medigraphic.com
ENGLISH

Cirujano General

ISSN 2594-1518 (Digital)
ISSN 1405-0099 (Impreso)
  • Mostrar índice
  • Números disponibles
  • Información
    • Información general        
    • Directorio
  • Publicar
    • Instrucciones para autores        
    • Envío de artículos
  • medigraphic.com
    • Inicio
    • Índice de revistas            
    • Registro / Acceso
  • Mi perfil

2023, Número 2

<< Anterior Siguiente >>

Cir Gen 2023; 45 (2)


Oclusión intestinal alta secundaria a íleo biliar en un adulto joven

Novelo Vallado, Edwin Raul1; Pech Sosa, Erika Beatriz2
Texto completo Cómo citar este artículo 10.35366/111511

DOI

DOI: 10.35366/111511
URL: https://dx.doi.org/10.35366/111511
Artículos similares

Idioma: Español/Inglés [English version]
Referencias bibliográficas: 10
Paginas: 99-105
Archivo PDF: 274.58 Kb.


PALABRAS CLAVE

oclusión intestinal, íleo biliar, enterolitotomía longitudinal, neumobilia, fístula colecistoentérica.

RESUMEN

Introducción: el íleo biliar es una oclusión intestinal de tipo mecánico debida a la obstrucción de la luz intestinal por un cálculo biliar. Es una complicación rara de la colelitiasis que ocurre en 1 a 4% de todas las obstrucciones de tipo mecánico. Caso clínico: masculino de 36 años con cuadro clínico de dolor abdominal en epigastrio, posteriormente generalizado, emesis de contenido gastroalimentario y gastrobiliar, no canaliza gases y presenta ausencia de evacuaciones. Niega intervenciones quirúrgicas, refiere litiasis vesicular de un año de evolución. Durante la exploración física tenía abdomen distendido, ausencia de peristalsis, ruidos metálicos generalizados, resistencia muscular y rebote positivo, además de timpanismo. Pruebas de laboratorio: Na 122 mmol/l, K 4.1, leucocitos 14.1, Tp 13.4, TpT 29, albúmina 4.5, BT 1.5, BD 0.5, BI 1.0. Se realizó tomografía computarizada (TC) simple y contrastada que reportó cálculo biliar ectópico, neumobilia y distensión de asas intestinales. Se decidió laparotomía exploratoria realizando enterolitotomía longitudinal. Conclusiones: para el diagnóstico de íleo biliar deberá usarse TC de abdomen simple y contrastada, además se debe escoger la opción quirúrgica más ventajosa y segura.



INTRODUCCIóN

El íleo biliar se define como un cuadro de oclusión intestinal de tipo mecánico debido a la obstrucción de la luz intestinal por un cálculo biliar.1 Es la causa de 1 a 4% de todas las obstrucciones de tipo mecánico, y hasta 25% de las causas de obstrucción intestinal después de los 65 años; la edad media de presentación es de 74 años.2 Normalmente se trata de un lito cuya medida es mayor o igual a 2.5 cm, esto significa que es muy difícil que litos con medidas inferiores a las mencionadas causen un cuadro obstructivo.3,4

El paso del lito hacia el tubo digestivo se da a través de una fístula entre la vesícula biliar y este último, por lo que la fístula colecistoduodenal es la más común en 85% de los casos, el otro 15% son fístulas hepatoduodenales, coledocoduodenales, colecistogástricas, colecistoyeyunales y colecistocolónicas; éstas aparecen cuando hay episodios recurrentes de colecistitis aguda con inflamación severa y adherencias al tracto digestivo.4 Otros mecanismos son la migración a través de la ampolla de Vater, seguido de su crecimiento in situ o por manipulación durante la colecistectomía.4

La presentación clínica puede ser aguda: distensión abdominal, vómito y constipación; subaguda: no existen evacuaciones pero sí canaliza gases (obstrucción intestinal de bajo grado); crónica o síndrome de Karewsky: episodios de dolor abdominal recurrentes causados por el paso de cálculos biliares a través del intestino, alternando con un periodo asintomático hasta llegar a la obstrucción completa. Otros síntomas son ausencia de peristalsis, el desequilibrio hidroelectrolítico, ictericia y la llamada triada de Mordor (antecedente de colelitiasis, colecistitis aguda y aparición repentina de oclusión intestinal).4

Dentro del abordaje diagnóstico se emplean estudios de imagen como las radiografías de abdomen de pie y decúbito con una sensibilidad entre 40 y 70%.4 El estándar de oro para el diagnóstico es la tomografía de abdomen, simple y contrastada, con los siguientes criterios diagnósticos: signos de obstrucción de intestino delgado, cálculo biliar ectópico, vesícula biliar anormal, presencia de niveles hidroaéreos o la presencia de edema y pared vesicular irregular.4 A pesar de que la resonancia magnética es capaz de visualizar en casi 100% de los casos los signos de la triada de Rigel, de la cual se hablará más adelante, este estudio no juega un papel importante en el diagnóstico de esta patología; así como el ultrasonido abdominal que, si bien es el método de elección en la detección de litiasis vesicular, rara vez es empleado con fines diagnósticos en pacientes inestables con abdomen agudo.4

En lo que respecta al tratamiento existen dos opciones que muchas veces han sido motivo de debate: por un lado, enterolitotomía y colecistectomía diferida, y por el otro, la enterolitotomía, colecistectomía diferida y cierre de fístula en una sola intervención.3



PRESENTACIóN DEL CASO

Masculino de 36 años de edad que contaba con los siguientes antecedentes de importancia.

Antecedentes personales patológicos: refirió diagnóstico conocido de litiasis vesicular con un año de evolución.

Padecimiento actual: inició con dolor abdominal epigástrico ardoroso de intensidad 8/10 en la escala visual análoga de dolor, así como dispepsia y sensación de saciedad precoz con 30 días de evolución, dicha sintomatología se intensificó siete días previos a su ingreso hospitalario con agudización de dolor epigástrico que luego se volvió generalizado en los cuatro cuadrantes del abdomen, con intensidad 9/10 en la escala visual análoga de dolor, acompañado de emesis de contenido gastroalimentario y gastrobiliar, así como ausencia de canalización de gases, de evacuaciones y aumento del perímetro abdominal; probablemente relacionado a la ingesta previa de colecistocinéticos. El paciente negó fiebre, coluria, acolia, dolor abdominal transfictivo en hipocondrio derecho e hiporexia; al momento del ingreso hospitalario también refirió haber estado medicado durante 72 horas con antibióticos, antieméticos y analgésicos no especificados sin mejoría alguna, motivo por el que acudió al servicio de urgencias de nuestro hospital.

Exploración física: se encontró consciente, orientado, con palidez de tegumentos, así como inadecuada hidratación de los mismos, signos vitales con frecuencia cardiaca de 128 latidos por minuto, frecuencia respiratoria de 24 respiraciones por minuto, temperatura de 36.5 oC, saturación de oxígeno de 98% sin necesidad de oxígeno suplementario, tensión arterial 100/60 mmHg. Cardiaco y respiratorio sin alteraciones aparentes. Sonda nasogástrica con 400 ml de gasto de características fecaloides. Abdomen distendido, sin cicatrices, se auscultaron peristalsis normoaudible y ruidos metálicos generalizados, dolorosos a la palpación con resistencia muscular voluntaria y signo de rebote positivo. Timpanismo generalizado a la percusión. Al tacto rectal ámpula rectal vacía.

Laboratorios del 29 de mayo de 2020: leucocitos 14.1 (67% neutrofilia), hemoglobina (Hb) 18.2, plaquetas 341 mil, tiempo de protrombina (TP) 13.4, tiempo de tromboplastina (TpT) 29.0, INR 1.11, fosfatasa alcalina 113, bilirrubina total 1.5, bilirrubina directa 0.5, indirecta 1.0, albúmina 4.5, creatinina 2.1, glucosa 186, amilasa 121.1, lipasa 225, sodio 126 mmol/l, cloro 71.4, potasio 4.1.

Radiografías de abdomen de pie y decúbito (Figura 1): se evidenció imagen en pila de monedas, así como distensión de asas del intestino delgado, con ausencia de gas en intestino distal.

Ultrasonido abdominal: vía biliar intrahepática normal, vesícula biliar de 6 × 3 cm con pared de 5 mm y varios litos densos de 9 a 10 mm en su interior con sombra acústica posterior. El colédoco de 4 mm y vena porta de 8 mm, páncreas ecográficamente heterogéneo, íleo inespecífico en todo el abdomen; por lo que se concluyó: datos ecográficos de colecistitis crónica litiásica, descartar pancreatitis, íleo sub-oclusivo, no se descartó apendicitis modificada.

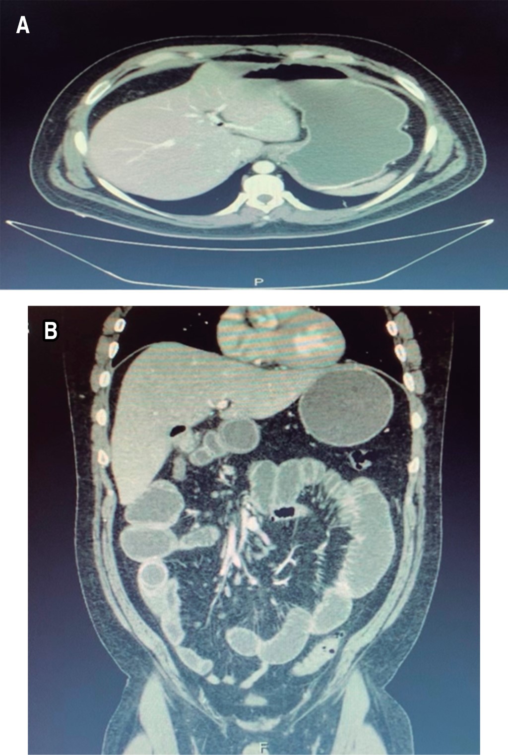
Tomografía simple y contrastada de abdomen (Figura 2): vía biliar intra y extrahepática normal, vesícula biliar no visible, colédoco y porta de calibre normales, páncreas y bazo de densidad, morfología y tamaño normal. Distensión de asas de yeyuno con retención de contenido líquido y mínimas burbujas aéreas dispersas en relación con su pared, aparentemente secundario a imagen redonda, de pared gruesa y contenido líquido de 31 mm de diámetro en íleon proximal. Apéndice cecal medial al ciego sin cambios inflamatorios con 44 mm de largo y 6 mm de espesor.

Por lo anteriormente descrito se realizó análisis de interrogatorio y cuadro clínico, cuya conclusión fue que se estaba ante un caso de oclusión intestinal alta de etiología a determinar, ya que el paciente no contaba con antecedentes quirúrgicos para considerar adherencias postoperatorias, las cuales son la principal etiología en estos casos, por lo que al tomar en cuenta el antecedente de litiasis vesicular en el paciente se reinterrogó de manera intencionada hasta encontrar una aparente relación con la ingesta de colecistocinéticos una semana previa a la intensificación de los síntomas, al mismo tiempo que se inició tratamiento médico para oclusión intestinal con analgesia, reposición hidroelectrolítica y colocación de sonda nasogástrica, con lo que se obtuvieron 400 ml de gasto fecaloide. Debido a falta de mejoría con dichas medidas, así como a los datos clínicos y paraclínicos de respuesta inflamatoria sistémica y a los hallazgos tomográficos: ausencia de visualización de la vesícula biliar, aire en fosa vesicular, pneumobilia (no reportado), distensión de asas de intestino delgado, probable cálculo biliar ectópico proximal a la válvula ileocecal y escaso líquido libre intraabdominal, se decidió someter a laparotomía exploradora bajo los siguientes diagnósticos prequirúrgicos: oclusión intestinal, íleo biliar vs perforación intestinal.

Se tuvieron como hallazgos transoperatorios: distensión de asas de íleon y yeyuno de manera generalizada, lito vesicular de 3 cm impactado a 90 cm de la válvula ileocecal, lo que condicionó oclusión intestinal alta. Apéndice cecal sano, vesícula biliar no palpable, escaso líquido de reacción.

Se decidió realizar enterolitotomía con extracción de lito y cierre primario en dos planos con técnica de Connell-Mayo con poliglactina 910 de tres-cero aguja atraumática y sutura interrumpida de Lembert con seda y aguja tres-cero atraumática, así como colecistectomía diferida (Figura 3). Se colocó un drenaje de tipo Penrose de media pulgada hacia el hueco pélvico y se cerró por planos con poliglactina 910 del 0 para la pared y cierre de piel por medio de puntos simples con monofilamento Nylon Preto tres-cero.

Después ingresó a cuidados postoperatorios, donde presentó canalización de gases a las 12 horas del procedimiento e inició dieta líquida a las 48 horas del evento quirúrgico con progresión de la misma debido a una adecuada tolerancia, con ausencia de fiebre; a causa de esto se dejó analgesia con paracetamol, un gramo intravenoso cada ocho horas por cinco días, ketorolaco 30 mg intravenoso por tres días, antibiótico ceftriaxona un gramo cada 12 horas durante cinco días y metronidazol 500 mg cada ocho horas por cinco días. Hubo presencia de evacuaciones normales y laboratorios que reportaron leucocitos 10.2, plaquetas 340 mil, Hb 12.5, Cr 0.7; de manera que se decidió egreso del servicio por mejoría, con cita de seguimiento para retiro de puntos a los 10 días del evento quirúrgico.



DISCUSIóN

Actualmente se considera al íleo biliar como una entidad rara, causante de 1-4% de los casos de obstrucción intestinal de tipo mecánica, que aumenta hasta 25% en pacientes mayores de 65 años, representa de 0.3 a 0.5% de las complicaciones de enfermedad biliar y es más prevalente en mujeres con una proporción mujer a hombre de 3.5-3.6:1,1,4-6 lo cual contrasta con nuestro paciente que era hombre, en un rango de edad fuera de los mencionados y sin factores de riesgo para patología biliar, por ello consideramos importante realizar este reporte de caso, así como una revisión de las opciones terapéuticas que han sido motivo de debate actual.

Corresponde a una complicación de la litiasis vesicular, en la cual episodios repetidos de colecistitis aguda originan una fístula bilioentérica para favorecer el paso del lito hacia la luz intestinal, la colecistoduodenal es la más frecuente con una frecuencia de 85%, otras involucran el estómago y el colon que únicamente se diagnostican preoperatoriamente en 10% de los casos por lo que es la variante menos frecuente; el tamaño del lito es relevante, ya que a partir de 2 a 2.5 cm es capaz de producir obstrucción que la mayoría de las veces tiene su impactación en el íleon distal,1-6 en nuestro reporte de caso se encontró un lito de 3.0 cm impactado a 90 cm de la válvula ileocecal en íleon terminal, esto fue congruente con lo reportado en la literatura.

A lo anterior se le conoce como síndrome de Barnard, el tipo más frecuente de íleo biliar, en donde la sintomatología reportada es dolor abdominal, cólico difuso, que después se localiza en la fosa iliaca derecha, asociado a náuseas y vómitos de contenido gastrobiliar, distensión abdominal, ausencia de peristalsis, constipación, desequilibrio de líquidos y puede presentar signos de irritación peritoneal;1-5,7 al realizar la mención del cuadro clínico evidenciamos que nuestro paciente presentaba esta sintomatología por aproximadamente 30 días.

El examen físico es inespecífico, por lo que se sospecha íleo biliar en un paciente de edad avanzada con la triada de Mordor (antecedente de cálculo biliar, signos de colecistitis aguda y aparición repentina de obstrucción intestinal),1 si bien en nuestro paciente no se presentaron al momento del examen inicial signos de colecistitis aguda, es importante destacar que llegó con siete días de evolución y con signos francos de oclusión intestinal e incluso riesgo de perforación; misma sintomatología que se originó luego de la ingesta de alimentos colecistocinéticos que, junto con el antecedente de litiasis vesicular, nos hizo considerar el diagnóstico de íleo biliar a pesar de la ausencia de dolor en hipocondrio derecho, por lo cual se solicitó la tomografía de abdomen simple y contrastada. También es prudente mencionar que a lo largo de esos siete días estuvo bajo medicación antibiótica, analgésica y antiemética, lo que pudo haber enmascarado los signos de colecistitis aguda.

Sánchez-Pérez y colaboradores reportaron, en 2016, que las alteraciones bioquímicas más frecuentes son: hipopotasemia (60%), hiponatremia (40) y alcalosis metabólica;6 otros son leucocitosis y alteraciones en las pruebas funcionales hepáticas,1 esto es congruente con lo reportado en nuestro caso en lo referente a la hiponatremia, leucocitosis, alteraciones en las pruebas funcionales hepáticas y la alcalosis, por lo que parte del tratamiento inicial es la reposición hidroelectrolítica y ácido-base.

En cuanto a los estudios de imagen se inició con las radiografías de abdomen en la cual se esperaba evidenciar la triada de Rigler: cálculo biliar ectópico, neumobilia y distensión de asas intestinales; se considera el diagnóstico cuando están presentes dos de éstos, y se habla de la tétrada de Rigler cuando se documenta el cambio de posición del cálculo con respecto a la radiografía previa.1,2 En nuestro paciente no fue posible encontrar estos hallazgos, ya que en la radiografía de abdomen únicamente se evidenció nivel hidroaéreo en hemiabdomen derecho y distensión de asas intestinales, así como ausencia de aire en intestino distal.

Chang y colegas, en 2018, reportaron que la triada de Rigler en las radiografías se encuentra presente en 14 a 53% de los casos, cuya sensibilidad es de 40 a 70%; así como la visualización de los cálculos biliares en 10 a 20% de los casos, aquellos que contienen calcio para ser radioopacos.2,6 Esto también fue congruente con lo encontrado en nuestro paciente, razón por la que, se pensó en un cálculo de colesterol y, al no contar con una causa franca de la obstrucción, se solicitó tomografía de abdomen simple y contrastada, la cual actualmente se considera el estudio de elección para el diagnóstico, pues en ella es posible visualizar hasta en 80% de los casos la triada de Rigler con aproximadamente 90% de sensibilidad.1,6

Los criterios diagnósticos de íleo biliar por tomografía son: signos de obstrucción de intestino delgado, cálculo ectópico, vesícula biliar anormal, colección de aire, presencia de niveles hidroaéreos o edema perivesicular con pared irregular.2 En nuestro caso, estuvo presente la triada de Rigler al momento de realizar la tomografía de manera que coincidió con lo registrado en la literatura.2 El ultrasonido es capaz de evidenciar la triada de Rigler en algunas series;6 sin embargo, en nuestro caso reportó posible apendicitis aguda complicada y fue capaz de determinar colecistitis aguda.

El tratamiento de esta patología es quirúrgico; no obstante, se inicia con medidas de rehidratación y corrección de desequilibrios ácido-base y electrolíticos. A su vez existen dos opciones terapéuticas: por un lado, enterolitotomía con extracción del cálculo y colecistectomía diferida, y por el otro, enterolitotomía, colecistectomía y cierre de fístula en un solo tiempo quirúrgico.2,3,8 La primera opción representa menor riesgo quirúrgico y muchas veces se prefiere, ya que son pacientes de edad avanzada con múltiples comorbilidades y se realiza con mayor frecuencia.1,3 A pesar de no ser un paciente con comorbilidades y estar estable al momento del evento quirúrgico, decidimos realizar enterolitotomía longitudinal en el borde antimesentérico del íleon con enterorrafia transversal en dos planos y colecistectomía en un segundo tiempo quirúrgico, puesto que consideramos que ésta tiene mejores resultados con base en lo reportado por la literatura.

Hurtado y su equipo, en 2019 reportaron el caso de un paciente masculino fuera de rango de edad típico para presentar el c uadro y en el cual optaron por enterolitotomía, colecistectomía y cierre de fístula, el cual se sometió a laparotomía exploradora en cuatro ocasiones, a saber por dehiscencia de cierre duodenal, peritonitis biliar en dos ocasiones y cierre de pared abdominal en el cuarto, lo que ocasionó una estancia intrahospitalaria total de 31 días que incluyó ingreso a la unidad de cuidados intensivos y egreso con un defecto de pared abdominal (hernia postincisional).1

Soliva D y colegas, en 2018, optaron por realizar enterolitotomía y colecistectomía diferida, cuyo resultado fue una adecuada evolución postoperatoria;3 lo que contrasta con nuestro paciente, ya que no se reportaron complicaciones postoperatorias, ni otro evento quirúrgico y fue egresado seis días después sin necesidad de estancia en terapia intensiva.

Sánchez Pérez y colaboradores,6 en 2016, informaron que la cirugía en un solo tiempo es posible cuando se evalúa y define a la colecistectomía como técnicamente simple y siempre empleando colangiografía transoperatoria, así como al realizar el cierre intestinal en dos planos. En 50% de los casos la fístula cierra de manera espontánea.7 Ésta fue otra de las razones por la que preferimos realizar enterolitotomía y colecistectomía diferida, por falta de colangiografía transoperatoria en el turno nocturno en nuestro centro.

Mirza M y su equipo informaron, en 2018, que es preferible la enterolitotomía laparoscópica si ésta se realiza por un cirujano experto en un centro adecuadamente equipado.9

Otros métodos terapéuticos alternativos incluyen litotripsia láser colónica, litotripsia extracorpórea por ondas de choque más argón y litotripsia endoscópica láser hidroeléctrica.6



CONCLUSIONES

Para el diagnóstico del íleo biliar es indispensable tener en cuenta una alta sospecha diagnóstica en el contexto clínico de un paciente como el presentado en este caso; sin embargo, existen casos reportados de pacientes fuera del rango de edad típico, los cuales representan un reto diagnóstico que requiere que nos apoyemos en la tomografía de abdomen simple y contrastada como método de imagen de elección para no retrasar el diagnóstico y tratamiento, al tomar en cuenta que la cirugía en un solo tiempo representa mayor morbimortalidad para el paciente,10 debido a esto concluimos que la mejor opción para el paciente es realizar el tratamiento en dos tiempos quirúrgicos: el primero para para resolver la urgencia (oclusión intestinal) y el segundo tiempo para planificar una colecistectomía electiva con previa documentación de la fístula a fin de conseguir una adecuada planeación de la corrección de la misma.


REFERENCIAS (EN ESTE ARTÍCULO)

  1. Hurtado Y, Agudelo H, Merchán-Galvis A. Íleo biliar en adulto joven. Reporte de un caso. Univ Salud. 2020; 22: 96-10.

  2. Chang L, Chang M, Chang H, Chang A. Clinical and radiological diagnosis of gallstone ileus: a mini review. Emerg Radiol. 2018; 25: 189-196.

  3. Soliva D, Belda I, Vicente J, Val E. Íleo biliar. Rev Argent Radiol. 2018; 82: 88-90.

  4. Ploneda C, Gallo M, Rinchon C, Navarro E. El íleo biliar: una revisión de la literatura médica. Revista de Gastroenterología de México. 2017; 82: 248-254.

  5. Marini M, Panyor G, Ruberta F, Marini A. Endoscopic versus surgical treatment for a rare form of gallstone ileus: Bouvaret's syndrome. Ann Ital Chir. 2018; 89: 162-167.

  6. Sánchez-Pérez EA, Álvarez-Álvarez S, Madrigal-Téllez MA, Gutiérrez-Uvalle GE, Ramírez-Velásquez JE, Hurtado-López LM. Gallstone ileus, experience in the Dr. Eduardo Liceaga General Hospital of Mexico. Cir Cir. 2017; 85: 114-120.

  7. Suciu B, Halmaciu I, Vunvulea V, Trambitas C. Gallstone Ileus caused by a cholecysto-duodeno-colic fistula. Case report and literature review. ARS Medica Tomitana 2017; 23: 170-174.

  8. Kreve F, Takada J, Gatto J, Loss F. Biliary Ileus: case report. Rev Gastroenterol Peru. 2017; 37: 173-176.

  9. Mirza M, Eldamati A, Foula M, Al-Mulhim. Laparoscopic management fot gallstone ileus, case report. Int J Surg Case Rep. 2018; 51: 268-271.

  10. Creedon L, Boyd-Carson H, Lund J. A curious case of cololithiasis. Ann R Coll Surg Engl. 2018; 100: e188-190.



AFILIACIONES

1 Médico adscrito del Servicio de Cirugía General, Hospital General San Carlos, Secretaría de Salud y Asistencia (SSA), Tizimín, Yucatán, México.

2 Médico pasante del Servicio Social del Hospital General San Carlos, SSA, Tizimín, Yucatán, México.



Consideraciones y responsabilidad ética: privacidad de los datos. De acuerdo a los protocolos establecidos en nuestro centro de trabajo, se declara que se han seguido los protocolos sobre la privacidad de datos de pacientes y preservado su anonimato.

Financiamiento: no se recibió apoyo financiero para la elaboración de este trabajo.

Conflicto de intereses: ninguno de los autores tiene conflicto de intereses en la realización de este estudio.



CORRESPONDENCIA

Edwin Raul Novelo Vallado. E-mail: novelo1986@gmail.com




Recibido: 16/05/2022. Aceptado: 02/05/2023

Figura 1
Figura 2
Figura 3

2020     |     www.medigraphic.com

Mi perfil

C?MO CITAR (Vancouver)

Cir Gen. 2023;45

ARTíCULOS SIMILARES

CARGANDO ...