medigraphic.com
SPANISH

Neurología, Neurocirugía y Psiquiatría

ISSN 0028-3851 (Print)
  • Contents
  • View Archive
  • Information
    • General Information        
    • Directory
  • Publish
    • Instructions for authors        
  • medigraphic.com
    • Home
    • Journals index            
    • Register / Login
  • Mi perfil

2023, Number 3

<< Back

Rev Neurol Neurocir Psiquiat 2023; 51 (3)

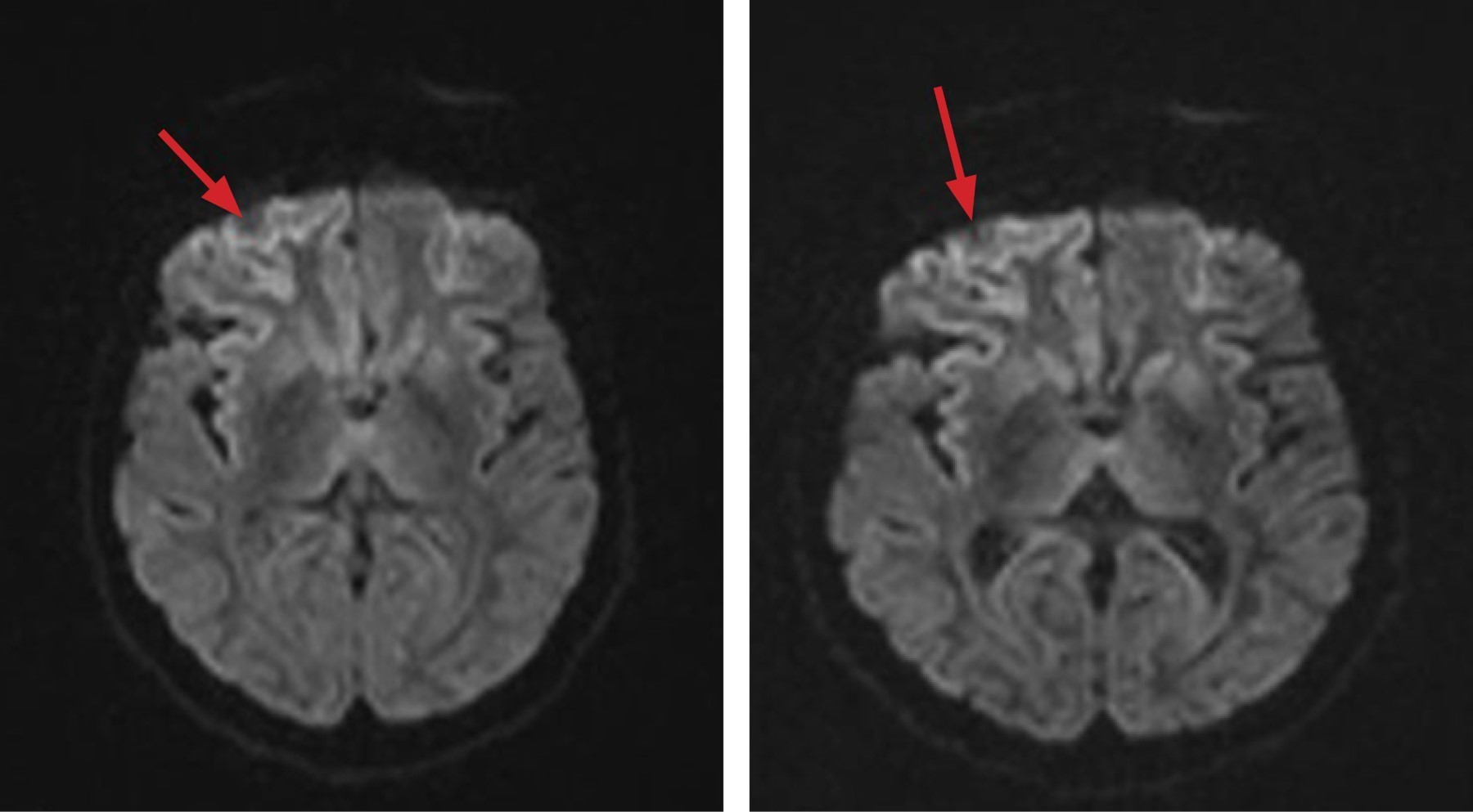
Hyperkinetic syndrome associated with rapidly progressive dementia. Report of a case of Creutzfeldt-Jakob disease in the General Hospital of Mexico

Moreno-Aldama NP, Mercado-Cortés DP
Full text How to cite this article 10.35366/115408

DOI

DOI: 10.35366/115408
URL: https://dx.doi.org/10.35366/115408

Language: Spanish
References: 10
Page: 157-160
PDF size: 155.03 Kb.


Key words:

chorea, rapidly progressive dementia, myoclonus, Creutzfeldt-Jakob disease.

ABSTRACT

Creutzfeldt-Jakob disease (CJD) is a rare neurodegenerative condition with a fatal course; in Mexico its incidence is unknown; establishing the diagnosis is a challenge for the physician in our environment. And it should be suspected in the presence of rapidly progressing dementia associated with myoclonus, cerebellar involvement, visual and psychiatric disorders. The objective of this article is to present the case of a 59-year-old patient who presented with choreiform-type movement disorder and rapidly progressive cognitive impairment.


REFERENCES

  1. Cartier-Rovirosa L. Enfermedad por priones, encefalopatía espongiforme humana y enfermedad de Creutzfeldt-Jakob. Rev Med Chile. 2019; 147 (9): 1176-1183.

  2. Legua-Koc S, Castillo-Torres P, León-Mantero A et al. Enfermedad de Creutzfeldt-Jakob: experiencia de 5 años en un hospital terciario de Chile. Rev Med Chile. 2021; 149 (9): 1285-1291.

  3. Pitarch Fabregat J, García Escriva A, Pellicer Cabo A. Visual disturbance as an initial manifestation of Creutzfeldt-Jakob disease. Med Clin (Barc). 2021; 157 (11): e335-e336.

  4. Gómez Roldós A, Esteban de Antonio E, Pérez-Chirinos Rodríguez M, Pérez Sánchez JR. Refractory status epilepticus in genetic Creutzfeldt-Jakob disease with E200K mutation. Neurologia (Engl Ed). 2020; 35 (9): 712-714.

  5. Mantilla Flórez YF, Muñoz Collazos MA, Pérez Díaz CE, Rodríguez Serrato L, Cañón Bustos S, Tuta EA. Enfermedad de Creutzfeldt-Jakob. Presentación de un caso y revisión de la literatura. Rev. Med. 2019; 27 (2): 103-111.

  6. Ramírez M, Gallardo A, Vidal A et al. Desafíos en el diagnóstico de enfermedad de Creutzfeldt-Jakob: caso clínico. Rev Med Chile. 2016; 144 (6): 796-806.

  7. García-Ortega YE, Bravo-Ruiz OL, Mireles-Ramírez MA, Ramírez-Márquez JJ, Cabrera-Gaytán DA. Enfermedad de Creutzfeldt-Jakob. Med Interna Méx. 2019; 35 (5): 795-801.

  8. Garnés Sánchez CM, López Bernabé R, Miró-Andreu A, Maeztu Sardiña MC, Salmerón-Ato P. Hallazgos electroencefalográficos y polisomnográficos en un paciente con enfermedad de Creutzfeldt-Jakob familiar. Neurología. 2018; 33 (9): 625-628.

  9. Briones-Torres CA, Echeverría-Vargas JA, García-Ramos GS, Noffal-Nuño V, Pérez-Jáuregui J. Estudio de las proteínas 14-3-3 y Tau como biomarcadores en pacientes con enfermedades neurodegenerativas de origen no determinado. Experiencia en el Laboratorio de Patología Clínica de Médica Sur. Med Sur. 2014; 21 (3): 116-119.

  10. Mercado-Flores M, Taboada-Barajas J, González-Patiño MA, Flores-Rivera JJ. Hallazgos por resonancia magnética en demencia rápidamente progresiva, probable enfermedad de priones tipo Creutzfeldt-Jakob forma esporádica. Anales de Radiología México. 2015; 14 (3): 292-298.




Figure 1
Figure 2

2020     |     www.medigraphic.com

Mi perfil

C?MO CITAR (Vancouver)

Rev Neurol Neurocir Psiquiat. 2023;51