medigraphic.com
SPANISH

Revista Mexicana de Cirugía Endoscópica

ISSN 1665-2576 (Print)
  • Contents
  • View Archive
  • Information
    • General Information        
    • Directory
  • Publish
    • Instructions for authors        
    • Send manuscript
  • medigraphic.com
    • Home
    • Journals index            
    • Register / Login
  • Mi perfil

2024, Number 1-4

<< Back

Rev Mex Cir Endoscop 2024; 25 (1-4)

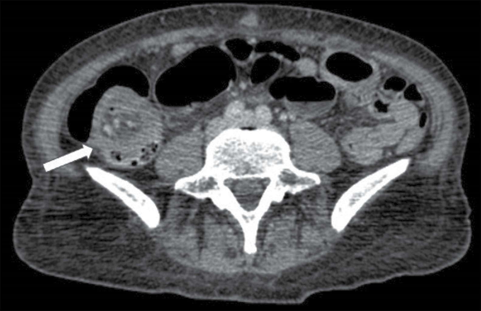
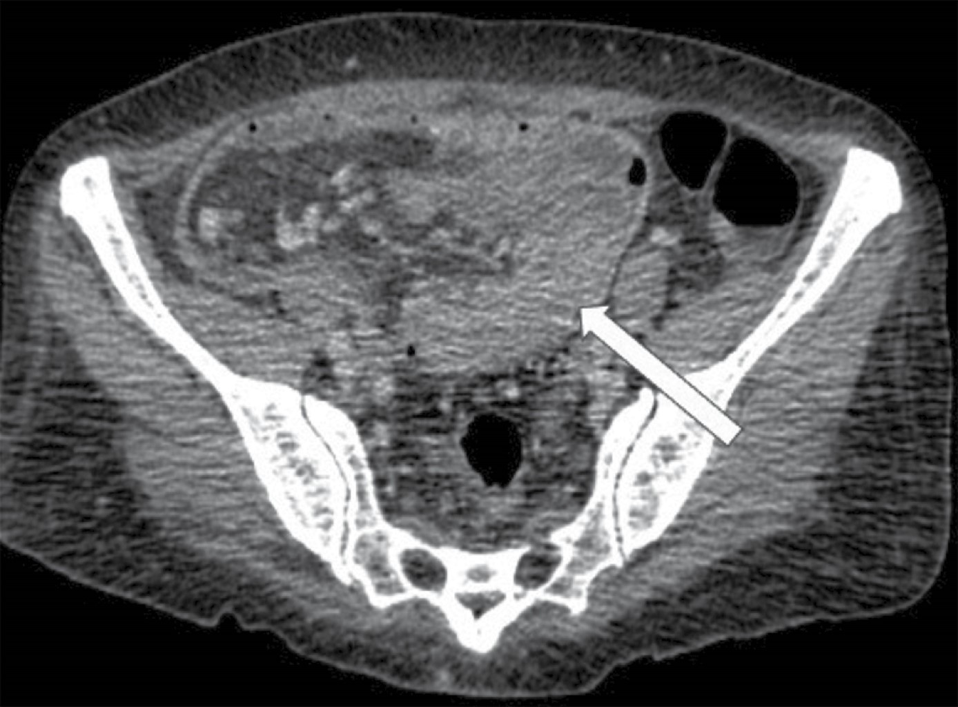
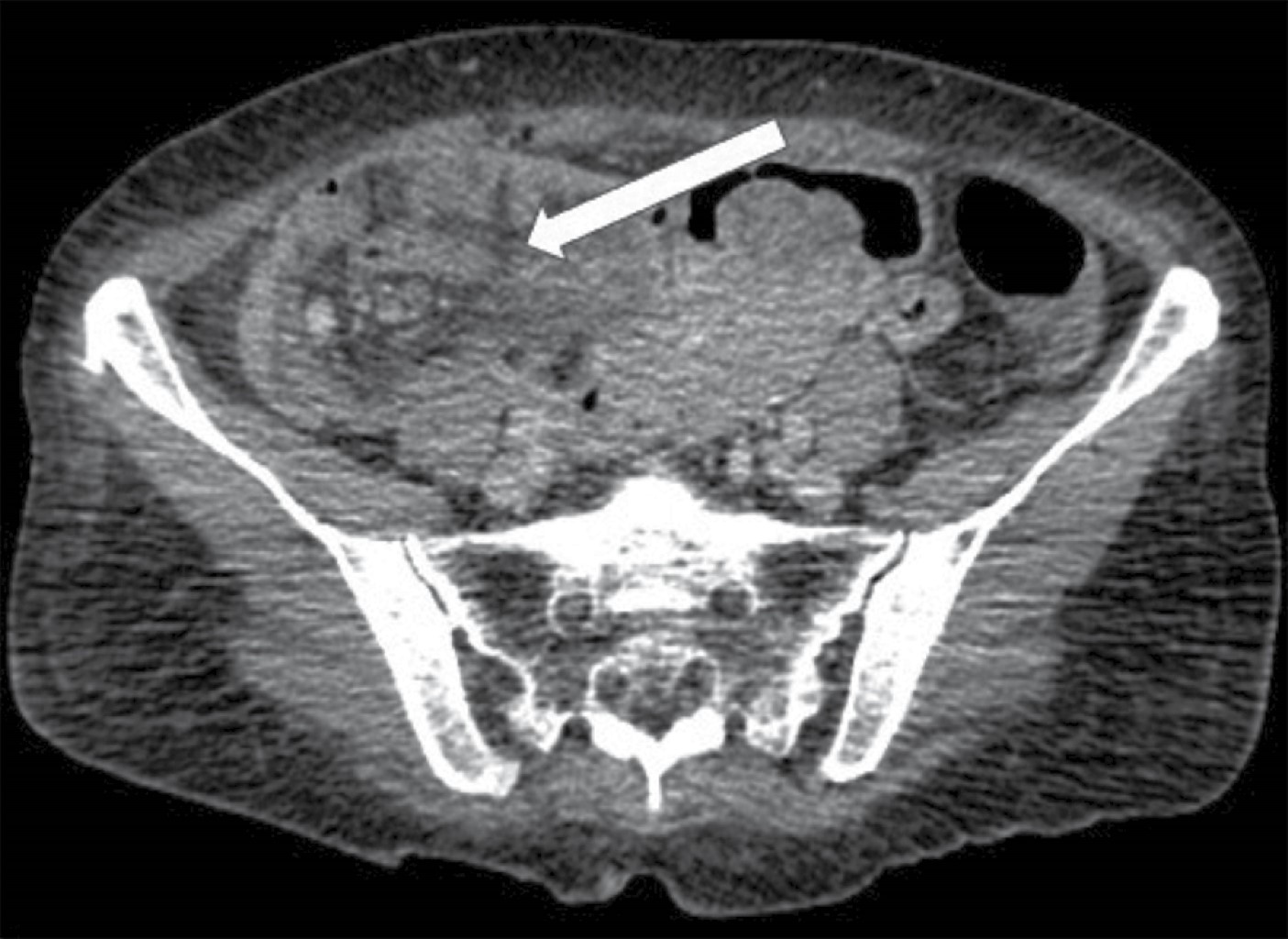
Colonic intussusception secondary to colorectal cancer: clinical images

Jasqui-Bucay A, Navarro-Gerrard C, Franco-Cabrera G, Guzmán-Cárcamo AR
Full text How to cite this article 10.35366/118809

DOI

DOI: 10.35366/118809
URL: https://dx.doi.org/10.35366/118809

Language: Spanish
References: 4
Page: 50-52
PDF size: 570.00 Kb.


Key words:

No keywords




REFERENCES

  1. Honjo H, Mike M, Kusanagi H, Kano N. Adult intussusception: a retrospective review. World J Surg. 2015; 39: 134-138.

  2. Kulkarni S, Rana A, Choi K. Adult colo-colonic intussusception in the setting of invasive mucinous adenocarcinoma: a case report. Am J Case Rep. 2022; 23: e938124.

  3. Roditis A, Jendoubi S, Platevoet P, Le Fouler A, Sellier N. Colorectal intussusception due to adenocarcinoma presenting as acute bowel obstruction in an adult. Radiol Case Rep. 2021; 16: 1103-1106.

  4. Vemuru SR, Friel CM, Hoang SC. Adenocarcinoma as the lead point leading to colo-colic intussusception. J Gastrointest Surg. 2018; 22: 2177-2178.




Figure 1
Figure 2
Figure 3
Figure 4

2020     |     www.medigraphic.com

Mi perfil

C?MO CITAR (Vancouver)

Rev Mex Cir Endoscop. 2024;25