medigraphic.com
SPANISH

Revista Mexicana de Periodontología

ISSN 2007-4360 (Print)
Asociación Mexicana de Periodontología, Colegio de Periodoncistas A.C
  • Contents
  • View Archive
  • Information
    • General Information        
    • Directory
  • Publish
    • Instructions for authors        
  • medigraphic.com
    • Home
    • Journals index            
    • Register / Login
  • Mi perfil

2023, Number 1-3

<< Back Next >>

Rev Mex Periodontol 2023; 14 (1-3)

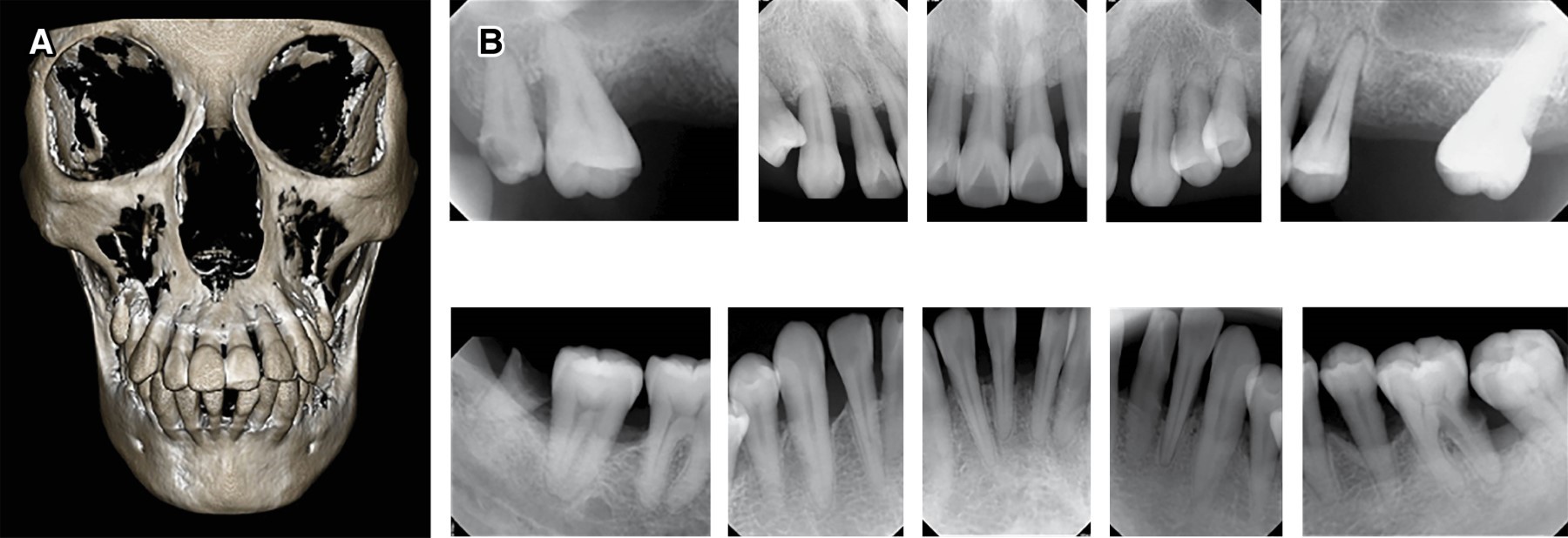
Multidisciplinary approach in the management of generalized periodontitis stage IV grade

Dorantes TCM, Gómez FM, Ruíz VCG, García AF, Fontes GZ
Full text How to cite this article 10.35366/118772

DOI

DOI: 10.35366/118772
URL: https://dx.doi.org/10.35366/118772

Language: Spanish
References: 21
Page: 11-19
PDF size: 650.27 Kb.


Key words:

periodontitis, orthodontics, alveolar ridge preservation, multidiscipline.

ABSTRACT

Periodontitis is an inflammatory disease that is characterized by the destruction of periodontal support tissues (alveolar bone, cementum and periodontal ligament), being the main cause of tooth loss. This case report presents the treatment implemented in a female patient diagnosed with generalized periodontitis stage IV grade C, through multidisciplinary management (nutriologist, doctor, psychologist and dentist) applying the biopsychosocial model (Montreal-Toulouse). Non-surgical periodontal therapy was performed, as well as the alveolar ridge preservation technique and orthodontic therapy, in order to achieve periodontal stabilization through less invasive treatments, avoiding multiple extractions and placement of full-arch rehabilitations. It is important to mention that most cases of stage IV periodontitis can be treated successfully and maintaining healthy teeth, occlusion and optimal aesthetics throughout life.


REFERENCES

  1. Groenewegen H, Bierman WFW, Delli K, Dijkstra PU, Nesse W, Vissink A, et al. Severe periodontitis is more common in HIV-infected patients. J Infect. 2019; 78 (3): 171-177. doi: 10.1016/j.jinf.2018.11.008.

  2. de Molon RS, Rossa C, Thurlings RM, Cirelli JA, Koenders MI. Linkage of periodontitis and rheumatoid arthritis: current evidence and potential biological interactions. Int J Mol Sci. 2019; 20 (18): 4541. doi: 10.3390/ijms20184541.

  3. Tonetti MS, Sanz M. Implementation of the new classification of periodontal diseases: Decision-making algorithms for clinical practice and education. J Clin Periodontol. 2019; 46 (4): 398-405. doi: 10.1111/jcpe.13104.

  4. Dalmády S, Kemény L, Antal M, Gyulai R. Periodontitis: a newly identified comorbidity in psoriasis and psoriatic arthritis. Expert Rev Clin Immunol. 2020; 16 (1): 101-108. doi: 10.1080/1744666X.2019.1700113.

  5. Farook FF, Al-Meshrafi AA, Alshammari A, Nuzaim MN, Al-Nomay NS. The association between pemphigus and pemphigoid with periodontitis: A systematic review and meta-analysis with trial sequential analysis. J Int Oral Health. 2021; 13: 207-213. doi: 10.4103/jioh.jioh_333_20.

  6. Nocini R, Lippi G, Mattiuzzi C. Periodontal disease: the portrait of an epidemic. J Public Health Emerg. 2020; 4: 10. doi: 10.21037/jphe.2020.03.01.

  7. Vargas CAP, Yáñez OBR. Clasificación de enfermedades y condiciones periodontales y periimplantarias 2018. Primera parte. Rev Odont Mex. 2021; 25 (1): 10-26.

  8. Herrera D, Sanz M, Kebschull M, Jepsen S, Sculean A, Berglundh T, et al. Treatment of stage IV periodontitis: The EFP S3 level clinical practice guideline. J Clin Periodontol. 2022; 49 Suppl 24: 4-71. doi: 10.1111/jcpe.13639.

  9. Quisiguiña C, Ruiz E, Crespo PA, Robalino JJ. Alveolar ridge preservation: A review of concepts and controversies. Natl J Maxillofac Surg. 2023; 14 (2): 167-176. doi: 10.4103/njms.njms_224_22.

  10. Elizalde M, Hernández R, Rocha R, Mayoral G. Dimensional changes in bartee and bio-col ridge preservation technique using xenograft interOss® . Int. J. Odontostomat. 2021; 15 (2): 370-376.

  11. Bedos C, Apelian N, Vergnes JN. Towards a biopsychosocial approach in dentistry: the Montreal-Toulouse Model. Br Dent J. 2020; 228 (6): 465-468. doi: 10.1038/s41415-020-1368-2.

  12. Ravida A, Qazi M, Troiano G, Saleh MHA, Greenwell H, Kornman K, et al. Using periodontal staging and grading system as a prognostic factor for future tooth loss: A long-term retrospective study. J Periodontol. 2020; 91 (4): 454-461. doi: 10.1002/JPER.19-0390.

  13. Avila G, Galindo-Moreno P, Soehren S, Misch CE, Morelli T, Wang HL. A novel decision-making process for tooth retention or extraction. J Periodontol. 2009; 80 (3): 476-491. doi: 10.1902/jop.2009.080454.

  14. Kalsi AS, Kalsi JS, Bassi S. Alveolar ridge preservation: why, when and how. Br Dent J. 2019; 227 (4): 264-274. doi: 10.1038/s41415-019-0647-2.

  15. Choi H, Cho H, Lee S, Cho I, Shin H, Koo K, et al. Alveolar ridge preservation with an open-healing approach using single- layer or double-layer coverage with collagen membranes. J Periodontal Implant Sci. 2017;47(6): 372-380. doi: 10.5051/jpis.2017.47.6.372.

  16. Tammaro S, Wennstrom JL, Bergenholtz G. Root-dentin sensitivity following non-surgical periodontal treatment. J Clin Periodontol. 2000; 27 (9): 690-697. doi: 10.1034/j.1600-051x.2000.027009690.x.

  17. Forouzande M, Rezaei-Soufi L, Yarmohammadi E, Ganje-Khosravi M, Fekrazad R, Farhadian M, et al. Effect of sodium fluoride varnish, Gluma, and Er,Cr:YSGG laser in dentin hypersensitivity treatment: a 6-month clinical trial. Lasers Med Sci. 2022; 37 (7): 2989-2997. doi: 10.1007/s10103-022-03583-3.

  18. Dorantes C, Gómez M, Agustín E, García F, Ibarra R. Vestibuloplastia con láser Er;Cr;YSGG y nanotransportador biomolécula EPX: un nuevo cicatrizante periodontal. Rev ADM. 2023;80 (5): 292-297. doi: 10.35366/113142.

  19. M A, I MA, Ramalingam K, Perumal E. Cytocompatibility and wound healing activity of chitosan thiocolchicoside lauric acid nanogel in human gingival fibroblast cells. Cureus. 2023; 15 (8): e43727. doi: 10.7759/cureus.43727.

  20. Aimetti M, Garbo D, Vidotto C, Bongiovanni L, Citterio F, Mariani GM, et al. Combined periodontal and orthodontic treatment of severely compromised teeth in Stage IV periodontitis patients: how far can we go? Int J Periodontics Restorative Dent. 2022; 42 (6): 731-738. doi: 10.11607/prd.6247.

  21. Palacci P, Nowzari H. Soft tissue enhancement around dental implants. Periodontol 2000. 2008; 47: 107-132. doi: 10.1111/j.1600-0757.2008.00256.x.




Figure 1
Figure 2
Figure 3
Figure 4
Figure 5
Figure 6
Table 1

2020     |     www.medigraphic.com

Mi perfil

C?MO CITAR (Vancouver)

Rev Mex Periodontol. 2023;14