medigraphic.com
SPANISH

Revista ADM Órgano Oficial de la Asociación Dental Mexicana

ISSN 0001-0944 (Print)
Órgano Oficial de la Asociación Dental Mexicana
  • Contents
  • View Archive
  • Information
    • General Information        
    • Directory
  • Publish
    • Instructions for authors        
    • Send manuscript
  • medigraphic.com
    • Home
    • Journals index            
    • Register / Login
  • Mi perfil

2024, Number 4

<< Back Next >>

Rev ADM 2024; 81 (4)

Esthetic crown lengthening with digital planning using a surgical guide.

Aguado-Arzola MM, Fernández-Ramírez RY, Reyes-Alvarado LA, Díaz-Palomares E, Zarzosa-Soto JM, Díaz-Martínez AD
Full text How to cite this article 10.35366/117353

DOI

DOI: 10.35366/117353
URL: https://dx.doi.org/10.35366/117353

Language: Spanish
References: 11
Page: 220-224
PDF size: 244.61 Kb.


Key words:

esthetic lengthening, surgical guide, digital workflow.

ABSTRACT

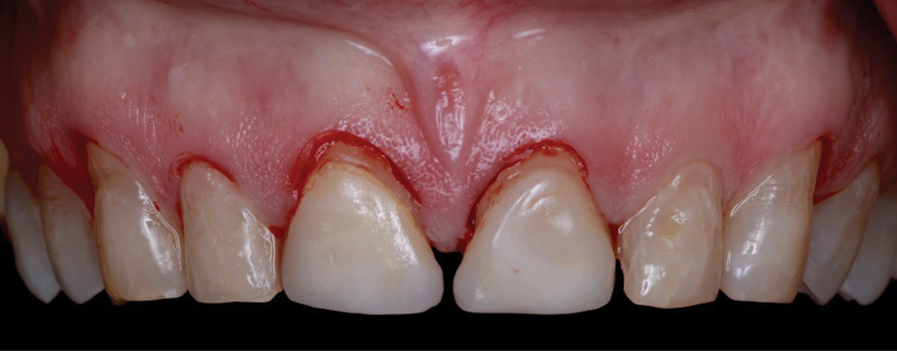
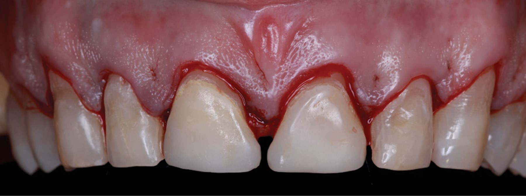
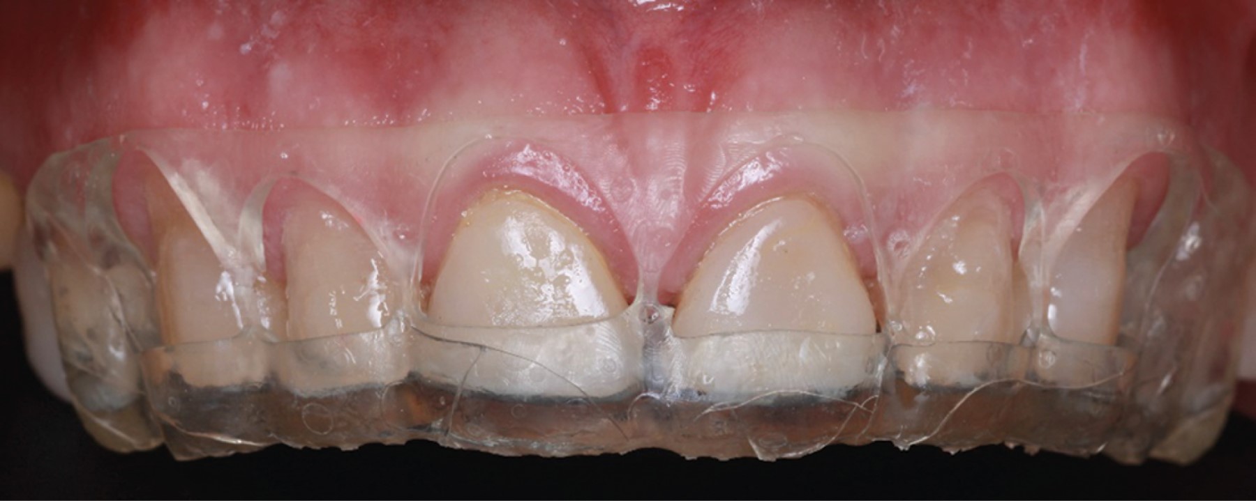
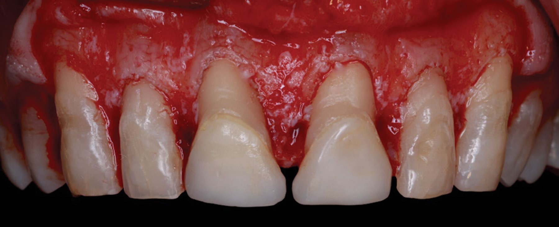
Introduction: crown lengthening for aesthetic purposes aims to reveal an adequate crown length and reduce gingival exposure. The procedure includes gingivectomy and alveolectomy to restore the prosthetically required supracrestal gingival tissue according to physiological dimensions. Through an intraoral scan of the maxilla, mandible, and maximum intercuspidal position, and using specialized software, the shape of the teeth and the gingival contour are digitally designed. This design generates an image of the desired aesthetic restoration for the prosthodontist and periodontist. The physical fabrication of the design is computer-assisted (CAD-CAM), creating a vacuum-formed acrylic resin surgical guide to determine the clinical crown length required in surgery. Objective: the presented interdisciplinary case describes an innovative technique using digital workflow through software that, from an oral scan, digitally designs a Mock-Up used as a guide for periodontal surgery. Case presentation: a 52-year-old ASA I patient attended the Periodontics Master's clinic at Universidad Autónoma de Coahuila (UAdeC) for periodontal surgery with aesthetic purposes. The surgery was performed by placing the Mock-Up in the anterosuperior region as a guide for gingivectomy. Then, a flap was raised before the alveolectomy, considering the length of the supracrestal gingival tissue. Finally, the soft tissues were sutured with a horizontal mattress suture technique. Results: seven days later, the sutures were removed, showing correct and uniform tissue healing. Conclusions: this digital approach offers a significant reduction in surgical time, in addition to satisfactory esthetics and precise gingival architecture.


REFERENCES

  1. Liu X, Yu J, Zhou J, Tan J. A digitally guided dual technique for both gingival and bone resection during crown lengthening surgery. J Prosthet Dent. 2018; 119 (3): 345-349.

  2. Alresheedi B. Digitally guided workflow for the esthetic and prosthetic oral rehabilitation of a patient with excessive gingival display: a case report. Clin Cosmet Investig Dent. 2022; 14: 281-287.

  3. Tohme H, Revilla-León M, Semaan LB, Lawand G. Facially driven guided crown lengthening using a complete digital workflow: a dental technique. J Prosthet Dent. 2024: S0022-3913(24)00059-3.

  4. Coachman C, Valavanis K, Silveira FC, Kahn S, Tavares AD, Mahn E et al. The crown lengthening double guide and the digital Perio analysis. J Esthet Restor Dent. 2023; 35 (1): 215-221.

  5. Caceres ADS, de Almeida SLY, de Marques LC, Gouveia SF, Corvino NM, Varize SEM et al. Corrección de sonrisa gingival: del planeamiento digital a la técnica quirúrgica. Acta Odontológica Venezolana. 2018; 56 (2): 5-6.

  6. Revilla-León M, Zandinejad A, Nair MK, Barmak AB, Feilzer AJ, Ozcan M. Accuracy of a patient 3-dimensional virtual representation obtained from the superimposition of facial and intraoral scans guided by extraoral and intraoral scan body systems. J Prosthet Dent. 2022; 128 (5): 984-993.

  7. Mendoza-Azpur G, Cornejo H, Villanueva M, Alva R, Barbisan de Souza A. Periodontal plastic surgery for esthetic crown lengthening by using data merging and a CAD-CAM surgical guide. J Prosthet Dent. 2022; 127 (4): 556-559.

  8. Passos L, Soares FP, Choi IGG, Cortes ARG. Full digital workflow for crown lengthening by using a single surgical guide. J Prosthet Dent. 2020; 124 (3): 257-261.

  9. Jurado C, Watanabe H, Tinoco JV, Valenzuela HU, Perez GG, Tsujimoto A. A conservative approach to ceramic veneers: a case report. Oper Dent. 2020; 45 (3): 229-234.

  10. Alhumaidan A, Al-Qarni F, AlSharief M, AlShammasi B, Albasry Z. Surgical guides for esthetic crown lengthening procedures: periodontal and prosthetic aspects. J Am Dent Assoc. 2022; 153 (1): 31-38.

  11. Coachman C, Calamita M. Digital Smile Design: A Tool for Treatment Planning and Communication in Esthetic Dentistry. QDT 2012 Quintessence. 35. 1-9. Available in: https://www.researchgate.net/publication/283364980_Digital_Smile_Design_A_Tool_for_Treatment_Planning_and_Communication_in_Esthetic_Dentistry/citation/download




Figure 1
Figure 2
Figure 3
Figure 4
Figure 5
Figure 6
Figure 7

2020     |     www.medigraphic.com

Mi perfil

C?MO CITAR (Vancouver)

Rev ADM. 2024;81