medigraphic.com
SPANISH

Medicina Crítica

  • Contents
  • View Archive
  • Information
    • General Information        
    • Directory
  • Publish
    • Instructions for authors        
  • Policies
  • Lineamientos
  • medigraphic.com
    • Home
    • Journals index            
    • Register / Login
  • Mi perfil

2024, Number 1

<< Back Next >>

Med Crit 2024; 38 (1)

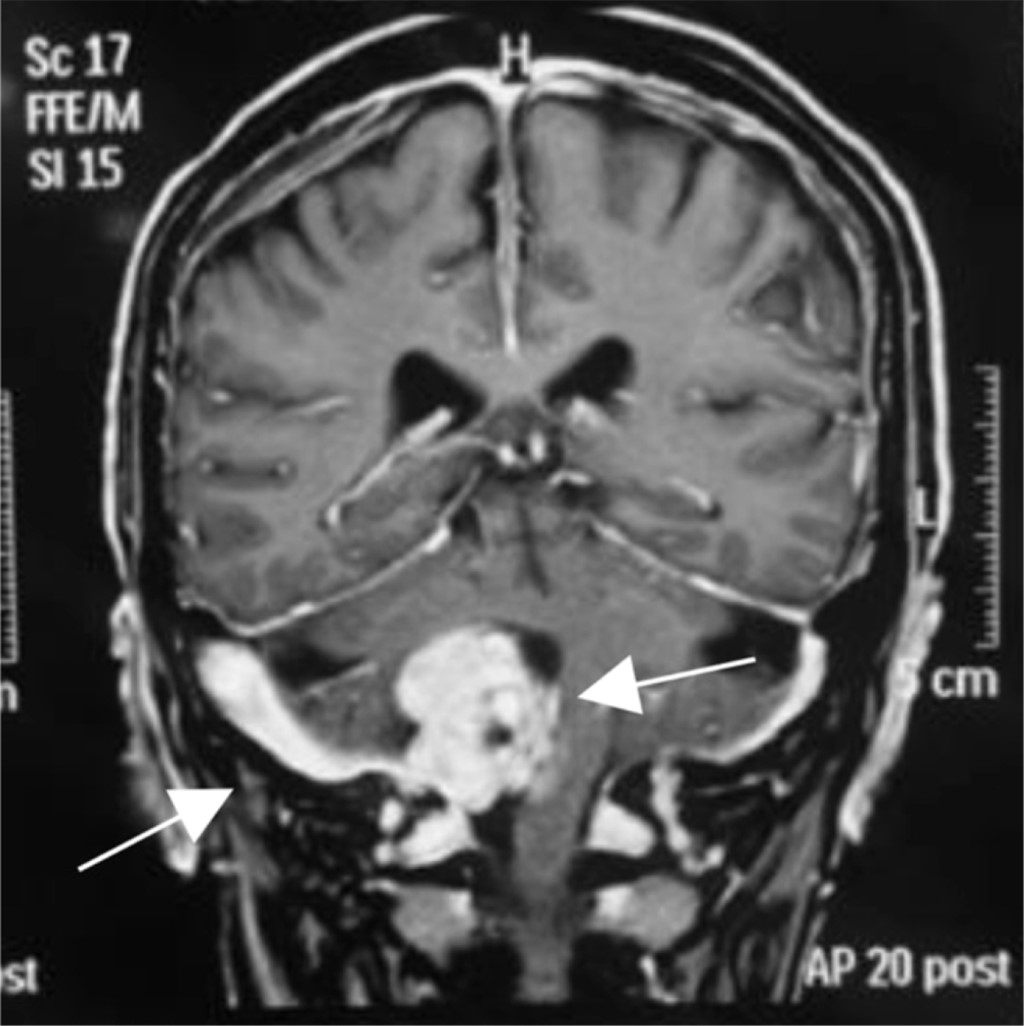
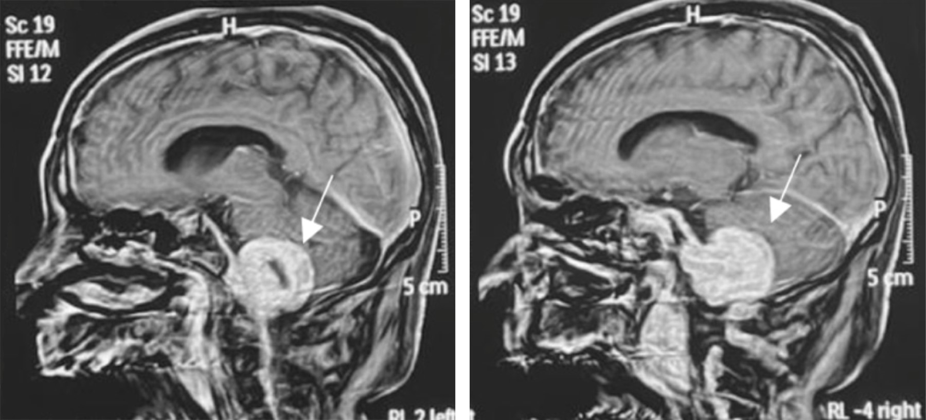
Intra- and extra-cranial vestibular schwannoma: post-arrest finding cardiorespiratory in patient with hearing loss. Case report

Pérez CR, Chávez SO, Jiménez TI, Amaya PV
Full text How to cite this article 10.35366/115682

DOI

DOI: 10.35366/115682
URL: https://dx.doi.org/10.35366/115682

Language: Spanish
References: 16
Page: 57-60
PDF size: 371.29 Kb.


Key words:

vestibular schwannoma, medulla oblongata, cardiopulmonary arrest, hypercapnia.

ABSTRACT

Schwannoma is a benign tumor, originating from Schwann cells in the vestibular component of the eighth cranial nerve in the inner ear, it is slow growing. Schwann cells form the myelin sheath of an axon and originate from neural crest cells that migrate with neurites during nerve growth, supporting neuronal function and regeneration. It commonly presents between the ages of 40 and 60 years and the incidence increases after the age of 65. Vestibular schwannoma represents approximately 8% of all intracranial tumors with an incidence of 10.4 per million per year, also, it represents 85% of intracranial growths that arise in the cerebellopontine angle.


REFERENCES

  1. Lee Alexander G, Nyree G. Radiología de diagnóstico de Grainger & Allison. La Villa y Corte de Madrid: Elsevier España; 2020. pp. 1267-1294.

  2. Tamura R, Toda M. A critical overview of targeted therapies for vestibular schwannoma. Int J Mol Sci [Internet]. 2022;23(10):5462. Available in: https://doi.org/10.3390/ijms23105462

  3. Clark Bilodeau C. Vestibular schwanomma. In: Ferri FF. Ferri's clinical advisor. Philadelphia, USA: Elsevier – Health Sciences Division; 2023. pp. 20-20e.1.

  4. Hannan CJ, Lewis D, O'Leary C, Donofrio CA, Evans DG, Roncaroli F, et al. The inflammatory microenvironment in vestibular schwannoma. Neurooncol Adv [Internet]. 2020;2(1):vdaa023. Available in: https://www.ncbi.nlm.nih.gov/pmc/articles/PMC7212860/

  5. Goldbrunner R, Weller M, Regis J, Lund-Johansen M, Stavrinou P, Reuss D, et al. EANO guideline on the diagnosis and treatment of vestibular schwannoma. Neuro Oncol. 2020;22(1):31-45. doi: 10.1093/neuonc/noz153.

  6. Fisher JL, Pettersson D, Palmisano S, Schwartzbaum JA, Edwards CG, Mathiesen T, et al. Loud noise exposure and acoustic neuroma. Am J Epidemiol [Internet]. 2014;180(1):58-67. Available in: http://dx.doi.org/10.1093/aje/kwu081

  7. Koo M, Lai JT, Yang EY, Liu TC, Hwang JH. Incidence of vestibular schwannoma in Taiwan from 2001 to 2012: a population-based national health insurance study. Ann Otol Rhinol Laryngol [Internet]. 2018;127(10):694-697. Available in: https://doi.org/10.1177/0003489418788385

  8. Gupta VK, Thakker A, Gupta KK. Vestibular schwannoma: what we know and where we are heading. Head Neck Pathol [Internet]. 2020;14(4):1058-1066. Available in: https://dx.doi.org/10.1007/s12105-020-01155-x

  9. Propp JM, McCarthy BJ, Davis FG, Preston-Martin S. Descriptive epidemiology of vestibular schwannomas. Neuro Oncol [Internet]. 2006;8(1):1-11. Available in: https://pubmed.ncbi.nlm.nih.gov/16443943/

  10. Araiza Navarrete JA, Aguirre Amador LA, Escamilla Ocañas CE, Martínez Menchaca HR, Treviño Alanis MG, Rivera Silva G. Schwannoma vestibular. Gaceta Médica México [Internet]. 2012;148:192-193. Disponible en: https://www.anmm.org.mx/GMM/2012/n2/GMM_148_2012_2_192-193.pdf

  11. McKeever PE. Chapter 20 - Immunohistology of the nervous system. In: Dabbs DJ (Ed.). Diagnostic immunohistochemistry. 3rd ed. W.B. Saunders; 2010. pp. 820-889. Available in: https://www.sciencedirect.com/science/article/abs/pii/B9781416057666000248?via%3Dihub

  12. You YP, Zhang JX, Lu AL, Liu N. Vestibular schwannoma surgical treatment. CNS Neurosci Ther [Internet]. 2013;19(5):289-293. Available in: http://dx.doi.org/10.1111/cns.12080

  13. Diéguez Guach RA, Riverón Carralero WJ, Góngora Gómez O, Gómez Vázquez YE, Hernández González E. Bases genéticas, clínicas y terapéuticas del Schwannoma vestibular. 16 de Abril [Internet]. 2019;58(272):51-57. Disponible en: Disponible en: https://www.medigraphic.com/pdfs/abril/abr-2019/abr19272f.pdf

  14. Araya Oviedo A. Trastornos ácido base: diagnóstico y tratamiento. Rev Méd Sinerg [Internet]. 2021;6(2):e647. Disponible en: https://doi.org/10.31434/rms.v6i2.647

  15. Nogués MA, Benarroch E. Alteraciones del control respiratorio y de la unidad motora respiratoria. Neurol Argent [Internet]. 2011;3(3):167-75. Disponible en: https://www.sciencedirect.com/science/article/abs/pii/S1853002811000152

  16. Guyton AC, Hall JE. Tratado de fisiología médica. 14a ed. Madrid: Elsevier; 2021.




Figure 1
Figure 2
Table 1

2020     |     www.medigraphic.com

Mi perfil

C?MO CITAR (Vancouver)

Med Crit. 2024;38