medigraphic.com
SPANISH

Revista Mexicana de Anestesiología

ISSN 3061-8142 (Electronic)
ISSN 0484-7903 (Print)
  • Contents
  • View Archive
  • Information
    • General Information        
    • Directory
  • Publish
    • Instructions for authors        
  • medigraphic.com
    • Home
    • Journals index            
    • Register / Login
  • Mi perfil

2023, Number 4

<< Back Next >>

Rev Mex Anest 2023; 46 (4)

Unusual anatomical causes of malposition of central venous catheters

Bascón-Ortega R, Giménez-Ciruela JR, Ontanilla-López A, Fernández-Torres B
Full text How to cite this article 10.35366/112300

DOI

DOI: 10.35366/112300
URL: https://dx.doi.org/10.35366/112300

Language: Spanish
References: 10
Page: 275-278
PDF size: 277.62 Kb.


Key words:

central venous catheter, malposition, absent right superior vena cava, goiter.

ABSTRACT

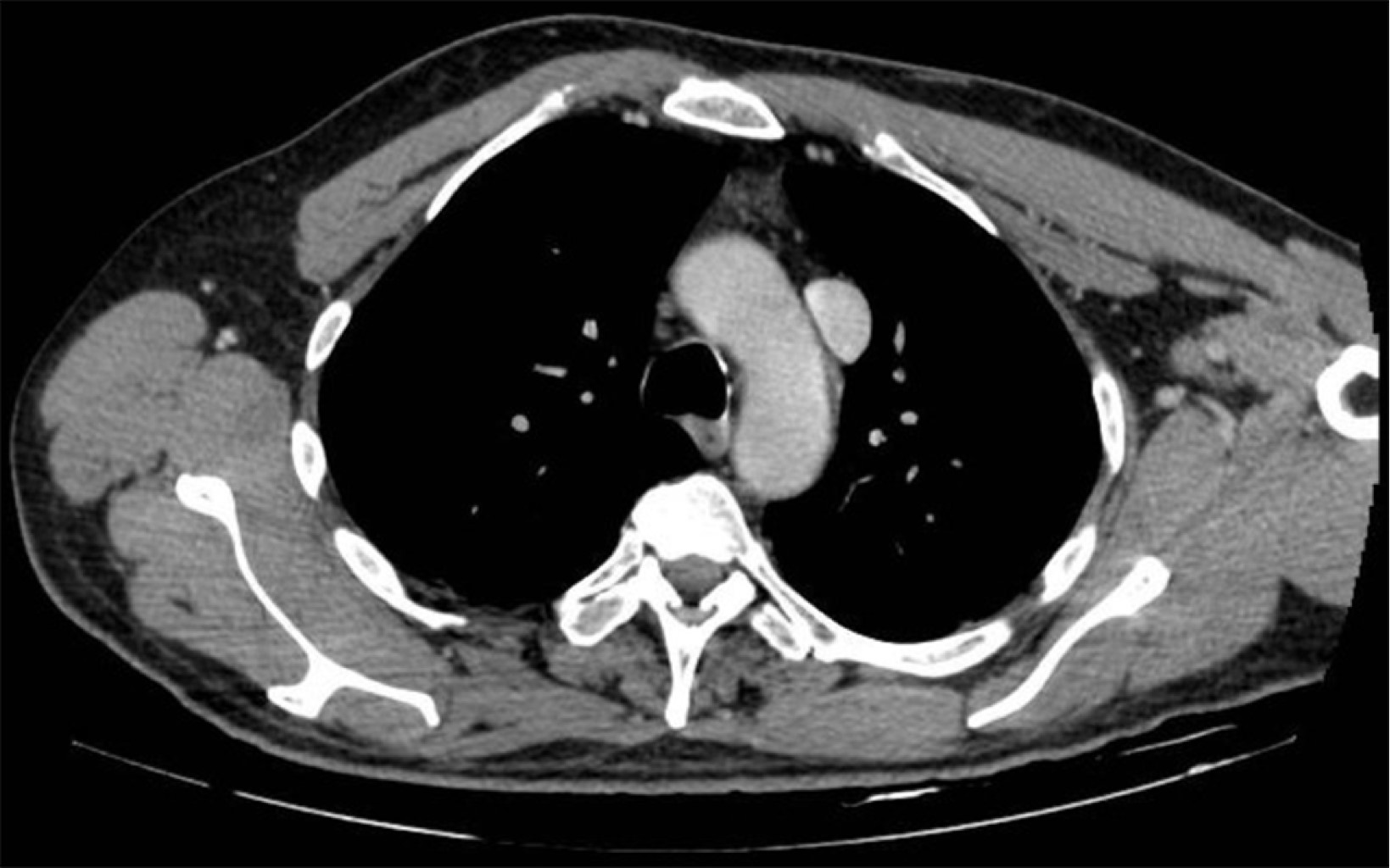
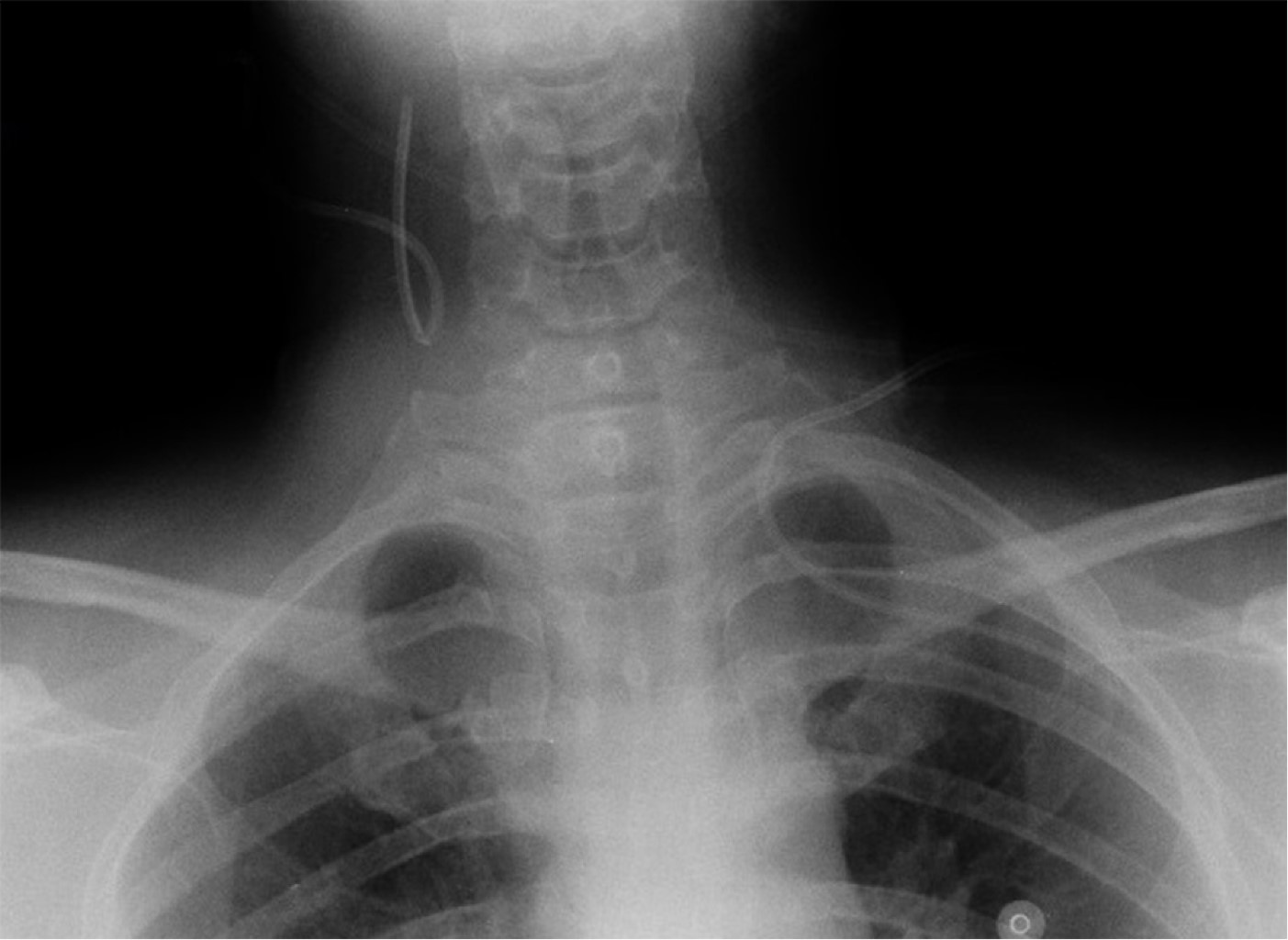
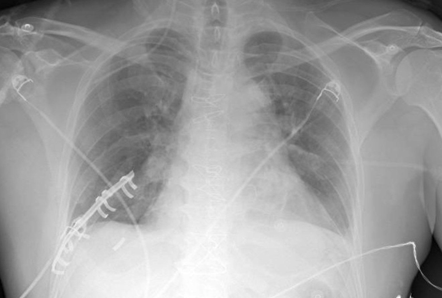
Malposition of central venous catheters is associated with important and underestimated risks. Although some factors have been related with malposition, its cause is generally not diagnosed, and it seems to have multifactorial origin. We present two cases of central venous catheter malposition due to unusual anatomical causes, diagnosed in the perioperative period. In the first case, superior vena cava agenesis was diagnosed during mitral replacement by sternotomy, which was logically associated with malposition of the inserted central line. The use of catheters and devices through jugular and subclavian veins in patients with this infrequent pathology is associated with important limitations and serious potential complications. In the second case, an undiagnosed goiter causes bilateral and simultaneous malpositioning of two inserted central venous catheters, in the context of an emergency situation, in both internal jugular veins.


REFERENCES

  1. Roldan CJ, Paniagua L. Central venous catheter intravascular malpositioning: causes, prevention, diagnosis, and correction. West J Emerg Med. 2015;16:658-664. doi: 10.5811/westjem.2015.7.26248.

  2. Martínez-Villar M, Gran F, Ferrer Q, Giralt G, Sabate-Rotes A, Albert DC. Vena cava superior izquierda persistente con agenesia de la vena cava superior derecha. Rev Esp Cardiol. 2016;69:216-228. doi: 10.1016/j.recesp.2015.10.004.

  3. Litwak N, Zeppa FI, Verón LF. Vena cava superior izquierda persistente, agenesia de vena cava superior derecha e insuficiencia tricuspídea. Medicina (Buenos Aires). 2020;80:557-559.

  4. Bartram U, Van Praagh S, Levine J, Hines M, Bensky A, Van Praagh R. Absent right superior vena cava in visceroatrial situs solitus. Am J Cardiol. 1997;80:175-183. doi: 10.1016/s0002-9149(97)00314-7.

  5. Ucar O, Pasaoglu L, Cicekcioglu H, Vural M, Kocaoglu I, Aydogdu S. Persistent left superior vena cava with absent right superior vena cava: a case report and review of the literature. Cardiovasc J Afr. 2010;21:164-166.

  6. Patel Y, Gupta R. Persistent left superior vena cava with absent right superior vena cava. Methodist Debakey Cardiovasc J. 2018;14:232-235. doi: 10.14797/mdcj-14-3-232.

  7. Nandakumar K, Maitra S. Persistent left superior vena cava: What an anesthesiologist needs to know? J Anaesthesiol Clin Pharmacol. 2018;34:407-408. doi: 10.4103/joacp.JOACP_301_17.

  8. Ramos N, Fernández-Pineda L, Tamariz-Martel A, Villagrá F, Egurbide N, Maitre M. Ausencia de vena cava superior derecha y vena cava superior izquierda con drenaje en el seno coronario sin techo. Rev Esp Cardiol. 2005;58:984-987.

  9. Gologorsky E, Igor F, Carvalho E, Govindaswamy R, Salerno T. Unexpected persistent left superior vena cava and absent right superior vena cava in situs solitus patient. J Card Surg. 2010;25:42-45. doi: 10.1111/j.1540-8191.2009.00944.x.

  10. McNeill CJ, Sinnott JD, Howlett D. Bilateral brachiocephalic vein compression: an unusual and rare presentation of multinodular goiter. BMJ Case Rep. 2016;2016:bcr2016217074. doi: 10.1136/bcr-2016-217074.




Figure 1
Figure 2
Figure 3
Figure 4
Figure 5

2020     |     www.medigraphic.com

Mi perfil

C?MO CITAR (Vancouver)

Rev Mex Anest. 2023;46