medigraphic.com
SPANISH

Cirujano General

ISSN 2594-1518 (Electronic)
ISSN 1405-0099 (Print)
  • Contents
  • View Archive
  • Information
    • General Information        
    • Directory
  • Publish
    • Instructions for authors        
    • Send manuscript
  • medigraphic.com
    • Home
    • Journals index            
    • Register / Login
  • Mi perfil

2024, Number 2

<< Back Next >>

Cir Gen 2024; 46 (2)

Gallbladder adenocarcinoma and Mirizzi syndrome

Cruz Cruz, Gustavo1,2; Pérez Ordaz, Roberto1,3; Ramos Montes de Oca, Alexis Yael1,4
Full text How to cite this article 10.35366/118281

DOI

DOI: 10.35366/118281
URL: https://dx.doi.org/10.35366/118281

Language: English/Spanish [Versi?n en espa?ol]
References: 15
Page: 118-122
PDF size: 342.81 Kb.


Key words:

gallstone disease, gallbladder cancer, Mirizzi syndrome, cholangiopancreatography, abdominal ultrasound, choledocholithiasis.

ABSTRACT

Mirizzi syndrome and gallbladder cancer are two rare entities associated with gallbladder lithiasis, there is little evidence about the increased risk of this association, any older patient with atypical data should be suspected malignancy. The diagnosis is usually postoperative, approximately 1% of cases are performed in the transoperative by the general surgeon who should know the attitude to take to the findings; various procedures such as radical treatment, biliodigestive bypass or even leakage procedures are options to be considered in the face of incidental findings, timely referral is the best option in most cases. The prognosis is poor, with survival of less than 18 months due to advanced disease. We present the case of a 64-year-old male, the atypical data make us suspect malignancy, the patient is diagnosed with Mirizzi syndrome type 2 in the transoperative, pathological anatomy reports moderately differentiated adenocarcinoma, the patient refuses all types of treatment, and the follow up is lost. We reviewed the case and management according to the updated bibliography.



ABBREVIATIONS:

  • ALT = alanine aminotransferase.
  • AST = aspartate aminotransferase.
  • BDB = bile duct bypass.
  • CA 19-9 = carbonic anhydrase 19-9.
  • CBD = common bile duct.
  • CC = cystic duct.
  • CH = hepatic duct.
  • CRP = C-reactive protein.
  • ERCP = endoscopic retrograde cholangiopancreatography.
  • FA = alkaline phosphatase.
  • GB = gallbladder.
  • GBCA = gallbladder cancer.
  • GBL = vesicular lithiasis.
  • HB = Hartmann's bag.
  • MS = Mirizzi syndrome.



INTRODUCTION

Mirizzi syndrome (MS) and gallbladder cancer (GBCA) are rare complications of gallbladder lithiasis (GL), and their association is poorly understood. MS is recognized as a significant risk factor for developing GBCA.1 Preoperative diagnosis is usually suspected in jaundiced, older patients with atypical symptoms. Magnetic resonance cholangiography is the study of choice in these cases, as it assesses the origin of jaundice; the association with obstruction-fistulation not only delimits the characteristics of the biliary tract but also the extent of the disease in the case of GBCA.2

Intraoperative diagnosis is rare, occurring in less than 0.5% of cases. It is essential to know the staging of the malignant disease, either pre or postoperatively, as it helps to understand the surgical treatment and the need for systemic therapy.2,3

The prognosis is poor, with survival of less than 18 months; most diagnoses are made with the postoperative histopathological examination, and most patients are candidates for reoperation to complete an extended cholecystectomy with lymph node dissection or even a hepatectomy of the IV/V lobes IV/V.4,5



PRESENTATION OF THE CASE

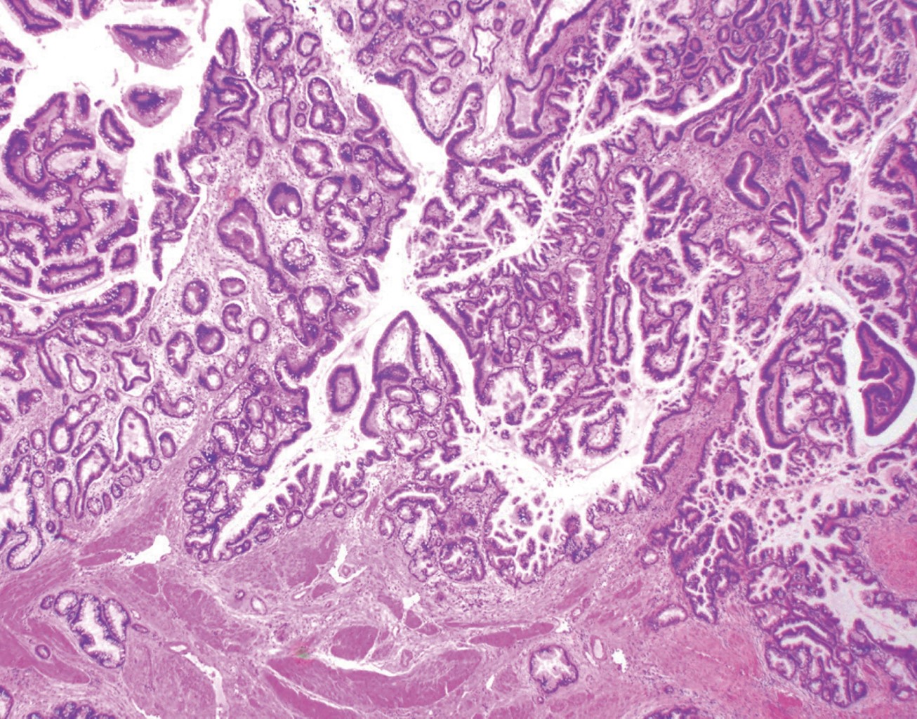
A 64-year-old male began his illness with jaundice and denied other symptoms. It is noteworthy that he had it for at least three days before he arrived at the emergency room; his physical examination was without alterations, and his lab tests showed total bilirubin of 25 mg/dl, direct bilirubin of 22 mg/dl, alkaline phosphatase 235 IU/l, gamma-glutamyl transferase 157 IU/l, creatinine 2.5 mg/dl, and the rest of the test were within normal limits. An abdominal ultrasound was performed, which reported an ill-defined gallbladder and dilatation of the biliary tract of 19 mm (Figure 1); a 12 mm bile duct stone was observed in the common bile duct. The diagnosis of choledocholithiasis was done. Tumor markers were requested, with a report of CA 19-9 > 8,000 IU; cholangioresonance was performed, which showed bile duct dilatation (bile duct) of 20 mm and a 16 mm stone at the level of the ampulla. No morphology of the gallbladder (GBV) was reported. The patient was a candidate for endoscopic retrograde cholangiopancreatography (ERCP), according to the Gastroenterology service. ERCP was performed without being able to extract the lithium, and the patient was scheduled for cholecystectomy with an exploration of the biliary tract; the transoperative examination revealed biliperitoneum, lysis of the GB, a cholecystocoledochobiliary fistula (Figure 2) and a single 15 mm stone; a T probe was placed. Since there was no hepatopancreaticobiliary surgeon a definitive repair was not performed. A transoperative cholangiography revealed passage of contrast material to the duodenum without apparent leakage through the fistulous orifice (Figure 3). The patient had a favorable postoperative evolution; the drainage through a T catheter was an average of 500 ml per day with progressive decrease, with the improvement of hyperazoemia and a urinary flow greater than 0.5 ml/kg/h. A postoperative cholangiography showed no leaks with the passage of the contrast medium to the duodenum. The pathology report revealed a moderately differentiated adenocarcinoma of the gallbladder with muscular infiltration (Figure 4). The patient refused medical treatment and decided to voluntary discharge; he understood and accepted the risks and was lost for follow-up.



DISCUSSION

Kehr first mentioned it in 1905, then Ruge in 1908, and finally Pablo Mirizzi in 1948. However, Mirizzi described an external compression of the hepatic duct (HD) or common bile duct in the context of an impacted stone in the neck of the GB or cystic duct (CD).5

Mirizzi syndrome (MS) and gallbladder cancer (GBCA) occur in 4 and 1% of cases of uncomplicated gallbladder lithiasis. Up to 5% of MS cases are associated with GBCA.5

Known risk factors for GBCA are GB lithiasis, age older than 50 years, MS, and xanthogranulomatous cholecystitis.1

MS is defined as a compression of the common bile duct (CBD) or hepatic duct (HD), with or without some degree of cholecystobiliary fistula and, in some cases, a cholecystoenteric fistula, which results from stone impaction in the Hartmann's pouch (HP) or the CBD.6

In our service, we have reported cases of Mirizzi syndrome with cholecystoenteric fistula. However, pathology has not demonstrated malignancy in any other reported case of MS.

Gallbladder lithiasis is a key condition, as it leads to chronic inflammation with subsequent alterations of the gallbladder wall and surrounding structures such as the Calot's triangle, hepatoduodenal ligament, and even the intestinal wall; edema, adhesions, fibrosis, and perforation-fistulation are the key events in the development of MS, choledocholithiasis, cholecystoenteric fistula biliary ileus, and GBCA.

The clinical picture is a product of the torpid evolution (compression-fistulation, acute inflammation, incomplete remission, chronic inflammation, dysplasia) along with the clinical manifestations (Table 1), the laboratory, imaging, and transoperative findings, and the degree of complexity in the treatment (such as the subsequent risk of bile duct bypass [BDBP]) such as subtotal cholecystectomy, liver resection and/or temporary bile duct bypass.

In this case, the sudden onset of jaundice, which initially made us think of cholangiocarcinoma or pancreatic cancer, was noteworthy, as well as the absence of previous symptoms.

There are multiple classifications regarding MS, such as Cortelle's of 1975 and McSherry's of 1982. The classification of Csendes (1989) is a modification of McSherry's and divides it into four stages: type 1 obstruction of the CBV, type 2, 3, and 4 with some degree of cholecystocoledochal fistula. Beltrán (2008) adds a fifth category for bilioenteric fistulas and subdivides this situation into Va and Vb (the latter complicated with biliary ileus).7

On the other hand, GBCA is the most frequent cancer of the biliary tract, 80% concerning cholangiocarcinoma; it is more commonly found in the fundus (60%), body (30%), and neck (10%) or the GB; the most frequent histological type is adenocarcinoma. It is considered invasive when it surpasses the muscularis propria, that is, stages T1a (Figure 4). Frequently, some cases are found with perforation of the visceral peritoneum and invasion of adjacent organs; however, intraoperative diagnosis and radical treatment are only performed in less than 1% of the cases.8-10

Laboratory tests such as blood cell count, C-reactive protein (CRP), alanine aminotransferase (ALT), aspartate aminotransferase (AST), direct bilirubin, alkaline phosphatase (ALP), and gamma-glutamyl transpeptidase, are not specific or sensitive enough to predict the degree of complication or discriminate between them.

Although not diagnostic, CA 19-9 (carbonic anhydrase 19-9), with a specificity of 90% and sensitivity of 50%, is usually elevated in cases of MS; however, it is elevated in most cases of MS associated with GBCA (above 1,000 IU/ml).11,12

We decided to perform the CA 19-9 study since choledocholithiasis led us to think of asymptomatic gallbladder lithiasis. The evaluation of oncologic surgery and gastroenterology suggested continuing the diagnostic protocol. On rare occasions, the CA 19-9 may be elevated in benign pathology such as adenomyosis.13,14

In general, preoperative diagnosis is difficult; it is usually suspected in older patients with right hypochondrium pain and atypical symptoms. Ultrasound is not very sensitive in detecting findings, as it has accuracy as low as 11% in some reported series. Some authors mention suggestive data for MS: atrophic GB, dilatation of the HD with normal caliber of the GBCD (92%). Other indirect data are dilatation of the GBCD greater than 7 millimeters, with or without a stone greater than 10 mm in CBV, pneumobilia, and Hartmann's stone.7

In the case of GBCA, calcifications, luminal invasion, loss of the liver-vesicle interface, direct hepatic infiltration, irregular wall, and vesicular polyps larger than 10 mm are the known findings.3 Ultrasound is not helpful to assess the stage, i.e., the extent of the disease.

The presence of stones alone, regardless of the episode, makes it more likely to find symptomatic choledocholithiasis as a complication as the cause of jaundice. With a diagnostic accuracy of up to 90% preoperatively (superior to ERCP), it delineates typical features of the syndrome, such as stone in the HC or Gallbladder duct with dilatation of the HC and presence or absence of dilatation of the CBV (depending on its location). In the case of CAVB, there tends to be low signal uptake in T2. The hepatic extension, vascular involvement (hepatic artery and portal vein), and lymphatic extension are assessed.2

In our service, we decided to perform cholangioresonance imaging since it is considered within the imaging studies in suspected choledocholithiasis. According to the American Association of Gastroenterology and Endoscopy, it is noteworthy that the patient did not present free fluid or collections in the gallbladder.

Both situations can be treated with minimally invasive surgery; however, the complexity of these cases favors conversion to conventional surgery.

The gold standard remains tumor resection surgery, which is considered curative in the early stages of the disease.

MS type I and non-invasive GBCA (Tis, T1) share the same treatment: cholecystectomy. For the former, the risk of GBD increases with the kind of adhesions between the GB and the bile duct cancer (GBCA).

In advanced cases, the same treatment consists of liver resection with or without bilioenteric diversion, even in the most advanced stages.15 In both cases, management is multidisciplinary; it is important to determine the conduct to follow according to the diagnosis, whether pre-, trans, and postoperative, the extent of the disease, and the need for surgery and pre or postoperative systemic treatment.4,5

The Oncologic Surgery Service suggested reintervention to complete radical treatment, as well as to determine the extent of the disease since the intraoperative findings showed non-advanced disease; however, the patient refused to continue treatment.

The prognosis in both cases is poor, with deterioration of quality of life; survival in GBCA invasive stages is less than 18 months.



CONCLUSIONS

Mirizzi's syndrome and gallbladder cancer are rare entities, both associated with gallbladder lithiasis; their coexistence is an even less common event; although the preoperative diagnosis of both is difficult, the general surgeon should always be attentive to findings suggestive of both, which force to perform more radical leakage procedures that allow the patient to be evaluated in a high specialty center.


REFERENCES

  1. Prasad TL, Kumar A, Sikora SS, Saxena R, Kapoor VK. Mirizzi syndrome and gallbladder cancer. J Hepatobiliary Pancreat Surg. 2006; 13: 323-326.

  2. Kulkarni SS, Hotta M, Sher L, Selby RR, Parekh D, Buxbaum J, et al. Complicated gallstone disease: diagnosis and management of Mirizzi syndrome. Surg Endosc. 2017; 31: 2215-2222.

  3. Nishio H, Kamiya J, Nagino M, Uesaka K, Sano T, Nimura Y. Biliobiliary fistula associated with gallbladder carcinoma. Br J Surg. 2000; 87: 1656-1657.

  4. Hickman L, Contreras C. Gallbladder cancer: diagnosis, surgical management, and adjuvant therapies. Surg Clin North Am. 2019; 99: 337-355.

  5. Krell RW, Wei AC. Gallbladder cancer: surgical management. Chin Clin Oncol. 2019; 8: 36.

  6. Schmidt MA, Marcano-Bonilla L, Roberts LR. Gallbladder cancer: epidemiology and genetic risk associations. Chin Clin Oncol. 2019; 8: 31.

  7. Lai W, Yang J, Xu N, Chen JH, Yang C, Yao HH. Surgical strategies for Mirizzi syndrome: A ten-year single center experience. World J Gastrointest Surg. 2022; 14: 107-119.

  8. Varshney VK, Bharti JN, Sureka B, Soni SC. Gallbladder carcinosarcoma with Mirizzi syndrome: a rare presentation. J Gastrointest Cancer. 2019; 50: 997-1000.

  9. Cruz J, Matos AP, Neta JO, Ramalho M. Carcinosarcoma of the gallbladder-an exceedingly rare tumour. BJR Case Rep. 2016; 2: 20160019.

  10. Okumura K, Gogna S, Gachabayov M, Felsenreich DM, McGuirk M, Rojas A et al. Gallbladder cancer: historical treatment and new management options. World J Gastrointest Oncol. 2021; 13: 1317-1335.

  11. Nishimura A, Shirai Y, Hatakeyama K. High coincidence of Mirizzi syndrome and gallbladder carcinoma. Surgery. 1999; 126: 587-588.

  12. Robertson AG, Davidson BR. Mirizzi syndrome complicating an anomalous biliary tract: a novel cause of a hugely elevated CA19-9. Eur J Gastroenterol Hepatol. 2007; 19: 167-169.

  13. Moshref LH, Mandili RA, Almaghrabi M, Abdulwahab RA, Alosaimy RA, Miro J. Elevation of CA 19-9 in Mirizzi syndrome in the absence of malignancy: a case report. Am J Case Rep. 2021; 22: e931819.

  14. Gamboa AC, Maithel SK. The landmark series: gallbladder cancer. Ann Surg Oncol. 2020; 27: 2846-2858.

  15. Roa JC, García P, Kapoor VK, Maithel SK, Javle M, Koshiol J. Gallbladder cancer. Nat Rev Dis Primers. 2022; 8: 69.



AFFILIATIONS

1 General Hospital of Matamoros. Tamaulipas, Mexico.

2 Fourth-year resident in General Surgery.

3 Third-year resident in General Surgery.

4 Second-year resident in General Surgery.



CORRESPONDENCE

Gustavo Cruz Cruz, MD. E-mail: folowill93@gmail.com




Received: 04/24/2023. Accepted: 04/02/2024

Figure 1
Figure 2
Figure 3
Figure 4
Table 1

2020     |     www.medigraphic.com

Mi perfil

C?MO CITAR (Vancouver)

Cir Gen. 2024;46