medigraphic.com
SPANISH

Revista Mexicana de Periodontología

ISSN 2007-4360 (Print)
Asociación Mexicana de Periodontología, Colegio de Periodoncistas A.C
  • Contents
  • View Archive
  • Information
    • General Information        
    • Directory
  • Publish
    • Instructions for authors        
  • medigraphic.com
    • Home
    • Journals index            
    • Register / Login
  • Mi perfil

2022, Number 1-3

<< Back Next >>

Rev Mex Periodontol 2022; 13 (1-3)

Expression of IL-12R and IL-18R in gingival tissue of patients with periodontitis

Pérez-Murillo MJ, López-Elías MC, Franco-Topete K, Mariaud-Schmidt RP, Rodríguez-Montaño R, Ruíz-Gutiérrez AC, Guerrero-Velázquez C
Full text How to cite this article 10.35366/113888

DOI

DOI: 10.35366/113888
URL: https://dx.doi.org/10.35366/113888

Language: Spanish
References: 35
Page: 6-13
PDF size: 380.08 Kb.


Key words:

IL-12 receptor, IL-18 receptor, periodontitis.

ABSTRACT

Introduction: periodontitis is a chronic immuno-inflammatory disease caused by bacterial dysbiosis, which leads to the destruction of periodontal tissues. It has been proposed that IL-12, IL-18 and IFN-γ are involved in the immune response in periodontitis. In this sense, discrepant results of these cytokines have been found in various biological samples from patients with periodontitis. Likewise, a strong expression of the IFN-γ receptor has been observed. However, the expression of IL-12R and IL-18R in periodontitis has not been studied. Objective: determine the expression of IL-12R and IL-18R in gingival tissue samples from patients with periodontitis. Material and methods: the expression of IL-12R (IL-12Rβ1 and IL-12Rβ2) and IL-18R (IL-18R1 and IL-18R2) were determined by the immunohistochemistry technique in gingival tissue samples from healthy subjects (n = 7) and patients with periodontitis (n = 11). Results: in this pilot test we have not been able to find significant differences in the expression of IL-12R and IL-18R in gingival tissue samples from patients with periodontitis. Conclusion: it is necessary to increase the sample size in this study to present conclusive results on the expression of IL-12R and IL-18R in periodontitis.


REFERENCES

  1. Kinane DF, Stathopoulou PG, Papapanou PN. Periodontal diseases. Nat Rev Dis Prim. 2017; 3 (1): 17038.

  2. Hajishengallis G. Periodontitis: from microbial immune subversion to systemic inflammation. Nat Rev Immunol. 2015; 15 (1): 30-44.

  3. Altare F, Jouanguy E, Lamhamedi S, Doffinger R, Fischer A, Casanova JL. Mendelian susceptibility to mycobacterial infection in man. Curr Opin Immunol. 1998; 10 (4): 413-417.

  4. Sánchez-Hernández P, Zamora-Perez A, Fuentes-Lerma M, Robles-Gómez C, Mariaud-Schmidt R, Guerrero-Velázquez C. IL-12 and IL-18 levels in serum and gingival tissue in aggressive and chronic periodontitis. Oral Dis. 2011; 17 (5): 522-529.

  5. Vahabi S, Yadegari Z, Pournaghi S. The comparison of the salivary concentration of interleukin-17 and interleukin-18 in patients with chronic periodontitis and healthy individuals. Dent Res J (Isfahan). 2020; 17 (4): 280-286.

  6. Gündogar H, Üstün K, Senyurt SZ, Ozdemir EC, Sezer U, Erciyas K. Gingival crevicular fluid levels of cytokine, chemokine, and growth factors in patients with periodontitis or gingivitis and periodontally healthy subjects: a cross-sectional multiplex study. Cent Eur J Immunol. 2021; 46 (4): 474-480.

  7. Jayadi AA, Masulili SLC, Wiyanto FXA, Sulistio E, Sunarto H, Auerkari EI. Analysis of the relationship between interleukin-12 and chronic periodontitis in smokers and non-smokers. J Int Dent Med Res. 2019; 12 (3): 1149-1153.

  8. Ladez MAR, Fakour SR, Karbasi M. Evaluation of interleukin 8, 12 & 33 serum level in patients with chronic periodontitis, aggressive periodontitis and healthy subjects. Life Sci J. 2012; 9 (4): 111-117.

  9. Shahbeik S, Taleghani F, Sattari M, Mahvash Mohammadi M, Moravej M. Evaluation of NLRP3 and IL-18 levels after periodontal therapy. Iran J Allergy Asthma Immunol. 2021; 20 (6): 764-770.

  10. Sheibak N, Heidari Z, Mahmoudzadeh-Sagheb H. Immunoexpression of interferon-gamma in the interdental gingiva of chronic periodontitis patients with interferon-gamma (+874A/T) rs62559044 polymorphism. J Oral Biol Craniofac Res. 2022; 12 (5): 727-732.

  11. Tsuneto PY, de Souza VH, de Alencar JB, Zacarias JMV, Silva CO, Visentainer JEL et al. IL18 polymorphism and periodontitis susceptibility, regardless of IL12B, MMP9, and smoking habits. Mediators Inflamm. 2019; 2019: 9585964.

  12. Li ZG, Li JJ, Sun CA, Jin Y, Wu WW. Interleukin-18 promoter polymorphisms and plasma levels are associated with increased risk of periodontitis: a meta-analysis. Inflamm Res. 2014; 63: 45-52.

  13. Graves D. Cytokines that promote periodontal tissue destruction. J Periodontol. 2008; 79: 1585-1591.

  14. Rai B, Kharb S, Jain R, Anand SC. Biomarkers of periodontitis in oral fluids. J Oral Sci. 2008; 50 (1): 53-56.

  15. Nakahira M, Ahn HJ, Park WR, Gao P, Tomura M, Park CS et al. Synergy of IL-12 and IL-18 for IFN-γ gene expression: IL-12-induced STAT4 contributes to IFN-γ promoter activation by up-regulating the binding activity of IL-18-induced activator protein 1. J Immunol. 2002; 168 (3): 1146-1153.

  16. Gately MK, Renzetti LM, Magram J, Stern AS, Adorini L, Gubler U et al. The interleukin-12/interleukin-12-receptor system: role in normal and pathologic immune responses. Annu Rev Immunol. 1998; 16 (1): 495-521.

  17. Okamura H, Tsutsui H, Komatsu T, Yutsudo M, Hakura A, Tanimoto T et al. Cloning of a new cytokine that induces IFN-γ production by T cells. Nature. 1995; 378 (6552): 88-91.

  18. Dinarello CA, Giamila F. Interleukin-18 and host defense against infection. J Infect Dis. 2003; 187 Suppl 2: S370-S384.

  19. Parham C, Chirica M, Timans J, Vaisberg E, Travis M, Cheung J et al. A receptor for the heterodimeric cytokine IL-23 is composed of IL-12Rβ1 and a novel cytokine receptor subunit, IL-23R. J Immunol. 2002; 168 (11): 5699-5708.

  20. Floss DM, Klocker T, Schroder J, Lamertz L, Mrotzek S, Strobl B et al. Defining the functional binding sites of interleukin 12 receptor β1 and interleukin 23 receptor to Janus kinases. Mol Biol Cell. 2016; 27 (14): 2301-2316.

  21. Trinchieri G. Interleukin-12 and the regulation of innate resistance and adaptive immunity. Nat Rev Immunol. 2003; 3 (2): 133-146.

  22. Born TL, Thomassen E, Bird TA, Sims JE. Cloning of a novel receptor subunit, AcPL, required for interleukin-18 signaling. J Biol Chem. 1998; 273 (45): 29445-29450.

  23. Torigoe K, Ushio S, Okura T, Kobayashi S, Taniai M, Kunikata T et al. Purification and characterization of the human interleukin-18 receptor. J Biol Chem. 1997; 272 (41): 25737-25742.

  24. Orozco A, Gemmell E, Bickel M, Seymour GJ. Interleukin-1beta, interleukin-12 and interleukin-18 levels in gingival fluid and serum of patients with gingivitis and periodontitis. Oral Microbiol Immunol. 2006; 21 (4): 256-260.

  25. Yücel OO, Berker E, Gariboglu S, Otlu H. Interleukin-11, interleukin-1beta, interleukin-12 and the pathogenesis of inflammatory periodontal diseases. J Clin Periodontol. 2008; 35 (5): 365-370.

  26. Honda T, Aoki Y, Takahashi N, Maekawa T, Nakajima T, Ito H et al. Elevated expression of IL-17 and IL-12 genes in chronic inflammatory periodontal disease. Clin Chim Acta. 2008; 395 (1-2): 137–141.

  27. Figueredo CM, Rescala B, Teles RP, Teles FP, Fischer RG, Haffajee AD et al. Increased interleukin-18 in gingival crevicular fluid from periodontitis patients. Oral Microbiol Immunol. 2008; 23 (2): 173-176.

  28. Dutzan N, Vernal R, Hernandez M, Dezerega A, Rivera O, Silva N et al. Levels of interferon-gamma and transcription factor T-bet in progressive periodontal lesions in patients with chronic periodontitis. J Periodontol. 2009; 80 (2): 290-296.

  29. Górska R, Gregorek H, Kowalski J, Laskus-Perendyk A, Syczewska M, Madali?ski K. Relationship between clinical parameters and cytokine profiles in inflamed gingival tissue and serum samples from patients with chronic periodontitis. J Clin Periodontol. 2003; 30 (12): 1046-1052.

  30. Johnson RB, Serio FG. Interleukin-18 concentrations and the pathogenesis of periodontal disease. J Periodontol. 2005; 76 (5): 785-790.

  31. Franco-Topete R, Zepeda-Nuño JS, Zamora-Perez AL, Fuentes-Lerma MG, Gómez-Meda BC, Guerrero-Velázquez C. IFN-γR2 is strongly expressed on endothelial cells of gingival tissues from patients with chronic periodontitis. J Appl Oral Sci. 2018; 26: e20170291.

  32. Takeuchi-Hatanaka K, Ohyama H, Nishimura F, Kato-Kogoe N, Soga Y, Matsushita S et al. Polymorphisms in the 5' flanking region of IL12RB2 are associated with susceptibility to periodontal diseases in the Japanese population. J Clin Periodontol. 2008; 35 (4): 317-323.

  33. Papapanou PN, Sanz M, Buduneli N, Dietrich T, Feres M, Fine DH et al. Periodontitis: consensus report of workgroup 2 of the 2017 world workshop on the classification of periodontal and peri-implant diseases and conditions. J Periodontol. 2018; 89 Suppl 1: S173-S182.

  34. Ikeda O, Egami H, Ishiko T, Ishikawa S, Kamohara H, Hidaka H et al. Expression of proteinase-activated receptor-2 in human pancreatic cancer: a possible relation to cancer invasion and induction of fibrosis. Int J Oncol. 2003; 22 (2): 295-300.

  35. Nakanishi K, Yoshimoto T, Tsutsui H, Okamura H. Interleukin-18 regulates both Th1 and Th2 responses. Annu Rev Immunol. 2001; 19: 423-474.




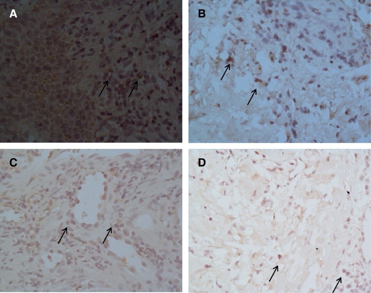
Figure 1
Figure 2
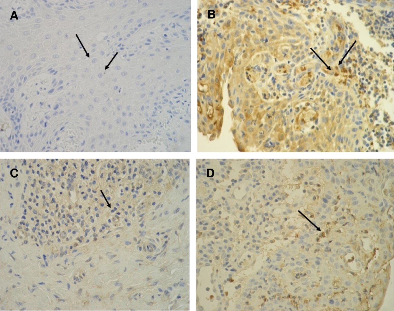
Figure 3
Figure 4
Table 1

2020     |     www.medigraphic.com

Mi perfil

C?MO CITAR (Vancouver)

Rev Mex Periodontol. 2022;13