medigraphic.com
SPANISH

Cirujano General

ISSN 2594-1518 (Electronic)
ISSN 1405-0099 (Print)
  • Contents
  • View Archive
  • Information
    • General Information        
    • Directory
  • Publish
    • Instructions for authors        
    • Send manuscript
  • medigraphic.com
    • Home
    • Journals index            
    • Register / Login
  • Mi perfil

2024, Number 2

<< Back Next >>

Cir Gen 2024; 46 (2)

Encapsulating sclerosing peritonitis, a very rare entity of intestinal occlusion

Beristain-Hernández, José Luis1,2; Mena-Bedolla, José Miguel1,3; Guillén-González, Mariana Aranzazú1,4
Full text How to cite this article 10.35366/118283

DOI

DOI: 10.35366/118283
URL: https://dx.doi.org/10.35366/118283

Language: English/Spanish [Versi?n en espa?ol]
References: 7
Page: 127-130
PDF size: 365.20 Kb.


Key words:

encapsulating sclerosing peritonitis, intestinal occlusion, peritoneal capsule.

ABSTRACT

Encapsulating sclerosing peritonitis is a rare entity characterized by the formation of a fibrocollagenous membrane as a result of chronic peritoneal irritation and inflammation, presenting as a picture of intestinal occlusion. The diagnosis is suspected tomographically (cocoon sign), however the definitive diagnosis is during surgery. This clinical case is about a male patient in his 6th decade of life with multiple comorbidities who presented with intestinal occlusion. Conservative management without response was started, that's why surgical management was decided.



INTRODUCTION

Encapsulating sclerosing peritonitis is a rare entity characterized by forming a diffuse fibro collagenous membrane that affects the peritoneum and involves the bowel. It usually shows intermittent intestinal occlusion, so early diagnosis is rare.1 The pathogenesis of this entity is not clear. However, it can be primary (idiopathic) or secondary, resulting from chronic irritation and inflammation.2 This entity can be suspected with history, clinical, and laboratory studies; however, the definitive diagnosis is made during surgery.3 Management can be conservative or surgical, depending on the severity of symptomatology. We present a case of a patient who presented with intestinal occlusion, with a history of systemic inflammatory pathology and liver transplantation, who underwent surgery due to the persistence of the symptoms and the presence of a grayish fibrotic membrane covering the intestine.



PRESENTATION OF THE CASE

We present the case of a 51-year-old male patient with a history of idiopathic chronic ulcerative colitis since 2015 on treatment with mesalazine, previously with infliximab; primary sclerosing cholangitis since 2017 initially managed with ursodeoxycholic acid, propranolol, furosemide and spironolactone, complicated with malignant degeneration managed with liver transplantation in 2019, currently on immunosuppressive management based on everolimus, azathioprine, and prednisone.

The patient came to the emergency department with abdominal pain of 12 hours evolution, sudden, located in the epigastrium, cramping, disabling, without irradiation, accompanied by nausea and gastro alimentary vomiting on multiple occasions, as well as the inability to pass gases, with the following vital signs: blood pressure (BP) 110/60 mmHg, heart rate (HR) 75 beats per minute, respiratory rate (RR) 18 breaths per minute, temperature 36.6 °C. Physical examination revealed a patient with painful facies, regular hydration status, muco-tegumentary coloration, and abdominal distension with pain on palpation in the epigastrium, audible, but decreased peristalsis. Paraclinical tests were requested reporting hemoglobin 9 g/dl, leukocytes 3.1 mm3, platelets 416 mm3, glucose 179 mg/dl, creatinine 0.9 mg/dl, sodium 137 mEq/l, potassium 4.1 mEq/l, chlorine 100 mEq/l, alanine aminotransferase (ALT) 41 IU/l, aspartate aminotransferase (AST) 9 IU/l, lactate dehydrogenase (LDH) 181 IU/l, total bilirubin (BT) 0.40 mg/dl, adenosine triphosphate (ATP) 14 sec, international normalized ratio (INR) 1.01, activated partial thromboplastin time (aPTT) 28 sec, as well as an abdominal simple X-ray showing hydro-aerial levels, dilated loops and absence of distal intestinal gas.

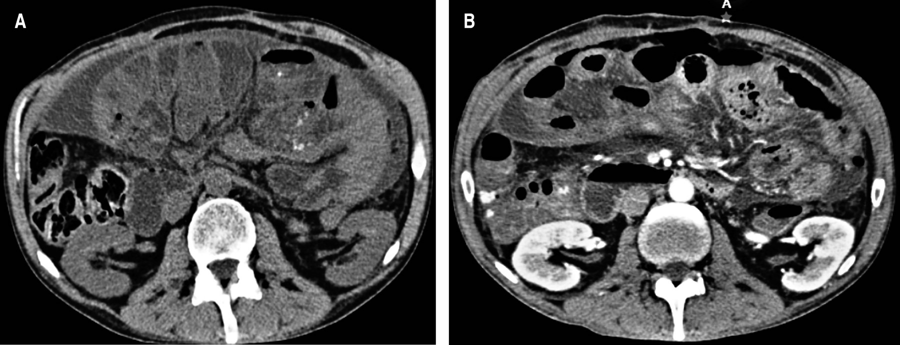
He was admitted to the hospital, and due to suspicion of occlusion secondary to surgical adhesions, conservative management was decided based on intestinal rest, a nasogastric tube placement, and crystalloid fluid therapy; however, due to persistent symptoms and increased abdominal pain, a simple abdominopelvic CT scan was requested showing distension of the small bowel loops, with maximum dilatation in the terminal ileum, as well as wall edema and concentric striations due to probable intussusception (Figure 1).

Due to the tomographic findings and persistence of symptoms, surgical management was decided, consisting of an exploratory laparotomy with supra- and infraumbilical midline incision. The findings were a fibrotic peritoneal capsule of approximately 20 × 30 cm with thin loops inside, multiple interloop adhesions, and Mazuji II-III loop-wall with peritoneal reaction fluid (Figure 2).

Complete resection of the peritoneal capsule, adhesiolysis, and umbilical plasty were performed without drainage placement and trans-surgical complications. The gastroenterology service managed the patient during the postoperative period. He was kept fasting for 48 hours, and immunosuppressive drugs were restarted without any eventuality. Oral administration was started; however, with poor tolerance, intestinal rest was indicated again, and a Levin tube was placed. A control CT scan was requested, reporting distension of loops and discrete interloop edema. So, it was decided to continue with conservative management based on fluid therapy, ambulation, and a Levin tube.

After 24 hours, intestinal transit X-ray imaging showed adequate passage of the contrast medium. The Levin tube was removed, and the oral route was restarted with adequate tolerance. Due to adequate evolution, it was decided to discharge him home on the tenth day of his hospital stay with an oral antibiotic and analgesic. Follow-up appointments were made for 15 and 30 days with adequate evolution without evidence of complications or recurrence.

The specimen was sent to pathology; the histopathological diagnosis reported fibro adipose wall with chronic and acute inflammatory infiltrate, abscessed, with data of congestion, edema, and ascites characterized by isolated mesothelial cells on the proteinaceous background-no evidence of malignancy was found.



DISCUSSION

Sclerosing encapsulating peritonitis or abdominal cocoon is a rare entity characterized by forming a diffuse fibro-collagenous peritoneum membrane. It affects the small intestine partially (type I) or totally (type II) and may involve adjacent structures (type III).4

It is classified as primary or secondary, the former being idiopathic and the latter associated with proinflammatory events mainly related to peritoneal dialysis and, to a lesser extent, with the use of drugs such as beta-blockers or chemotherapeutic agents, previous abdominal surgery, autoimmune diseases, and other conditions. The most recognized entity and with the most extensive bibliography is secondary to peritoneal dialysis, whose histopathology is characterized by peritoneal des-mesothelial tissues, interstitial thickening composed of fibroblasts and collagen deposits in the peritoneal membrane, as well as infiltration of mononuclear and polymorphonuclear cells.2,5

Clinically, it is characterized by episodes of partial and intermittent intestinal occlusion due to twisting and compression of the intestine within the fibrous membrane that covers it. In chronic states, it may present as anorexia and weight loss.1,5 The diagnosis is suspected based on clinical history and laboratory studies and is confirmed during surgery. The imaging study of choice is with a contrast CT scan, the typical radiological finding being the presence of a conglomerate of thin loops covered by an enveloping and thickened peritoneum (cocoon sign). Other suggestive tomographic findings are peritoneal thickening, peritoneal reinforcement, calcifications, and loculated liquid collection.3,6

Treatment depends on the severity of the symptoms. From conservative management with fasting, gastrointestinal decompression with nasogastric tube, and nutritional support. After the resolution of the condition or poor response to conservative management, it has been recommended to use drugs such as steroids, tamoxifen, or colchicine to inhibit the synthesis and maturation of collagen and reduce the inflammatory response. The ideal surgical management is total excision of the fibrous membrane plus adhesiolysis, since this reduces the rate of recurrences. The main complications related to the surgical procedure are intestinal occlusion, intra-abdominal infection, enteral fistulas, and the creation of an enterostomy.4,6,7

As mentioned in the clinical case, the first suspicion regarding a semiology of this type is intestinal occlusion, which is why conservative management was decided; however, due to persistent symptoms and increased abdominal pain, a simple abdominopelvic CT scan was requested as indicated by the literature, which guided us to the diagnosis due to the finding of the characteristic radiological image, the cocoon sign, giving rise to surgical treatment in which complete resection of the peritoneal capsule was performed; after this, the histopathological diagnosis confirmed what has already been described by several authors concerning the histology and composition of the capsule.



CONCLUSIONS

Sclerosing encapsulating peritonitis or abdominal cocoon is a rare cause of intestinal occlusion characterized by the formation of a diffuse fibro-collagenous peritoneum membrane. The imaging study of choice is a contrasted CT scan. The typical radiological finding is the presence of a conglomerate of small loops covered by an enveloping and thickened peritoneum, the cocoon sign.

The presentation of this case is important since the available literature on this entity is mainly related to peritoneal dialysis. At the same time, the availability of information for other secondary etiologies is very limited, and the knowledge of this cause as a differential diagnosis of intestinal occlusion is of utmost importance for its adequate management and treatment. In this patient, surgical management was decided due to the absence of improvement with conservative management and tomographic findings. The diagnosis was corroborated by the evidence of a grayish-thickened membrane covering the entire small bowel. It was complemented by the histopathological report showing fibrous wall with acute and chronic inflammatory infiltrate.


REFERENCES

  1. Danford CJ, Lin SC, Smith MP, Wolf JL. Encapsulating peritoneal sclerosis. World J Gastroenterol. 2018; 24: 3101-3111. doi: 10.3748/wjg.v24.i28.3101.

  2. Akbulut S. Accurate definition and management of idiopathic sclerosing encapsulating peritonitis. World J Gastroenterol. 2015 Jan 14;21(2):675-687. doi: 10.3748/wjg.v21.i2.675.

  3. López Grove R, Heredia Martínez A, Aineseder M, de Paula JA, Ocantos JA. Peritonitis esclerosante encapsulante: Hallazgos en imágenes de una entidad Poco Frecuente. Radiología (Engl Ed). 2019; 61: 388-395. doi: 10.1016/j.rx.2019.02.005.

  4. Machado NO. Sclerosing encapsulating peritonitis: review. Sultan Qaboos Univ Med J. 2016; 16: e142-e151. doi: 10.18295/squmj.2016.16.02.003.

  5. Tannoury JN. Idiopathic sclerosing encapsulating peritonitis: abdominal cocoon. World J Gastroenterol. 2012; 18: 1999-2004. doi: 10.3748/wjg.v18.i17.1999.

  6. Candido PC, Werner Ade F, Pereira IM, Matos BA, Pfeilsticker RM, Silva RF. Sclerosing encapsulating peritonitis: a case report. Radiol Bras. 2015; 48: 56-58. doi: 10.1590/0100-3984.2013.1909.

  7. Frost JH, Price EE. Abdominal cocoon: idiopathic sclerosing encapsulating peritonitis. BMJ Case Rep. 2015; 2015: bcr2014207524. doi: 10.1136/bcr-2014-207524.



AFFILIATIONS

1 Assigned to the General Surgery Service, Hospital de Especialidades "Dr. Antonio Fraga Mouret" of the Centro Médico Nacional La Raza, Instituto Mexicano del Seguro Social. Mexico.

2 General surgeon, endoscopic surgeon, gastrointestinal endoscopist, hepatobiliary and pancreatic surgeon.

3 Surgeon general.

4 Medical intern of Social Service. Universidad Anahuac Campus Puebla. México.



CORRESPONDENCE

José Luis Beristain-Hernández. E-mail: jlberistain@yahoo.com




Received: 06/02/2023. Accepted: 11/24/2023

Figure 1
Figure 2

2020     |     www.medigraphic.com

Mi perfil

C?MO CITAR (Vancouver)

Cir Gen. 2024;46