medigraphic.com
SPANISH

Cirugía de Columna

ISSN 2992-7749 (Electronic)
ISSN 2992-7897 (Print)
Órgano Oficial de difusión científica de la Asociación Mexicana de Cirujanos de Columna A. C. y de la Sociedad Iberolatinoamericana de Columna. SILACO.

Indizada en:

Scielo
  • Contents
  • View Archive
  • Information
    • General Information        
    • Directory
  • Publish
    • Instructions for authors        
    • Send manuscript
  • Políticas
    • Políticas éticas
    • Políticas de acceso abierto
    • Políticas de revisión de manuscritos
    • Políticas editoriales generales
  • medigraphic.com
    • Home
    • Journals index            
    • Register / Login
  • Mi perfil

2023, Number 4

<< Back Next >>

Cir Columna 2023; 1 (4)

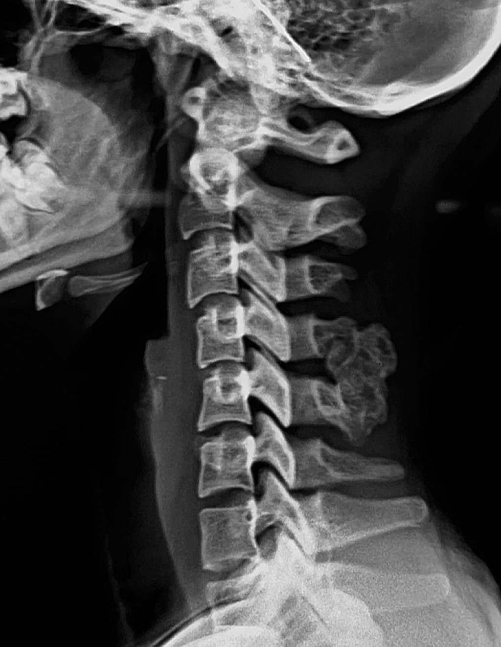
Spinal osteochondroma; overview and basic concepts

Hinojosa MLM, Calderón VJR, Villalvazo BA
Full text How to cite this article 10.35366/113723

DOI

DOI: 10.35366/113723
URL: https://dx.doi.org/10.35366/113723

Language: Spanish
References: 22
Page: 227-231
PDF size: 186.54 Kb.


Key words:

spine surgery, osteochondroma, chondrosarcoma, bone tumor, benign tumor, cervical spine.

ABSTRACT

Introduction: osteochondromas represent 10% of all bone neoplasms and 35% of benign bone lesions, making it the most frequent benign bone tumor; however, there is a low incidence of involvement in the spine, showing a greater predilection within the axial skeleton in the cervical segment. Osteochondroma is defined as an osteocartilaginous exostosis with cortical and medullary continuity contiguous to that of the bone of origin, the great majority presenting in its solitary form; however, a lower percentage of multiple affectations can also be observed as part of an autosomal dominant genetic pattern, mostly related to mutations of the EXT 1 and 2 genes. Diagnostic: the clinical presentation will depend on the location of the osteochondroma and the existence of some degree of compression to the spinal cord, being able to be detected in an incidental manner to the appearance of neurological symptoms. Multiple diagnostic tools are available, including radiography, computed axial tomography, and magnetic resonance imaging, visualizing it as an exophytic lesion with cortical and spinal cord continuity, however, the definitive diagnosis will be made using a pathology study. Treatment: the treatment will depend on the presence or absence of symptomatology and will be based on the total resection of the lesion to avoid recurrences.


REFERENCES

  1. Yudistira A, Fujiwara Y, Sukmajaya WP, Pandiangan RAH, Abduh M. Multiple osteochondromas of the cervical spine, a potential cause of radiculopathy in the elderly: a case report and review of literature. Int J Surg Case Rep. 2020; 69: 13-19. Available in: http://dx.doi.org/10.1016/j.ijscr.2020.03.018

  2. Sciubba DM, Macki M, Bydon M, Germscheid NM, Wolinsky J-P, Boriani S, et al. Long-term outcomes in primary spinal osteochondroma: a multicenter study of 27 patients. J Neurosurg Spine. 2015; 22: 582-588. Available in: http://dx.doi.org/10.3171/2014.10.spine14501

  3. García-Ramos CL, Buganza-Tepole M, Obil-Chavarría CA, Reyes-Sánchez AA. Osteocondroma espinal: diagnóstico por imagen y tratamiento. Reporte de casos. Cirugía y Cirujanos. 2015; 83: 496-500. Recuperado de: https://www.redalyc.org/articulo.oa?id=66242708008

  4. Alcaraz MMJ, Izquierdo NE, Santonja GC, Salgado SRM. Osteochondroma of the thoracic spine and scoliosis. Spine. 2001; 26: 1082-1085. Available in: http://dx.doi.org/10.1097/00007632-200105010-00019

  5. Cañete PM, Fontoira ME, Gutiérrez San José B, Mancheva MS. Osteocondroma: diagnóstico radiológico, complicaciones y variantes. Rev Chil Radiol. 2013; 19: 73-81. Disponible en: http://dx.doi.org/10.4067/s0717-93082013000200006

  6. Albrecht S, Crutchfield JS, SeGall GK. On spinal osteochondromas. J Neurosurg. 1992; 77: 247-252. Available in: http://dx.doi.org/10.3171/jns.1992.77.2.0247

  7. Victory F, Ali K. Solitary, asymptomatic, posterior, vertebral, intracanal, cervical spine osteochondroma. Radiol Case Rep. 2011; 6: 572. Available in: http://dx.doi.org/10.2484/rcr.v6i4.572

  8. Hari A, Kavar B. Rare case of malignant transformation of a solitary spinal osteochondroma into recurrent metastatic chondrosarcoma. J Clin Neurosci. 2019; 67: 280-288. Available in: http://dx.doi.org/10.1016/j.jocn.2019.05.045

  9. Carlos-Escalante JA, Paz-López ÁA, Cacho-Díaz B, Pacheco-Cuellar G, Reyes-Soto G, Wegman-Ostrosky T. Primary benign tumors of the spinal canal. World Neurosurg. 2022; 164: 178-198. Available in: http://dx.doi.org/10.1016/j.wneu.2022.04.135

  10. Sinelnikov A, Kale H. Osteochondromas of the spine. Clin Radiol. 2014; 69: e584-590. Available in: http://dx.doi.org/10.1016/j.crad.2014.08.017

  11. Robles LA, Mundis GM. Chondromas of the lumbar spine: a systematic review. Global Spine J. 2021; 11: 232-239. Available in: http://dx.doi.org/10.1177/2192568220901557

  12. Sakai, Nakashima, Takatsu, Imagama. Clinical features and surgical outcomes of osteochondroma of the spine. Malays Orthop J. 2023; 17: 117-123. Available in: http://dx.doi.org/10.5704/moj.2303.014

  13. Shigekiyo S, Nishisho T, Takata Y, Toki S, Sugiura K, Ishihama Y, et al. Intracanalicular osteochondroma in the lumbar spine. NMC Case Rep J. 2020; 7: 11-15. Available in: http://dx.doi.org/10.2176/nmccrj.cr.2019-0031

  14. De Souza AMG, Bispo Júnior RZ. Osteochondroma: ignore or investigate? Rev Bras Ortop. 2014; 49: 555-564. Available in: http://dx.doi.org/10.1016/j.rbo.2013.10.024

  15. Fowler J, Takayanagi A, Fiani B, Cathel A, Sarhadi KJ, Arshad M, et al. Diagnosis, management, and treatment options: a cervical spine osteochondroma meta-analysis. World Neurosurg. 2021; 149: 215-225.e6. Available in: http://dx.doi.org/10.1016/j.wneu.2021.01.148

  16. Mamdouhi T, Unadkat P, Edelman MC, Johnson AA, Fein Levy C, et al. Solitary pediatric osteochondroma of the spine with cord compression. Cureus. 2022; 14: e23342. Available in: http://dx.doi.org/10.7759/cureus.23342

  17. Pawar E, Gavhale S, Bansal S, Dave H, Yadav AK, Akshay KS. Solitary osteochondroma of posterior elements of the spine: a rare case report. J Orthop Case Rep. 2020; 10: 1-5.

  18. Lin G-X, Wu H-J, Chen C-M, Rui G, Hu B-S. Osteochondroma arising from the inferior articular process of the lumbar spine in a geriatric patient: a case report and literature review. Geriatr Orthop Surg Rehabil. 2022; 13: 215145932110730. Available in: http://dx.doi.org/10.1177/21514593211073028

  19. Fowler J, Takayanagi A, Siddiqi I, Ghanchi H, Siddiqi J, Veeravagu A, et al. Cervical osteochondroma: surgical planning. Spinal Cord Ser Cases. 2020; 6: 44. Available in: http://dx.doi.org/10.1038/s41394-020-0292-7

  20. Liao J-Y, Huang C-Y, Liao W-C, Kang B-H, Chang K-P. Application of 3D-printed model in the cervical spine osteochondroma surgery: a case report. Ear Nose Throat J. 2021; 1455613211040577. Available in: http://dx.doi.org/10.1177/01455613211040577

  21. Reckelhoff KE, Green MN, Kettner NW. Cervical spine osteochondroma: rare presentation of a common lesion. J Manipulative Physiol Ther. 2010; 33: 711-715. Available in: http://dx.doi.org/10.1016/j.jmpt.2010.08.021

  22. Veeravagu A, Li A, Shuer LM, Desai AM. Cervical osteochondroma causing myelopathy in adults: management considerations and literature review. World Neurosurg. 2017; 97: 752.e5-752.e13. Available in: http://dx.doi.org/10.1016/j.wneu.2016.10.061




Figure 1
Figure 2
Figure 3

2020     |     www.medigraphic.com

Mi perfil

C?MO CITAR (Vancouver)

Cir Columna. 2023;1