medigraphic.com
SPANISH

Latin American Journal of Oral and Maxillofacial Surgery

ISSN 2992-7757 (Electronic)
Órgano de difusión de la Asociación Latinoamericana de Cirugía y Traumatología Bucomaxilofacial (ALACIBU)
  • Contents
  • View Archive
  • Information
    • General Information        
    • Directory
  • Publish
    • Instructions for authors        
  • medigraphic.com
    • Home
    • Journals index            
    • Register / Login
  • Mi perfil

2025, Number 1

<< Back Next >>

Lat Am J Oral Maxillofac Surg 2025; 5 (1)

Cervical lymphadenitis as a manifestation of extrapulmonary tuberculosis. Literature review apropos of a case report

Gallegos FA, Fuentes DPR
Full text How to cite this article 10.35366/119976

DOI

DOI: 10.35366/119976
URL: https://dx.doi.org/10.35366/119976

Language: Spanish
References: 10
Page: 21-24
PDF size: 369.59 Kb.


Key words:

cervical lymphadenitis, extrapulmonary tuberculosis, differential diagnosis, HIV, case report.

ABSTRACT

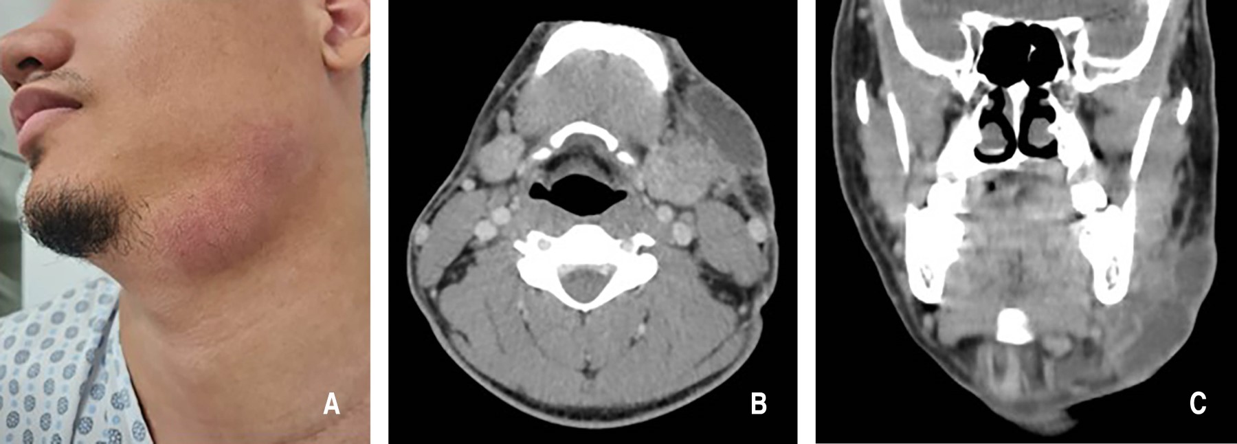
Tuberculosis is a chronic infectious disease that primarily affects the lungs but can also spread to other parts of the body, manifesting as extrapulmonary tuberculosis. We report the case of a 20-year-old male patient with tuberculous cervical lymphadenitis, diagnosed through imaging studies, laboratory tests, and biopsy. This led to the additional diagnosis of an underlying HIV infection. This case highlights the initial diagnostic challenge posed by extrapulmonary tuberculosis, emphasizing the importance of thorough knowledge of rare pathologies affecting the head and neck, the use of diverse diagnostic methods to ensure proper treatment, and the critical role of multidisciplinary management across related specialties.


REFERENCES

  1. Rodriguez-Takeuchi SY, Renjifo ME, Medina FJ. Extrapulmonary tuberculosis: pathophysiology and imaging findings. RadioGraphics. 2019; 39 (7): 2023-2037. doi: 10.1148/rg.2019190109.

  2. Baykan AH, Sayiner HS, Aydin E, Koc M, Inan I, Erturk SM. Extrapulmonary tuberculos?s: an old but resurgent problem. Insights Imaging. 2022; 13 (1): 39. doi: 10.1186/s13244-022-01172-0.

  3. Alsayed SSR, Gunosewoyo H. Tuberculosis: pathogenesis, current treatment regimens and new drug targets. Int J Mol Sci. 2023; 24 (6): 5202. doi: 10.3390/ijms24065202.

  4. Moule MG, Cirillo JD. Mycobacterium tuberculosis dissemination plays a critical role in pathogenesis. Front Cell Infect Microbiol. 2020; 10: 65. doi: 10.3389/fcimb.2020.00065.

  5. Asriyani S, Syahril E, Nelly. Multiple organ tuberculomas in infant. J Clin Imaging Sci. 2022; 12: 30. doi: 10.25259/JCIS_212_2021.

  6. Li WX, Zhu Y, Dong Y, Liu L. Diagnosis and management of occult cervical tuberculous lymphadenopathy. Ear Nose Throat J. 2022; 101 (6): 359-364. doi: 10.1177/01455613211043692.

  7. Sivaratnam L, Nawi AM, Abdul Manaf MR. An evidence-based clinical pathway for the diagnosis of tuberculous lymphadenitis: A systematic review. Int J Mycobacteriol. 2020; 9 (2): 107-115. doi: 10.4103/ijmy.ijmy_207_19.

  8. Gautam H, Agrawal SK, Verma SK, Singh UB. Cervical tuberculous lymphadenitis: clinical profile and diagnostic modalities. Int J Mycobacteriol. 2018; 7 (3): 212-216.

  9. Gopalaswamy R, Dusthackeer VNA, Kannayan S, Subbian S. Extrapulmonary tuberculosis—an update on the diagnosis, treatment and drug resistance. J. Respir. 2021; 1 (2): 141-164. doi: 10.3390/jor1020015.

  10. Tagne Nouemssi AB. Disseminated tuberculous lymphadenitis presenting as cervical mass in patient with HIV infection, worsening after antiretroviral initiation: diagnosis and treatment challenges. BMJ Case Rep. 2018; 2018: bcr2017221775. doi: 10.1136/bcr-2017-221775.




Figure 1
Figure 2
Figure 3
Figure 4

2020     |     www.medigraphic.com

Mi perfil

C?MO CITAR (Vancouver)

Lat Am J Oral Maxillofac Surg. 2025;5