medigraphic.com
SPANISH

Revista Mexicana de Cirugía Endoscópica

ISSN 1665-2576 (Print)
  • Contents
  • View Archive
  • Information
    • General Information        
    • Directory
  • Publish
    • Instructions for authors        
    • Send manuscript
  • medigraphic.com
    • Home
    • Journals index            
    • Register / Login
  • Mi perfil

2024, Number 1-4

<< Back Next >>

Rev Mex Cir Endoscop 2024; 25 (1-4)

Intestinal obstruction due to persistent omphalomesenteric duct in adults: presentation of a clinical case

Rubio-Camón K, Garteiz-Martínez DE
Full text How to cite this article 10.35366/118806

DOI

DOI: 10.35366/118806
URL: https://dx.doi.org/10.35366/118806

Language: Spanish
References: 5
Page: 36-41
PDF size: 331.32 Kb.


Key words:

Meckel´s diverticulum, intestinal occlusion, clinical case, omphalomesenteric duct.

ABSTRACT

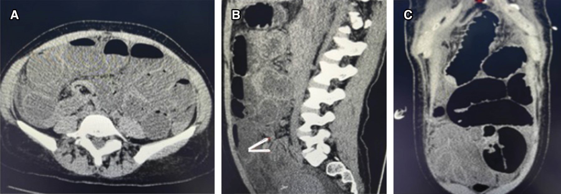
Meckel's diverticulum is a true diverticulum localized during embryogenesis due to obliteration of the yolk duct or omphalomesenteric duct. The persistence of the omphalomesenteric duct has been widely reported before because of the presence of a Meckel's diverticulum or intestinal segments with partial or total permeability of the duct. The most frequent clinical presentation in children is digestive tract bleeding and the most frequent clinical presentation in adults is intestinal occlusion. The case presented is about an adult female presenting with intestinal occlusion secondary to this embryogenic variant where we highlight clinic, diagnostic and therapeutic considerations.


REFERENCES

  1. Lindeman RJ, Soreide K. The many faces of Meckel's diverticulum: update on management in incidental and symptomatic patients. Curr Gastroenterol Rep. 2020; 22: 3.

  2. Alzarea A, Aljohani A, Qabani H, Alzahrani A, Sairafi R. A rare case of intestinal obstruction caused by Meckel's diverticulum band. Ann Med Surg (Lond). 2022; 78: 103807.

  3. Kuru S, Kismet K. Meckel's diverticulum: clinical features, diagnosis and management. Rev Esp Enferm Dig. 2018; 110: 726-732.

  4. Hansen CC, Soreide K. Systematic review of epidemiology, presentation, and management of Meckel's diverticulum in the 21st century. Medicine (Baltimore). 2018; 97: e12154.

  5. Blouhos K, Boulas KA, Tsalis K, Barettas N, Paraskeva A, Kariotis I et al. Meckel's diverticulum in adults: surgical concerns. Front Surg. 2018; 5: 55.




Figure 1
Figure 2
Figure 3
Figure 4
Figure 5

2020     |     www.medigraphic.com

Mi perfil

C?MO CITAR (Vancouver)

Rev Mex Cir Endoscop. 2024;25