medigraphic.com
SPANISH

Cirugía Cardiaca en México

ISSN 2448-5640 (Print)
Diario Oficial de la Sociedad Mexicana de Cirugía Cardiaca, A.C., y del Colegio Mexicano de Cirugía Cardiovascular y Torácica, A.C.
  • Contents
  • View Archive
  • Information
    • General Information        
    • Directory
  • Publish
    • Instructions for authors        
    • Send manuscript
  • medigraphic.com
    • Home
    • Journals index            
    • Register / Login
  • Mi perfil

2025, Number 2

<< Back Next >>

Cir Card Mex 2025; 10 (2)

Aortic valve migration placed by TAVI: apropos of a case

González-Soto, José A1; Soule-Egea, Mauricio2; González-Juárez, Shaddee Y1; Mora-Canela, Sergio2; Santibáñez-Escobar, Felipe2
Full text How to cite this article 10.35366/119670

DOI

DOI: 10.35366/119670
URL: https://dx.doi.org/10.35366/119670

Language: English
References: 6
Page: 47-50
PDF size: 1423.01 Kb.


Key words:

aortic valve stenosis, complications, transcatheter aortic valve implantation, valve migration.

ABSTRACT

The use of transcatheter aortic valve implantation approach (TAVI), has become popular due to its much less invasive technique. Thus, it is the treatment of choice in patients with high surgical risk. Nevertheless, the TAVI procedure represents considerable complications. We present the case of a female patient, diagnosed with severe aortic stenosis, who received a prosthetic valve through TAVI; resulting in cardiac surgery due to migration of the implanted valve to the left ventricle.



INTRODUCTION

Worldwide, the aortic stenosis is the most common valve disease in elderly patients.1 In this group, even up to 60% of symptomatic patients have a moderate-high surgical risk, and up to a 30% of patients were not considered candidates for cardiac surgery, because of a considerable high surgical risk. Due to the necessity to ensure a safer approach to these patients, the transcatheter aortic valve implantation (TAVI), appeared as an alternative for these patients.2

Nowadays, the evolution of TAVI in the clinical practice, shows an improvement of the results, reaching a 94% of success procedures. Also, different studies agree in the fact that after 2014, the patients treated trough TAVI remained less time in the hospital, the mortality cases dropped 30%, and had less cases of procedures converted to cardiac surgery. Nevertheless, the incidence of acute kidney injury, major bleeding and post-implantation dilatation of the aortic ring, have increased. Which, altogether, increases the incidence of major complications in the patient.3



CASE DESCRIPTION

A 59-year-old female patient with a history of systemic hypertension presented to the emergency room with moderate chest pain and a single episode of syncope during physical activity. Echocardiography revealed concentric left ventricular hypertrophy, a left ventricular ejection fraction of 69%, aortic valve fusion, an aortic ring diameter of 20.8 mm, a maximum transvalvular aortic gradient of 99 mmHg, and a mean gradient of 25 mmHg. The patient was diagnosed with severe aortic stenosis and referred to the cardiothoracic surgery department.

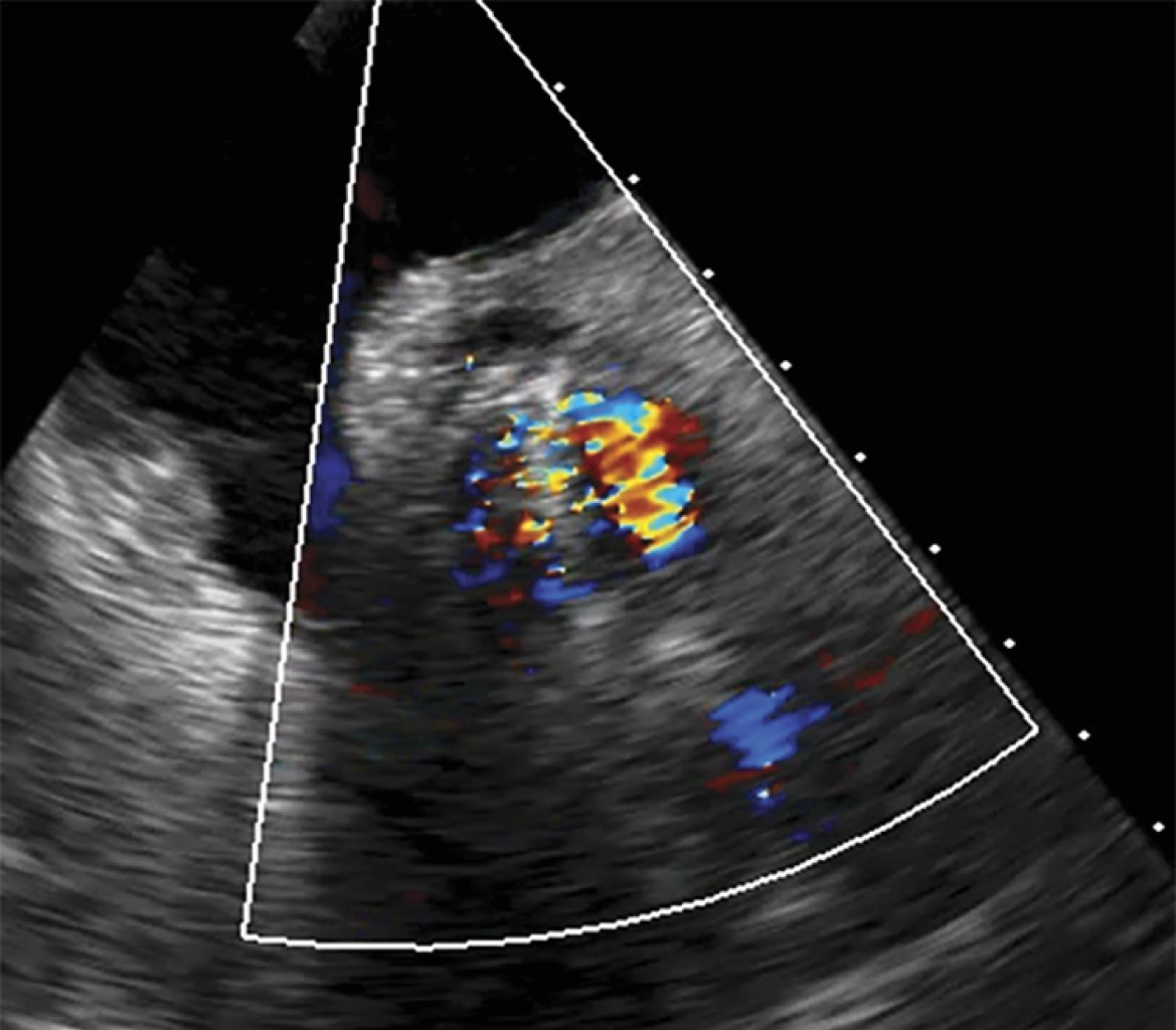
The patient was deemed a suitable candidate for valve replacement via cardiac surgery. However, to expedite treatment, a TAVI approach was employed. During the procedure, an Accurate Neo 2S 23 mm prosthesis (ACURATE neo2™, Boston Scientific, Marlborough, MA, USA), was implanted, but a residual valvular gradient of 25 mmHg was observed due to incomplete prosthesis deployment. To achieve optimal deployment, a post-implant dilatation of the aortic ring was performed, but a gradient of 20 mmHg persisted. Consequently, a second Accurate Neo 2S 23 mm prosthesis was implanted using the TAVI-in-TAVI technique. Unfortunately, during the second implantation, the first prosthetic valve migrated into the left ventricle (Figure 1).

Due to this complication, the patient was taken to the operating room for extraction of the migrated valve and aortic valve replacement. Under cardiopulmonary bypass, the migrated valve was extracted from the left ventricle, along with the second implanted prosthesis (Figures 2 and 3). Subsequently, an aortic ring enlargement using the Nicks technique was performed, and the valve was replaced with a SJM™ Masters Series 21 mm (St Jude Medical, Inc., USA) mechanical prosthesis. Finally, a chest drainage tube was placed in the retrosternal space, and the procedure was completed without complications, with a total cardiopulmonary bypass time of 115 minutes and an aortic clamping time of 94 minutes.

In the immediate postoperative period, the patient exhibited satisfactory progress, with a well-functioning aortic valve, mean trans-prosthetic gradient of 10 mmHg, maximum velocity of 2.2 m/s, and preserved left ventricular ejection fraction (Figure 4). The patient required nitroglycerin dosed at 116 μg/minute due to a systemic hypertensive peak. Following the fast-track algorithm, the patient was weaned from invasive mechanical ventilation, demonstrating a good respiratory pattern and parameters, as well as a good cognitive response.

On the second postoperative day, supplemental oxygen and nitroglycerin were discontinued. Given the patient's favorable clinical condition, they were transferred to a non-intensive care unit for continued observation. The drainage was removed on the fourth postoperative day, and the patient was discharged home on the eighth postoperative day free from any complications.



COMMENTARY

Like any other procedure, the TAVI approach is not devoid of risks; in fact, 2-8% of patients develop major or life-threatening complications. The most common complication of TAVI is peripheral vascular injury, particularly at the catheter entry point, which can result in limb ischemia or hemorrhage.1 The second most common complication is rhythm disorders, usually due to left bundle branch block (65% of cases) and complete atrioventricular block (10% of cases), which necessitates lifelong permanent pacemaker implantation.1

Prosthetic migration to the left ventricle is observed in 7% of cases, where extracorporeal membrane oxygenation may be required as a bridge while the patient undergoes urgent cardiac surgery.2 It is concerning that up to 84% of post-TAVI patients exhibit cerebral embolism, although only 10% of these cases present clinical signs of brain damage. Aortic valve regurgitation of any grade is reported in 70% of all patients, with significant paravalvular regurgitation in 20% of all post-TAVI patients.2

Furthermore, up to 20% of post-TAVI patients develop acute kidney injury, and 5% of these require renal replacement therapy.1 Compared to cardiac surgery, post-TAVI patients require permanent pacemaker implantation more frequently, especially in cases where aortic ring dilatation was necessary, due to an increased risk of conduction system injury. This is commonly observed in patients with bicuspid aortic valves, such as the case reported.2 The incidence of conduction system injury has increased, as newer TAVI prosthesis models have a lower incidence of valvular regurgitation, at the expense of a higher incidence of rhythm disorders.4

Despite being considered a safer approach, mortality rates for post-TAVI and post-cardiac surgery patients are equal at 24 months post-procedure.2 Due to this high complication rate, new techniques have been explored, such as overestimating aortic ring size by up to 20% and using self-expanding prostheses.5 However, implanting a significantly larger prosthesis must be done with extreme caution, due to the risk of aortic ring rupture.1

Finally, there has been growing interest in achieving correct commissural alignment between the prosthetic and native valves; as a strategy to reduce the incidence of coronary ostial impingement and prosthetic misplacement. Correct valve implantation also reduces valvular gradient and blood stasis in the Valsalva sinuses, thereby reducing valve degeneration and extending prosthesis lifespan. However, achieving correct alignment with current TAVI systems is extremely challenging, requiring detailed procedure planning and aortic root study.6 This renders TAVI an expensive and slow procedure, reducing the opportunity of using it in emergency cases.



CONCLUSIONS

TAVI has emerged as a widely accepted procedure for aortic valve replacement in patients with high surgical risk, where the potential benefits of intervention outweigh the risks. However, it is crucial to acknowledge that this approach is not devoid of significant complications. Consequently, TAVI should not be performed in patients with low-to-mild surgical risk, as the technique and equipment are not yet sufficiently refined to guarantee optimal outcomes. Therefore, in patients with a life expectancy exceeding 5 years and mild surgical risk, cardiac surgery is strongly recommended.2


REFERENCES

  1. Garrido-Martín P. Complicaciones en el implante transcatéter de la válvula aórtica. Prevención, resolución y morbimortalidad asociada. Cir Cardiovasc 2025; 32(2): 52-57. DOI: 10.1016/j.circv.2024.02.013.

  2. Piñón M. TAVI frente a cirugía convencional. ¿Dónde están los límites? Cir Cardiovasc 2025; 32: 102-109. DOI: 10.1016/j.circv.2024.01.011.

  3. Jiménez-Quevedo P, Muñoz-García AJ, Trillo-Nouche R, et al. REC: Interv Cardiol 2020; 2(2): 96-105. DOI: 10.24875/RECIC.M19000087.

  4. Gemma D, Moreno R, Larman M, et al. Experiencia multicéntrica con prótesis valvular aórtica transcatéter de segunda generación reposicionable y recuperable. REC: Interv Cardiol 2020; 2: 90-95. DOI: 10.24875/RECIC.M19000084.

  5. González-Trevilla A A, Maneiro-Melón NM, García-Tejada J, Velázquez-Martín MT, García-Cosío Carmena MD, Sarnago-Cebada F. Migración de prótesis aórtica transcatéter en insuficiencia aórtica por asistencia ventricular. REC: interv Cardiol. 2022;3(1):65-72. DOI: 10.24875/RECIC.M20000134.

  6. Santos-Martínez S, Redondo A, González-Bartol E, et al. Feasibility of precise commissural and coronary alignment with balloon-expandable TAVI. Rev Esp Cardiol (Engl Ed). 2023;76(1):19-24. English, Spanish. doi: 10.1016/j.rec.2022.03.003.



AFFILIATIONS

1 Faculty of Medical Sciences, San Carlos University. Guatemala City, Guatemala.

2 Department of Cardiothoracic Surgery, National Institute of Cardiology "Ignacio Chávez". Mexico City, Mexico.



Funding: none.

Conflict of interest: the authors have no conflict of interest.



CORRESPONDENCE

Dr. Felipe Santibáñez-Escobar. E-mail: santi_f@yahoo.com




Received: 02-09-2025. Accepted: 02-20-2025.

Figure 1
Figure 2
Figure 3
Figure 4

2020     |     www.medigraphic.com

Mi perfil

C?MO CITAR (Vancouver)

Cir Card Mex. 2025;10