medigraphic.com
SPANISH

Revista ADM Órgano Oficial de la Asociación Dental Mexicana

ISSN 0001-0944 (Print)
Órgano Oficial de la Asociación Dental Mexicana
  • Contents
  • View Archive
  • Information
    • General Information        
    • Directory
  • Publish
    • Instructions for authors        
    • Send manuscript
  • medigraphic.com
    • Home
    • Journals index            
    • Register / Login
  • Mi perfil

2024, Number 5

<< Back

Rev ADM 2024; 81 (5)

Laugier-Hunziker syndrome.

Tobón SJM, Maya GIA, Acuña GGR, Ordoñez CGC, Carrillo SJJ
Full text How to cite this article 10.35366/118114

DOI

DOI: 10.35366/118114
URL: https://dx.doi.org/10.35366/118114

Language: Spanish
References: 16
Page: 295-299
PDF size: 442.00 Kb.


Key words:

Laugier-Hunziker syndrome, idiopathic lenticular mucocutaneous pigmentation, hyperpigmentation, melanonychia.

ABSTRACT

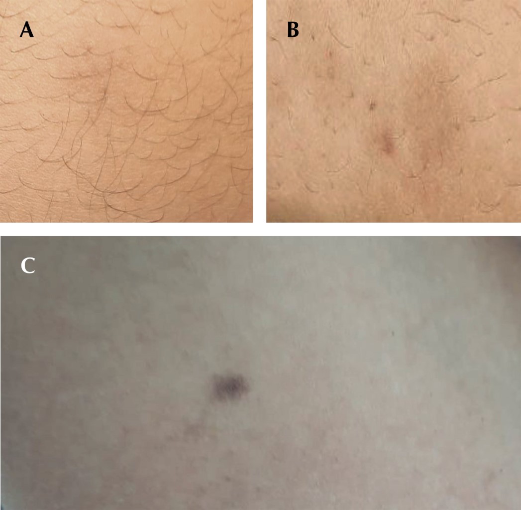
Introduction: benign hereditary mucocutaneous hyperpigmentation with melanonychia in 2/3 of the patients. Objective: dissemination of an infrequent clinical case in oral cavity. Case presentation: patient F/18 years old attends in Diagnostic Clinic at the Faculty Dentistry, UAC 2019; with a previous diagnosis of "oral moniliasis" by Internal Medicine at five years of evolution without improvement despite multiple treatment. During the extraoral examination, macules are detected in axillary/abdomen area and intraorally, there are multiple dark brown to black macules on both cheeks, ventral, and dorsal areas of the tongue with a "whitish plaque" that superficially covers the back of the tongue. Conclusion: there are infrequent entities characterized by "white plaques" of a genetic nature in oral cavity. The knowing them avoids diagnostic error and inappropriate treatment.


REFERENCES

  1. Wei Z, Li GY, Ruan HH, Zhang L, Wang WM, Wang X. Laugier-Hunziker syndrome: A case report. J Stomatol Oral Maxillofac Surg [Internet]. 2018; 119 (2): 158-160. Available in: http://dx.doi.org/10.1016/j.jormas.2017.12.003

  2. Das A, Barman P, Mondal A, Kumar P. Laugier–Hunziker syndrome revisited. Indian J Dermatol [Internet]. 2016; 61 (3): 338. Available in: http://dx.doi.org/10.4103/0019-5154.182429

  3. Díaz-Franco MA, Mancheno-Valencia A, Vega-Memije ME, Mosqueda-Taylor A. Síndrome de Laugier-Hunziker: reporte de seis casos e importancia del diagnóstico diferencial. Cienc Clin [Internet]. 2014; 15 (2): 55-61. Disponible en: http://dx.doi.org/10.1016/j.cc.2015.08.004

  4. Síndrome de poliposis juvenil. Gastroenterol Hepatol Contin [Internet]. 2010; 9 (2): 60-63. Disponible en: http://dx.doi.org/10.1016/s1578-1550(10)70013-9

  5. Nayak R, Kotrashetti V, Hosmani J. Laugier-Hunziker syndrome. J Oral Maxillofac Pathol [Internet]. 2012; 16 (2): 245-250. Available in: http://dx.doi.org/10.4103/0973-029x.99079

  6. Siponen M, Salo T. Idiopathic lenticular mucocutaneous pigmentation (Laugier-Hunziker syndrome): a report of a case. Oral Surg Oral Med Oral Pathol Oral Radiol Endod [Internet]. 2003; 96 (3): 288-292. Available in: http://dx.doi.org/10.1016/s1079-2104(03)00295-6

  7. Cusick EH, Marghoob AA, Braun RP. Laugier-Hunziker syndrome: a case of asymptomatic mucosal and acral hyperpigmentation. Dermatol Pract Concept [Internet]. 2017; 7 (2): 27-30. Available in: http://dx.doi.org/10.5826/dpc.0702a05

  8. Zaki H, Sabharwal A, Kramer J, Aguirre A. Laugier-Hunziker syndrome presenting with metachronous melanoacanthomas. Head Neck Pathol [Internet]. 2019; 13 (2): 257-263. Available in: http://dx.doi.org/10.1007/s12105-018-0897-3

  9. Nevozinskaya Z, Korsunskaya I, Sakaniya L, Perlamutrov Y, Sobolev V. Peutz-Jeghers syndrome in dermatology. Acta Dermatovenerol Alp Panonica Adriat [Internet]. 2019; 28 (3): 135-137. Available in: http://dx.doi.org/10.15570/actaapa.2019.33

  10. Dantas TS, Nascimento IVD, Verde MEQL, Alves APNN, Sousa FB, Mota MRL. Multifocal oral melanoacanthoma associated with Addison's disease and hyperthyroidism: a case report. Arch Endocrinol Metab [Internet]. 2017; 61 (4): 403-407. Available in: http://dx.doi.org/10.1590/2359-3997000000273

  11. Sarkozy A, Digilio MC, Dallapiccola B. Leopard syndrome. Orphanet J Rare Dis [Internet]. 2008; 3: 13. Available in: http://dx.doi.org/10.1186/1750-1172-3-13

  12. Duong BT, Winship I. The role of STK 11 gene testing in individuals with oral pigmentation. Australas J Dermatol. 2017; 58 (2): 135-138.

  13. Aytekin S, Alp S. Laugier-Hunziker syndrome associated with actinic lichen planus. J Eur Acad Dermatol Venereol [Internet]. 2004; 18 (2): 221-223. Available in: http://dx.doi.org/10.1111/j.1468-3083.2004.00876.x

  14. Yamamoto O, Yoshinaga K, Asahi M, Murata I. A Laugier-Hunziker syndrome associated with esophageal melanocytosis. Dermatology [Internet]. 1999; 199 (2): 162-164. Available in: http://dx.doi.org/10.1159/000018227

  15. Fukushima Y, Matsuse Y, Yamamoto M, Sato J, Sakai N, Seto K. Two cases of Laugier-Hunziker-Baran syndrome. Jpn J Oral Maxillofac Surg [Internet]. 2004; 50 (10): 620-623. Available in: http://dx.doi.org/10.5794/jjoms.50.620

  16. Abid MB, Mughal P, Abid MA. Anaemia with Laugier-Hunziker syndrome: a diagnostic dilemma. Singapore Med J. 2017; 58 (5): 281.




Figure 1
Figure 2
Figure 3
Figure 4
Figure 5
Table 1

2020     |     www.medigraphic.com

Mi perfil

C?MO CITAR (Vancouver)

Rev ADM. 2024;81