medigraphic.com
SPANISH

Cirugía de Columna

ISSN 2992-7749 (Electronic)
ISSN 2992-7897 (Print)
Órgano Oficial de difusión científica de la Asociación Mexicana de Cirujanos de Columna A. C. y de la Sociedad Iberolatinoamericana de Columna. SILACO.

Indizada en:

Scielo
  • Contents
  • View Archive
  • Information
    • General Information        
    • Directory
  • Publish
    • Instructions for authors        
    • Send manuscript
  • Políticas
    • Políticas éticas
    • Políticas de acceso abierto
    • Políticas de revisión de manuscritos
    • Políticas editoriales generales
  • medigraphic.com
    • Home
    • Journals index            
    • Register / Login
  • Mi perfil

2024, Number 2

<< Back Next >>

Cir Columna 2024; 2 (2)

Cervical arthroplasty in degenerative disc disease. Statistical analysis, experience of use and clinical results over a period of 5 years in a private hospital in Spain

García MJE, González MA, Sotelo MIJ, Fuentes RMA, Santos BHA
Full text How to cite this article 10.35366/115856

DOI

DOI: 10.35366/115856
URL: https://dx.doi.org/10.35366/115856

Language: Spanish
References: 34
Page: 79-89
PDF size: 353.52 Kb.


Key words:

cervicalgia, cervical spondylosis, total disk replacement, hybrid cervical arthroplasty.

ABSTRACT

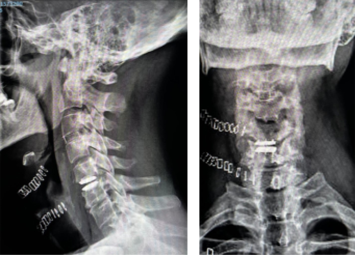
Introduction: cervical spondylosis is a benign disease common in the most productive ages of the population, generating great economic losses and a decrease in the quality of life of patients. Its diagnosis is based on the clinic where the most common are cervical pain, radicular symptoms when there is compression and from imaging studies such as nuclear magnetic resonance and simple cervical X-rays. A surgical treatment option when compressive symptoms are present is cervical arthroplasty in its simple or hybrid modality, whose popularity is not as wide as the use of arthrodesis with cages due to the high costs in comparison, however the results when the placement of the implant properly can be equal to or better than arthrodesis and with advantages in terms of mobility that result in a better quality of life in the long term. Objective: this study aims to present the statistical results that we have obtained in carrying out this technique, the clinical benefits and advantages that we have observed in our study population. Material and methods: a total of 100 patients with a diagnosis of mild-moderate cervical spondylosis by clinical and imaging were evaluated, who underwent arthroplasty in simple or hybrid modality in a private hospital in Madrid, who met the inclusion criteria of satisfactory way. Post-surgical status, average hospital discharge time, refractory symptoms, pain improvement, complications, follow-up time, development of adjacent segment disease, need for reinterventions and impact on physical activities and general quality of life of the patients were evaluated. Results: an affected age range was found from 33 to 74 years, with the majority being women affected in the C5-C6 cervical segment and the most applied intervention was hybrid arthroplasty, a post-surgical and symptom improvement of 95%, with immediate mobilization of patients, an average hospital stay of three days, a low range of adverse effects and a low rate of complications comparable to the global literature, with a satisfactory integration into daily living and physical activities in 94%, with development of adjacent segment disease in two patients and only one of them requiring surgical reintervention. Conclusions: simple and hybrid cervical arthroplasty are a safe, reproducible procedure with very good clinical results, allowing mobility that does not compromise the biomechanics of the cervical spine, being an alternative to arthrodesis that in the long term could have a greater economic benefit for health institutions.


REFERENCES

  1. Shedid D, Benzel EC. Cervical spondylosis anatomy: pathophysiology and biomechanics. Neurosurgery. 2007; 60: S7-S13.

  2. Yu L, Song Y, Yang X, Lv C. Systematic review and meta-analysis of randomized controlled trials: comparison of total disk replacement with anterior cervical decompression and fusion. Orthopedics. 2011; 34: e651-e658. doi: 10.3928/01477447-20110826-09.

  3. Cirera-Volta R. Espondilosis cervical. Rev Esp Reum Enferm Osteoartic. 1956; 6: 558-572.

  4. Karsy M, Bisson EF. Surgical versus nonsurgical treatment of lumbar spondylolisthesis. Neurosurg Clin N Am [Internet]. 2019; 30: 333-340. Available in: https://pubmed.ncbi.nlm.nih.gov/31078234/

  5. Witiw CD, Smieliauskas F, Fehlings MG. Health economics and the management of degenerative cervical myelopathy. Neurosurg Clin N Am [Internet]. 2018; 29: 169-176. Available in: https://pubmed.ncbi.nlm.nih.gov/29173430/

  6. Theodore N. Degenerative cervical spondylosis. N Engl J Med. 2020; 383: 159-168. doi: 10.1056/NEJMra2003558.

  7. Laratta JL, Shillingford JN, Saifi C, Riew KD. Cervical disc arthroplasty: a comprehensive review of single-level, multilevel, and hybrid procedures. Global Spine J [Internet]. 2018; 8: 78-83. Available in: https://pubmed.ncbi.nlm.nih.gov/29456918/

  8. González-Darder JM. Evolución de la artrodesis cervical postdiscectomía: injerto óseo, placa, caja intersomática y placa-caja. Neurocirugía. 2006; 17: 140-147.

  9. Nunley PD, Coric D, Frank KA, Stone MB. Cervical disc arthroplasty: current evidence and real-world application. Neurosurgery [Internet]. 2018; 83: 1087-1106. Available in: https://pubmed.ncbi.nlm.nih.gov/29325074/

  10. De Leo-Vargas R, Muñoz-Romero I, Arch-Tirado E. Experiencia de artroplastía cervical con prótesis PCM en el Centro Neurológico, Centro Médico ABC. An Med Asoc Med Hosp ABC. 2012; 57: 25-31.

  11. Findlay C, Ayis S, Demetriades AK. Total disc replacement versus anterior cervical discectomy and fusion: A systematic review with meta-analysis of data from a total of 3160 patients across 14 randomized controlled trials with both short- and medium- to long-term outcomes. Bone Joint J [Internet]. 2018; 100-B: 991-1001. Available in: https://pubmed.ncbi.nlm.nih.gov/30062947/

  12. Lee SB, Cho KS. Cervical arthroplasty versus anterior cervical fusion for symptomatic adjacent segment disease after anterior cervical fusion surgery: review of treatment in 41 patients. Clin Neurol Neurosurg. 2017; 162: 59-66.

  13. Zou S, Gao J, Xu B, Lu X, Han Y, Meng H. Anterior cervical discectomy and fusion (ACDF) versus cervical disc arthroplasty (CDA) for two contiguous levels cervical disc degenerative disease: a meta-analysis of randomized controlled trials. Eur Spine J [Internet]. 2017; 26: 985-997. Available in: https://pubmed.ncbi.nlm.nih.gov/27314663/

  14. Miao J, Shen Y, Li C, Fang L, Zhang L, Zhang X, et al. Cervical artificial disc replacement with Discover prosthesis does not reduce the midterm risk of heterotopic ossification: Results of a cohort study. Clin Spine Surg [Internet]. 2018; 31: E204-E208. Available in: https://www.ingentaconnect.com/content/wk/clss/2018/00000031/00000003/art00016

  15. Robinson RA, Walker AE, Ferlic DC, Wiecking DK. The results of anterior interbody fusion of the cervical spine. J Bone Joint Surg Am [Internet]. 1962; 44: 1569-1587. Available in: https://journals.lww.com/jbjsjournal/abstract/1962/44080/The_Results_of_Anterior_Interbody_Fusion_of_the.7.aspx

  16. Vital JM, Guérin P, Gille O, Pointillart V. Prótesis discales cervicales. EMC - Téc Quir - Ortop Traumatol [Internet]. 2011; 3: 1-13. Disponible en: http://dx.doi.org/10.1016/s2211-033x(11)71111-2

  17. Vela P, Fiore N. Reemplazo de disco cervical. Programa de Formación Continua AOSpine [citado el 13 de marzo de 2024]. Disponible en: https://www.aolatam.org/ftp/edudatabase/open-files/aos_da_n2m6t6_Vela_esp.pdf

  18. Boden SD, McCowin PR, Davis DO, Dina TS, Mark AS, Wiesel S. Abnormal magnetic-resonance scans of the cervical spine in asymptomatic subjects. A prospective investigation. J Bone Joint Surg Am. 1990; 72: 1178-1184.

  19. García AR, Colet ES, Teixidor RP, Alamar AM, Cladellas PJ, Hostalot PC, et al. Complicaciones del abordaje anterior en la patología de la columna cervical. Neurocirugía (Astur) [Internet]. 2007; 18: 209-220. Disponible en: https://scielo.isciii.es/scielo.php?pid=S1130-14732007000300003&script=sci_arttext&tlng=en

  20. Lee CH, Hong JT, Kang DH, Kim KJ, Kim SW, Kim SW, et al. Epidemiology of iatrogenic vertebral artery injury in cervical spine surgery: 21 multicenter studies. World Neurosurg [Internet]. 2019; 126: e1050-e1054. Available in: http://dx.doi.org/10.1016/j.wneu.2019.03.042

  21. Badiee RK, Mayer R, Pennicooke B, Chou D, Mummaneni PV, Tan LA. Complications following posterior cervical decompression and fusion: a review of incidence, risk factors, and prevention strategies. J Spine Surg. 2020; 6: 323-333.

  22. Memtsoudis SG, Hughes A, Ma Y, Chiu YL, Sama AA, Girardi FP. Increased in-hospital complications after primary posterior versus primary anterior cervical fusion. Clin Orthop Relat Res. 2011; 469: 649-657.

  23. Fountas KN, Kapsalaki EZ, Nikolakakos LG. Anterior cervical discectomy and fusion associated complications. Spine. 2007; 32: 10-17.

  24. Rosenthal BD, McCarthy MH, Bhatt S, Savage JW, Singh K, Hsu WK, et al. A comparison of patient-centered outcome measures to evaluate dysphagia and dysphonia after anterior cervical discectomy and fusion. J Am Acad Orthop Surg. 2019; 27: 848-853.

  25. Robertson JT, Papadopoulos SM, Trayneus VC. Assessment of adjacent segment disease in patients treated with cervical fusion in arthroplasty: a prospective 2 year study. J Neurosurg Spine. 2005; 3: 417-423.

  26. Hilibrand AS, Carlson GD, Palumbo MA, Jones PK, Bohlman HH. Radiculopathy and myelopathy at segments adjacent to the site of a previous anterior cervical arthrodesis. J Bone Joint Surg Am. 1999; 81: 519-528. doi: 10.2106/00004623-199904000-00009.

  27. Baba H, Furusawa N, Imura S, Kawahara N, Tsuchiya H, Tomita K. Late radiographic findings after anterior cervical fusion for spondylotic myeloradiculopathy. Spine (Phila Pa 1976). 1993; 18: 2167-2173.

  28. Kim KD, Coric D, Khachatryan A, Brady BL, Lillehaugen T, McCormack M, et al. A real-world analysis of hybrid CDA and ACDF compared to multilevel ACDF. BMC Musculoskelet Disord [Internet]. 2023; 24: 191. Available in: https://pubmed.ncbi.nlm.nih.gov/36918916/

  29. Mereh C, Suchomel P, Grochulla F, Barsa P, Sourkova P, Hradil J, et al. Heterotopic ossification in total cervical artificial disc replacement. Spine. 2006; 31: 2802-2806.

  30. Suchomel P, Jurak L, Benes Lii V, Brabee R, Bradac O, Elgawhary S. Clinical results and development of heterotopic ossification in total cervical disc replacement during a 4 year follow-up. Eur Spine J. 2010; 19: 307-315.

  31. Hara S, Lonne VV, Aasdahl L, Salvesen O, Solberg T, Gulati S, et al. Return to work after surgery for cervical radiculopathy: A nationwide registry-based observational study. Spine (Phila Pa 1976) [Internet]. 2023; 48: 253-260. Available in: https://journals.lww.com/spinejournal/fulltext/2023/02150/return_to_work_after_surgery_for_cervical.5.as

  32. Goh GS, Yue WM, Guo CM, Tan SB, Chen JLT. Does the predominant pain location influence functional outcomes, satisfaction and return to work after anterior cervical discectomy and fusion for cervical radiculopathy? Spine (Phila Pa 1976) [Internet]. 2021; 46: E568-E575. Available in: https://journals.lww.com/spinejournal/abstract/2021/05150/does_the_predominant_pain_location_influence.7.aspx

  33. Faour M, Anderson JT, Haas AR, Percy R, Woods ST, Ahn UM, et al. Return to work rates after single-level cervical fusion for degenerative disc disease compared with fusion for radiculopathy in a workers' compensation setting. Spine (Phila Pa 1976) [Internet]. 2016; 41: 1160-1166. Available in: https://journals.lww.com/spinejournal/abstract/2016/07150/return_to_work_rates_after_single_level_cervical.17.asp

  34. Ling J, Thirumavalavan J, Shin C, Lee TM, Marco RAW, Hirase T. Postoperative rehabilitation to improve outcomes after cervical spine fusion for degenerative cervical spondylosis: A systematic review. Cureus [Internet]. 2023; 15: e39081. Available in: http://dx.doi.org/10.7759/cureus.39081




Figure 1
Figure 2
Figure 3
Figure 4
Figure 5
Table 1

2020     |     www.medigraphic.com

Mi perfil

C?MO CITAR (Vancouver)

Cir Columna. 2024;2