medigraphic.com
SPANISH

Revista Mexicana de Ortopedia Pediátrica

ISSN 2007-087X (Print)
Órgano Oficial de la Sociedad Mexicana de Ortopedia Pediátrica
  • Contents
  • View Archive
  • Information
    • General Information        
    • Directory
  • Publish
    • Instructions for authors        
  • medigraphic.com
    • Home
    • Journals index            
    • Register / Login
  • Mi perfil

2023, Number 1-3

<< Back Next >>

Rev Mex Ortop Ped 2023; 25 (1-3)

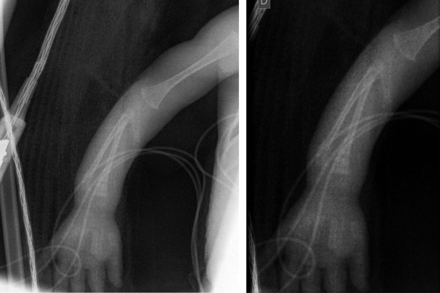
Distal radius and ulna fracture in a premature neonate with osteopenia

Laura , Martínez-García Á, Garríguez-Pérez D
Full text How to cite this article 10.35366/113217

DOI

DOI: 10.35366/113217
URL: https://dx.doi.org/10.35366/113217

Language: Spanish
References: 10
Page: 36-38
PDF size: 130.36 Kb.


Key words:

osteopenia, newborn, distal radius, neonatal Intensive Care Unit.

ABSTRACT

A preterm 29 +2-week-old baby with low birth weight and a complicated inmediate neonatal period. At six postnatal weeks, deformity and swollen arm was observed with no trauma associated. Radiographs of her forearm showed a distal radius and ulna fracture. Conservative management was decided by observation and careful handling of the patient. The patient was subsequently found to have osteopenia of prematurity. High clinical suspicion is required in with osteopenia of prematurity. This case highlights the importance of treating osteopenia of prematurity properly and careful handling of these patients. Even so, the prognosis for these fractures is excellent.


REFERENCES

  1. Machado A, Rocha G, Silva AI, Alegrete N, Guimaraes H. Bone fractures in a Neonatal Intensive Care Unit. Acta Med Port. 2015; 28(2): 204-208.

  2. Wei C, Stevens J, Harrison S, Mott A, Warner J. Fractures in a tertiary Neonatal Intensive Care Unit in Wales. Acta Paediatr. 2012; 101(6): 587-590.

  3. Bishop N, Sprigg A, Dalton A. Unexplained fractures in infancy: looking for fragile bones. Arch Dis Child. 2007; 92(3): 251-256.

  4. Maruyama H, Amari S, Fujinaga H, Fujino S, Nagasawa J, Wada Y et al. Bone fracture in severe small-for-gestational-age, extremely low birth weight infants: A single-center analysis. Early Hum Dev. 2017; 106-107: 75-78.

  5. Harrison CM, Gibson AT. Osteopenia in preterm infants. Arch Dis Child Fetal Neonatal Ed. 2013; 98(3): F272-F275.

  6. Kanat Pektas M, Koyuncu H, Kundak AA. Long bone fractures in neonatal intensive care units of Afyonkarahisar: Five-year's experience. Turk J Obstet Gynecol. 2019; 16(4): 219-223.

  7. Jones S, Bell MJ. Distal radius fracture in a premature infant with osteopenia caused by handling during intravenous cannulation. Injury. 2002; 33(3): 265-266.

  8. Kitson J, Rosewarne A, Cox P, Quinn M. Incidental forearm fractures in a preterm neonate. Injury Extra. 2006; 37: 69-70.

  9. O'Reilly P, Saviani M, Tou A, Tarrant A, Capra L, McCallion N. Do preterm bones still break? Incidence of rib fracture and osteopenia of prematurity in very low birth weight infants. J Paediatr Child Health. 2020; 56(6): 959-963.

  10. Rustico SE, Calabria AC, Garber SJ. Metabolic bone disease of prematurity. J Clin Transl Endocrinol. 2014; 1(3): 85-91.



EVIDENCE LEVEL

IV




Figure 1

2020     |     www.medigraphic.com

Mi perfil

C?MO CITAR (Vancouver)

Rev Mex Ortop Ped. 2023;25