medigraphic.com
SPANISH

Acta Ortopédica Mexicana

ISSN 2992-8036 (Electronic)
ISSN 2306-4102 (Print)
Órgano Oficial del Colegio Mexicano de Ortopedia y Traumatología
  • Contents
  • View Archive
  • Information
    • General Information        
    • Directory
  • Publish
    • Instructions for authors        
  • medigraphic.com
    • Home
    • Journals index            
    • Register / Login
  • Mi perfil

2024, Number 6

<< Back Next >>

Acta Ortop Mex 2024; 38 (6)

Leg acute compartment syndrome after Streptococcus pyogenes infection

Hernández-Naranjo J, Vogel-Martínez I, Bravo-Balado A, Verdejo M, Vives-Barquiel M, Camacho-Carrasco M
Full text How to cite this article 10.35366/118295

DOI

DOI: 10.35366/118295
URL: https://dx.doi.org/10.35366/118295

Language: Spanish
References: 8
Page: 415-418
PDF size: 352.12 Kb.


Key words:

compartment syndrome, myositis, fasciotomy, Streptococcus.

ABSTRACT

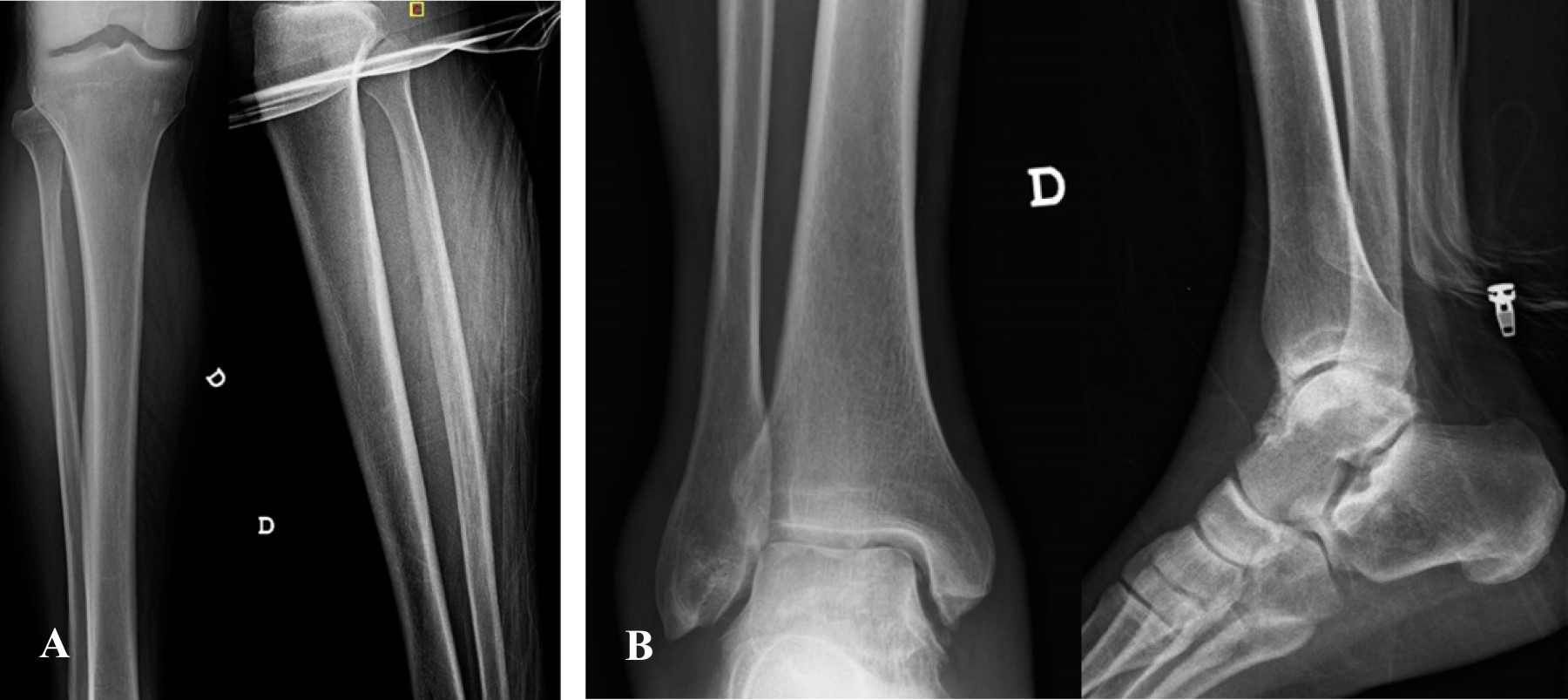
Compartment syndrome caused by Streptococcus pyogenes (Group A Streptococcus) has rarely been documented. We report the case of a 53-year-old male, hypertensive, who developed compartment syndrome and myositis in the right lower limb. The patient underwent emergency fasciotomies of the anterior, lateral, superficial posterior and deep posterior compartments of the leg and two subsequent surgical debridements, in addition to receiving antibiotic treatment and delayed closure of the fasciotomies with grafts. As sequelae, the patient experiences joint stiffness and hypoesthesia in the area of the external popliteal sciatic nerve. Early recognition of the issue, timely intervention, and postoperative follow-up were crucial elements.


REFERENCES

  1. Hourmozdi JJ, Hawley DA, Hadi CM, Tahir B, Seupaul RA. Streptococcal necrotizing myositis: a case report and clinical review. J Emerg Med. 2014; 46(3): 436-42. doi: 10.1016/j.jemermed.2013.08.048.

  2. Shaffer PT, Hook J, Potter B. A rare case of monomicrobial necrotizing fasciitis associated with an initial acute compartment syndrome. J Foot Ankle Surg. 2022; 61(1): 195-8. doi: 10.1053/j.jfas.2021.08.005.

  3. Warren M, Dhillon G, Muscat J, Abdulkarim A. Atraumatic bilateral acute compartment syndrome of the lower legs: A review of the literature. Cureus. 2021; 13(12): e20256. https://doi.org/10.7759/cureus.20256

  4. Hui KCW, Zhang F, Komorowska-Timek E, Bloom H, Lineaweaver WC. Compartment syndrome of the forearm as the initial symptom of systemic Vibrio vulnificus infection. J Hand Surg Am. 1999; 24(4): 715-7. doi: 10.1053/jhsu.1999.0715.

  5. Guo J, Yin Y, Jin L, Zhang R, Hou Z, Zhang Y. Acute compartment syndrome: cause, diagnosis, and new viewpoint. Medicine. 2019; 98(27): p e16260. doi: 10.1097/md.0000000000016260.

  6. Shadgan B, Menon M, O'Brien PJ, Reid WD. Diagnostic techniques in acute compartment syndrome of the leg. J Orthop Trauma. 2008; 22(8): 581-7. doi: 10.1097/bot.0b013e318183136d.

  7. Kleshinski J, Bittar S, Duggan JM, Wahlquist M, Ebraheim N. Review of compartment syndrome due to group A streptococcal infection. Am J Med Sci. 2008; 336(3): 265-9. https://doi.org/10.1097/maj.0b013e318165650a

  8. Stevens DL, Tanner, MH, Winship J, Swarts R, Ries KM, Schlievert PM, et al. Severe group A streptococcal infections associated with a toxic shock-like syndrome and Scarlet fever toxin A. N Engl J Med. 1989; 321(1): 1-7. doi: 10.1056/nejm198907063210101.




Figure 1
Figure 2
Figure 3
Figure 4
Figure 5

2020     |     www.medigraphic.com

Mi perfil

C?MO CITAR (Vancouver)

Acta Ortop Mex. 2024 Nov-Dic;38