medigraphic.com
SPANISH

Acta Médica Grupo Ángeles

Órgano Oficial del Hospital Ángeles Health System
  • Contents
  • View Archive
  • Information
    • General Information        
    • Directory
  • Publish
    • Instructions for authors        
    • Manuscript submission
    • Policies
    • Names and affiliations of the Editorial Board
  • About us
    • Data sharing policy
    • Stated aims and scope
  • medigraphic.com
    • Home
    • Journals index            
    • Register / Login
  • Mi perfil

2025, Number 4

<< Back Next >>

Acta Med 2025; 23 (4)

Dual therapy of transarterial chemoembolization and atezolizumab plus bevacizumab for unresectable fibrolamellar hepatocellular carcinoma

González EIR, Cruz EM, Castro PA, Acosta PLE, Sánchez SS, Ruiz IGA, Quesnel SAJ
Full text How to cite this article 10.35366/120525

DOI

DOI: 10.35366/120525
URL: https://dx.doi.org/10.35366/120525

Language: Spanish
References: 5
Page: 394-396
PDF size: 270.51 Kb.


Key words:

fibrolamellar carcinoma, chemoembolization, atezolizumab, bevacizumab.

ABSTRACT

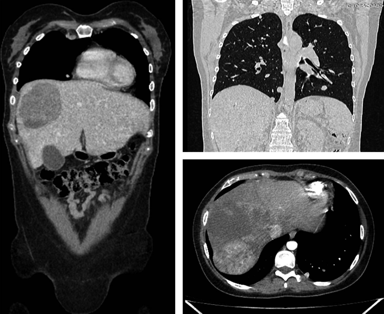
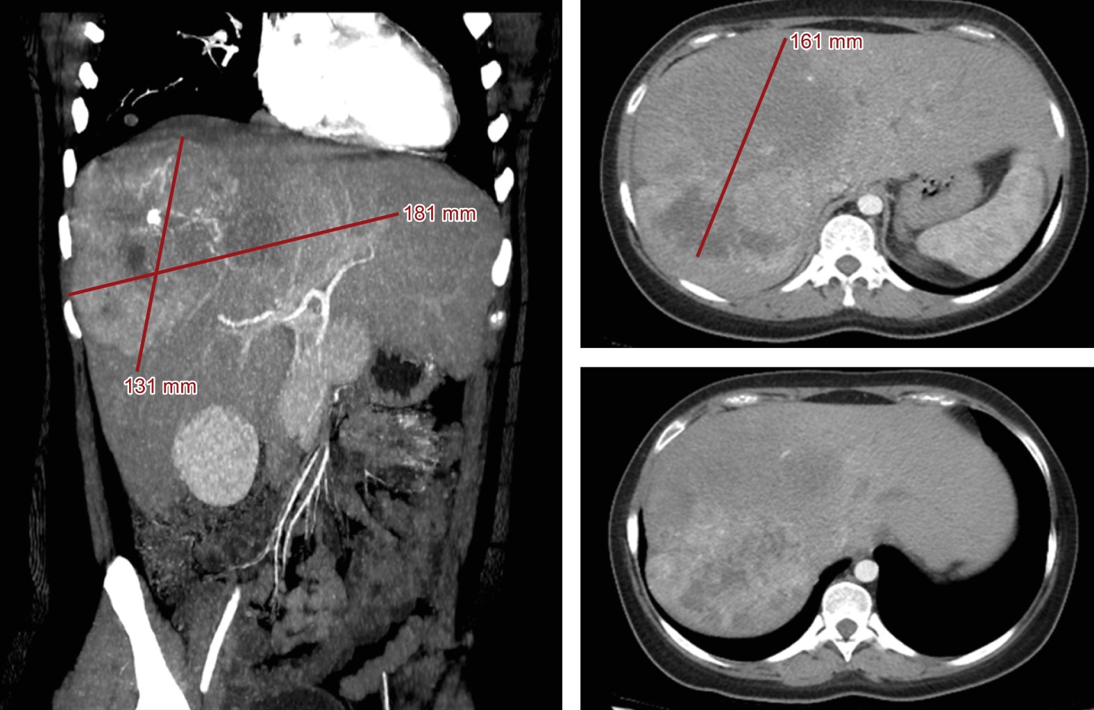
Introduction: fibrolamellar hepatocellular carcinoma (FLC) is a rare form of hepatocellular carcinoma affecting young patients. We present a case of unresectable FLC treated with transarterial chemoembolization and a combination of atezolizumab and bevacizumab. Case description: a 20-year-old woman with abdominal pain, nausea, and vomiting was diagnosed with well-differentiated FLC. A dual therapy regimen was implemented, achieving a 26.7% reduction in lesion size, maintained for 18.13 months. The overall survival was 22.23 months. Conclusion: FLC differs from conventional hepatocellular carcinoma and presents therapeutic challenges. The combination of chemoembolization and immunotherapy shows promising potential. This case adds valuable information about FLC in our country.


REFERENCES

  1. Abdelhamed W, El-Kassas M. Fibrolamellar hepatocellular carcinoma: a rare but unpleasant event. World J Gastrointest Oncol. 2022; 14 (6): 1103-1114.

  2. Craig JR, Peters RL, Edmondson HA, Omata M. Fibrolamellar carcinoma of the liver: a tumor of adolescents and young adults with distinctive clinico-pathologic features. Cancer. 1980; 46 (2): 372-379.

  3. Lin CC, Yang HM. Fibrolamellar Carcinoma: a concise review. Arch Pathol Lab Med. 2018; 142 (9): 1141-145.

  4. Bauer J, Kohler N, Maringer Y, Bucher P, Bilich T, Zwick M et al. The oncogenic fusion protein DNAJB1-PRKACA can be specifically targeted by peptide-based immunotherapy in fibrolamellar hepatocellular carcinoma. Nat Commun. 2022; 13 (1): 6401.

  5. Bernon MM, Gandhi K, Allam H, Singh S, Kloppers J, Jonas E. Trans-arterial therapy for fibrolamellar carcinoma: a case report and literature review. Int J Surg Case Rep. 2022; 94: 106980.




Figure 1
Figure 2
Table 1

2020     |     www.medigraphic.com

Mi perfil

C?MO CITAR (Vancouver)

Acta Med. 2025;23