medigraphic.com
SPANISH

Latin American Journal of Oral and Maxillofacial Surgery

ISSN 2992-7757 (Electronic)
Órgano de difusión de la Asociación Latinoamericana de Cirugía y Traumatología Bucomaxilofacial (ALACIBU)
  • Contents
  • View Archive
  • Information
    • General Information        
    • Directory
  • Publish
    • Instructions for authors        
  • medigraphic.com
    • Home
    • Journals index            
    • Register / Login
  • Mi perfil

2024, Number 2

<< Back Next >>

Lat Am J Oral Maxillofac Surg 2024; 4 (2)

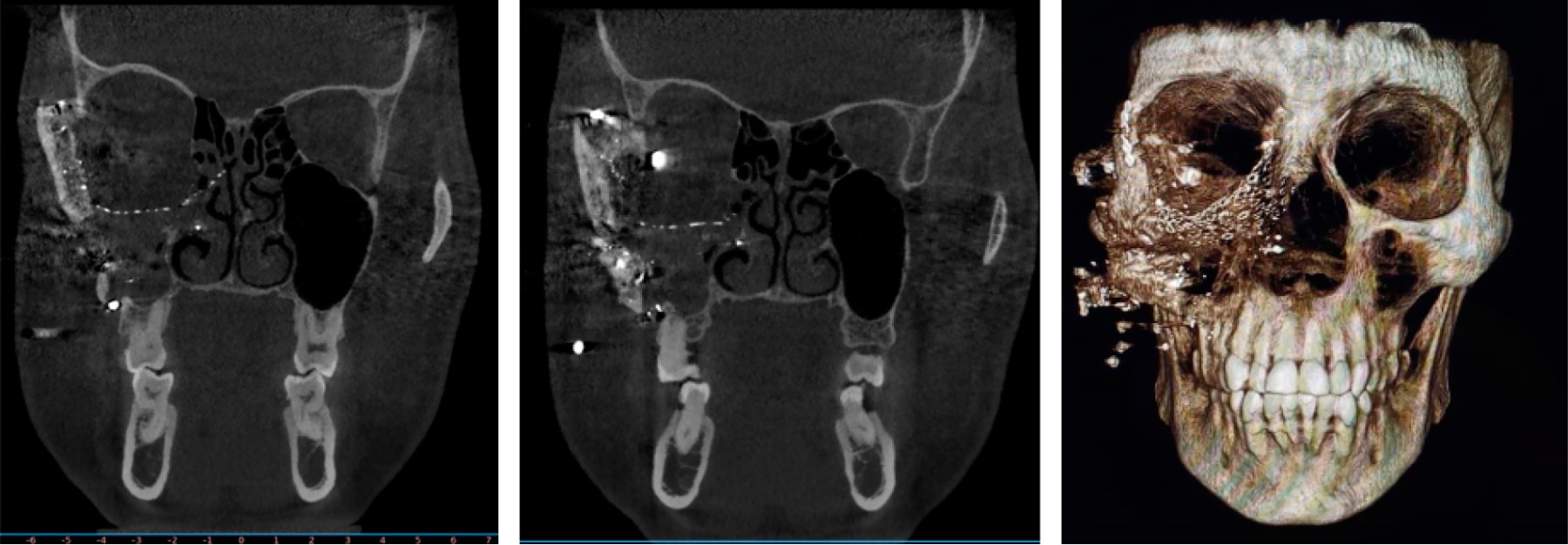
Zygomaticoorbital complex reconstruction with titanium prosthesis: case report

Rodríguez S, Rivas J, Villegas J, García H, Gudiño R, Jaimes J
Full text How to cite this article 10.35366/116725

DOI

DOI: 10.35366/116725
URL: https://dx.doi.org/10.35366/116725

Language: Spanish
References: 5
Page: 73-76
PDF size: 235.89 Kb.


Key words:

zygomatic-orbital complex, reconstruction, titanium, temporalis muscle.

ABSTRACT

Maxillofacial trauma has always been a challenging area for oral and maxillofacial surgeons. Whenever we speak about midface trauma, zygomatic complex is the most common region to treat because of its implications in aesthetic and functional problems that can compromise the nearby eye. In the case of zygomatic complex fractures, most of the time it involves a bone defect in one of its four buttresses, determining the need to reconstruct. Custom made titanium prosthesis offers a lot of advantages in handling and installation, making it easier to adapt in the required region.


REFERENCES

  1. Martínez-Paredes J, Beltrán-Fernández JA, Hernández Gómez LH, Gonzáles-Rebatú M, Rangel-Elizalde AI. Reconstrucción de fosa ocular con prótesis de hidroxiapatita y malla de titanio. Jou Cie Ing. 2014; 6 (1): 53-60.

  2. Olate S, Alister HJP, Chaves Netto DDMH, Jaimes M, Mazzonetto R. Reconstrucción de piso de órbita con malla de titanio en trauma de tercio medio facial. Int J Odontostomat. 2008; 2 (2): 163-170.

  3. Pedemonte C, Sáez F, Vargas I, González LE, Canales M, Salazar K. Can customized implants correct enophthalmos and delayed diplopia in post-traumatic orbital deformities? A volumetric analysis. Int J Oral Maxillofac Surg. 2016; 45 (9): 1086-1094.

  4. Palmieri Jr CF, Ghali GE. Late correction of orbital deformities. Oral Maxillofac Surg Clin North Am. 2012; 24: 649-663.

  5. Potter JK, Malmquist M, Ellis 3rd E. Bio-materials for reconstruction of the internal orbit. Oral Maxillofac Surg Clin North Am. 2012; 24: 609-627.




Figure 1
Figure 2
Figure 3
Figure 4
Figure 5

2020     |     www.medigraphic.com

Mi perfil

C?MO CITAR (Vancouver)

Lat Am J Oral Maxillofac Surg. 2024;4