medigraphic.com
SPANISH

Revista Mexicana de Trasplantes

ISSN 3122-3893 (Electronic)
  • Contents
  • View Archive
  • Information
    • General Information        
    • Directory
  • Publish
    • Instructions for authors        
    • Send manuscript
  • Policies
  • medigraphic.com
    • Home
    • Journals index            
    • Register / Login
  • Mi perfil

2023, Number 3

<< Back Next >>

Rev Mex Traspl 2023; 12 (3)

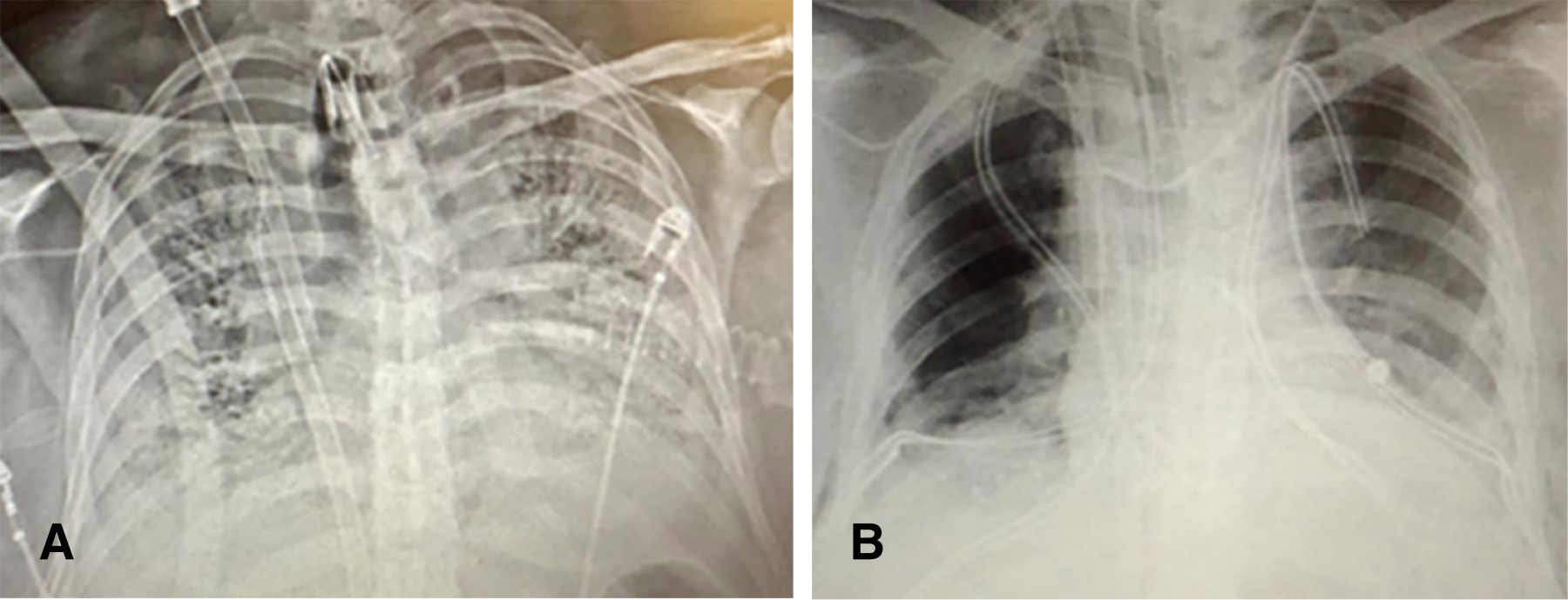
Multiorganic procurement in times of COVID-19; literature review and case report in Mexico

López-Fermín J, Carrión-Moya JD, Pérez-Nieto OR, Deloya-Tomas E, Castillo-Gutiérrez G, Olvera-Ramos MG
Full text How to cite this article 10.35366/112287

DOI

DOI: 10.35366/112287
URL: https://dx.doi.org/10.35366/112287

Language: Spanish
References: 14
Page: 152-158
PDF size: 310.74 Kb.


Key words:

organ donation, multi-organ procurement, COVID-19, SARS-CoV-2, lung transplantation.

ABSTRACT

Introduction: organ transplantation is the only therapeutic option for patients with end-stage organ failure, in Mexico until June 2020 there were more than 23 thousand people waiting for an organ transplant, the organ and tissue transplantation protocols imply a change in time of a COVID-19 pandemic. Case presentation: based on the consensus of CARE (case reports) guidelines, a study with a quantitative approach is developed from an observational and descriptive case report. A patient with a diagnosis of brain death is included according to criteria governed in 2019, who underwent multi-organ procurement in the Intensive Care Unit of the General Hospital of San Juan del Rio. Conclusion: organic transplantation protocols remain limited due to the lack of strategies to include the exclusion of infection by the new SARS-CoV-2 coronavirus, it is necessary to continue with multidisciplinary teams focused on organic procurement at different levels of care, and limit the chronic shortage of organ donors for transplantation purposes.


REFERENCES

  1. Gobierno de México. Centro Nacional de Trasplantes. Cent Nac Traspl. 2020; (006). Disponible en: https://www.gob.mx/cenatra

  2. Suárez V, Suárez Quezada M, Oros Ruiz S. Epidemiology of COVID-19 in Mexico: from the 27th of February to the 30th of April 2020. Rev Clínica Española. 2020; 220 (8): 463-471.

  3. Aburto-Morales JS, Romero-Méndez J, Lucio-García CA, Madrigal-Bustamante JA, De G, Trasplantes N De. (SARS-CoV-2) y las recomendaciones al Subsistema Nacional de Donación y Trasplante. Rev Mex Transplantes. 2020; 9 (1): 6-14.

  4. Centro Nacional de Trasplantes. Boletín informativo especial trasplantes y COVID-19. 2020; (154): 18-19. Disponible en: www.gob.mx/cenatra

  5. CENATRA Centro Nacional de Trasplantes. Boletín estadístico informativo. 2019; 4 (2): 4-71.

  6. Martí Manyalich V. Evolución del procuramiento de órganos en el mundo. Rev Médica Clínica Las Condes. 2010; 21 (2): 145-151.

  7. Moreno-Treviño M, Rivera-Silva G. Donación de órganos, tejidos y células en México. Rev Med Inst Mex Seguro Soc. 2015; 53 (6): 762-765.

  8. Greer DM, Shemie SD, Lewis A et al. Determination of brain death/death by neurologic criteria: the world brain death project. JAMA-J Am Med Assoc. 2020; 90033: 1-20.

  9. Gardiner D, Shemie S, Manara A, Opdam H. International perspective on the diagnosis of death. Br J Anaesth. 2012; 108 (Suppl. 1): i14-28. Available in: http://dx.doi.org/10.1093/bja/aer397

  10. Shewmon DA, Sylmar CA, Verheijde JL, Rady MY. Evidence-based guideline update: determining brain death in adults: report of the Quality Standards Subcommittee of the American Academy of Neurology. Neurology. 2011; 76 (3): 1911-1918.

  11. Wijdicks EFM. Brain death worldwide: accepted fact but no global consensus in diagnostic criteria. Neurology. 2002; 58 (1): 20-25.

  12. Chan JF, Yip CC, To KK et al. Improved molecular diagnosis of COVID-19 by the Novel, highly sensitive and specific COVID-19-RdRp/Hel real-time reverse Transcription-PCR assay validated in vitro and with clinical specimens. J Clin Microbiol. 2020; 58 (5): e00310-00320.

  13. Pascarella G, Strumia A, Piliego C, Bruno F, Del Buono R, Costa F et al. COVID-19 diagnosis and management: a comprehensive review. J Intern Med. 2020; 288 (2): 192-206.

  14. Ye Z, Zhang Y, Wang Y, Huang Z, Song B. Chest CT manifestations of new coronavirus disease 2019 (COVID-19): a pictorial review. Eur Radiol. 2020; 30 (8): 4381-4389.




Figure 1
Figure 2
Figure 3
Table 1
Table 2

2020     |     www.medigraphic.com

Mi perfil

C?MO CITAR (Vancouver)

Rev Mex Traspl. 2023;12