medigraphic.com
SPANISH

Medicina Crítica

  • Contents
  • View Archive
  • Information
    • General Information        
    • Directory
  • Publish
    • Instructions for authors        
  • Policies
  • Lineamientos
  • medigraphic.com
    • Home
    • Journals index            
    • Register / Login
  • Mi perfil

2024, Number 8

<< Back Next >>

Med Crit 2024; 38 (8)

Coccidioidomycosis in a renal transplant immunosuppressed patient. A case report

Chávez-Sánchez NR, Carballo AK, Ruiz-León MI
Full text How to cite this article 10.35366/120019

DOI

DOI: 10.35366/120019
URL: https://dx.doi.org/10.35366/120019

Language: Spanish
References: 8
Page: 694-697
PDF size: 274.96 Kb.


Key words:

pneumonia, coccidioidomycosis, immunosuppression, kidney transplantation, antibodies.

ABSTRACT

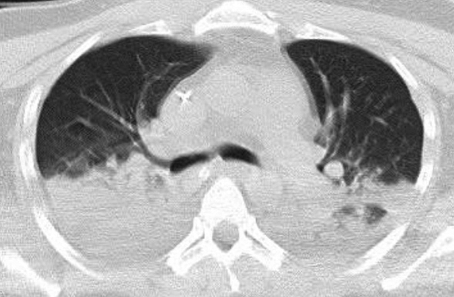
Coccidioidomycosis is a systemic infection caused by dysmorphic fungi, Coccidioides immitis or Coccidioides posadasii, also known as desert rheumatism or valley fever, associated with arid and semi-arid climates. We present the clinical case of a 44-year-old male patient with renal transplant of 11 years of evolution under immunosuppressive treatment with atypical presentation of sepsis and development of acute respiratory distress syndrome secondary to lobar pneumonia due to Coccidioides immitis. The most common tomographic findings in this pathology include nodules, consolidations, pleural effusion, cavitations, etc., which were present in this patient.


REFERENCES

  1. Kollath DR, Miller KJ, Barker BM. The mysterious desert dwellers: Coccidioides immitis and Coccidioides posadasii, causative fungal agents of coccidioidomycosis. Virulence. 2019;10(1):222-233.

  2. Pettengill MA. Clinical microbiology in 2021: my favorite studies about everything except my least favorite virus. Clin Microbiol Newsl. 2022;44(8):73-80. doi: 10.1016/j.clinmicnews.2022.04.003.

  3. Ortiz-Gómez L, Rosado-Alcocer L, Ceballos-Solís G, Salcedo-Parra M, Pool-Cordero M. Enfermedad renal crónica y factores de supervivencia en pacientes con trasplante renal: revisión de la literatura. SaludyBienestarSoc. 2021;5(1):41-48.

  4. Silva-Hernández AG, Barbachano-Rodríguez E, Alanís-Miranda PA, González-Martínez M del R. Coexistencia de tuberculosis y coccidoidomicosis en dos pacientes sin síndrome de inmunodeficiencia adquirida. Rev Med Inst Mex Seguro Soc. 2010;48(4):448-452.

  5. Smith, D. J., Williams, S. L., Endemic Mycoses State Partners Group, Benedict, K. M., Jackson, B. R., & Toda, M. (2022). Surveillance for coccidioidomycosis, histoplasmosis, and blastomycosis - United States, 2019. MMWR Surveillance Summaries, 71(7), 1–14. https://doi.org/10.15585/mmwr.ss7107a1

  6. Johnson RH, Sharma R, Kuran R, Fong I, Heidari A. Coccidioidomycosis: a review. J Investig Med. 2021;69(2):316-323.

  7. Boughton C, Taylor D, Ghataore L, Taylor N, Whitelaw BC. Mineralocorticoid hypertension and hypokalaemia induced by posaconazole. Endocrinol Diabetes Metab Case Rep. 2018;2018:17-157.

  8. Phonphok K, Beaird O, Duong T, Datta N, Schaenman J, Bunnapradist S. Screening Coccidioides serology in kidney transplant recipients: a 10-year cross-sectional analysis. Transpl Infect Dis. 2018;20(5):e12932.




Figure 1
Figure 2
Figure 3

2020     |     www.medigraphic.com

Mi perfil

C?MO CITAR (Vancouver)

Med Crit. 2024;38