medigraphic.com
SPANISH

Acta Médica Grupo Ángeles

Órgano Oficial del Hospital Ángeles Health System
  • Contents
  • View Archive
  • Information
    • General Information        
    • Directory
  • Publish
    • Instructions for authors        
    • Manuscript submission
    • Policies
    • Names and affiliations of the Editorial Board
  • About us
    • Data sharing policy
    • Stated aims and scope
  • medigraphic.com
    • Home
    • Journals index            
    • Register / Login
  • Mi perfil

2024, Number 5

<< Back Next >>

Acta Med 2024; 22 (5)

Polyarteritis nodosa, an unusual case of abdominal pain

Martínez CI, Flores MAG, Austria FER
Full text How to cite this article 10.35366/118820

DOI

DOI: 10.35366/118820
URL: https://dx.doi.org/10.35366/118820

Language: Spanish
References: 5
Page: 404-406
PDF size: 245.17 Kb.


Key words:

polyarteritis nodosa, aneurysms, angiotomography.

ABSTRACT

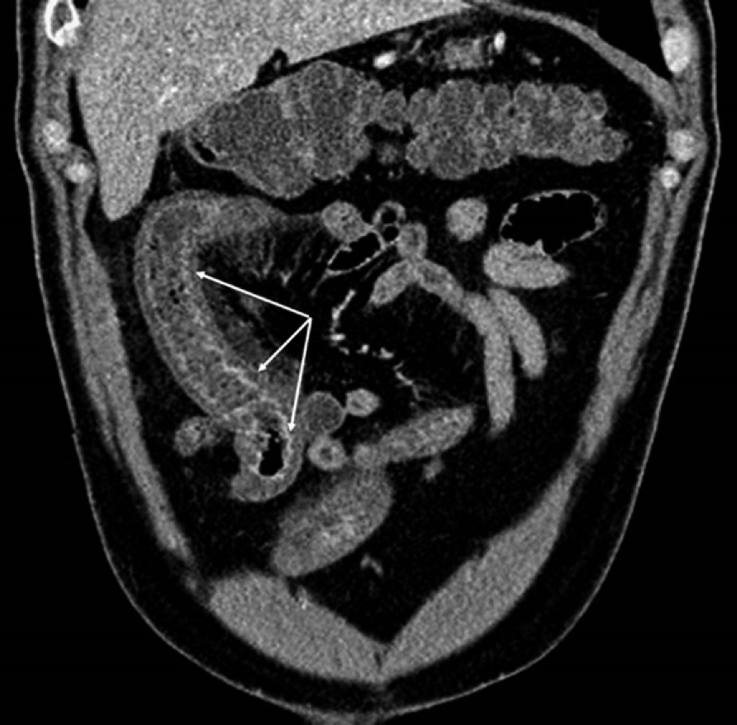
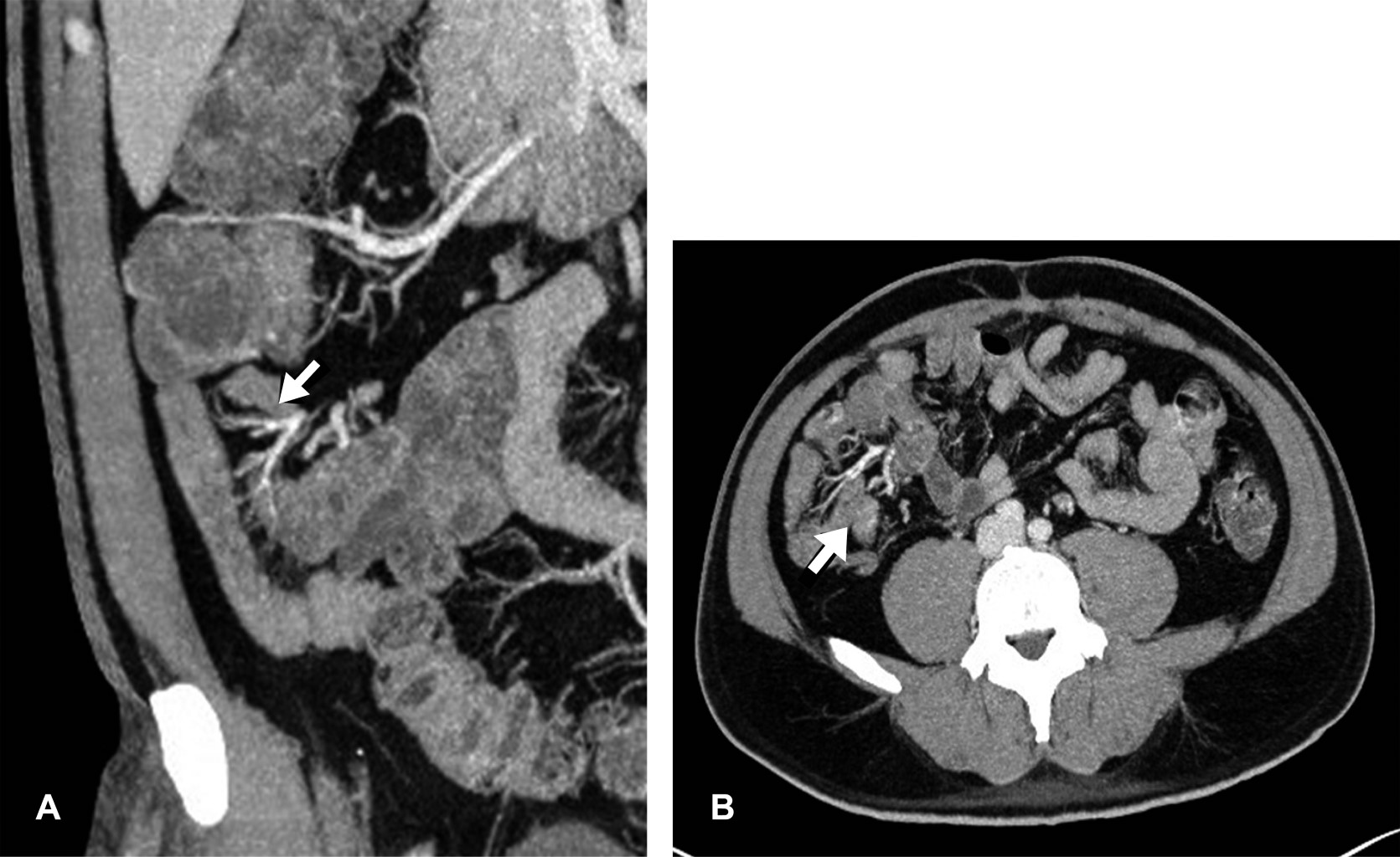
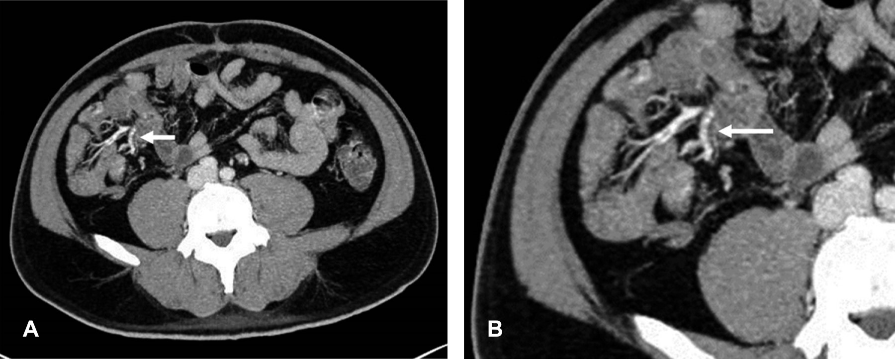
Introduction: polyarteritis nodosa (PAN) is a necrotizing vasculitis presenting as a multisystem disease. With aneurysmal formations in visceral arteries, especially in superior mesenteric artery branches. Case report: a 44-year-old male with abdominal pain in the epigastrium, nausea, and hematochezia, presenting petechiae on the trunk, abdomen, and pelvic limbs, predominantly with neutrophilic leukocytosis, negative immunological markers (ANCA). In abdominal angiotomography, sacculations are observed in superior ileal vessels. Conclusion: PAN is a rare multisystem vascular disease with a predilection for medium-caliber vessels. It is essential to identify radiological signs since a diagnostic delay leads to complications such as intestinal ischemia, aneurysmal ruptures, and others.


REFERENCES

  1. Soowamber M, Weizman AV, Pagnoux C. Gastrointestinal aspects of vasculitides. Nat Rev Gastroenterol Hepatol. 2017; 14 (3): 185-194. doi: 10.1038/nrgastro.2016.179.

  2. Sellyn GE, Kapil N, Pabla B, Rahman MU, Khan A. Polyarteritis nodosa: a case report of isolated large bowel involvement and surgical intervention. J Surg Case Rep. 2023; 2023 (4): rjad195. doi: 10.1093/jscr/rjad195.

  3. Amouei M, Momtazmanesh S, Kavosi H, Davarpanah AH, Shirkhoda A, Radmard AR. Imaging of intestinal vasculitis focusing on MR and CT enterography: a two-way street between radiologic findings and clinical data. Insights Imaging. 2022; 13 (1): 143. doi: 10.1186/s13244-022-01284-7.

  4. Navab R, Yeragudi Jangamareddy VR, Midthala NV, Kamalakannan T. A young female case of polyarteritis nodosa presenting with multisystem involvement and acute abdomen: a case report. Cureus. 2021; 13 (12): e20778. doi: 10.7759/cureus.20778.

  5. Lerkvaleekul B, Treepongkaruna S, Ruangwattanapaisarn N, Treesit T, Vilaiyuk S. Recurrent ruptured abdominal aneurysms in polyarteritis nodosa successfully treated with infliximab. Biologics. 2019; 13: 111-116. doi: 10.2147/BTT.S204726.




Figure 1
Figure 2
Figure 3

2020     |     www.medigraphic.com

Mi perfil

C?MO CITAR (Vancouver)

Acta Med. 2024;22