medigraphic.com
SPANISH

Cirugía Cardiaca en México

ISSN 2448-5640 (Print)
Diario Oficial de la Sociedad Mexicana de Cirugía Cardiaca, A.C., y del Colegio Mexicano de Cirugía Cardiovascular y Torácica, A.C.
  • Contents
  • View Archive
  • Information
    • General Information        
    • Directory
  • Publish
    • Instructions for authors        
    • Send manuscript
  • medigraphic.com
    • Home
    • Journals index            
    • Register / Login
  • Mi perfil

2024, Number 2

<< Back Next >>

Cir Card Mex 2024; 9 (2)

Frozen elephant trunk. First case in a Mexican single center. Technical overview and experience

Martínez-Hernández, Humberto J1,2; Reyes-Rodríguez, Alejandro1,2; Ocampo-Vargas, Alan K1,2; Molina-Méndez, Francisco J1,3; Espinosa-Escobar, Jaime A1,3
Full text How to cite this article 10.35366/115159

DOI

DOI: 10.35366/115159
URL: https://dx.doi.org/10.35366/115159

Language: English
References: 10
Page: 61-64
PDF size: 264.09 Kb.


Key words:

acute aortic dissection Stanford A, frozen elephant trunk (FET), selective antegrade cerebral perfusion, thoracic endovascular aortic repair (TEVAR), total arch replacement.

ABSTRACT

This article presents the clinical applications of the frozen elephant trunk, discusses the historical aspects, the report of the first clinical case in our hospital and the evolution of the surgical technique for the treatment of Stanford A aortic dissections in our department. The objective is to report the first case of frozen elephant trunk technique in our institution.



INTRODUCTION

In 1983 Borst et al. introduced the two-stage elephant trunk principle as a surgical treatment strategy for extensive thoracic aortic disease.1 This approach is based on the prosthetic replacement of the entire arch with an elephant trunk extension of the arch graft. In 2003, Karck et al. reported four patients with descending aortic aneurysms or chronic aortic dissection, who had open aortic arch replacement with stent-graft insertion in the descending aorta. They used a custom-made stent-graft (Chavan-Haverich, Curative Medical Devices Gmbh, Dresden). They found complete thrombosis in the descending aorta or false lumen around the stent-graft. This was the first report in which this method was called "frozen elephant trunk (FET)".2

FET is indicated for distal aortic arch aneurysms, proximal and descending thoracic aortic aneurysms, type B chronic aortic dissection, residual dissection after proximal aortic repair, and type I acute aortic dissection. In addition, the FET can be used in patients with complicated type III aortic dissection, including retrograde dissection in zone 2, short landing zone (< 2 cm) for thoracic endovascular aortic repair (TEVAR) in zone 2, or aortic arch diameter > 40 mm. FET is also indicated in type IA endoleak after TEVAR or in patients with stent-induced reentry. In a study from Essen, an angioscope was used in 124 patients to identify the position and morphology of distal reentry sites in patients with AD type I/III. This showed that there was reentry in 73% of the patients 5 cm distally to the origin of the left subclavian artery and 31% in the range of 6-10 cm.3

The two commercially available FET prostheses in Europe are E-vita Open Plus™ (Jotec, Hechingen, Alemania) and Thoraflex Hybrid™ (Vascutek Terumo, Renfrewshire, Scotland, Reino Unido). Both devices are available in different sizes and with different delivery systems.

Compared to the E-vita Open Plus device, the Thoraflex Hybrid system has a simpler deployment system, has a gelatin-sealed vascular prosthesis, and its nitinol ring arrangement exerts less radial force compared to the z-stent design of the E-vita Open Plus device. Both FET devices have radiopaque markers for identification in subsequent imaging studies.4 Other commercially available prostheses are the Cronus (MicroPort, Shanghai, China) and the Frozenix (Japan Lifeline, Tokyo, Japan).5

Neurological complications such as permanent stroke and spinal cord ischemia are the most devastating complications of aortic surgery.

In a meta-analysis by Preventza et al. it was found that in cases of acute type A aortic dissection that landing zone at T8 or beyond or a stent graft length of 15 cm or more was a significant predictor of spinal cord injury. This is extremely important, as the industry is developing single-graft stents to treat extensive aortic pathology.6

Circulatory arrest in moderate hypothermia is associated with equivalent operative mortality and morbidity and visceral organ functions compared with deep hypothermia in patients with acute type A aortic dissection undergoing total arch replacement under unilateral selective antegrade cerebral perfusion.7

Despite increasing experience in specialized centers with broader practice in aortic arch surgery, in-hospital mortality after FET remains not insignificant (up to 17%) and the postoperative course is often complicated by the occurrence of stroke (2.5 to 20%), spinal cord injury (2 to 21%), and renal dysfunction (up to 35%).8



CLINICAL CASE

We present the case of a 52-year-old male patient. Prior to his admission, he reported the presence of oppressive, sudden, tearing pain, intensity 10/10, accompanied by dyspnea and weakness of the lower limbs, diaphoresis, with suspicion of acute coronary syndrome. CT angiography was performed and it was classified as Stanford B DeBakey III aortic dissection, referred to our institute for surgical treatment.

Upon admission, conscious, oriented, Glasgow 15 points, presented elevated blood pressure (163/88 mmHg), nitroprusside 0.5 μg/kg/min was started. The electrocardiogram showed sinus rhythm, 85 bpm, PR 0.16, QRS 0.12, QT 0.40, normal axis, in the paraclinical examinations a hemoglobin of 10.3, hematocrit of 31.1, and creatinine of 1.48 stand out.

The echocardiogram reported a Stanford A dissection, flap dissection at the level of the brachiocephalic trunk, left atrial dilation, left ventricular concentric remodeling, left ventricular systolic function 60%, normal right ventricular systolic function, mild aortic regurgitation, mild mitral regurgitation, without evidence of pericardial effusion or intracavitary thrombus.

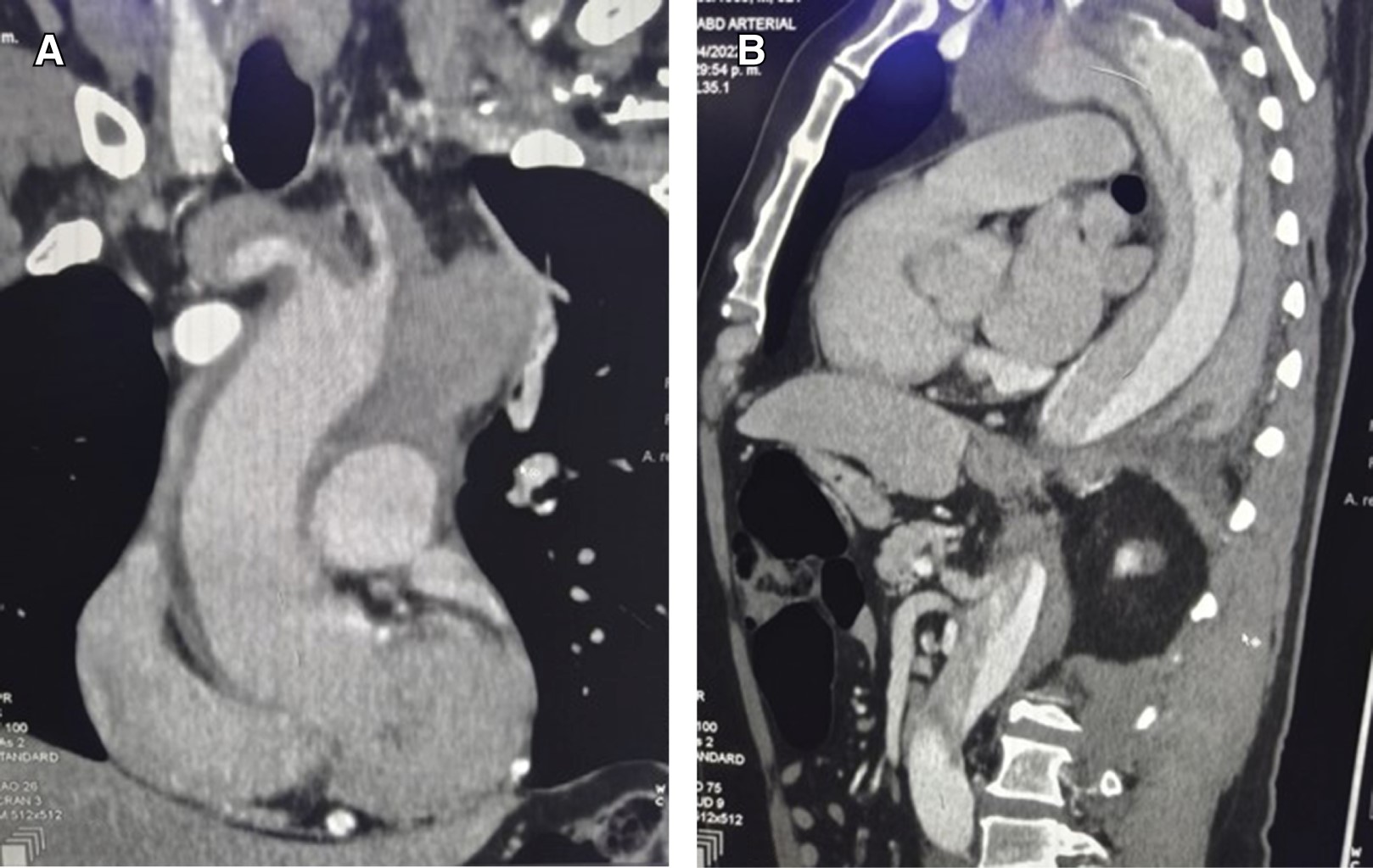
CT Angiography showed intramural hematoma that begins in the sinus of Valsalva and extends to the proximal arch, dissection flap that begins in the brachiocephalic trunk and extends to the right common carotid, proximal third of the left common carotid, and the subclavian artery and continues to the distal third of the left internal iliac artery, the right renal artery arises from the false lumen, the rest of the visceral branches emerge from the true lumen (Figure 1).

With the previous studies it was decided to undergo surgical treatment. We were provided with a 31 mm × 15 cm GORE® endoprosthesis (Figure 2A), we manually made a 32 mm woven Dacron tube with a 10 mm chimney and another tube of 10 mm for the left carotid and one of 12 mm that will serve for the brachycephalic trunk (Figure 2B). An ultrasound-guided right common femoral puncture was performed and a 6 Fr introducer was placed; a right infraclavicular incision was made, the right subclavian artery was located and vascular control performed and 5/0 purse-string tourniquet, left infraclavicular incision was made and end-to-side anastomosis is performed with a 10 mm woven Dacron tube, median sternotomy was performed and extended with left cervicotomy. Mediastinal structures were dissected, carotid sheath was also dissected, with vascular control of the carotid artery. One vascular shunt was placed, an end-to-side anastomosis performed with a 10 mm woven Dacron. Then, pericardium was incised, the edges marsupialized, a simple purse-string was placed in the right atrium and in the right upper pulmonary vein, and heparin administered, with optimal activated coagulation time, the right subclavian artery was cannulated with a 17 Fr cannula, a trilumen catheter is placed for distal perfusion in the right subclavian artery, the right atrium and right upper pulmonary vein were also cannulated. The body temperature was lowered to reach 18 oC. Then, aortic cross-clamping was performed, aortotomy and direct Custodiol as cardioplegia administered into coronary ostia. Proximal aorta was reinforced with Teflon bands and aortic valve resuspension and anastomosis of a 32 mm woven Dacron tube were performed in ascending aorta. In deep hypothermia, the centrifugal pump was stopped and selective cerebral perfusion was started with a roller pump at 800 ml per minute. Aorta was unclamped and aortic arch resection performed, a hydrophilic guidewire passed through a femoral introducer under vision with true light echocardiography, a GORE-type thoracic endoprosthesis releaser ® was directed 31 mm × 15 cm in the descending aorta, stent was released without complications (Figure 3A). Anastomosis of the endoprosthesis to a 32 mm woven Dacron tube and later to a woven tube of the proximal aorta (supracoronarian) was performed (Figure 3B). The cannula was connected to the arch chimney and the flow is restarted with a centrifugal pump, an end-to-end anastomosis performed from a 10-mm woven tube of the left common carotid to a 10-mm aortic tube. Anastomosis was subsequently performed from the brachycephalic trunk to a woven Dacron tube of 12 mm supra-aortic. Temperature rise began, at optimal temperature extracorporeal circulation is weaned, achieving it on the first attempt, in hemodynamic stability structures are decannulated and anastomosis is performed from 10 mm woven Dacron used as chimney to 10 mm woven Dacron extraanatomical that passes through the left pleura to the left subclavian artery (Figure 4A). Protamine was administered, hemostasis performed and chest draining tubes placed. Chest closure was performed as usual. Surgical procedure concluded without complications. In ICU, a chest X-ray was requested, without observing changes (Figure 4B).



COMMENT

Acute type A aortic dissection is one of the most complicated and life-threatening conditions of the cardiovascular system. Over the past two decades, the frozen elephant trunk technique has emerged as a valid and attractive option for treating aortic disease when the thoracic arch and aorta are involved, in both elective and emergency settings. The technique converts the conventional elephant trunk procedure, which is inherently a two-stage operation, into a one-stage repair by completely replacing the aortic arch with a surgical prosthesis comprising a stented distal portion deployed in the distal tract of the arch. aortic and proximal descending thoracic aorta.9

In a meta-analysis by Lin et al.,10 in-hospital mortality rate of 8% was reported, and the rate of stroke, spinal cord injury, renal failure, and frequency of reoperations resulting from bleeding was ≤ 5%, which indicates that the technique apart from being reproducible is safe and provides excellent surgical results.

The improvement of our technique makes us think that we can achieve even better results with the joint work of a specialized aortic group that includes perfusion, anesthesiology, and intensive care, among others, who have extensive training in aortic pathology.


REFERENCES

  1. Borst HG, Walterbusch G, Schaps D. Extensive aortic replacement using "elephant trunk" prosthesis. Thorac Cardiovasc Surg. 1983;31(1):37-40. doi: 10.1055/s-2007-1020290.

  2. Okita Y. Frozen elephant trunk with Frozenix prosthesis. Ann Cardiothorac Surg. 2020;9(3):152-163. doi: 10.21037/acs.2020.03.13.

  3. Jakob H, Idhrees M, Bashir M. Frozen elephant trunk with straight vascular prosthesis. Ann Cardiothorac Surg. 2020;9(3):164-169. doi: 10.21037/acs-2020-fet-60.

  4. Acharya M, Sherzad H, Bashir M, Mariscalco G. The frozen elephant trunk procedure: indications, outcomes and future directions. Cardiovasc Diagn Ther. 2022;12(5):708-721. doi: 10.21037/cdt-22-330.

  5. Gallingani A, Venturini A, Scarpanti M, Mangino D, Formica F. Frozen elephant trunk: technical overview and our experience with a patient-tailored approach. J Clin Med. 2022;11(4):1120. doi: 10.3390/jcm11041120.

  6. Preventza O, Liao JL, Olive JK, et al. Neurologic complications after the frozen elephant trunk procedure: A meta-analysis of more than 3000 patients. J Thorac Cardiovasc Surg. 2020;160(1):20-33.e4. doi: 10.1016/j.jtcvs.2019.10.031.

  7. Gong M, Ma WG, Guan XL, et al. Moderate hypothermic circulatory arrest in total arch repair for acute type A aortic dissection: clinical safety and efficacy. J Thorac Dis. 2016;8(5):925-933. doi: 10.21037/jtd.2016.02.75.

  8. Malvindi PG, Alfonsi J, Berretta P, Cefarelli M, Gatta E, Di Eusanio M. Normothermic frozen elephant trunk: our experience and literature review. Cardiovasc Diagn Ther. 2022;12(3):262-271. doi: 10.21037/cdt-22-73.

  9. Chivasso P, Mastrogiovanni G, Miele M, et al. Frozen elephant trunk technique in acute type a aortic dissection: is it for all? Medicina (Kaunas). 2021;57(9):894. doi: 10.3390/medicina57090894.

  10. Lin HH, Liao SF, Wu CF, Li PC, Li ML. Outcome of frozen elephant trunk technique for acute type A aortic dissection: as systematic review and meta-analysis. Medicine (Baltimore). 2015;94(16):e694. doi: 10.1097/MD.0000000000000694.



AFFILIATIONS

1 Instituto Nacional de Cardiología "Ignacio Chávez". Mexico City, Mexico.

2 Department of Cardiothoracic Surgery.

3 Department of Cardiothoracic Anesthesiology.



Funding: none.

Disclosure: the authors have no conflict of interest to disclose.



CORRESPONDENCE

Alejandro Reyes-Rodríguez, MD. E-mail: cardiosurg2018@gmail.com




Received: 07-20-2023. Accepted: 09-08-2023.

Figure 1
Figure 2
Figure 3
Figure 4

2020     |     www.medigraphic.com

Mi perfil

C?MO CITAR (Vancouver)

Cir Card Mex. 2024;9