medigraphic.com
SPANISH

Revista Mexicana de Trasplantes

ISSN 3122-3893 (Electronic)
  • Contents
  • View Archive
  • Information
    • General Information        
    • Directory
  • Publish
    • Instructions for authors        
    • Send manuscript
  • Policies
  • medigraphic.com
    • Home
    • Journals index            
    • Register / Login
  • Mi perfil

2024, Number 1

<< Back Next >>

Rev Mex Traspl 2024; 13 (1)

Pneumocystis jirovecii pneumonia in a kidney transplant recipient 26 years after transplantation

Delgado-Ávila BG, Ortiz-Bello ÁC, Fueyo-Rodríguez O, Berman-Parks N, Gaytán-Arocha JE, Morales-Buenrostro LE
Full text How to cite this article 10.35366/115308

DOI

DOI: 10.35366/115308
URL: https://dx.doi.org/10.35366/115308

Language: Spanish
References: 5
Page: 36-38
PDF size: 198.80 Kb.


Key words:

Pneumocystis jirovecii, kidney transplantation, immunosuppression.

ABSTRACT

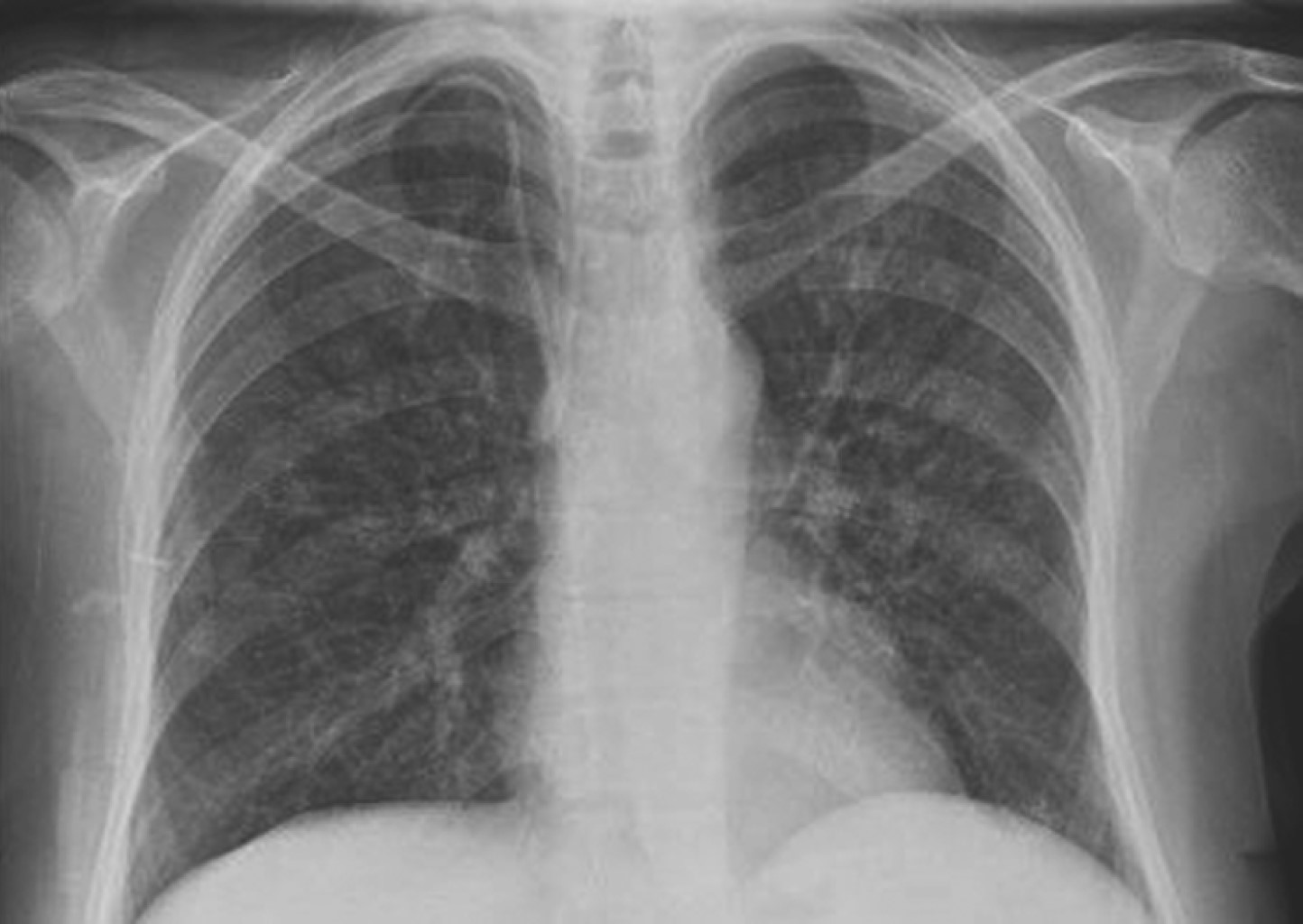
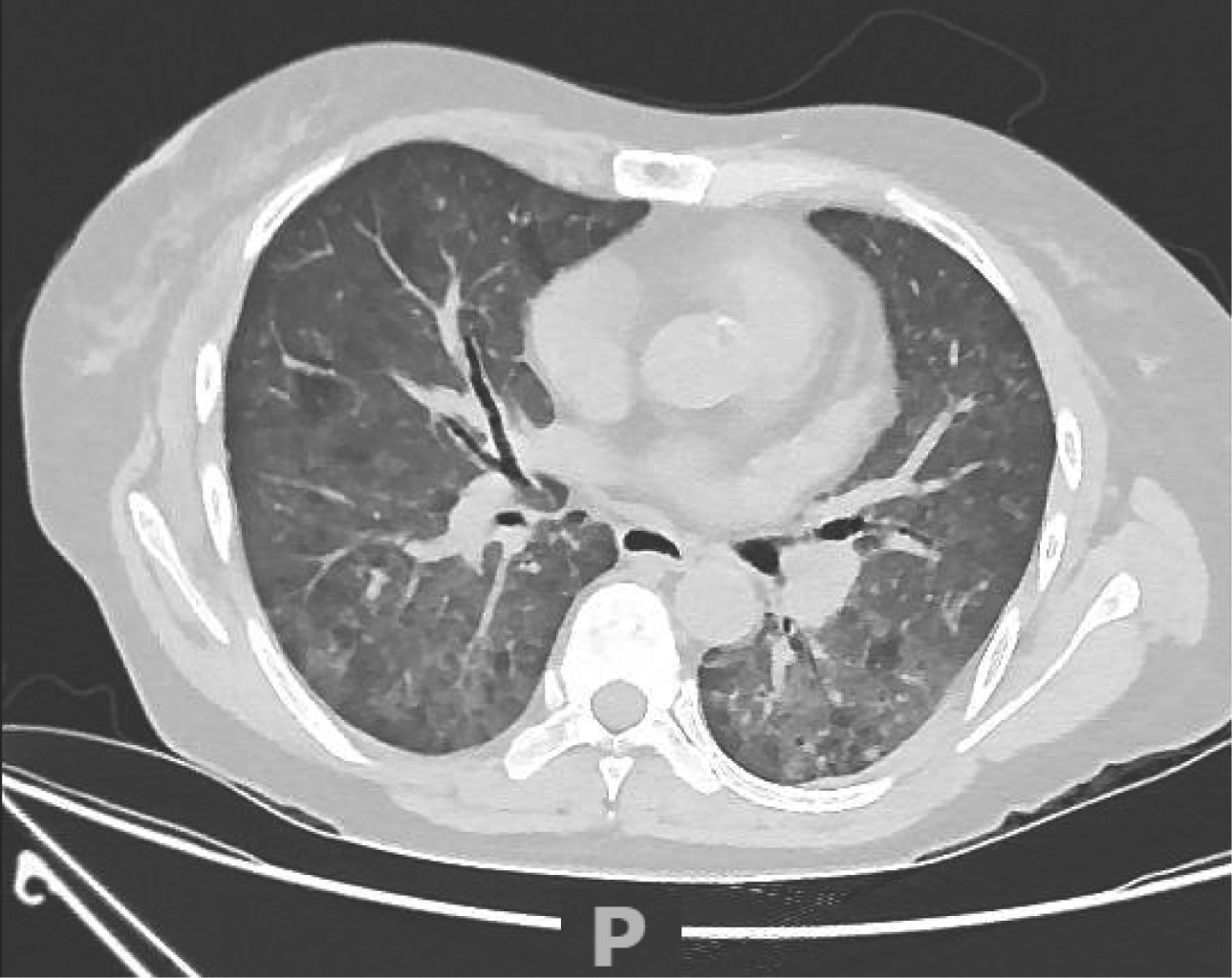
Introduction: the incidence of Pneumocystis jirovecii infection in kidney transplant patients ranges from 0.4-2.2%. Prior to the use of prophylaxis, the incidence was up to 14% in kidney transplant recipients. Desensitization treatment prior to transplantation TE, higher doses of calcineurin inhibitor, active rejection mediated by antibodies and a previous picture of infection with Pneumocystis jirovecii are the risk factors most important for its presentation. A case of a kidney transplant recipient with kidney infection is described. Pneumocystis jirovecii and treatment is discussed.


REFERENCES

  1. Perez-Ordoño L, Hoyo I, Sanclemente G, Ricart MJ, Cofan F, Perez-Villa F et al. Late-onset Pneumocystis jirovecii pneumonia in solid organ transplant recipients. Transpl Infect Dis. 2014; 16 (2): 324-328.

  2. Muhammad Iqbal AH, Lim SK, Ng KP, Tan LP, Chong YB, Keng TC. Pneumocystis jirovecii pneumonia 13 years post renal transplant following a recurrent cytomegalovirus infection. Transpl Infect Dis. 2012; 14 (4): E23-E26.

  3. Prasad P, Lo KB, Ram P. Late presentation of Pneumocystis jirovecii pneumonia after renal transplant: A case report. Med Mycol Case Rep. 2018; 20: 33-34.

  4. Varnas D, Jankauskiené A. Pneumocystis Jirovecii pneumonia in a kidney transplant recipient 13 months after transplantation: a case report and literature review. Acta Med Litu. 2021; 28 (1): 136-144.

  5. Lee G, Koo TY, Kim HW, Lee DR, Lee DW, Oh J et al. Comparison of early and late Pneumocystis jirovecii pneumonia in kidney transplant patients: the Korean Organ Transplantation Registry (KOTRY) Study. Sci Rep. 2022; 12 (1): 10682.




Figure 1
Figure 2

2020     |     www.medigraphic.com

Mi perfil

C?MO CITAR (Vancouver)

Rev Mex Traspl. 2024;13