medigraphic.com
SPANISH

Salud Jalisco

ISSN 2448-8747 (Print)
Publicación cuatrimestral editada por la Secretaría de Salud Jalisco
  • Contents
  • View Archive
  • Information
    • General Information        
    • Directory
  • Publish
    • Instructions for authors        
  • medigraphic.com
    • Home
    • Journals index            
    • Register / Login
  • Mi perfil

2024, Number 2

<< Back Next >>

Sal Jal 2024; 11 (2)

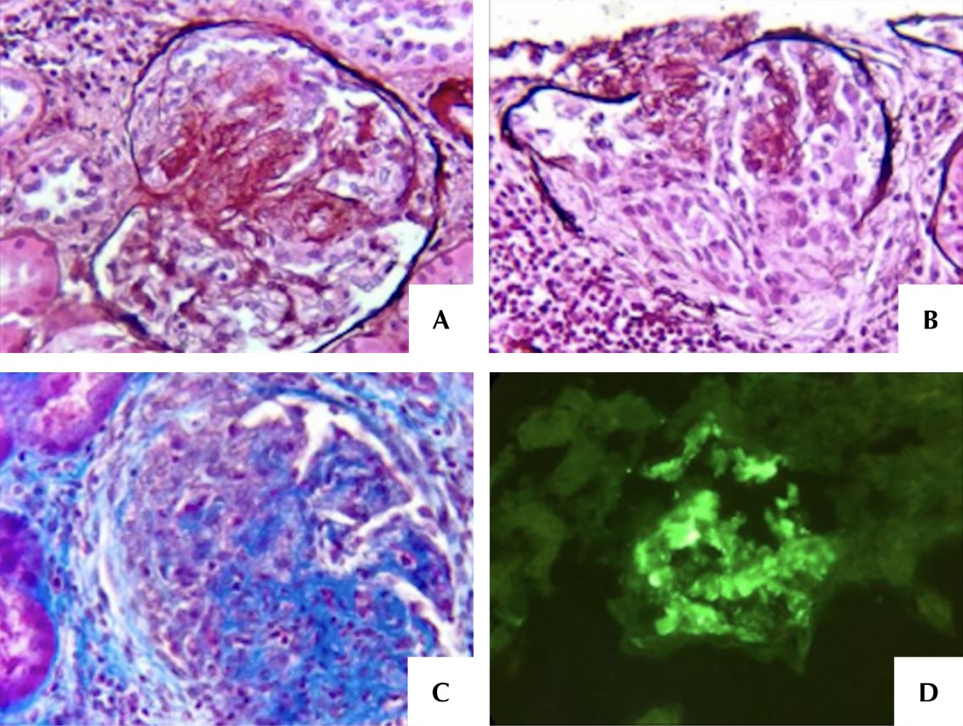
Systemic lupus erythematosus: clinical case presentation with organic complication approach to innovative treatment

Lara-López A, Rosas-Trujillo LB, García-Castañeda FA, Del CMA, Trujillo-Sánchez AU, Vega-Ramírez JR, Del CAP
Full text How to cite this article 10.35366/115691

DOI

DOI: 10.35366/115691
URL: https://dx.doi.org/10.35366/115691

Language: Spanish
References: 10
Page: 105-107
PDF size: 171.74 Kb.


Key words:

systemic lupus erythematosus, organic complication, lupus nephritis, multitarget therapy.

ABSTRACT

Systemic lupus erythematosus is a systemic autoimmune disease of variable severity, with a tendency to present recurrences in the course of it's evolution, it has a female predominance, with a ratio of 10:1. Lupus nephritis is the most frequent severe organic manifestation, it's present in 52% of patients with systemic lupus erythematosus in Latin America, for which it is of great importance to know the new possible treatments for the best care for patients suffering from this affectation.


REFERENCES

  1. Narváez J. Lupus eritematoso sistémico 2020. Medicina Clínica. 2020;155(11):494-501.

  2. Enríquez-Mejía MG. Fisiopatología del lupus eritematoso sistémico. Revista de Medicina e Investigación. 2013;1(1):8-16.

  3. Santacruz JC, Mantilla MJ, Ballesteros JG, Bello JM, Londoño J. Actualización de las terapias disponibles para la nefritis lúpica refractaria. Rev Colomb Reumatol. 2021;1(1):1-21.

  4. Iglesias AE, Ortega LN. Fallo renal en un paciente con lupus eritematoso sistémico. Rev Cubana de Med Gen Integr. 2012;28(3):309-320.

  5. Valdivieso MS, López IM, Gonzales MG, Herdoiza LO. Diagnóstico y tratamiento de la nefritis lúpica. RECIMUNDO. 2019;3(3):410-427.

  6. Ruiz-Arriaga LF, Cano-Aguilar LE, Cruz-Meza S, Díaz-Greene JE, Weber FL. Systemic lupus erythematosus: lupus nephritis, a complication to dismiss. Dermatologia Cosmet Medica y Quir. 2020;17(4):296-302.

  7. Ye F, Wang S, Wang M, Wang H, Guo F, Li G, Liu N. Clinical analysis of multi-target treatment for complex lupus nephritis. Am J Transl Res. 2022;14(1):687-692.

  8. Martín-Gómez M, Frutos Sanz MÁ. La terapia multidiana en el tratamiento de inducción de la nefritis lúpica, ¿incrementa la probabilidad de alcanzar una remisión? Nefrología. 2016;8(1):29-1-94.

  9. Lee YH, Song GG. Multitarget therapy versus monotherapy as induction treatment for lupus nephritis: a meta-analysis of randomized controlled trials. Lupus. 2022;31(12):1468-1476.

  10. Emperiale V, Rubio ER, Cuba JS, Castañeda NG. Lupus eritematoso sistémico (II). Estrategia terapéutica. Medicine-Programa de Formación Médica Continuada Acreditado. 2021;13(31):1751-1759.




Figure 1

2020     |     www.medigraphic.com

Mi perfil

C?MO CITAR (Vancouver)

Sal Jal. 2024;11