2023, Number 2
Cir Columna 2023; 1 (2)
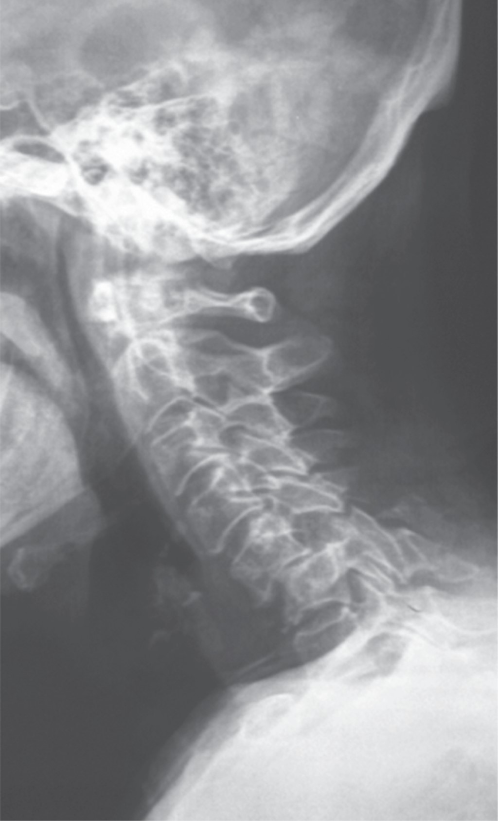
Chronic luxation of subaxial cervical spine. Treatment options. Case report and literature review
Jiménez ÁJM, Martínez HVI, Sandoval PF, Muleiro EP, Salcido RMV
Language: Spanish
References: 7
Page: 122-127
PDF size: 347.01 Kb.
ABSTRACT
Subaxial cervical spine luxation is a frequent entity in polytraumatized patients, regularly accompanied by neurological injuries such as paraplegia or quadriplegia, requiring urgent surgical treatment in order to stabilize, align and decompress the nerve structures, sometimes it is not possible to perform this type of procedure early due to the general conditions of the patient or the conditions of the hospital units, leading to a late treatment, however, undiagnosed luxation occur, or in the worst case scenario, an inadequately treated injury with poor results that lead to an unsatisfactory evolution of the patient, with chronic pain and neurological deficit. We analyze the case of a patient with subaxial cervical spine luxation, with torpid evolution, requiring a new intervention two years after her injury, performed in three specific sequential times, achieving the patient's recovery and motor functionality.REFERENCES
