medigraphic.com
SPANISH

Orthotips AMOT

ISSN 2007-8560 (Print)
Órgano Oficial de Difusión Científica de la Federación Mexicana de Colegios de Ortopedia y Traumatología, A.C. (FEMECOT)
  • Contents
  • View Archive
  • Information
    • General Information        
    • Directory
  • Publish
    • Instructions for authors        
  • medigraphic.com
    • Home
    • Journals index            
    • Register / Login
  • Mi perfil

2023, Number 4

<< Back Next >>

Ortho-tips 2023; 19 (4)

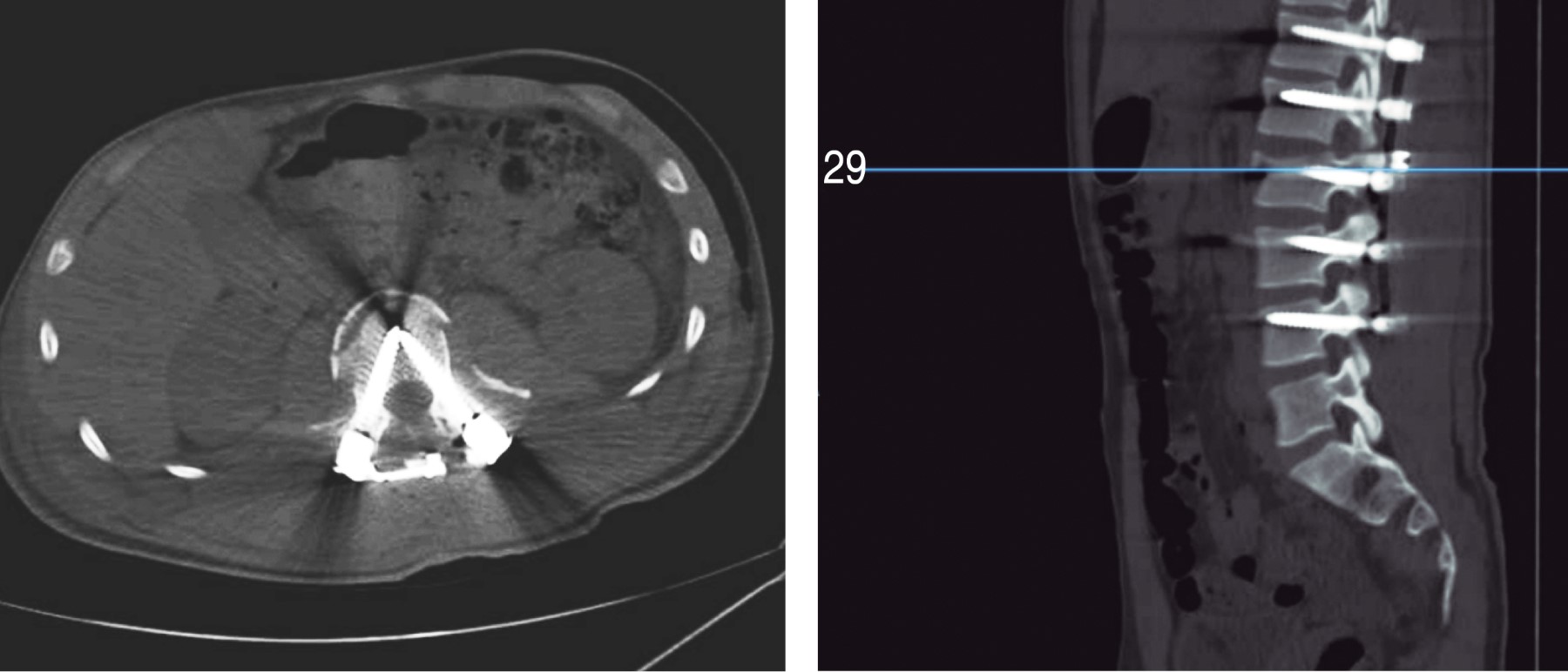
Dislocation fracture of L2 (AO type C N1 M1) a quick sequence of actions. Case report

Villalvazo BA, Calderón VJR, Rosales MNA
Full text How to cite this article 10.35366/113297

DOI

DOI: 10.35366/113297
URL: https://dx.doi.org/10.35366/113297

Language: Spanish
References: 19
Page: 233-238
PDF size: 263.86 Kb.


Key words:

fracture dislocation, spine surgery, lumbar spinal injuries, transpedicular instrumentation.

ABSTRACT

Introduction: spinal fractures are mainly associated with high-energy trauma that require correct primary stabilization (application of advanced trauma life support protocol), multidisciplinary management of concomitant injuries and definitive treatment established based on the various existing instability scales. Objective: to point out the importance of an early diagnostic-therapeutic intervention in order to obtain a positive result in the patient's quality of life. Clinical case: a 21-year-old male, who started suffering after being crushed by a metal door weighing approximately 300 kg in the thoracolumbar region, was admitted to the emergency department where hemodynamic stabilization was performed. Surgical treatment was performed during the first 24 hours after the traumatic event, by reduction of L2 dislocation with transpedicular instrumentation of T12-L4 plus posterior release. Upon discharge from the hospital, the patient is followed up through consultation, obtaining an adequate motor function with a minimum of residual symptomatology, achieving an adequate reintegration in the social and labor environment of the patient. Conclusion: the adequate implementation of actions for early definitive treatment influences the final prognosis and quality of life of the patient.


REFERENCES

  1. Lomaz MB, Sales Netto LAF, Garrote Filho MS, Alves AP, Canto FRDET. Epidemiological profile of patients with traumatic spinal fracture. Coluna/Columna. 2017; 16 (3): 224-227. doi: 10.1590/s1808-185120171603176399

  2. Marek AP, Morancy JD, Chipman JG, Nygaard RM, Roach RM, Loor MM. Long-term functional outcomes after traumatic thoracic and lumbar spine fractures. Am Surg. 2018; 84 (1): 20-27. doi: 10.1177/000313481808400112

  3. Zileli M, Sharif S, Fornari M. Incidence and epidemiology of thoracolumbar spine fractures: WFNS spine committee recommendations. Neurospine. 2021; 18 (4): 704-712. doi: 10.14245/ns.2142418.209

  4. Diagnóstico y Principios del Tratamiento Quirúrgico de las Fracturas de Vertebras Toracolumbares secundarias a un traumatismo en el adulto, México: Secretaría de Salud; 2013. Disponible en: http://www.imss.gob.mx/profesionales/guiasclinicas/Pages/guias.aspx.

  5. Loughenbury Pr, Tsirikos Ai. Indications and principles of conservative treatment in injuries affecting the vertebral column. Orthop Trauma. 2020; 34 (5): 2917. doi: 10.1016/j.mporth.2020.06.006

  6. Duramaz A. Management of thoracolumbar injury classification and severity score of 4 (Tlics=4) thoracolumbar vertebra fractures: surgery versus conservative treatment. Ulus Travma Acil Cerrahi Derg. 2020; 26: 805-810. doi: 10.14744/tjtes.2020.30524

  7. Bazán PL, Borri AE, Torres PU, Cosentino JS, Games MH. Clasificación de las fracturas toracolumbares: comparación entre las clasificaciones de AO y vaccaro. Coluna/Columna. 2010; 9 (2): 165-170. doi: 10.1590/S1808-18512010000200013

  8. Park C-J, Kim S-K, Lee T-M, Park Et. Clinical relevance and validity of tlics system for thoracolumbar spine injury. Sci Rep. 2020; 10 (1): 19494. doi: 10.1038/s41598-020-76473-9

  9. Alan N, Donohue J, Ozpinar A, Agarwal N, Kanter As, Okonkwo Do, et al. Load-sharing classification score as supplemental grading system in the decision-making process for patients with thoracolumbar injury classification and severity 4. Neurosurgery. 2021; 89 (3): 428-434. doi: 10.1093/neuros/nyab179

  10. Prajapati HP, Kumar R. Thoracolumbar fracture classification: evolution, merits, demerits, updates, and concept of stability. Br J Neurosurg. 2021; 35 (1): 92-97. doi: 10.1080/02688697.2020.1777256

  11. Su Q, Li C, Li Y, Zhou Z, Zhang S, Guo S, et al. Analysis and improvement of the three-column spinal theory. BMC Musculoskelet Disord. 2020; 21 (1): 537. doi: 10.1186/s12891-020-03550-5

  12. Smith CJ, Abdulazeez MM, Elgawady M, Mesfin FB. The effect of thoracolumbar injury classification in the clinical outcome of operative and non-operative treatments. Cureus. 2021. doi: 10.7759/cureus.12428

  13. Joaquim AF, Patel AA, Schroeder GD, Vaccaro AR. A simplified treatment algorithm for treating thoracic and lumbar spine trauma. J Spinal Cord Med. 2019; 42 (4): 416-422. doi: 10.1080/10790268.2018.1433267

  14. Guiroy A, Carazzo CA, Zamorano JJ, Cabrera JP, Joaquim AF, Guasque J, et al. Time to surgery for unstable thoracolumbar fractures in Latin America-a multicentric study. World Neurosurg. 2021; 148: E48894. doi: 10.1016/j.wneu.2021.01.010

  15. Copley Pc, Jamjoom Aab, Khan S. The management of traumatic spinal cord injuries in adults: areview. Orthoptrauma. 2020; 34 (5): 25565. doi: 10.1016/j.mporth.2020.06.002

  16. Arriagada G, Macchiavello N. Traumatismo raquimedular (TRM). Revisión bibliográfica. Rev Médica Clín Las Condes. 2020; 31 (5-6): 423-429. doi: 10.1016/J.Rmclc.2020.11.001

  17. Rath N, Inam Mb. The management of spinal fractures. Surgery. 2021; 39 (8): 54753. doi: 10.1016/j.mpsur.2021.06.011

  18. Kumar S, Patralekh MK, Boruah T, Kareem SA, Kumar A, Kumar R. Thoracolumbar fracture dislocation (ao type c injury): a systematic review of surgical reduction techniques. J Clin Orthop Trauma. 2020; 11 (5): 730-741. doi: 10.1016/J.Jcot.2019.09.016

  19. Spiegl UJ, Fischer K, Schmidt J, Schnoor J, Delank S, Josten C, et al. The conservative treatment of traumatic thoracolumbar vertebral fractures. Dtsch Arztebl Int. 2018; 115 (42): 697-704. doi: 10.3238/arztebl.2018.0697




Figure 1
Figure 2
Figure 3
Figure 4
Figure 5

2020     |     www.medigraphic.com

Mi perfil

C?MO CITAR (Vancouver)

Ortho-tips. 2023;19