medigraphic.com
SPANISH

Revista Mexicana de Ortopedia Pediátrica

ISSN 2007-087X (Print)
Órgano Oficial de la Sociedad Mexicana de Ortopedia Pediátrica
  • Contents
  • View Archive
  • Information
    • General Information        
    • Directory
  • Publish
    • Instructions for authors        
  • medigraphic.com
    • Home
    • Journals index            
    • Register / Login
  • Mi perfil

2024, Number 1-3

<< Back Next >>

Rev Mex Ortop Ped 2024; 26 (1-3)

Myositis ossificans in children: a case series and literature review

Garrido-Rojo R, Fuertes-Lanzuela M, Simón-Pérez V, Deserio-Cuesta JA, García-Chamorro M, Salom-Taverner M
Full text How to cite this article 10.35366/118241

DOI

DOI: 10.35366/118241
URL: https://dx.doi.org/10.35366/118241

Language: Spanish
References: 11
Page: 25-31
PDF size: 875.29 Kb.


Key words:

myositis ossificans, tumor, circumscribed, dystrophic calcification, ossification.

ABSTRACT

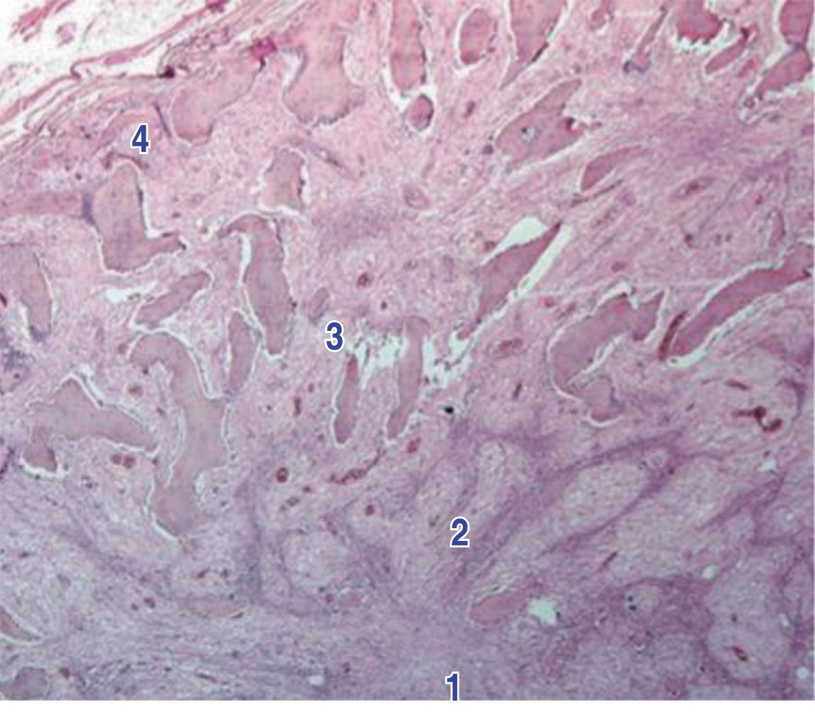
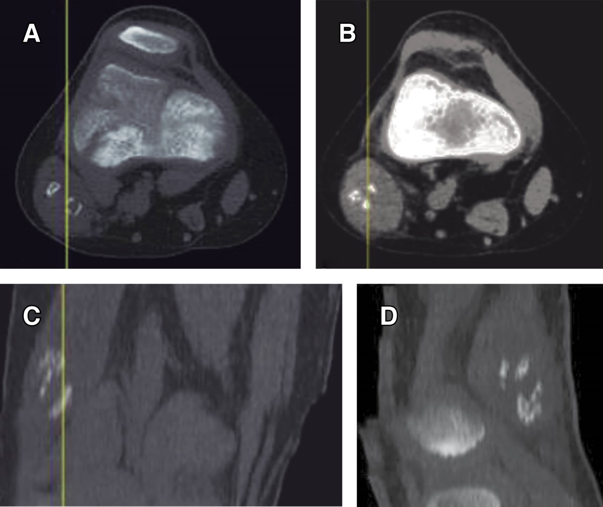
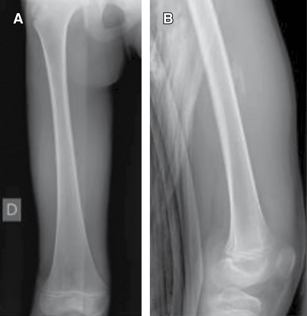
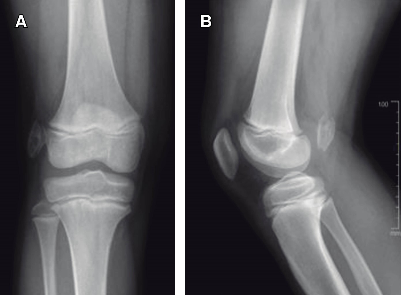
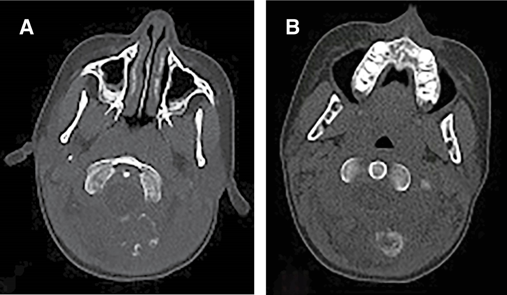
Introduction: myositis ossificans (MO) is described as a non-neoplasic heterotopic bone formation at soft tissues and muscle. It is a rare entity in children, but it must be included within the differential diagnosis of a malignant tumor or an infection. Material and methods: the objective of this retrospective study is to describe three clinical cases of circumscribed myositis ossificans; the first one is a 10-year-old girl with a post-traumatic cervical injury, the second one is an 11-year-old boy with an atraumatic-type distal thigh injury, and the third one is an 8-year-old boy with a post-traumatic right thigh tumor. Results: the diagnosis was made on the basis of the clinical presentation, radiologic imaging and histopathological findings. The results obtained by conservative treatment were good in all cases, with resolution of pain and progressive reduction in size of lesions, without registering complications during follow-up. Conclusion: myositis ossificans is a rare entity, whose diagnosis is usually complex and may require a multidisciplinary team, and whose prognosis is nevertheless favorable.


REFERENCES

  1. Sferopoulos NK, Kotakidou R, Petropoulos AS. Myositis ossificans in children: a review. Eur J Orthop Surg Traumatol. 2017; 27(4): 491-502.

  2. Gindele A, Schwamborn D, Tsironis K, Benz-Bohm G. Myositis ossificans traumatica in young children: report of three cases and review of the literature. Pediatr Radiol. 2000; 30(7): 451-459.

  3. Micheli A, Trapani S, Brizzi I, Campanacci D, Resti M, de Martino M. Myositis ossificans circumscripta: a paediatric case and review of the literature. Eur J Pediatr. 2009; 168(5): 523-529.

  4. Paterson DC. Myositis ossificans circumscripta. Report of four cases without history of injury. J Bone Joint Surg Br. 1970; 52(2): 296-301.

  5. Goldman AB. Myositis ossificans circumscripta: a benign lesion with a malignant differential diagnosis. AJR Am J Roentgenol. 1976; 126(1): 32-40.

  6. Ogilvie-Harris DJ, Fornasier VL. Pseudomalignant myositis ossificans: heterotopic new-bone formation without a history of trauma. J Bone Joint Surg Am. 1980; 62(8): 1274-1283.

  7. Tyler P, Saifuddin A. The imaging of myositis ossificans. Semin Musculoskelet Radiol. 2010; 14(2): 201-216.

  8. Hanquinet S, Ngo L, Anooshiravani M, Garcia J, Bugmann P. Magnetic resonance imaging helps in the early diagnosis of myositis ossificans in children. Pediatr Surg Int. 1999; 15(3-4): 287-289.

  9. Amendola MA, Glazer GM, Agha FP, Francis IR, Weatherbee L, Martel W. Myositis ossificans circumscripta: computed tomographic diagnosis. Radiology. 1983; 149(3): 775-779.

  10. Ragunanthan N, Sugavanam C. Pseudomalignant myositis ossificans mimicking osteosarcoma: a case report. J Orthop Surg (Hong Kong). 2006; 14(2): 219-221.

  11. Spencer JD, Missen GA. Pseudomalignant heterotopic ossification ("myositis ossificans"). Recurrence after excision with subsequent resorption. J Bone Joint Surg Br. 1989; 71(2): 317-319.



EVIDENCE LEVEL

III




Figure 1
Figure 2
Figure 3
Figure 4
Figure 5
Figure 6
Figure 7
Figure 8
Figure 9
Figure 10
Figure 11
Figure 12

2020     |     www.medigraphic.com

Mi perfil

C?MO CITAR (Vancouver)

Rev Mex Ortop Ped. 2024;26