medigraphic.com
SPANISH

Alergia, Asma e Inmunología Pediátricas

Órgano Oficial del Colegio Mexicano de Alergia, Asma e Inmunología Pediátrica y de la Asociación Latinoamericana de Pediatría
  • Contents
  • View Archive
  • Information
    • General Information        
    • Directory
  • Publish
    • Instructions for authors        
  • medigraphic.com
    • Home
    • Journals index            
    • Register / Login
  • Mi perfil

2023, Number 1-3

<< Back

Alerg Asma Inmunol Pediatr 2023; 32 (1-3)

Proven invasive fungal infection by Stephanoascus ciferrii in the central nervous system in a patient with high-risk acute biphenotypic B-myeloid/myeloid B- cell leukemia

Murguía-Pérez JG, Arce-Cabrera D
Full text How to cite this article 10.35366/115244

DOI

DOI: 10.35366/115244
URL: https://dx.doi.org/10.35366/115244

Language: Spanish
References: 21
Page: 27-33
PDF size: 214.21 Kb.


Key words:

acute biphenotypic leukemia, invasive fungal infection, fungi, yeasts, Stephanoascus ciferrii.

ABSTRACT

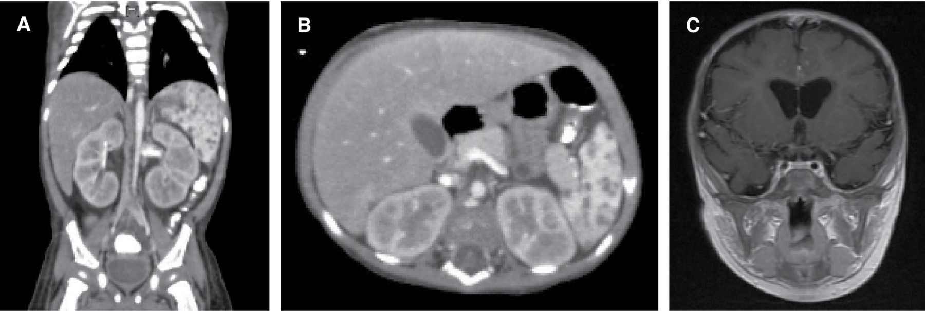
Introduction: invasive fungal infections (IFI) caused by filamentous fungi continue to cause high morbimortality in patients with hematologic diseases and hematopoietic transplant recipients. This disease is classified as possible, probable, and proven according to the criteria of the European Organization for Research and treatment of cancer (EORTC). Stephanoascus ciferrii is a heterothallic, ascomycetous, yeast-like fungus that is a teleomorph of Candida ciferrii, whose isolation in humans is rare, especially in locations other than skin tissue and the peculiarity of this species to be resistant to fluconazole. Acute biphenotypic leukemia (ABL) is rare; it accounts for only 5% of all cases of acute leukemia. Case report: we present the case of a minor child diagnosed with high-risk biphenotypic B-cell/myeloid leukemia who presented with intermittent fever, irritability, developmental delay, skin nodules on the arm, profound and prolonged neutropenia; As part of the infectious diagnostic approach and in view of the developmental abnormalities, a lumbar puncture was performed, isolating Stephanoascus ciferrii, which confirmed the diagnosis of IFI, and treatment was initiated according to the Infectious Diseases Society of America (IDSA) guidelines for the treatment of candidiasis, which responded well. Conclusion: proper assessment of individual IFD risk is critical for choosing the best prophylactic and therapeutic approach and increasing patient survival.


REFERENCES

  1. Lee HG, Baek HJ, Kim HS, Park SM, Hwang TJ, Kook H. Biphenotypic acute leukemia or acute leukemia of ambiguous lineage in childhood: clinical characteristics and outcome. Blood Res. 2019; 54 (1): 63-73. doi: 10.5045/br.2019.54.1.63.

  2. Torres G, Mamani J, Quisbert E, Peñaloza R, Miguez H, Quispe T, et al. Leucemia bifenotípica aguda B/T: presentación de caso clínico. Cuads Hosp Clín. 2015; 56 (2): 45-48. [Recuperado en 12 de julio de 2021] Disponible en: http://www.scielo.org.bo/scielo.php?script=sci_arttext&pid=S1652-67762015000200007&lng=es&tlng=es

  3. Otto WR, Green AM. Fungal infections in children with haematologic malignancies and stem cell transplant recipients. Br J Haematol. 2020; 189 (4): 607-624. Available in: https://doi.org/10.1111/bjh.16452

  4. Ruiz-Camps I, Jarque I. Enfermedad fúngica invasora por hongos filamentosos en pacientes hematológicos. Revista Iberoamericana de Micología. 2014; 31 (4): 249-254. doi: 10.1016/j.riam.2014.06.002.

  5. García-Vidal C, Salavert Lletí M. Inmunopatología de las micosis invasivas por hongos filamentosos. Rev Iberoam Micol. 2014; 31 (4): 219-228. doi: 10.1016/j.riam.2014.09.001.

  6. Menzin J, Meyers JL, Friedman M, Perfect JR, Langston AA, Danna RP, et al. Mortality, length of hospitalization, and costs associated with invasive fungal infections in high-risk patients. Am J Health Syst Pharm. 2009; 66: 1711-1717.

  7. De Gentile L, Bouchara JP, Cimon B, Chabasse D. Candida ciferrii: clinical and microbiological features of an emerging pathogen. Mycoses. 1991; 34: 125-128. doi: 10.1111/j.1439-0507.1991.tb00632.x.

  8. Kreger-Van N. Candida ciferri, a new yeast species. Mycopahol Mycol Appl. 1965; 26: 49-52.

  9. De Gentile L, Boucgara J, Le Clen'h C, Cimon B, Syomens F, Chabasse D. Prevalence of Candida ciferri in elderly patients with tropic disorders of the legs. Mycopathologia. 1995; 131: 99-102.

  10. Soki H, Nagase Y, Yamazaki K, Oda T, Kikuchi K. Isolation of the yeast-like fungus Stephanoascus ciferrii by culturing the aural discharge of a patient with intractable otitis media. Case report. Kansenshogaku Zasshi. 2010; 84: 210-212. doi: 10.11150/kansenshogakuzasshi.84.210.

  11. Agin H, Ayhan Y, Devrim I, Gulfidan G, Tulumoglu S, Kayserili E. Fluconazole-, amphotericin-B-, caspofungin-, and anidulafungin-resistant Candida ciferrii: an unknown cause of systemic mycosis in a child. Mycopathologia. 2011; 172(3): 237-239. doi: 10.1007/s11046-011-9418-6.

  12. Danielescu C, Cantemir A, Chiselita D. Successful treatment of fungal endophthalmitis using intravitreal caspofungin. Arq Bras Oftalmol. 2017; 80: 196-198.

  13. García-Martos P, Ruiz-Aragón J, García-Agudo L, Saldarreaga AL, Lozano MC, Marín P. Aislamiento de Cadida ciferrii en un paciente inmunodeficiente. Rev Iberoam Micol. 2004; 21: 85-86.

  14. De Pauw B, Walsh TJ, Donnelly JP, National Institute of Allergy and Infectious Diseases Mycoses Study Group (EORTC/MSG) Consensus Group. Revised definitions of invasive fungal disease from the European Organization for Research and Treatment of Cancer/Invasive Fungal Infections Cooperative Group and the National Institute of Allergy and Infectious Diseases Mycoses Study Group (EORTC/MSG) Consensus Group. Clinical infectious diseases : an official publication of the Infectious Diseases Society of America. 2008; 46 (12): 1813-1821. Available in: https://doi.org/10.1086/588660

  15. Pappas PG, Kauffman CA, Andes DR, Clancy CJ, Marr KA, Ostrosky-Zeichner L et al. Clinical practice guideline for the management of candidiasis: 2016 update by the infectious diseases Society of America, clinical infectious diseases. 2016; 62 (4): e1-e50. Available in: https://doi.org/10.1093/cid/civ933

  16. Fisher BT, Robinson PD, Lehrnbecher T, Steinbach WJ, Zaoutis TE, Phillips B et al. Risk factors for invasive fungal disease in pediatric cancer and hematopoietic stem cell transplantation: a systematic review. Journal of the Pediatric Infectious Diseases Society. 2018; 7 (3): 191-198. Available in: https://doi.org/10.1093/jpids/pix030

  17. Reboli AC, Rotstein C, Pappas PG, Chapman SW, Kett DH, Kumar D et al. Anidulafungin versus fluconazole for invasive candidiasis. N Engl J Med. 2007; 356: 2472-2482.

  18. Reboli AC, Shorr AF, Rotstein C, Pappas PG, Kett DH, Schlamm HT, Reisman AL et al. Anidulafungin compared with fluconazole for treatment of candidemia and other forms of invasive candidiasis caused by Candida albicans: a multivariate analysis of factors associated with improved outcome. BMC Infect Dis. 2011; 11: 261.

  19. Rosanova MT, Bes D, Serrano AP, Cuellar PL, Sberna N, Lede R. Efficacy and safety of caspofungin in children: systematic review and meta-analysis. Arch Argent Pediatr. 2016; 114 (4): 305-312. doi: 10.5546/aap.2016.eng.305.

  20. Guo P, Wu Z, Liu P, Chen Y, Liao K, Peng Y, He Y. Identification and antifungal susceptibility analysis of Stephanoascus ciferrii complex species isolated from patients with chronic suppurative otitis media. Front Microbiol. 2021; 12: 680060. doi: 10.3389/fmicb.2021.680060

  21. Blyth CC, Hale K, Palasanthiran P, O'Brien T, Bennett MH. Antifungal therapy in infants and children with proven, probable or suspected invasive fungal infections. Cochrane Database of Systematic Reviews. 2010; doi: 10.1002/14651858.cd006343.pub2.




Figure 1
Table 1
Table 2
Table 3
Table 4

2020     |     www.medigraphic.com

Mi perfil

C?MO CITAR (Vancouver)

Alerg Asma Inmunol Pediatr. 2023;32