medigraphic.com
SPANISH

Revista Mexicana de Ortopedia Pediátrica

ISSN 2007-087X (Print)
Órgano Oficial de la Sociedad Mexicana de Ortopedia Pediátrica
  • Contents
  • View Archive
  • Information
    • General Information        
    • Directory
  • Publish
    • Instructions for authors        
  • medigraphic.com
    • Home
    • Journals index            
    • Register / Login
  • Mi perfil

2023, Number 1-3

<< Back Next >>

Rev Mex Ortop Ped 2023; 25 (1-3)

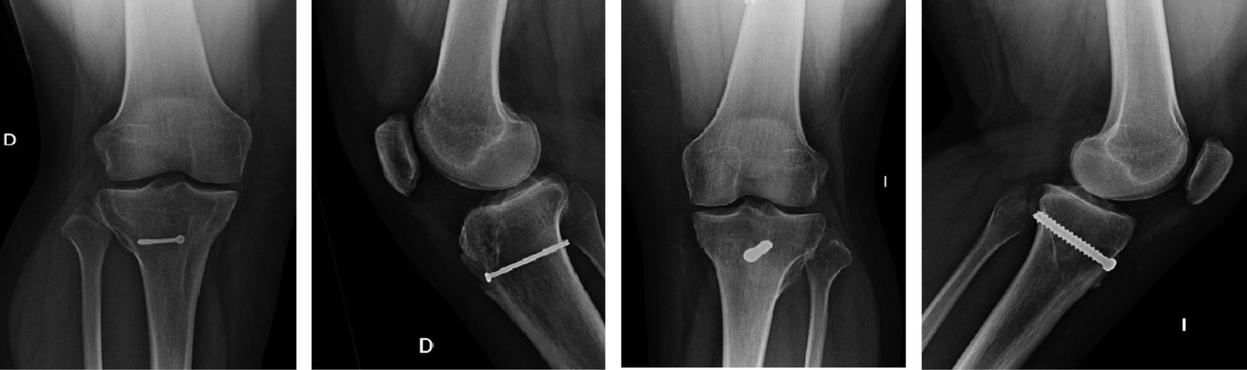
Treatment of a bilateral fracture of the anterior tubercle of the tibia in an adolescent

Álvarez GMF, Torrealba AJ, Campos TL
Full text How to cite this article 10.35366/113219

DOI

DOI: 10.35366/113219
URL: https://dx.doi.org/10.35366/113219

Language: Spanish
References: 10
Page: 44-47
PDF size: 188.51 Kb.


Key words:

tibial fracture, bilateral, adolescent.

ABSTRACT

Fractures of the anterior tubercle of the tibia are rare pathologies that mainly affect male adolescent patients, related to sports activity, predominantly in activities that involve jumping. In patients with advanced skeletal development, the physis can be crossed by internal fixation elements; on the contrary, if the patient presents immature bone growth, we should not cross the physis because the growth cartilage could be affected. A case of an 15-year-old patient which presents a bilateral fracture of the anterior tuberosity of the tibia posterior of a fall after a low-energy jump, the patient is evaluated and treatment is indicated, with good results, in the case clinical and radiographic characteristics are described and the surgical resolution.


REFERENCES

  1. Shelton WR, Canale ST. Fractures of the tibia through the proximal tibial epiphyseal cartilage. J Bone Joint Surg Am. 1979; 61(2): 167-173.

  2. Zionts LE. Fractures around the knee in children. J Am Acad Orthop Surg. 2002; 10(5): 345-355.

  3. Ehrenborg G. The Osgood-Schlatter lesion. A clinical and experimental study. Acta Chir Scand Suppl. 1962; Suppl 288: 1-36.

  4. Ares O, Seijas R, Casas-Duhrkop D, Catala J. Fractura de la tuberosidad anterior de la tibia en el adolescente. Casos clínicos. Acta Ortop Mex. 2012; 26(2): 121-124.

  5. Kushare I, Wunderlich N, Dranginis D. Simultaneous bilateral versus unilateral tibial tubercle fractures. J Clin Orthop Trauma. 2021; 13: 85-91.

  6. Levy E, Garabano G, Robador N, Sel H. Fracturas de la tuberosidad anterior de la tibia en adolescentes con esqueleto inmaduro. Rev Asoc Argent Ortop Traumatol. 2012; 77(1): 39-44.

  7. Haber DB, Tepolt FA, McClincy MP, Hussain ZB, Kalish LA, Kocher MS. Tibial tubercle fractures in children and adolescents: a large retrospective case series. J Pediatr Orthop B. 2021; 30(1): 13-18.

  8. McKoy BE, Stanitski CL. Acute tibial tubercle avulsion fractures. Orthop Clin N Am. 2003; 34(3): 397-403.

  9. Watson-Jones R. Fractures and joints injuries. 5th ed. Baltimore, MD: Williams and Wilkins; 1976.

  10. Pretell-Mazzini J, Kelly DM, Sawyer JR. Outcomes and complications of tibial tubercle fractures in pediatric patients: a systematic review of the literature. J Pediatr Orthop. 2016; 36(5): 440-6.



EVIDENCE LEVEL

IV (grado de recomendación C)




Figure 1
Figure 2
Figure 3
Figure 4
Figure 5

2020     |     www.medigraphic.com

Mi perfil

C?MO CITAR (Vancouver)

Rev Mex Ortop Ped. 2023;25