medigraphic.com
SPANISH

Revista Mexicana de Pediatría

ISSN 0035-0052 (Print)
  • Contents
  • View Archive
  • Information
    • General Information        
    • Directory
  • Publish
    • Instructions for authors        
    • Send manuscript
  • medigraphic.com
    • Home
    • Journals index            
    • Register / Login
  • Mi perfil

2023, Number 1

<< Back Next >>

Rev Mex Pediatr 2023; 90 (1)

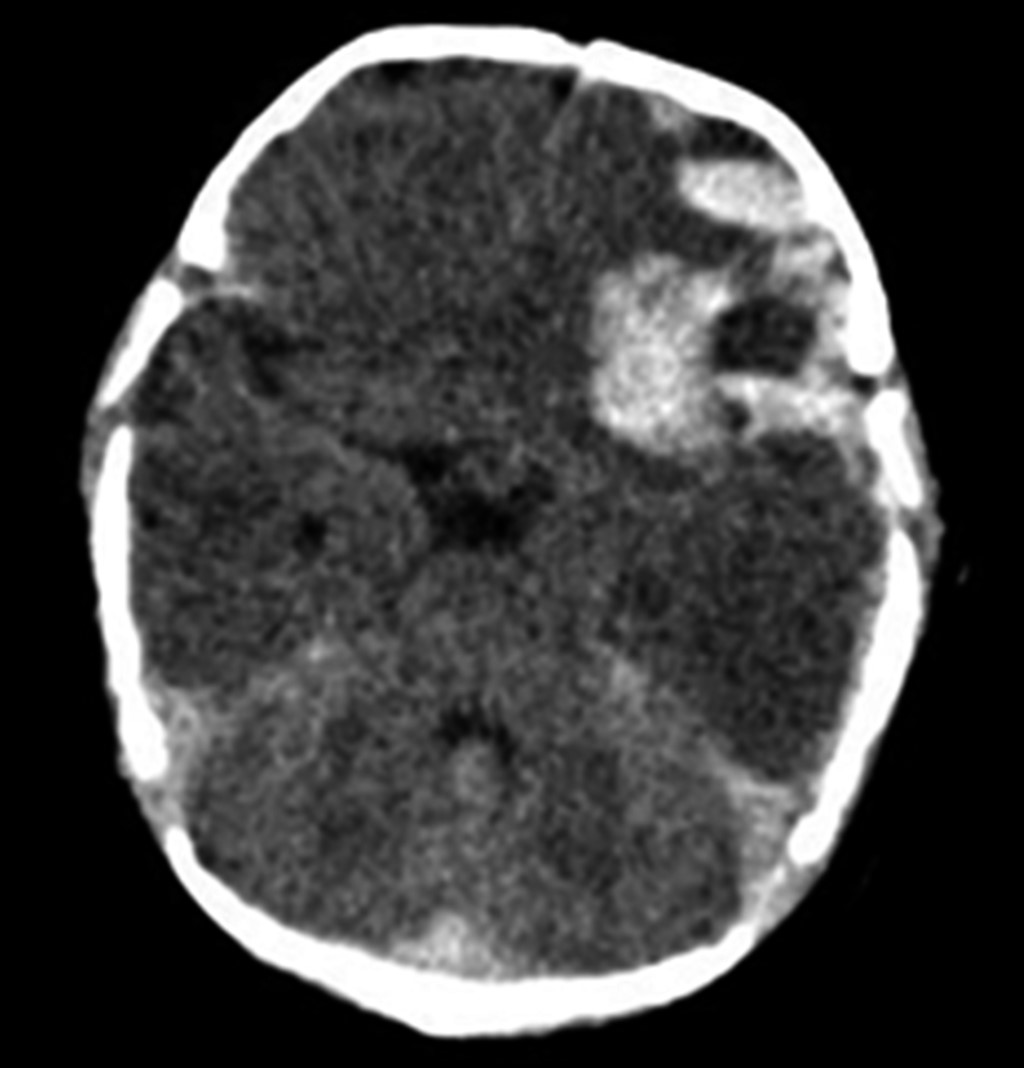
Late hemorrhagic disease of the newborn

Tejada-Perdomo JH, Gutiérrez-Perdomo V, Veloza-Vega MC
Full text How to cite this article 10.35366/112597

DOI

DOI: 10.35366/112597
URL: https://dx.doi.org/10.35366/112597

Language: Spanish
References: 11
Page: 32-34
PDF size: 200.31 Kb.


Key words:

hemorrhagic disease, newborn, vitamin K, deficiency, intracranial hemorrhage.

ABSTRACT

Introduction: hemorrhagic disease of the newborn can be prevented with prophylactic administration of vitamin K. Case presentation: 33-day-old female patient, without prenatal control, home delivery, and without administration of vitamin K prophylaxis. Her condition was characterized by a clinical picture of intracranial hypertension, in addition, in laboratory tests, prolonged coagulation times and elevated D-dimer were documented. Late hemorrhagic disease of the newborn was diagnosed with subdural hematoma. Treatment consisted of administration of vitamin K, fresh frozen plasma, and surgery. In the short and medium term, her evolution was satisfactory, without neurological sequelae. Conclusion: vitamin K deficiency hemorrhagic disease can occur up to two months of life; in cases where prophylaxis is not given, its identification is important to prevent serious complications.


REFERENCES

  1. Hasco JM, Picaudb JC, Lapillonnec A, Boithias-Guerotd C, Bolote P, Salibaf E. Vitamin K in the neonate: Recommendations update. Arch Pediatr. 2017; 24(9): 902-905.

  2. American Academy vitamin K ad hoc task force of pediatrics: controversies concerning vitamin K and the newborn. Pediatrics. 1993; 91(5): 1001-1003.

  3. Ministerio de Salud y Protección Social-Colciencias. Guía de práctica clínica del recién nacido sano - Guía No.02. Centro Nacional de Investigación en Evidencia y Tecnologías en Salud CINETS. 2013;39. Disponible en: https://www.minsalud.gov.co/sites/rid/Lists/BibliotecaDigital/RIDE/INEC/IETS/GPC_Ptes_RNSano.pdf

  4. Palacios BBD. Hemorragia tardía del recién nacido. Pediatr Mex. 2001; 4(15): 8-11.

  5. Shearer MJ. Vitamin K deficiency bleeding (VKDB) in early infancy. Blood Rev. 2009; 23(2): 49-59.

  6. Rocha OE, Monroy DM, Rocha FM. Hemorragia tardía del recién nacido, a propósito de un caso. Rev Bol Ped. 2008; 37(3): 163-165.

  7. Escribá A, Gil R, del Río R. Trastornos hemorrágicos en el recién nacido. An Pediatría Contin. 2010; 8(2): 64-72.

  8. Pichler E, Pichler L. The neonatal coagulation system and the vitamin K deficiency bleeding-a mini review. Wiener Medizinische Wochenschrift. 2008;158(13):385-395.

  9. Rajeev A, Chawla N. Unusual presentation of late vitamin K deficiency bleeding in an infant. Med J Armed Forces India. 2016; 72: S142-143.

  10. Pooni PA, Singh D, Singh H, Jain BK. Intracranial hemorrhage in late hemorrhagic disease of the newborn. Indian Pediatr. 2003; 40(3): 243-248.

  11. Martín-López JE, Carlos-Gil AM, Rodríguez-López R, Villegas-Portero R, Luque-Romero L, Flores-Moreno S. La vitamina K como profilaxis para la enfermedad hemorrágica del recién nacido. Farm Hosp. 2011; 35(3): 148-155.




Figure 1

2020     |     www.medigraphic.com

Mi perfil

C?MO CITAR (Vancouver)

Rev Mex Pediatr. 2023;90