medigraphic.com
SPANISH

Revista ADM Órgano Oficial de la Asociación Dental Mexicana

ISSN 0001-0944 (Print)
Órgano Oficial de la Asociación Dental Mexicana
  • Contents
  • View Archive
  • Information
    • General Information        
    • Directory
  • Publish
    • Instructions for authors        
    • Send manuscript
  • medigraphic.com
    • Home
    • Journals index            
    • Register / Login
  • Mi perfil

2023, Number 5

<< Back Next >>

Rev ADM 2023; 80 (5)

Root coverage of gingival recession with acellular dermal matrix.

Guzmán CGE, González JMV, Villalobos RJJ, García JRA, Zárate DNE, Duarte QE
Full text How to cite this article 10.35366/113140

DOI

DOI: 10.35366/113140
URL: https://dx.doi.org/10.35366/113140

Language: Spanish
References: 28
Page: 280-286
PDF size: 329.35 Kb.


Key words:

gingival recession, mucogingival surgery, acellular dermal matrix, coronally advanced flap.

ABSTRACT

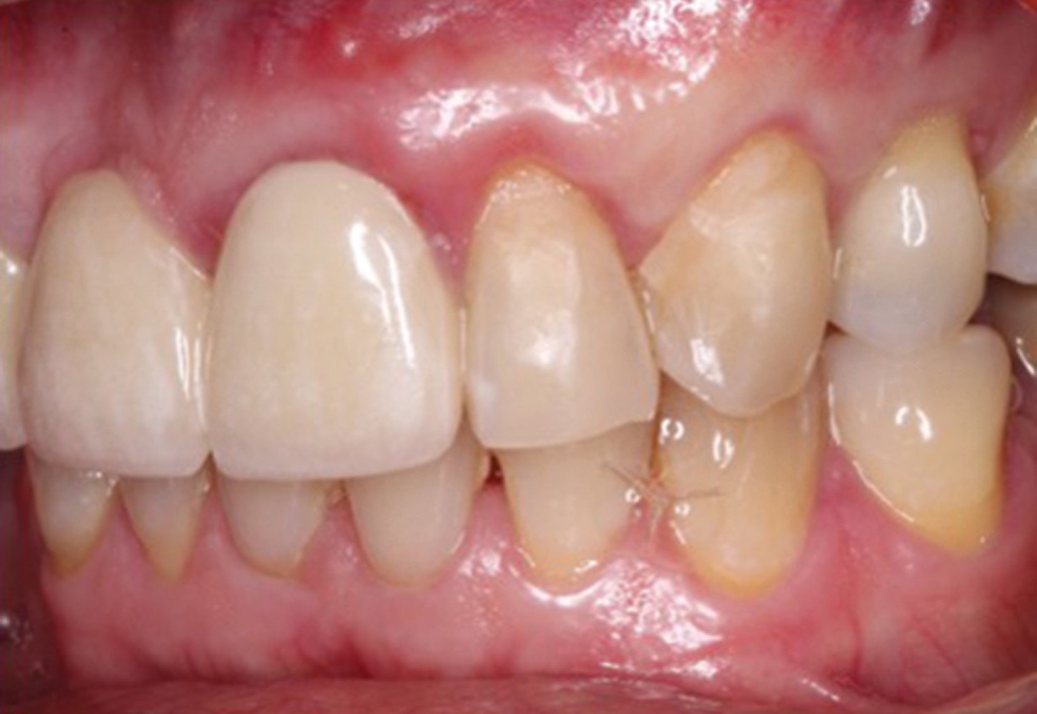
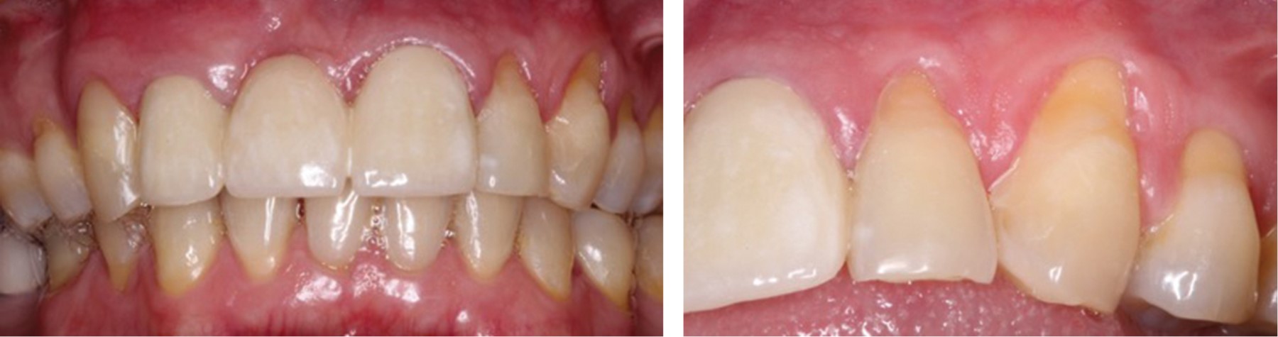
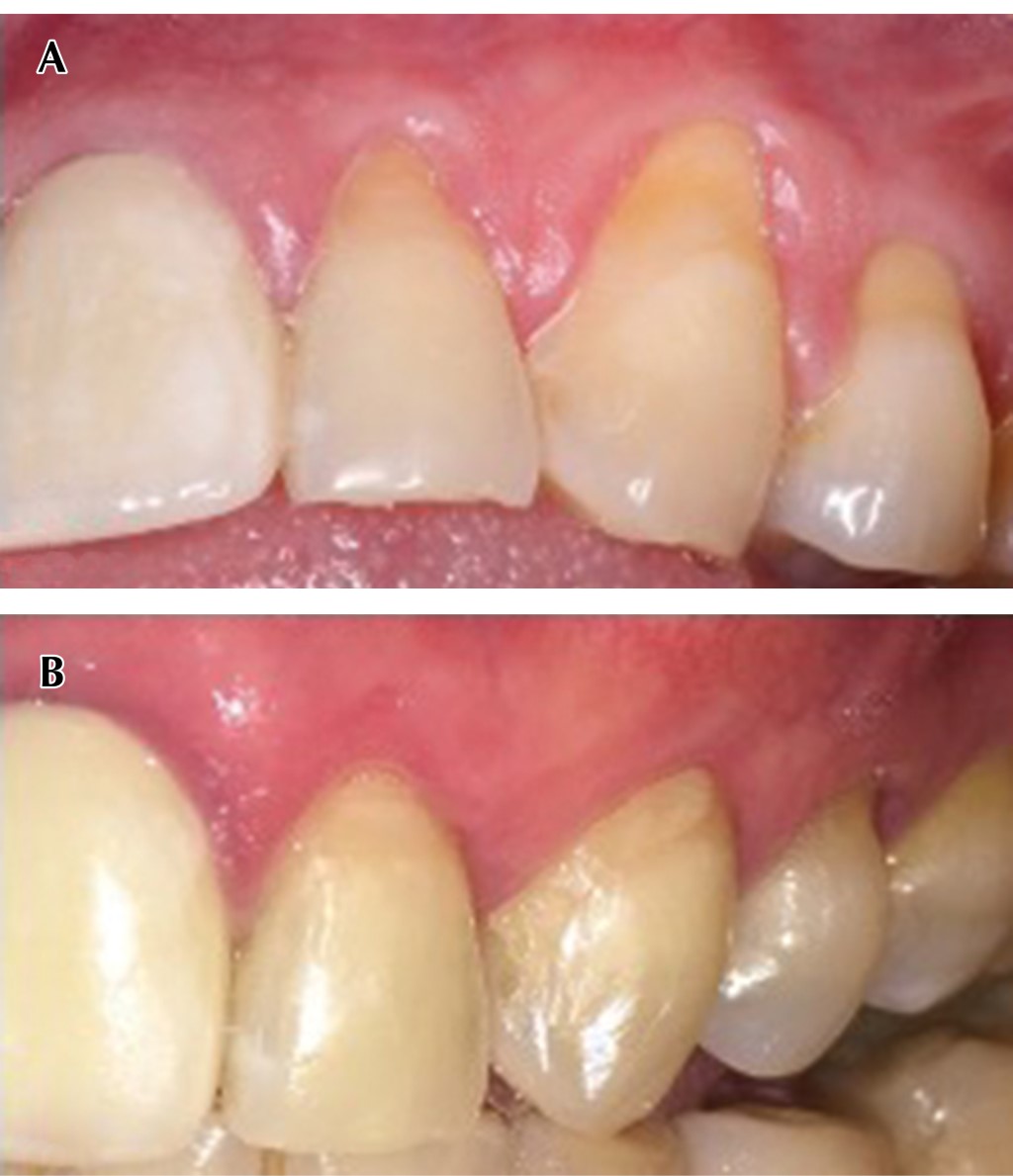
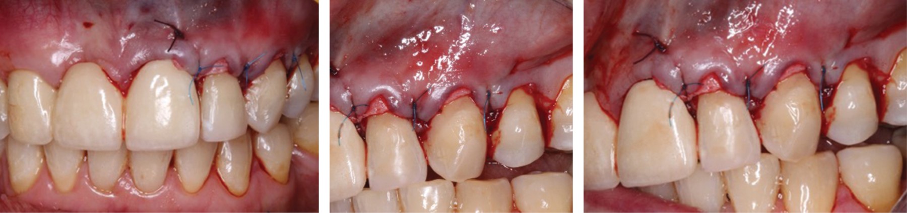
Gingival recession, considered a deformity or mucogingival condition, the American Academy of Periodontology, defines gingival recession as the exposure of the root surface resulting from migration of the gingival margin apical to the cementoenamel junction (CEJ). The treatment of gingival recessions is a common reason for consultation due to aesthetic reasons, dentin hypersensitivity, discomfort during brushing and even fear of tooth loss. It is a common clinical situation, 60% of the human population has some kind of gingival recession. Clinical examination of a 55-year-old male patient showed a type 1 gingival recession (RT1) without loss of interproximal insertion of the Cairo classification. Coronally advanced flap (CAF) was performed using an acellular dermal matrix (ADM) of human origin OrACELL®. Favorable results were obtained in the coating of multiple gingival recessions; considering them as a good alternative to autogenous gingival grafts. Concluding that, the use of the acellular dermal matrix for the treatment of gingival recession type 1, is a suitable option for root lining. Further long-term studies are recommended to see the elasticity of MDA outcomes.


REFERENCES

  1. The American Academy of Periodontology. Glossary of periodontal terms. 4th ed. Chicago: The American Academy of Periodontology; 2001. p. 44.

  2. Brito Chicaiza CD, Pesántez Chacón DP. Prevalencia de recesión gingival y factores asociados en estudiantes entre 18 y 25 años de la Facultad de Odontología de la Universidad de Cuenca, 2015-2016 [Tesis]. Cuenca: Universidad de Cuenca; 2016. Disponible en: http://dspace.ucuenca.edu.ec/handle/123456789/25630

  3. Cortellini P, Bissada NF. Mucogingival conditions in the natural dentition: narrative review, case definitions, and diagnostic considerations. J Periodontol [Internet]. 2018; 89 Suppl 1: S204-S213. Disponible en: http://dx.doi.org/10.1002/JPER.16-0671

  4. Montero E, Caffesse R, Zabalegui I, Santacruz MG, Alonso MS. Recubrimiento radicular en el quinto sextante. Gaceta dental: Industria y profesiones [Internet]. 2017; (291): 124-135. Disponible en: https://dialnet.unirioja.es/servlet/articulo?codigo=5979178

  5. Dominiak M, Gedrange T. New perspectives in the diagnostic of gingival recession. Adv Clin Exp Med [Internet]. 2014; 23 (6): 857-863. Disponible en: http://dx.doi.org/10.17219/acem/27907

  6. Caton JG, Armitage G, Berglundh T, Chapple ILC, Jepsen S, Kornman KS et al. A new classification scheme for periodontal and peri-implant diseases and conditions - Introduction and key changes from the 1999 classification. J Clin Periodontol [Internet]. 2018; 45 Suppl 20: S1-S8. Disponible en: http://dx.doi.org/10.1111/jcpe.12935

  7. Jepsen S, Caton JG, Albandar JM, Bissada NF, Bouchard P, Cortellini P et al. Periodontal manifestations of systemic diseases and developmental and acquired conditions: Consensus report of workgroup 3 of the 2017 World Workshop on the Classification of Periodontal and Peri-Implant Diseases and Conditions. J Periodontol. 2018; 89 Suppl 1: S237-S248.

  8. Mishra P, Dhruvakumar D. Recession coverage using coronally advanced flap with Pericardium® membrane (collagen Type I) - A case report. J Adv Clin Res Insights [Internet]. 2018; 5 (6): 203-206. Disponible en: http://dx.doi.org/10.15713/ins.jcri.245

  9. Wennstrom JL, Zucchelli G. Tratamiento mucogingival: cirugía plástica periodontal. En: Lang N, Lindhe J, Berglundh T, Giannobile WV, Sanz M. Periodontología clínica e implantología odontológica. Tomo 2. 6a ed. Buenos Aires: Médica Panamericana; 2017. pp. 969-1042.

  10. Romanelli HJ, Pérez EJA. Fundamentos de cirugía periodontal. Caracas-Venezuela: Actualidades Médico Odontológicas Latinoamérica; 2004.

  11. Santarelli GA, Ciancaglini R, Campanari F, Dinoi C, Ferraris S. Connective tissue grafting employing the tunnel technique: a case report of complete root coverage in the anterior maxilla. Int J Periodontics Restorative Dent. 2001; 21 (1): 77-83.

  12. Cairo F, Nieri M, Cincinelli S, Mervelt J, Pagliaro U. The interproximal clinical attachment level to classify gingival recessions and predict root coverage outcomes: an explorative and reliability study: interproximal CAL for gingival recessions. J Clin Periodontol [Internet]. 2011; 38 (7): 661-666. Disponible en: http://dx.doi.org/10.1111/j.1600-051X.2011.01732.x

  13. Zucchelli G. Mucogingival esthetic surgery. Milan, Italy: Quintessenza Edizioni SRL; 2013. pp. 295-327.

  14. Sales D, Rettori E, Romanelli H, Achinini G, Adam E. Tratamiento de múltiples recesiones gingivales con diferentes técnicas quirúrgicas: descripción de un caso clínico. Actas Odontol [En línea] 2016; 7 (1). Disponible en: https://revistas.ucu.edu.uy/index.php/actasodontologicas/article/view/1075/1058

  15. Norberg O. Ar en utlaknig utan vov-nadsfortus otankbar vid kirugisk behandling av S. K. Alveolarpyorrohoe? Sven Tandlak Tidskr. 1926; 19: 171-172.

  16. de Sanctis M, Zucchelli G. Coronally advanced flap: a modified surgical approach for isolated recession-type defects: three-year results. J Clin Periodontol. 2007; 34 (3): 262-268. Disponible en: https://doi.org/10.1111/j.1600-051X.2006.01039.x

  17. Zucchelli G, De Sanctis M. Treatment of multiple recession-type defects in patients with esthetic demands. J Periodontol. 2000; 71 (9): 1506-1514. Disponible en: https://doi.org/10.1902/jop.2000.71.9.1506

  18. Newman MG, Takei HH, Klokkevold PR, Carranza FA. Periodontología clínica de Carranza. México: Amolca; 2014.

  19. Woofter C. The prevalence and etiology of gingival recession. Periodontal Abstr. 1969; 17 (2): 45-50. Disponible en: https://aap.onlinelibrary.wiley.com/doi/abs/10.1902/jop.1967.38.4.316?sid=nlm%3Apubmed

  20. Chambrone L, Salinas Ortega MA, Sukekava F, Rotundo R, Kalemaj Z, Buti J et al. Root coverage procedures for treating localised and multiple recession-type defects. Cochrane Database Syst Rev [Internet]. 2018; 10: CD007161. Disponible en: http://dx.doi.org/10.1002/14651858.CD007161.pub3

  21. Tatakis DN, Chambrone L, Allen EP, Langer B, McGuire MK, Richardson CR et al. Periodontal soft tissue root coverage procedures: a consensus report from the AAP Regeneration Workshop. J Periodontol [Internet]. 2015; 86 (2 Suppl): S52-S55. Disponible en: http://dx.doi.org/10.1902/jop.2015.140376

  22. Graziani F, Gennai S, Roldán S, Discepoli N, Buti J, Madianos P et al. Efficacy of periodontal plastic procedures in the treatment of multiple gingival recessions. J Clin Periodontol [Internet]. 2014; 41 Suppl 15: S63-S76. Disponible en: http://dx.doi.org/10.1111/jcpe.12172

  23. Barros RR, Novaes AB, Grisi MF, Souza SL, Taba MJ, Palioto DB. A 6-month comparative clinical study of a conventional and a new surgical approach for root coverage with acellular dermal matrix. J Periodontol [Internet]. 2004; 75 (10): 1350-1356. Disponible en: https://pubmed.ncbi.nlm.nih.gov/15562912/

  24. Harris RJ. Clinical evaluation of 3 techniques to augment keratinized tissue without root coverage. J Periodontol [Internet]. 2001; 72 (7): 932-938. Disponible en: https://pubmed.ncbi.nlm.nih.gov/11495142/

  25. Tal H, Moses O, Zohar R, Meir H, Nemcovsky C. Root coverage of advanced gingival recession: a comparative study between acellular dermal matrix allograft and subepithelial connective tissue grafts. J Periodontol [Internet]. 2002; 73 (12): 1405-1411. Disponible en: https://pubmed.ncbi.nlm.nih.gov/12546089/

  26. Henderson RD, Greenwell H, Drisko C, Regennitter FJ, Lamb JW, Mehlbauer MJ et al. Predictable multiple site root coverage using an acellular dermal matrix allograft. J Periodontol [Internet]. 2001; 72 (5): 571-582. Disponible en: https://pubmed.ncbi.nlm.nih.gov/11394391/

  27. Wei PC, Laurell L, Geivelis M, Lingen MW, Maddalozzo D. Acellular dermal matrix allografts to achieve increased attached gingiva. Part 1. A clinical study. J Periodontol [Internet]. 2000; 71 (8): 1297-1305. Disponible en: https://pubmed.ncbi.nlm.nih.gov/10972645/

  28. Zucchelli G, Amore C, Sforza NM, Montebugnoli L, De Sanctis M. Bilaminar techniques for the treatment of recession-type defects. A comparative clinical study: Bilaminar techniques for the treatment of recession-type defects. J Clin Periodontol [Internet]. 2003; 30 (10): 862-870. Disponible en: https://pubmed.ncbi.nlm.nih.gov/14710766/




Figure 1
Figure 2
Figure 3
Figure 4
Figure 5

2020     |     www.medigraphic.com

Mi perfil

C?MO CITAR (Vancouver)

Rev ADM. 2023;80