.9

Other alternative therapeutic methods include colonic laser lithotripsy, extracorporeal shock wave, argon lithotripsy, and endoscopic hydroelectric laser lithotripsy.6



CONCLUSIONS

For the diagnosis of biliary ileus, it is essential to have a high diagnostic suspicion in the clinical context of a patient like the one presented in this case; however, there are reported cases of patients outside the typical age range which represent a diagnostic challenge that requires to rely on simple and contrasted abdominal tomography scan as the imaging method of choice to avoid delaying the diagnosis and treatment, taking into account that surgery in a single time represents more significant morbidity and mortality for the patient;10 because of this we concluded that the best option for our patient was to perform the treatment in two surgical times: the first to resolve the urgency (intestinal occlusion) and the second time to plan an elective cholecystectomy with previous documentation of the fistula in order to achieve adequate planning of its correction.


REFERENCES

  1. Hurtado Y, Agudelo H, Merchán-Galvis A. Íleo biliar en adulto joven. Reporte de un caso. Univ Salud. 2020; 22: 96-10.

  2. Chang L, Chang M, Chang H, Chang A. Clinical and radiological diagnosis of gallstone ileus: a mini review. Emerg Radiol. 2018; 25: 189-196.

  3. Soliva D, Belda I, Vicente J, Val E. Íleo biliar. Rev Argent Radiol. 2018; 82: 88-90.

  4. Ploneda C, Gallo M, Rinchon C, Navarro E. El íleo biliar: una revisión de la literatura médica. Revista de Gastroenterología de México. 2017; 82: 248-254.

  5. Marini M, Panyor G, Ruberta F, Marini A. Endoscopic versus surgical treatment for a rare form of gallstone ileus: Bouvaret's syndrome. Ann Ital Chir. 2018; 89: 162-167.

  6. Sánchez-Pérez EA, Álvarez-Álvarez S, Madrigal-Téllez MA, Gutiérrez-Uvalle GE, Ramírez-Velásquez JE, Hurtado-López LM. Gallstone ileus, experience in the Dr. Eduardo Liceaga General Hospital of Mexico. Cir Cir. 2017; 85: 114-120.

  7. Suciu B, Halmaciu I, Vunvulea V, Trambitas C. Gallstone Ileus caused by a cholecysto-duodeno-colic fistula. Case report and literature review. ARS Medica Tomitana 2017; 23: 170-174.

  8. Kreve F, Takada J, Gatto J, Loss F. Biliary Ileus: case report. Rev Gastroenterol Peru. 2017; 37: 173-176.

  9. Mirza M, Eldamati A, Foula M, Al-Mulhim. Laparoscopic management fot gallstone ileus, case report. Int J Surg Case Rep. 2018; 51: 268-271.

  10. Creedon L, Boyd-Carson H, Lund J. A curious case of cololithiasis. Ann R Coll Surg Engl. 2018; 100: e188-190.



AFFILIATIONS

1 Physician assigned to the General Surgery Service. Hospital General San Carlos, Secretaría de Salud y Asistencia (SSA), Tizimín, Yucatán, Mexico.

2 Intern in Social Service. Hospital General San Carlos, Secretaría de Salud y Asistencia (SSA), Tizimín, Yucatán, Mexico.



Ethical considerations and responsibility: data privacy. According to the protocols established in our work center, we declare that we have followed the protocols on patient data privacy and preserved their anonymity.

Funding: no financial support was received for the preparation of this work.

Disclosure: none of the authors have a conflict of interest in the conduct of this study.



CORRESPONDENCE

Edwin Raul Novelo-Vallado. E-mail: novelo1986@gmail.com




Received: 05/16/2022. Accepted: 05/02/2023.

Figure 1
Figure 2
Figure 3

2020     |     www.medigraphic.com

Mi perfil

C?MO CITAR (Vancouver)

Cir Gen. 2023;45