medigraphic.com
SPANISH

Revista ADM Órgano Oficial de la Asociación Dental Mexicana

ISSN 0001-0944 (Print)
Órgano Oficial de la Asociación Dental Mexicana
  • Contents
  • View Archive
  • Information
    • General Information        
    • Directory
  • Publish
    • Instructions for authors        
    • Send manuscript
  • medigraphic.com
    • Home
    • Journals index            
    • Register / Login
  • Mi perfil

2024, Number 1

<< Back Next >>

Rev ADM 2024; 81 (1)

Prevalence of lesions in the oral mucosa and its relationship with systemic condition, age and gender.

Cuapio OAA, Tiol CA, Muñoz PA
Full text How to cite this article 10.35366/114744

DOI

DOI: 10.35366/114744
URL: https://dx.doi.org/10.35366/114744

Language: Spanish
References: 23
Page: 26-38
PDF size: 449.20 Kb.


Key words:

conditions, variants, lesions, normality, pathology, oral mucosa.

ABSTRACT

The purpose of this study is to analyze the prevalence of variants of normality and pathology in the mucosa of the oral cavity by anatomical area in a controlled population in a university undergraduate stomatological clinic in the state of Mexico. This is a cross-sectional, descriptive and observational study of 542 patients, of which 62.7% (340) belonged to the female gender and 37.3% (202) to the male gender, the age was distributed in a range of two to 85 years with a mean of 28 years and was categorized in five age groups: 2 to 12, 13 to 18, 19 to 35, 36 to 69 and > 70 years. A specialist in oral pathology, a specialist in pediatric dentistry and an intern in stomatology who served as a research assistant participated in this study. Thirteen variants of normality and 52 lesions in total were identified and reported by anatomical area, age range and gender. The number of conditions and lesions diagnosed per patient ranged from one to five in 87.27% and none were detected in 12.73% of the population studied. The most frequent variants of normality or conditions were fissured tongue with 12.17%, mucous appendage in the vestibular frenulum with 11.25% and Fordyce granules with 10.88%. The most prevalent lesions by anatomical area were: intradermal nevus with 2.39% in upper and lower external lip; simple cheilitis with 11.43% in the interphase interface of skin and mucosa of the lips (vermilion border); traumatic ulcer with 3.87% in labial mucosa; abscess of dental origin with 1.42 in gingiva; frenulum with low insertion 1.84% in frenulum; traumatic ulcer with 5. 53% in buccal mucosa; chronic atrophic candidiasis with 5.53% in palate; hypertrophic tonsils with 8.11% in tonsillar area; hairy tongue with 1.66% in tongue; traumatic ulcer with 3.69% in floor of mouth; pyogenic granuloma with 0.18% in alveolar process and finally; hypertrophy of labial salivary glands with 0.55% associated with the presence of orthodontic appliances. Finally, a Pearson's χ2 test was carried out to establish correlation between dependent and independent variables, finding statistical significance of p < 0.000 between tongue lesions and systemic condition and age in relation to tongue, palate and lip lesions with a p < 0.000.


REFERENCES

  1. Nanci A. Histología oral ten cate. Medica Panamericana, Cap. I 8ª. ed. 2013.

  2. Shafer GW, Hine KM, Levy MB, Tomich EC. Tratado de patología bucal. Nueva Editorial Interamericana 4ª. ed. 1988.

  3. Marija K, Uros S. The prevalence of oral mucosal lesions in a population in Ljubljana, Slovenia. J Oral Pathol Med. 2000; 29: 331-335.

  4. Hidalgo HS, Ramos DMJ, Fernández FN. Alteraciones bucales en pacientes geriátricos de prótesis total en dos áreas de la salud. AMC. 2005; 9 (6): 1-105.

  5. World Health Organization. Guide to epidemiology and diagnosis of oral mucosal diseases and conditions. Community Dent and Oral Epidemiol. 1980; 8: 1-24.

  6. Casnati B, Álvarez R, Massa F, Lorenzo S, Angulo M, Carzoglio J. Prevalencia y factores de riesgo de las lesiones de la mucosa oral en la población urbana de Uruguay. Odontoestomatología. 2013; 15: 58-67.

  7. Espinoza-Zapata M, Loza-Hernández G, Mondragón-Ballesteros R. Prevalencia de lesiones de la mucosa bucal de pacientes pediátricos. Informe preliminar. Cir Ciruj. 2006; 74 (3): 153-157.

  8. Donohué CA, Leyva HER, Ponce BS, Aldape BB, Quezada RD, Borges YA et al. Distribución de condiciones y lesiones de mucosa bucal en pacientes adultos mexicanos. Rev Cubana Estomatol. 2007; 44 (1).

  9. Linares-Vieyra C, Meza-Sánchez JD, González-Guevara MB, Murrieta-Pruneda JF, Salgado-Rodríguez SJ, Morales-Jaimes R. Lesiones de mucosa bucal. Factores asociados en población infantil. Revista Médica del Instituto Mexicano del Seguro Social. 2013; 51 (3): 320-325.

  10. García Pola MJ, García JM, González M. Estudio epidemiológico de la patología de la mucosa oral en la población infantil de 6 años de Oviedo. Medicina Oral. 2002; 7: 184-191.

  11. Corrales PH. Queilitis por Fotosensibilidad. Revista Médica de Honduras, Vol. 43, 1975, 163-178.

  12. Ruiz DV, Litardo IJ, Valencia CM, Yagul HS. Incidencia de amígdalas hipertróficas. Programa de salud escolar 2006-2007.l "León Becerra" Hospital in Milagro. Rev Med FCM-USCG. 2010; 16 (2): 112-115.

  13. Moret Y, Rivera H, Cartaya M. Prevalencia de lesiones de mucosa bucal en pacientes diagnosticados en el Laboratorio Central de Histopatología bucal Dr. Pedro Tinoco de la Facultad de Odontología de la Universidad Central de Venezuela durante el periodo 1968-1987. Resultados preliminares. Acta Odontol Venez. 2007; 45 (2): 240-243.

  14. Aguirre UJM. Candidiasis orales. Rev Iberoam Micol. 2002; 19: 17-21.

  15. Ley SL, Silva MY, Puig CE, Nápoles IJ, Díaz GS. Comportamiento de la Estomatitis subprótesis. Rev Arch Med de Camagüey. 2010; 14 (1): 1-15.

  16. Ramírez AV, Mosqueda TA, Hernández LH. Estudio epidemiológico de la mucosa oral. Cuadernos CBS (11) Universidad Autónoma Metropolitana Xochimilco 1986.

  17. Informe de casos nuevos de enfermedades en la jurisdicción sanitaria N° 18 Nezahualcóyotl 2010.

  18. López LJ, Sánchez TN, Urbina AY, Barbera VM, Pérez GE, Villaroel DM. Estudio del apéndice del frenillo vestibular ¿alteración del desarrollo o lesión neoplásica? Acta Odontol Venez. 2006; 44 (1): 28-30.

  19. López del Castillo CA, Bencomo BH, Areas SD, Rivero PO, Fernández GG. Double frenulum of the superior lip. Rev Cubana de Pediatr. 2013; 85 (4): 523-528.

  20. Castro-Rodríguez Y. Consideraciones diagnósticas de los frenillos aberrantes. Revisión bibliográfica. Revista Dental de Chile. 2016, 107 (1): 4-7.

  21. Harris RJ, Fortich MN, Herrera AH, Arcos PJM, Blanquicett LM, Jiménez PC. Lesiones linguales y su relación con afecciones sistémicas. Av Odontoestomatol. 2017; 33 (2): 59-65.

  22. Burket LW, Lynch MA, Brightman VJ, Greenberg MS, Orizaga SJ. Medicina Bucal de Burket. McGraw-Hill Interamericana. México D.F. 9a ed. Cap.10. 1996.

  23. González GR, Molina BR, Narváez RA, Carreón BRG. Frequent oral mucosal lesions in children and adolescents: a review of the literature. Revisión Literaria. Revista ADM. 2011; 68 (1): 17-24.




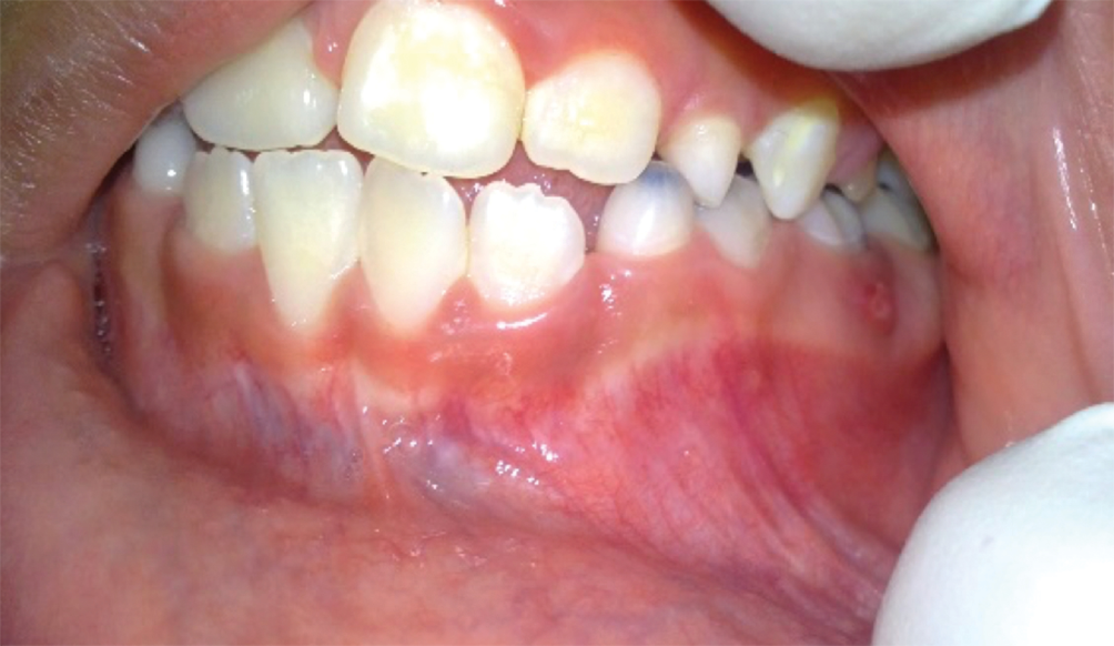
Figure 1
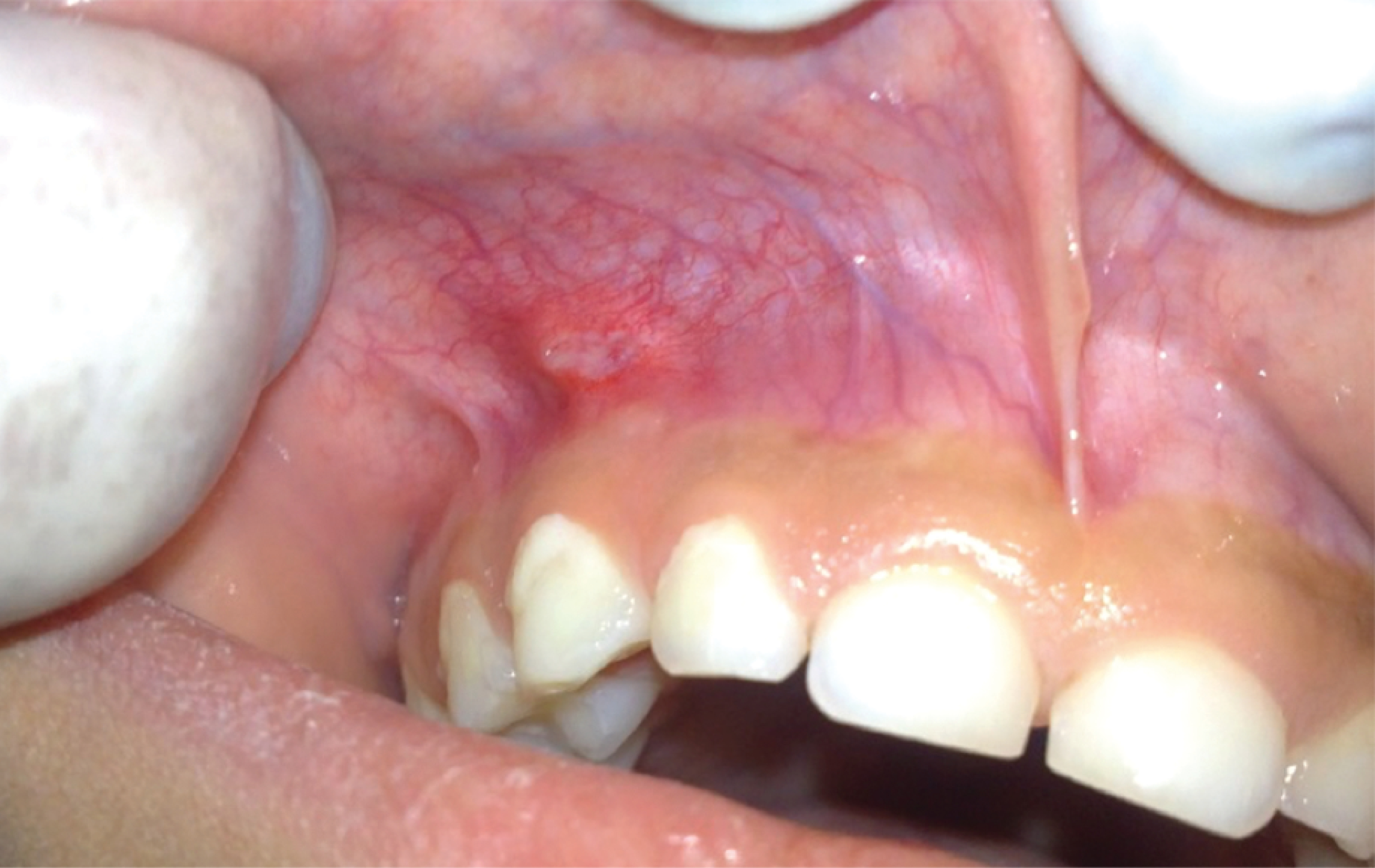
Figure 2
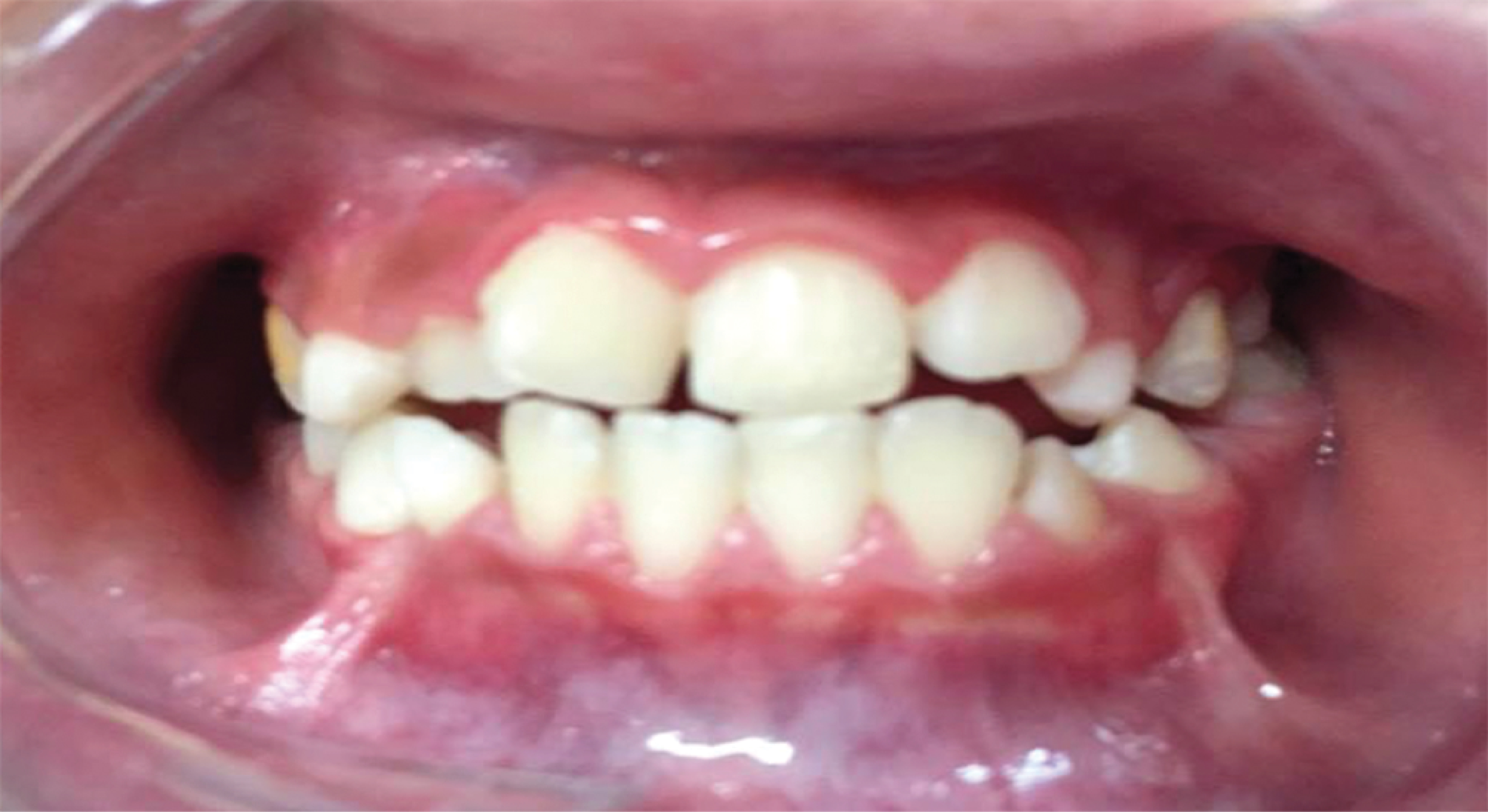
Figure 3
Figure 4
Figure 5
Figure 6
Figure 7
Figure 8
Figure 9
Table 1
Table 2
Table 3
Table 4
Table 5
Table 6
Table 7
Table 8
Table 9
Table 10
Table 11
Table 12
Table 13
Table 14
Table 15

2020     |     www.medigraphic.com

Mi perfil

C?MO CITAR (Vancouver)

Rev ADM. 2024;81